新的每日持续性头痛与梅-瑟纳生理和脊髓硬膜外静脉充血:治疗上升腰静脉栓塞。

IF 0.5 Q4 RADIOLOGY, NUCLEAR MEDICINE & MEDICAL IMAGING
BJR Case Reports Pub Date : 2025-09-09 eCollection Date: 2025-09-01 DOI:10.1093/bjrcr/uaaf045
Samuel B Ogunlade, Todd D Rozen, Andrew R Lewis, Beau B Toskich, Zlatko Devcic
{"title":"新的每日持续性头痛与梅-瑟纳生理和脊髓硬膜外静脉充血:治疗上升腰静脉栓塞。","authors":"Samuel B Ogunlade, Todd D Rozen, Andrew R Lewis, Beau B Toskich, Zlatko Devcic","doi":"10.1093/bjrcr/uaaf045","DOIUrl":null,"url":null,"abstract":"<p><p>May-Thurner physiology (MTP) can lead to various congestion syndromes due to compression of the left common iliac vein (LCIV) by the right common iliac artery (RCIA). This compression may result in venous reflux through the lumbar vein, leading to congestion of the spinal epidural venous plexus (EVP), which could contribute to refractory headaches. This case report details the clinical course of a patient with severe refractory new daily persistent headache associated with MTP who underwent ascending lumbar vein (ALV) embolization. The patient is a 59-year-old female with a 3-year history of daily persistent headache which failed multiple migraine prevention therapies and minimally invasive procedures. Imaging studies revealed significant LCIV compression by the RCIA, retrograde ALV flow, and EVP congestion. The patient underwent ALV embolization, resulting in significant symptomatic relief. At the 22-month follow-up, headache severity reduced by 80%, with the patient no longer requiring routine headache medications. Additionally, treatment of associated pelvic congestion syndrome through gonadal vein embolization resolved longstanding associated pelvic pain and pressure. This case highlights the role of venous congestion in refractory headache syndromes and underscores the potential of targeted venous interventions, such as embolization, in their management. The findings expand on emerging evidence linking venous compression syndromes to headache pathophysiology and support exploring interventional strategies as viable treatment options for selected patients. Further research is needed to validate these findings and establish evidence-based guidelines for clinical practice.</p>","PeriodicalId":45216,"journal":{"name":"BJR Case Reports","volume":"11 5","pages":"uaaf045"},"PeriodicalIF":0.5000,"publicationDate":"2025-09-09","publicationTypes":"Journal Article","fieldsOfStudy":null,"isOpenAccess":false,"openAccessPdf":"https://www.ncbi.nlm.nih.gov/pmc/articles/PMC12449044/pdf/","citationCount":"0","resultStr":"{\"title\":\"New daily persistent headache with May-Thurner physiology and spinal epidural venous congestion: treatment with ascending lumbar vein embolization.\",\"authors\":\"Samuel B Ogunlade, Todd D Rozen, Andrew R Lewis, Beau B Toskich, Zlatko Devcic\",\"doi\":\"10.1093/bjrcr/uaaf045\",\"DOIUrl\":null,\"url\":null,\"abstract\":\"<p><p>May-Thurner physiology (MTP) can lead to various congestion syndromes due to compression of the left common iliac vein (LCIV) by the right common iliac artery (RCIA). This compression may result in venous reflux through the lumbar vein, leading to congestion of the spinal epidural venous plexus (EVP), which could contribute to refractory headaches. This case report details the clinical course of a patient with severe refractory new daily persistent headache associated with MTP who underwent ascending lumbar vein (ALV) embolization. The patient is a 59-year-old female with a 3-year history of daily persistent headache which failed multiple migraine prevention therapies and minimally invasive procedures. Imaging studies revealed significant LCIV compression by the RCIA, retrograde ALV flow, and EVP congestion. The patient underwent ALV embolization, resulting in significant symptomatic relief. At the 22-month follow-up, headache severity reduced by 80%, with the patient no longer requiring routine headache medications. Additionally, treatment of associated pelvic congestion syndrome through gonadal vein embolization resolved longstanding associated pelvic pain and pressure. This case highlights the role of venous congestion in refractory headache syndromes and underscores the potential of targeted venous interventions, such as embolization, in their management. The findings expand on emerging evidence linking venous compression syndromes to headache pathophysiology and support exploring interventional strategies as viable treatment options for selected patients. Further research is needed to validate these findings and establish evidence-based guidelines for clinical practice.</p>\",\"PeriodicalId\":45216,\"journal\":{\"name\":\"BJR Case Reports\",\"volume\":\"11 5\",\"pages\":\"uaaf045\"},\"PeriodicalIF\":0.5000,\"publicationDate\":\"2025-09-09\",\"publicationTypes\":\"Journal Article\",\"fieldsOfStudy\":null,\"isOpenAccess\":false,\"openAccessPdf\":\"https://www.ncbi.nlm.nih.gov/pmc/articles/PMC12449044/pdf/\",\"citationCount\":\"0\",\"resultStr\":null,\"platform\":\"Semanticscholar\",\"paperid\":null,\"PeriodicalName\":\"BJR Case Reports\",\"FirstCategoryId\":\"1085\",\"ListUrlMain\":\"https://doi.org/10.1093/bjrcr/uaaf045\",\"RegionNum\":0,\"RegionCategory\":null,\"ArticlePicture\":[],\"TitleCN\":null,\"AbstractTextCN\":null,\"PMCID\":null,\"EPubDate\":\"2025/9/1 0:00:00\",\"PubModel\":\"eCollection\",\"JCR\":\"Q4\",\"JCRName\":\"RADIOLOGY, NUCLEAR MEDICINE & MEDICAL IMAGING\",\"Score\":null,\"Total\":0}","platform":"Semanticscholar","paperid":null,"PeriodicalName":"BJR Case Reports","FirstCategoryId":"1085","ListUrlMain":"https://doi.org/10.1093/bjrcr/uaaf045","RegionNum":0,"RegionCategory":null,"ArticlePicture":[],"TitleCN":null,"AbstractTextCN":null,"PMCID":null,"EPubDate":"2025/9/1 0:00:00","PubModel":"eCollection","JCR":"Q4","JCRName":"RADIOLOGY, NUCLEAR MEDICINE & MEDICAL IMAGING","Score":null,"Total":0}
引用次数: 0

摘要

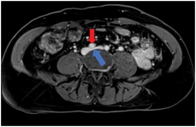
May-Thurner生理(MTP)可导致各种充血综合征,由于右髂总动脉(RCIA)压迫左髂总静脉(LCIV)。这种压迫可能导致通过腰静脉的静脉回流,导致脊髓硬膜外静脉丛(EVP)充血,这可能导致顽固性头痛。本病例报告详细介绍了一例伴有MTP的严重难治性新发持续性头痛患者的临床过程,该患者接受了腰升静脉(ALV)栓塞术。患者为59岁女性,每日持续性头痛3年,多次偏头痛预防治疗和微创手术均无效。影像学研究显示RCIA对LCIV有明显压迫,ALV血流逆行,EVP充血。患者接受了ALV栓塞治疗,症状明显缓解。在22个月的随访中,头痛严重程度降低了80%,患者不再需要常规的头痛药物。此外,通过性腺静脉栓塞治疗相关盆腔充血综合征解决了长期相关的盆腔疼痛和压力。本病例强调了静脉充血在难治性头痛综合征中的作用,并强调了靶向静脉干预的潜力,如栓塞,在其管理中。研究结果扩展了将静脉压迫综合征与头痛病理生理联系起来的新证据,并支持探索干预策略作为选定患者的可行治疗选择。需要进一步的研究来验证这些发现,并为临床实践建立循证指南。
本文章由计算机程序翻译,如有差异,请以英文原文为准。

New daily persistent headache with May-Thurner physiology and spinal epidural venous congestion: treatment with ascending lumbar vein embolization.

New daily persistent headache with May-Thurner physiology and spinal epidural venous congestion: treatment with ascending lumbar vein embolization.

New daily persistent headache with May-Thurner physiology and spinal epidural venous congestion: treatment with ascending lumbar vein embolization.

New daily persistent headache with May-Thurner physiology and spinal epidural venous congestion: treatment with ascending lumbar vein embolization.

May-Thurner physiology (MTP) can lead to various congestion syndromes due to compression of the left common iliac vein (LCIV) by the right common iliac artery (RCIA). This compression may result in venous reflux through the lumbar vein, leading to congestion of the spinal epidural venous plexus (EVP), which could contribute to refractory headaches. This case report details the clinical course of a patient with severe refractory new daily persistent headache associated with MTP who underwent ascending lumbar vein (ALV) embolization. The patient is a 59-year-old female with a 3-year history of daily persistent headache which failed multiple migraine prevention therapies and minimally invasive procedures. Imaging studies revealed significant LCIV compression by the RCIA, retrograde ALV flow, and EVP congestion. The patient underwent ALV embolization, resulting in significant symptomatic relief. At the 22-month follow-up, headache severity reduced by 80%, with the patient no longer requiring routine headache medications. Additionally, treatment of associated pelvic congestion syndrome through gonadal vein embolization resolved longstanding associated pelvic pain and pressure. This case highlights the role of venous congestion in refractory headache syndromes and underscores the potential of targeted venous interventions, such as embolization, in their management. The findings expand on emerging evidence linking venous compression syndromes to headache pathophysiology and support exploring interventional strategies as viable treatment options for selected patients. Further research is needed to validate these findings and establish evidence-based guidelines for clinical practice.

求助全文
通过发布文献求助,成功后即可免费获取论文全文。 去求助
来源期刊
BJR Case Reports
BJR Case Reports RADIOLOGY, NUCLEAR MEDICINE & MEDICAL IMAGING-
自引率
0.00%
发文量
77
审稿时长
11 weeks
×
引用
GB/T 7714-2015
复制
MLA
复制
APA
复制
导出至
BibTeX EndNote RefMan NoteFirst NoteExpress
×
提示
您的信息不完整,为了账户安全,请先补充。
现在去补充
×
提示
您因"违规操作"
具体请查看互助需知
我知道了
×
提示
确定
请完成安全验证×
copy
已复制链接
快去分享给好友吧!
我知道了
右上角分享
点击右上角分享
0
联系我们:info@booksci.cn Book学术提供免费学术资源搜索服务,方便国内外学者检索中英文文献。致力于提供最便捷和优质的服务体验。 Copyright © 2023 布克学术 All rights reserved.
京ICP备2023020795号-1
ghs 京公网安备 11010802042870号
Book学术文献互助
Book学术文献互助群
群 号:604180095
Book学术官方微信