微创手术中一种罕见的并发症。

IF 0.6 Q4 CARDIAC & CARDIOVASCULAR SYSTEMS
Valerio Massimo Magro, Andrea Sorbino, Nicola Manocchio, Gianluca Massaro, Gaetano Chiricolo, Concetta Ljoka, Calogero Foti
{"title":"微创手术中一种罕见的并发症。","authors":"Valerio Massimo Magro, Andrea Sorbino, Nicola Manocchio, Gianluca Massaro, Gaetano Chiricolo, Concetta Ljoka, Calogero Foti","doi":"10.1007/s12055-025-01962-3","DOIUrl":null,"url":null,"abstract":"<p><p>Decision-making for intervention in symptomatic aortic stenosis should balance the risks of surgery and of transcatheter aortic valve implantation (TAVI). TAVI is a well-established technique for treating elderly and high-risk patients with aortic stenosis using a variety of different surgical approaches (a retrograde transfemoral, transaxillary, transaortic or an antegrade transapical approach). The transapical approach requires the involvement of the heart surgeon and is now limited to cases where the procedure cannot be performed by alternative approaches. We report the case of an 87-year-old patient with severe peripheral arterial disease and a history of TAVI via transapical approach, who presented with a syncopal episode 4 years post-procedure. Imaging revealed a left ventricular apex aneurysm, likely related to the previous transapical TAVI. This case underscores the importance of thorough pre-procedural assessment and long-term follow-up in patients undergoing alternative TAVI access routes, as well as the need for heightened awareness of rare but significant complications such as ventricular pseudoaneurysm. Careful patient selection and individualized procedural planning remain essential to optimize outcomes in this complex population.</p>","PeriodicalId":13285,"journal":{"name":"Indian Journal of Thoracic and Cardiovascular Surgery","volume":"41 10","pages":"1503-1506"},"PeriodicalIF":0.6000,"publicationDate":"2025-10-01","publicationTypes":"Journal Article","fieldsOfStudy":null,"isOpenAccess":false,"openAccessPdf":"https://www.ncbi.nlm.nih.gov/pmc/articles/PMC12450158/pdf/","citationCount":"0","resultStr":"{\"title\":\"An uncommon complication of a minimally invasive procedure.\",\"authors\":\"Valerio Massimo Magro, Andrea Sorbino, Nicola Manocchio, Gianluca Massaro, Gaetano Chiricolo, Concetta Ljoka, Calogero Foti\",\"doi\":\"10.1007/s12055-025-01962-3\",\"DOIUrl\":null,\"url\":null,\"abstract\":\"<p><p>Decision-making for intervention in symptomatic aortic stenosis should balance the risks of surgery and of transcatheter aortic valve implantation (TAVI). TAVI is a well-established technique for treating elderly and high-risk patients with aortic stenosis using a variety of different surgical approaches (a retrograde transfemoral, transaxillary, transaortic or an antegrade transapical approach). The transapical approach requires the involvement of the heart surgeon and is now limited to cases where the procedure cannot be performed by alternative approaches. We report the case of an 87-year-old patient with severe peripheral arterial disease and a history of TAVI via transapical approach, who presented with a syncopal episode 4 years post-procedure. Imaging revealed a left ventricular apex aneurysm, likely related to the previous transapical TAVI. This case underscores the importance of thorough pre-procedural assessment and long-term follow-up in patients undergoing alternative TAVI access routes, as well as the need for heightened awareness of rare but significant complications such as ventricular pseudoaneurysm. Careful patient selection and individualized procedural planning remain essential to optimize outcomes in this complex population.</p>\",\"PeriodicalId\":13285,\"journal\":{\"name\":\"Indian Journal of Thoracic and Cardiovascular Surgery\",\"volume\":\"41 10\",\"pages\":\"1503-1506\"},\"PeriodicalIF\":0.6000,\"publicationDate\":\"2025-10-01\",\"publicationTypes\":\"Journal Article\",\"fieldsOfStudy\":null,\"isOpenAccess\":false,\"openAccessPdf\":\"https://www.ncbi.nlm.nih.gov/pmc/articles/PMC12450158/pdf/\",\"citationCount\":\"0\",\"resultStr\":null,\"platform\":\"Semanticscholar\",\"paperid\":null,\"PeriodicalName\":\"Indian Journal of Thoracic and Cardiovascular Surgery\",\"FirstCategoryId\":\"1085\",\"ListUrlMain\":\"https://doi.org/10.1007/s12055-025-01962-3\",\"RegionNum\":0,\"RegionCategory\":null,\"ArticlePicture\":[],\"TitleCN\":null,\"AbstractTextCN\":null,\"PMCID\":null,\"EPubDate\":\"2025/5/15 0:00:00\",\"PubModel\":\"Epub\",\"JCR\":\"Q4\",\"JCRName\":\"CARDIAC & CARDIOVASCULAR SYSTEMS\",\"Score\":null,\"Total\":0}","platform":"Semanticscholar","paperid":null,"PeriodicalName":"Indian Journal of Thoracic and Cardiovascular Surgery","FirstCategoryId":"1085","ListUrlMain":"https://doi.org/10.1007/s12055-025-01962-3","RegionNum":0,"RegionCategory":null,"ArticlePicture":[],"TitleCN":null,"AbstractTextCN":null,"PMCID":null,"EPubDate":"2025/5/15 0:00:00","PubModel":"Epub","JCR":"Q4","JCRName":"CARDIAC & CARDIOVASCULAR SYSTEMS","Score":null,"Total":0}
引用次数: 0

摘要

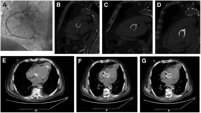
对症状性主动脉瓣狭窄的干预决策应权衡手术和经导管主动脉瓣植入术(TAVI)的风险。TAVI是一种成熟的技术,用于治疗老年和高危主动脉狭窄患者,采用多种不同的手术入路(逆行经股动脉、经腋窝、经主动脉或顺行经根尖入路)。经根尖入路需要心脏外科医生的参与,现在仅限于不能通过其他入路进行手术的病例。我们报告一例87岁的患者,患有严重外周动脉疾病,有经根尖入路TAVI病史,术后4年出现晕厥发作。影像学显示左心室顶动脉瘤,可能与先前的经根尖TAVI有关。该病例强调了在接受其他TAVI通路的患者中进行彻底的术前评估和长期随访的重要性,以及需要提高对罕见但重要的并发症(如心室假性动脉瘤)的认识。谨慎的患者选择和个性化的程序规划仍然是优化这一复杂人群结果的必要条件。
本文章由计算机程序翻译,如有差异,请以英文原文为准。

An uncommon complication of a minimally invasive procedure.

An uncommon complication of a minimally invasive procedure.

An uncommon complication of a minimally invasive procedure.

An uncommon complication of a minimally invasive procedure.

Decision-making for intervention in symptomatic aortic stenosis should balance the risks of surgery and of transcatheter aortic valve implantation (TAVI). TAVI is a well-established technique for treating elderly and high-risk patients with aortic stenosis using a variety of different surgical approaches (a retrograde transfemoral, transaxillary, transaortic or an antegrade transapical approach). The transapical approach requires the involvement of the heart surgeon and is now limited to cases where the procedure cannot be performed by alternative approaches. We report the case of an 87-year-old patient with severe peripheral arterial disease and a history of TAVI via transapical approach, who presented with a syncopal episode 4 years post-procedure. Imaging revealed a left ventricular apex aneurysm, likely related to the previous transapical TAVI. This case underscores the importance of thorough pre-procedural assessment and long-term follow-up in patients undergoing alternative TAVI access routes, as well as the need for heightened awareness of rare but significant complications such as ventricular pseudoaneurysm. Careful patient selection and individualized procedural planning remain essential to optimize outcomes in this complex population.

求助全文
通过发布文献求助,成功后即可免费获取论文全文。 去求助
来源期刊
Indian Journal of Thoracic and Cardiovascular Surgery
Indian Journal of Thoracic and Cardiovascular Surgery CARDIAC & CARDIOVASCULAR SYSTEMS-
CiteScore
1.20
自引率
14.30%
发文量
141
期刊介绍: The primary aim of the Indian Journal of Thoracic and Cardiovascular Surgery is education. The journal aims to dissipate current clinical practices and developments in the area of cardiovascular and thoracic surgery. This includes information on cardiovascular epidemiology, aetiopathogenesis, clinical manifestation etc. The journal accepts manuscripts from cardiovascular anaesthesia, cardiothoracic and vascular nursing and technology development and new/innovative products.The journal is the official publication of the Indian Association of Cardiovascular and Thoracic Surgeons which has a membership of over 1000 at present.DescriptionThe journal is the official organ of the Indian Association of Cardiovascular-Thoracic Surgeons. It was started in 1982 by Dr. Solomon Victor and ws being published twice a year up to 1996. From 2000 the editorial office moved to Delhi. From 2001 the journal was extended to quarterly and subsequently four issues annually have been printed out at time and regularly without fail. The journal receives manuscripts from members and non-members and cardiovascular surgeons. The manuscripts are peer reviewed by at least two or sometimes three or four reviewers who are on the panel. The manuscript process is now completely online. Funding the journal comes partially from the organization and from revenue generated by subscription and advertisement.
×
引用
GB/T 7714-2015
复制
MLA
复制
APA
复制
导出至
BibTeX EndNote RefMan NoteFirst NoteExpress
×
提示
您的信息不完整,为了账户安全,请先补充。
现在去补充
×
提示
您因"违规操作"
具体请查看互助需知
我知道了
×
提示
确定
请完成安全验证×
copy
已复制链接
快去分享给好友吧!
我知道了
右上角分享
点击右上角分享
0
联系我们:info@booksci.cn Book学术提供免费学术资源搜索服务,方便国内外学者检索中英文文献。致力于提供最便捷和优质的服务体验。 Copyright © 2023 布克学术 All rights reserved.
京ICP备2023020795号-1
ghs 京公网安备 11010802042870号
Book学术文献互助
Book学术文献互助群
群 号:604180095
Book学术官方微信