内镜超声诊断胰腺囊性病变的综述。

IF 2.9 Q2 GASTROENTEROLOGY & HEPATOLOGY
Lucía Guilabert, Sara Nikolìc, Enrique de-Madaria, Giuseppe Vanella, Gabriele Capurso, Matteo Tacelli, Marcello Maida, Catalina Vladut, Cecilie Siggaard Knoph, Dario Quintini, Gabriele Rancatore, Giuseppe Infantino, Ilaria Tarantino, Giacomo Emanuele Maria Rizzo
{"title":"内镜超声诊断胰腺囊性病变的综述。","authors":"Lucía Guilabert, Sara Nikolìc, Enrique de-Madaria, Giuseppe Vanella, Gabriele Capurso, Matteo Tacelli, Marcello Maida, Catalina Vladut, Cecilie Siggaard Knoph, Dario Quintini, Gabriele Rancatore, Giuseppe Infantino, Ilaria Tarantino, Giacomo Emanuele Maria Rizzo","doi":"10.1136/bmjgast-2025-001893","DOIUrl":null,"url":null,"abstract":"<p><p>The incidence of incidental pancreatic cystic lesions (PCLs) has risen in recent years, largely due to advances in and increased use of imaging techniques. Endoscopic ultrasound (EUS) has become a crucial tool for evaluating and characterising PCLs, allowing for detailed morphological assessment and aiding in the identification of lesions with a higher risk of progression to high-grade dysplasia or invasive pancreatic carcinoma. This review aims to outline the key aspects of EUS in the evaluation of PCLs, covering a range of modalities from morphological assessment and contrast-enhanced imaging to elastography, fine-needle aspiration for biomarker analysis, cytology, DNA sequencing, histological evaluation and the emerging role of confocal laser endomicroscopy or artificial intelligence. Additionally, we address therapeutic EUS modalities for PCLs, the current limitations of EUS, anticipated technological advancements and the diverse management strategies recommended by leading scientific societies for the clinical handling of PCLs.</p>","PeriodicalId":9235,"journal":{"name":"BMJ Open Gastroenterology","volume":"12 1","pages":""},"PeriodicalIF":2.9000,"publicationDate":"2025-09-25","publicationTypes":"Journal Article","fieldsOfStudy":null,"isOpenAccess":false,"openAccessPdf":"https://www.ncbi.nlm.nih.gov/pmc/articles/PMC12481305/pdf/","citationCount":"0","resultStr":"{\"title\":\"Endoscopic ultrasound for pancreatic cystic lesions: a narrative review.\",\"authors\":\"Lucía Guilabert, Sara Nikolìc, Enrique de-Madaria, Giuseppe Vanella, Gabriele Capurso, Matteo Tacelli, Marcello Maida, Catalina Vladut, Cecilie Siggaard Knoph, Dario Quintini, Gabriele Rancatore, Giuseppe Infantino, Ilaria Tarantino, Giacomo Emanuele Maria Rizzo\",\"doi\":\"10.1136/bmjgast-2025-001893\",\"DOIUrl\":null,\"url\":null,\"abstract\":\"<p><p>The incidence of incidental pancreatic cystic lesions (PCLs) has risen in recent years, largely due to advances in and increased use of imaging techniques. Endoscopic ultrasound (EUS) has become a crucial tool for evaluating and characterising PCLs, allowing for detailed morphological assessment and aiding in the identification of lesions with a higher risk of progression to high-grade dysplasia or invasive pancreatic carcinoma. This review aims to outline the key aspects of EUS in the evaluation of PCLs, covering a range of modalities from morphological assessment and contrast-enhanced imaging to elastography, fine-needle aspiration for biomarker analysis, cytology, DNA sequencing, histological evaluation and the emerging role of confocal laser endomicroscopy or artificial intelligence. Additionally, we address therapeutic EUS modalities for PCLs, the current limitations of EUS, anticipated technological advancements and the diverse management strategies recommended by leading scientific societies for the clinical handling of PCLs.</p>\",\"PeriodicalId\":9235,\"journal\":{\"name\":\"BMJ Open Gastroenterology\",\"volume\":\"12 1\",\"pages\":\"\"},\"PeriodicalIF\":2.9000,\"publicationDate\":\"2025-09-25\",\"publicationTypes\":\"Journal Article\",\"fieldsOfStudy\":null,\"isOpenAccess\":false,\"openAccessPdf\":\"https://www.ncbi.nlm.nih.gov/pmc/articles/PMC12481305/pdf/\",\"citationCount\":\"0\",\"resultStr\":null,\"platform\":\"Semanticscholar\",\"paperid\":null,\"PeriodicalName\":\"BMJ Open Gastroenterology\",\"FirstCategoryId\":\"1085\",\"ListUrlMain\":\"https://doi.org/10.1136/bmjgast-2025-001893\",\"RegionNum\":0,\"RegionCategory\":null,\"ArticlePicture\":[],\"TitleCN\":null,\"AbstractTextCN\":null,\"PMCID\":null,\"EPubDate\":\"\",\"PubModel\":\"\",\"JCR\":\"Q2\",\"JCRName\":\"GASTROENTEROLOGY & HEPATOLOGY\",\"Score\":null,\"Total\":0}","platform":"Semanticscholar","paperid":null,"PeriodicalName":"BMJ Open Gastroenterology","FirstCategoryId":"1085","ListUrlMain":"https://doi.org/10.1136/bmjgast-2025-001893","RegionNum":0,"RegionCategory":null,"ArticlePicture":[],"TitleCN":null,"AbstractTextCN":null,"PMCID":null,"EPubDate":"","PubModel":"","JCR":"Q2","JCRName":"GASTROENTEROLOGY & HEPATOLOGY","Score":null,"Total":0}
引用次数: 0

摘要

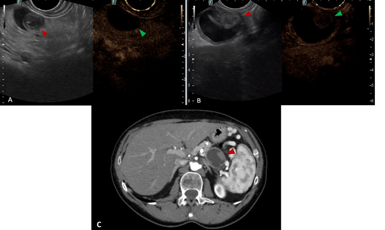
近年来,偶发性胰腺囊性病变(PCLs)的发病率有所上升,这主要是由于成像技术的进步和使用的增加。内镜超声(EUS)已成为评估和表征pcl的重要工具,可以进行详细的形态学评估,并有助于识别进展为高级别不典型增生或浸润性胰腺癌的高风险病变。本综述旨在概述EUS在pcl评估中的关键方面,涵盖了从形态学评估和对比度增强成像到弹性成像,细针穿刺生物标志物分析,细胞学,DNA测序,组织学评估以及共聚焦激光内镜或人工智能的新兴作用的一系列模式。此外,我们还讨论了pcl的EUS治疗方式,目前EUS的局限性,预期的技术进步以及领先科学学会推荐的pcl临床处理的多种管理策略。
本文章由计算机程序翻译,如有差异,请以英文原文为准。

Endoscopic ultrasound for pancreatic cystic lesions: a narrative review.

Endoscopic ultrasound for pancreatic cystic lesions: a narrative review.

Endoscopic ultrasound for pancreatic cystic lesions: a narrative review.

Endoscopic ultrasound for pancreatic cystic lesions: a narrative review.

The incidence of incidental pancreatic cystic lesions (PCLs) has risen in recent years, largely due to advances in and increased use of imaging techniques. Endoscopic ultrasound (EUS) has become a crucial tool for evaluating and characterising PCLs, allowing for detailed morphological assessment and aiding in the identification of lesions with a higher risk of progression to high-grade dysplasia or invasive pancreatic carcinoma. This review aims to outline the key aspects of EUS in the evaluation of PCLs, covering a range of modalities from morphological assessment and contrast-enhanced imaging to elastography, fine-needle aspiration for biomarker analysis, cytology, DNA sequencing, histological evaluation and the emerging role of confocal laser endomicroscopy or artificial intelligence. Additionally, we address therapeutic EUS modalities for PCLs, the current limitations of EUS, anticipated technological advancements and the diverse management strategies recommended by leading scientific societies for the clinical handling of PCLs.

求助全文
通过发布文献求助,成功后即可免费获取论文全文。 去求助
来源期刊
BMJ Open Gastroenterology
BMJ Open Gastroenterology GASTROENTEROLOGY & HEPATOLOGY-
CiteScore
5.90
自引率
3.20%
发文量
68
审稿时长
2 weeks
期刊介绍: BMJ Open Gastroenterology is an online-only, peer-reviewed, open access gastroenterology journal, dedicated to publishing high-quality medical research from all disciplines and therapeutic areas of gastroenterology. It is the open access companion journal of Gut and is co-owned by the British Society of Gastroenterology. The journal publishes all research study types, from study protocols to phase I trials to meta-analyses, including small or specialist studies. Publishing procedures are built around continuous publication, publishing research online as soon as the article is ready.
×
引用
GB/T 7714-2015
复制
MLA
复制
APA
复制
导出至
BibTeX EndNote RefMan NoteFirst NoteExpress
×
提示
您的信息不完整,为了账户安全,请先补充。
现在去补充
×
提示
您因"违规操作"
具体请查看互助需知
我知道了
×
提示
确定
请完成安全验证×
copy
已复制链接
快去分享给好友吧!
我知道了
右上角分享
点击右上角分享
0
联系我们:info@booksci.cn Book学术提供免费学术资源搜索服务,方便国内外学者检索中英文文献。致力于提供最便捷和优质的服务体验。 Copyright © 2023 布克学术 All rights reserved.
京ICP备2023020795号-1
ghs 京公网安备 11010802042870号
Book学术文献互助
Book学术文献互助群
群 号:604180095
Book学术官方微信