单腿与双腿负重x线片对膝关节骨关节炎手术决策的影响。

IF 1
Ömer Bozduman, Yasin Köker, Mesut Ozturk, İbrahim Tuncay, Burak Akan
{"title":"单腿与双腿负重x线片对膝关节骨关节炎手术决策的影响。","authors":"Ömer Bozduman, Yasin Köker, Mesut Ozturk, İbrahim Tuncay, Burak Akan","doi":"10.5152/j.aott.2025.25286","DOIUrl":null,"url":null,"abstract":"<p><p>Objective: This study aimed to evaluate how single-leg weight-bearing and double-leg weight-bearing radiographs a!ect knee osteoarthritis assessment and treatment planning. Methods: Fifty orthopedic physicians were asked to assess the knee radiographs of 10 female patients (mean age: 68 ± 6.6 years) presenting with knee pain. The radiographs were obtained in both double-leg and single-leg weight-bearing positions. Physicians were asked to determine the appropriate treatment plan (conservative management, unicondylar knee replacement, or total knee replacement). If they opted for surgical intervention, they were further asked to specify which prosthetic material they required to be available during surgery (a unicondylar knee prosthesis, both unicondylar and total knee prostheses, a total knee prosthesis, both total and revision knee prostheses). Treatment plans based on double-leg and single-leg weight-bearing radiographs were compared. Results: Conservative management was more frequently selected based on double-leg weight-bearing radiographs (P < .001). In contrast, the requirement for additional surgical materials was significantly higher for single-leg weight-bearing radiographs (P < .001). Specifically, 53.6% of physicians preferred having both total and revision knee prostheses available based on double-leg weight-bearing images, compared to 64.2% for single-leg images. Moreover, 31.2% of physicians upstaged their treatment plans after reviewing single-leg radiographs. Additionally, 13% of physicians opted for a total knee prosthesis based on double-leg weight-bearing images, whereas this proportion increased to 29% with single-leg weight-bearing images. Conclusion: Single-leg weight-bearing radiographs prompted more invasive treatment decisions, highlighting their clinical utility in detecting pathology that may influence surgical planning. Level of Evidence: Level IV, Diagnostic Study.</p>","PeriodicalId":93854,"journal":{"name":"Acta orthopaedica et traumatologica turcica","volume":"59 5","pages":"274-279"},"PeriodicalIF":1.0000,"publicationDate":"2025-08-13","publicationTypes":"Journal Article","fieldsOfStudy":null,"isOpenAccess":false,"openAccessPdf":"https://www.ncbi.nlm.nih.gov/pmc/articles/PMC12482955/pdf/","citationCount":"0","resultStr":"{\"title\":\"Impact of single-leg versus double-leg weight-bearing radiographs on surgical decision-making in knee osteoarthritis.\",\"authors\":\"Ömer Bozduman, Yasin Köker, Mesut Ozturk, İbrahim Tuncay, Burak Akan\",\"doi\":\"10.5152/j.aott.2025.25286\",\"DOIUrl\":null,\"url\":null,\"abstract\":\"<p><p>Objective: This study aimed to evaluate how single-leg weight-bearing and double-leg weight-bearing radiographs a!ect knee osteoarthritis assessment and treatment planning. Methods: Fifty orthopedic physicians were asked to assess the knee radiographs of 10 female patients (mean age: 68 ± 6.6 years) presenting with knee pain. The radiographs were obtained in both double-leg and single-leg weight-bearing positions. Physicians were asked to determine the appropriate treatment plan (conservative management, unicondylar knee replacement, or total knee replacement). If they opted for surgical intervention, they were further asked to specify which prosthetic material they required to be available during surgery (a unicondylar knee prosthesis, both unicondylar and total knee prostheses, a total knee prosthesis, both total and revision knee prostheses). Treatment plans based on double-leg and single-leg weight-bearing radiographs were compared. Results: Conservative management was more frequently selected based on double-leg weight-bearing radiographs (P < .001). In contrast, the requirement for additional surgical materials was significantly higher for single-leg weight-bearing radiographs (P < .001). Specifically, 53.6% of physicians preferred having both total and revision knee prostheses available based on double-leg weight-bearing images, compared to 64.2% for single-leg images. Moreover, 31.2% of physicians upstaged their treatment plans after reviewing single-leg radiographs. Additionally, 13% of physicians opted for a total knee prosthesis based on double-leg weight-bearing images, whereas this proportion increased to 29% with single-leg weight-bearing images. Conclusion: Single-leg weight-bearing radiographs prompted more invasive treatment decisions, highlighting their clinical utility in detecting pathology that may influence surgical planning. Level of Evidence: Level IV, Diagnostic Study.</p>\",\"PeriodicalId\":93854,\"journal\":{\"name\":\"Acta orthopaedica et traumatologica turcica\",\"volume\":\"59 5\",\"pages\":\"274-279\"},\"PeriodicalIF\":1.0000,\"publicationDate\":\"2025-08-13\",\"publicationTypes\":\"Journal Article\",\"fieldsOfStudy\":null,\"isOpenAccess\":false,\"openAccessPdf\":\"https://www.ncbi.nlm.nih.gov/pmc/articles/PMC12482955/pdf/\",\"citationCount\":\"0\",\"resultStr\":null,\"platform\":\"Semanticscholar\",\"paperid\":null,\"PeriodicalName\":\"Acta orthopaedica et traumatologica turcica\",\"FirstCategoryId\":\"1085\",\"ListUrlMain\":\"https://doi.org/10.5152/j.aott.2025.25286\",\"RegionNum\":0,\"RegionCategory\":null,\"ArticlePicture\":[],\"TitleCN\":null,\"AbstractTextCN\":null,\"PMCID\":null,\"EPubDate\":\"\",\"PubModel\":\"\",\"JCR\":\"\",\"JCRName\":\"\",\"Score\":null,\"Total\":0}","platform":"Semanticscholar","paperid":null,"PeriodicalName":"Acta orthopaedica et traumatologica turcica","FirstCategoryId":"1085","ListUrlMain":"https://doi.org/10.5152/j.aott.2025.25286","RegionNum":0,"RegionCategory":null,"ArticlePicture":[],"TitleCN":null,"AbstractTextCN":null,"PMCID":null,"EPubDate":"","PubModel":"","JCR":"","JCRName":"","Score":null,"Total":0}
引用次数: 0

摘要

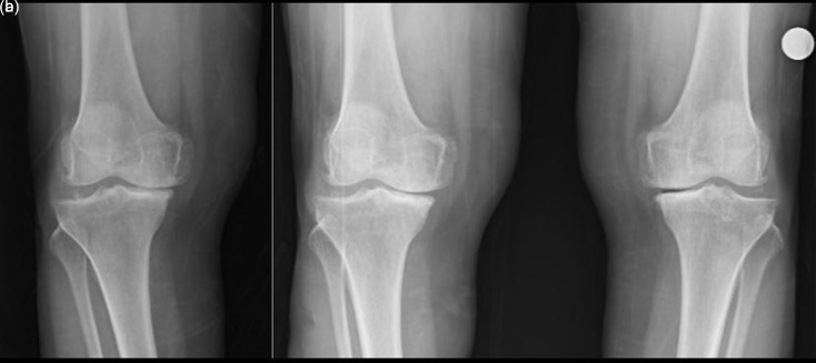
目的:本研究旨在评价单腿负重x线片和双腿负重x线片对临床诊断的影响。其他膝关节骨关节炎的评估和治疗计划。方法:对10例以膝关节疼痛为表现的女性患者(平均年龄:68±6.6岁)的膝关节x线片进行评估。在双腿和单腿负重体位下均获得x线片。医生被要求确定合适的治疗方案(保守治疗、单髁膝关节置换术或全膝关节置换术)。如果他们选择手术干预,他们进一步被要求说明他们在手术期间需要使用哪种假体材料(单髁膝关节假体,单髁和全膝关节假体,全膝关节假体,全膝关节假体和修复膝关节假体)。比较两腿和单腿负重x线片的治疗方案。结果:根据双腿负重x线片选择保守治疗较多(P < 0.001)。相比之下,单腿负重x线片对额外手术材料的要求明显更高(P < 0.001)。具体来说,53.6%的医生更愿意根据双腿负重图像同时使用全膝关节和修复膝关节假体,而对于单腿图像,这一比例为64.2%。此外,31.2%的医生在看过单腿x光片后,抢了他们的治疗计划。此外,13%的医生根据双腿负重图像选择全膝关节假体,而单腿负重图像这一比例增加到29%。结论:单腿负重x线片提示更具侵入性的治疗决策,突出了其在检测可能影响手术计划的病理方面的临床应用。证据等级:四级,诊断性研究。
本文章由计算机程序翻译,如有差异,请以英文原文为准。

Impact of single-leg versus double-leg weight-bearing radiographs on surgical decision-making in knee osteoarthritis.

Impact of single-leg versus double-leg weight-bearing radiographs on surgical decision-making in knee osteoarthritis.

Impact of single-leg versus double-leg weight-bearing radiographs on surgical decision-making in knee osteoarthritis.

Impact of single-leg versus double-leg weight-bearing radiographs on surgical decision-making in knee osteoarthritis.

Objective: This study aimed to evaluate how single-leg weight-bearing and double-leg weight-bearing radiographs a!ect knee osteoarthritis assessment and treatment planning. Methods: Fifty orthopedic physicians were asked to assess the knee radiographs of 10 female patients (mean age: 68 ± 6.6 years) presenting with knee pain. The radiographs were obtained in both double-leg and single-leg weight-bearing positions. Physicians were asked to determine the appropriate treatment plan (conservative management, unicondylar knee replacement, or total knee replacement). If they opted for surgical intervention, they were further asked to specify which prosthetic material they required to be available during surgery (a unicondylar knee prosthesis, both unicondylar and total knee prostheses, a total knee prosthesis, both total and revision knee prostheses). Treatment plans based on double-leg and single-leg weight-bearing radiographs were compared. Results: Conservative management was more frequently selected based on double-leg weight-bearing radiographs (P < .001). In contrast, the requirement for additional surgical materials was significantly higher for single-leg weight-bearing radiographs (P < .001). Specifically, 53.6% of physicians preferred having both total and revision knee prostheses available based on double-leg weight-bearing images, compared to 64.2% for single-leg images. Moreover, 31.2% of physicians upstaged their treatment plans after reviewing single-leg radiographs. Additionally, 13% of physicians opted for a total knee prosthesis based on double-leg weight-bearing images, whereas this proportion increased to 29% with single-leg weight-bearing images. Conclusion: Single-leg weight-bearing radiographs prompted more invasive treatment decisions, highlighting their clinical utility in detecting pathology that may influence surgical planning. Level of Evidence: Level IV, Diagnostic Study.

求助全文
通过发布文献求助,成功后即可免费获取论文全文。 去求助
来源期刊
自引率
0.00%
发文量
0
×
引用
GB/T 7714-2015
复制
MLA
复制
APA
复制
导出至
BibTeX EndNote RefMan NoteFirst NoteExpress
×
提示
您的信息不完整,为了账户安全,请先补充。
现在去补充
×
提示
您因"违规操作"
具体请查看互助需知
我知道了
×
提示
确定
请完成安全验证×
copy
已复制链接
快去分享给好友吧!
我知道了
右上角分享
点击右上角分享
0
联系我们:info@booksci.cn Book学术提供免费学术资源搜索服务,方便国内外学者检索中英文文献。致力于提供最便捷和优质的服务体验。 Copyright © 2023 布克学术 All rights reserved.
京ICP备2023020795号-1
ghs 京公网安备 11010802042870号
Book学术文献互助
Book学术文献互助群
群 号:604180095
Book学术官方微信