68Ga-DOTA-TATE PET/CT提高了多发性内分泌瘤1型(MEN-1)患者疑似十二指肠-胰腺神经内分泌肿瘤的准确性和指导治疗。

Endocrine oncology (Bristol, England) Pub Date : 2025-09-17 eCollection Date: 2025-01-01 DOI:10.1530/EO-25-0060
Kalyan Vamshi Vemulapalli, Kalyan Mansukhbhai Shekhda, Gowri Ratnayake, Gopinath Gnanasegaran, Ann-Marie Quigley, Aimee R Hayes, Bernard Khoo, Dalvinder Mandair, Christos Toumpanakis, Martyn Caplin, Ashley B Grossman, Shaunak Navalkissoor
{"title":"68Ga-DOTA-TATE PET/CT提高了多发性内分泌瘤1型(MEN-1)患者疑似十二指肠-胰腺神经内分泌肿瘤的准确性和指导治疗。","authors":"Kalyan Vamshi Vemulapalli, Kalyan Mansukhbhai Shekhda, Gowri Ratnayake, Gopinath Gnanasegaran, Ann-Marie Quigley, Aimee R Hayes, Bernard Khoo, Dalvinder Mandair, Christos Toumpanakis, Martyn Caplin, Ashley B Grossman, Shaunak Navalkissoor","doi":"10.1530/EO-25-0060","DOIUrl":null,"url":null,"abstract":"<p><strong>Purpose: </strong>To evaluate the added benefit and accuracy of <sup>68</sup>Ga-DOTA-TATE PET/CT scans in detecting duodeno-pancreatic neuroendocrine tumours (dpNETs) compared to conventional cross-sectional imaging with CT or MRI scans in patients with multiple endocrine neoplasia type 1 (MEN-1), and whether the results from the <sup>68</sup>Ga-DOTA-TATE PET/CT produce a change in management plans for patients with MEN-1 and dpNETs.</p><p><strong>Methods: </strong>A retrospective analysis was performed comparing the initial <sup>68</sup>Ga-DOTA-TATE PET/CT to the respective contemporary CT or MRI imaging in patients with MEN-1 under the care of a tertiary neuroendocrine centre. Imaging and electronic patient records were analysed to identify treatment plans and the records of multidisciplinary team discussions.</p><p><strong>Results: </strong>In total, 85% (<i>n</i> = 39/46) of patients with MEN-1 had a <sup>68</sup>Ga-DOTA-TATE PET/CT study in the electronic patient record; 23 of those with duodeno-pancreatic lesions detected also had contemporaneous contrast-enhanced CT scans, while 18 had MRI scans. <sup>68</sup>Ga-DOTA-TATE PET/CT detected a total of 47 pancreatic lesions compared to 25 on CT, while <sup>68</sup>Ga-DOTA-TATE PET/CT detected 32 pancreatic lesions compared to 25 on MRI. There were no duodenal lesions detected on conventional CT or MRI, but in comparison to CT and MRI, <sup>68</sup>Ga-DOTA-TATE PET/CT detected eight and one duodenal lesions respectively. While <sup>68</sup>Ga-DOTA-TATE PET/CT detected more liver metastases compared to CT (<i>n</i>: 31 vs 21) and similar numbers compared to MRI (<i>n</i>: 11 vs 11), these differences were not statistically significant. As a result of findings on <sup>68</sup>Ga-DOTA-TATE PET/CT, a change of management was indicated in 69% (<i>n</i> = 27/39) of patients. Of these, 14 patients were offered somatostatin analogues (SSTA), eight patients were offered surgical intervention, three patients were offered peptide receptor radionuclide therapy, and one patient was offered ablation of liver metastases.</p><p><strong>Conclusions: </strong>In patients with MEN-1, <sup>68</sup>Ga-DOTA-TATE PET/CT was shown to detect a greater number of duodeno-pancreatic lesions compared to conventional cross-sectional CT or MRI imaging. Management plans were changed in most patients following their initial <sup>68</sup>Ga-DOTA-TATE PET/CT. Therefore, we suggest that somatostatin receptor-targeted PET/CT scans should be an integral part of the investigation of patients with MEN-1 for staging of suspected duodeno-pancreatic NETs.</p>","PeriodicalId":72907,"journal":{"name":"Endocrine oncology (Bristol, England)","volume":"5 1","pages":"e250060"},"PeriodicalIF":0.0000,"publicationDate":"2025-09-17","publicationTypes":"Journal Article","fieldsOfStudy":null,"isOpenAccess":false,"openAccessPdf":"https://www.ncbi.nlm.nih.gov/pmc/articles/PMC12449681/pdf/","citationCount":"0","resultStr":"{\"title\":\"<sup>68</sup>Ga-DOTA-TATE PET/CT improves accuracy and guides management in multiple endocrine neoplasia type 1 (MEN-1) patients with suspected duodeno-pancreatic neuroendocrine tumours.\",\"authors\":\"Kalyan Vamshi Vemulapalli, Kalyan Mansukhbhai Shekhda, Gowri Ratnayake, Gopinath Gnanasegaran, Ann-Marie Quigley, Aimee R Hayes, Bernard Khoo, Dalvinder Mandair, Christos Toumpanakis, Martyn Caplin, Ashley B Grossman, Shaunak Navalkissoor\",\"doi\":\"10.1530/EO-25-0060\",\"DOIUrl\":null,\"url\":null,\"abstract\":\"<p><strong>Purpose: </strong>To evaluate the added benefit and accuracy of <sup>68</sup>Ga-DOTA-TATE PET/CT scans in detecting duodeno-pancreatic neuroendocrine tumours (dpNETs) compared to conventional cross-sectional imaging with CT or MRI scans in patients with multiple endocrine neoplasia type 1 (MEN-1), and whether the results from the <sup>68</sup>Ga-DOTA-TATE PET/CT produce a change in management plans for patients with MEN-1 and dpNETs.</p><p><strong>Methods: </strong>A retrospective analysis was performed comparing the initial <sup>68</sup>Ga-DOTA-TATE PET/CT to the respective contemporary CT or MRI imaging in patients with MEN-1 under the care of a tertiary neuroendocrine centre. Imaging and electronic patient records were analysed to identify treatment plans and the records of multidisciplinary team discussions.</p><p><strong>Results: </strong>In total, 85% (<i>n</i> = 39/46) of patients with MEN-1 had a <sup>68</sup>Ga-DOTA-TATE PET/CT study in the electronic patient record; 23 of those with duodeno-pancreatic lesions detected also had contemporaneous contrast-enhanced CT scans, while 18 had MRI scans. <sup>68</sup>Ga-DOTA-TATE PET/CT detected a total of 47 pancreatic lesions compared to 25 on CT, while <sup>68</sup>Ga-DOTA-TATE PET/CT detected 32 pancreatic lesions compared to 25 on MRI. There were no duodenal lesions detected on conventional CT or MRI, but in comparison to CT and MRI, <sup>68</sup>Ga-DOTA-TATE PET/CT detected eight and one duodenal lesions respectively. While <sup>68</sup>Ga-DOTA-TATE PET/CT detected more liver metastases compared to CT (<i>n</i>: 31 vs 21) and similar numbers compared to MRI (<i>n</i>: 11 vs 11), these differences were not statistically significant. As a result of findings on <sup>68</sup>Ga-DOTA-TATE PET/CT, a change of management was indicated in 69% (<i>n</i> = 27/39) of patients. Of these, 14 patients were offered somatostatin analogues (SSTA), eight patients were offered surgical intervention, three patients were offered peptide receptor radionuclide therapy, and one patient was offered ablation of liver metastases.</p><p><strong>Conclusions: </strong>In patients with MEN-1, <sup>68</sup>Ga-DOTA-TATE PET/CT was shown to detect a greater number of duodeno-pancreatic lesions compared to conventional cross-sectional CT or MRI imaging. Management plans were changed in most patients following their initial <sup>68</sup>Ga-DOTA-TATE PET/CT. Therefore, we suggest that somatostatin receptor-targeted PET/CT scans should be an integral part of the investigation of patients with MEN-1 for staging of suspected duodeno-pancreatic NETs.</p>\",\"PeriodicalId\":72907,\"journal\":{\"name\":\"Endocrine oncology (Bristol, England)\",\"volume\":\"5 1\",\"pages\":\"e250060\"},\"PeriodicalIF\":0.0000,\"publicationDate\":\"2025-09-17\",\"publicationTypes\":\"Journal Article\",\"fieldsOfStudy\":null,\"isOpenAccess\":false,\"openAccessPdf\":\"https://www.ncbi.nlm.nih.gov/pmc/articles/PMC12449681/pdf/\",\"citationCount\":\"0\",\"resultStr\":null,\"platform\":\"Semanticscholar\",\"paperid\":null,\"PeriodicalName\":\"Endocrine oncology (Bristol, England)\",\"FirstCategoryId\":\"1085\",\"ListUrlMain\":\"https://doi.org/10.1530/EO-25-0060\",\"RegionNum\":0,\"RegionCategory\":null,\"ArticlePicture\":[],\"TitleCN\":null,\"AbstractTextCN\":null,\"PMCID\":null,\"EPubDate\":\"2025/1/1 0:00:00\",\"PubModel\":\"eCollection\",\"JCR\":\"\",\"JCRName\":\"\",\"Score\":null,\"Total\":0}","platform":"Semanticscholar","paperid":null,"PeriodicalName":"Endocrine oncology (Bristol, England)","FirstCategoryId":"1085","ListUrlMain":"https://doi.org/10.1530/EO-25-0060","RegionNum":0,"RegionCategory":null,"ArticlePicture":[],"TitleCN":null,"AbstractTextCN":null,"PMCID":null,"EPubDate":"2025/1/1 0:00:00","PubModel":"eCollection","JCR":"","JCRName":"","Score":null,"Total":0}
引用次数: 0

摘要

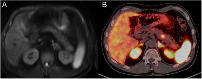
目的:评价68Ga-DOTA-TATE PET/CT扫描在多发性内分泌肿瘤1型(MEN-1)患者中检测十二指肠胰神经内分泌肿瘤(dpNETs)的额外益处和准确性,以及68Ga-DOTA-TATE PET/CT扫描的结果是否会改变MEN-1和dpNETs患者的治疗方案。方法:回顾性分析在三级神经内分泌中心治疗的MEN-1患者的初始68Ga-DOTA-TATE PET/CT与相应的当代CT或MRI成像。分析影像学和电子病历以确定治疗方案和多学科小组讨论记录。结果:85% (n = 39/46)的MEN-1患者在电子病历中有68Ga-DOTA-TATE PET/CT检查;发现十二指肠胰腺病变的患者中有23人同时进行了对比增强CT扫描,18人进行了MRI扫描。68Ga-DOTA-TATE PET/CT共检出47个胰腺病变,CT检出25个;68Ga-DOTA-TATE PET/CT共检出32个胰腺病变,MRI检出25个胰腺病变。常规CT和MRI未发现十二指肠病变,但与CT和MRI相比,68Ga-DOTA-TATE PET/CT分别发现8个和1个十二指肠病变。虽然68Ga-DOTA-TATE PET/CT比CT检出更多的肝转移灶(n: 31 vs 21),比MRI检出相似的肝转移灶(n: 11 vs 11),但这些差异无统计学意义。68Ga-DOTA-TATE PET/CT检查结果显示,69%(27/39)的患者需要改变治疗方法。其中,14例患者接受生长抑素类似物(SSTA)治疗,8例患者接受手术干预,3例患者接受肽受体放射性核素治疗,1例患者接受肝转移灶消融治疗。结论:在man -1患者中,68Ga-DOTA-TATE PET/CT与常规横断面CT或MRI相比,显示出更多的十二指肠胰腺病变。大多数患者在首次68Ga-DOTA-TATE PET/CT检查后改变了治疗计划。因此,我们建议以生长抑素受体为靶点的PET/CT扫描应该是研究man -1患者可疑十二指肠胰腺NETs分期的一个组成部分。
本文章由计算机程序翻译,如有差异,请以英文原文为准。

<sup>68</sup>Ga-DOTA-TATE PET/CT improves accuracy and guides management in multiple endocrine neoplasia type 1 (MEN-1) patients with suspected duodeno-pancreatic neuroendocrine tumours.

<sup>68</sup>Ga-DOTA-TATE PET/CT improves accuracy and guides management in multiple endocrine neoplasia type 1 (MEN-1) patients with suspected duodeno-pancreatic neuroendocrine tumours.

68Ga-DOTA-TATE PET/CT improves accuracy and guides management in multiple endocrine neoplasia type 1 (MEN-1) patients with suspected duodeno-pancreatic neuroendocrine tumours.

Purpose: To evaluate the added benefit and accuracy of 68Ga-DOTA-TATE PET/CT scans in detecting duodeno-pancreatic neuroendocrine tumours (dpNETs) compared to conventional cross-sectional imaging with CT or MRI scans in patients with multiple endocrine neoplasia type 1 (MEN-1), and whether the results from the 68Ga-DOTA-TATE PET/CT produce a change in management plans for patients with MEN-1 and dpNETs.

Methods: A retrospective analysis was performed comparing the initial 68Ga-DOTA-TATE PET/CT to the respective contemporary CT or MRI imaging in patients with MEN-1 under the care of a tertiary neuroendocrine centre. Imaging and electronic patient records were analysed to identify treatment plans and the records of multidisciplinary team discussions.

Results: In total, 85% (n = 39/46) of patients with MEN-1 had a 68Ga-DOTA-TATE PET/CT study in the electronic patient record; 23 of those with duodeno-pancreatic lesions detected also had contemporaneous contrast-enhanced CT scans, while 18 had MRI scans. 68Ga-DOTA-TATE PET/CT detected a total of 47 pancreatic lesions compared to 25 on CT, while 68Ga-DOTA-TATE PET/CT detected 32 pancreatic lesions compared to 25 on MRI. There were no duodenal lesions detected on conventional CT or MRI, but in comparison to CT and MRI, 68Ga-DOTA-TATE PET/CT detected eight and one duodenal lesions respectively. While 68Ga-DOTA-TATE PET/CT detected more liver metastases compared to CT (n: 31 vs 21) and similar numbers compared to MRI (n: 11 vs 11), these differences were not statistically significant. As a result of findings on 68Ga-DOTA-TATE PET/CT, a change of management was indicated in 69% (n = 27/39) of patients. Of these, 14 patients were offered somatostatin analogues (SSTA), eight patients were offered surgical intervention, three patients were offered peptide receptor radionuclide therapy, and one patient was offered ablation of liver metastases.

Conclusions: In patients with MEN-1, 68Ga-DOTA-TATE PET/CT was shown to detect a greater number of duodeno-pancreatic lesions compared to conventional cross-sectional CT or MRI imaging. Management plans were changed in most patients following their initial 68Ga-DOTA-TATE PET/CT. Therefore, we suggest that somatostatin receptor-targeted PET/CT scans should be an integral part of the investigation of patients with MEN-1 for staging of suspected duodeno-pancreatic NETs.

求助全文
通过发布文献求助,成功后即可免费获取论文全文。 去求助
来源期刊
自引率
0.00%
发文量
0
×
引用
GB/T 7714-2015
复制
MLA
复制
APA
复制
导出至
BibTeX EndNote RefMan NoteFirst NoteExpress
×
提示
您的信息不完整,为了账户安全,请先补充。
现在去补充
×
提示
您因"违规操作"
具体请查看互助需知
我知道了
×
提示
确定
请完成安全验证×
copy
已复制链接
快去分享给好友吧!
我知道了
右上角分享
点击右上角分享
0
联系我们:info@booksci.cn Book学术提供免费学术资源搜索服务,方便国内外学者检索中英文文献。致力于提供最便捷和优质的服务体验。 Copyright © 2023 布克学术 All rights reserved.
京ICP备2023020795号-1
ghs 京公网安备 11010802042870号
Book学术文献互助
Book学术文献互助群
群 号:604180095
Book学术官方微信