缺血Charcot中足重建联合胫骨外侧皮质横向转运1例。

IF 1.3 Q3 ORTHOPEDICS
Hussain Al Omar, Om Lahoti, Michael Edmonds, Venu Kavarthapu
{"title":"缺血Charcot中足重建联合胫骨外侧皮质横向转运1例。","authors":"Hussain Al Omar, Om Lahoti, Michael Edmonds, Venu Kavarthapu","doi":"10.5005/jp-journals-10080-1637","DOIUrl":null,"url":null,"abstract":"<p><p>Charcot neuroarthropathy involving foot is a frequent and potentially a devastating complication of diabetes. In addition to good control of diabetes, surgical shoes and regular podiatric treatment, correction of foot deformity to prevent ulceration, deep infection and limb loss are now well established. Vascular insufficiency is common in this group of patients and traditional revascularisation procedures do not always succeed in healing ulcers and treating critical ischaemia. It compromises wound and bone healing. We report successful use of a modified technique of tibial cortex transverse transport (TTT) in a case where traditional revascularisation methods failed to correct critical ischaemia. We have achieved successful soft tissue and bone healing using this technique.</p><p><strong>How to cite this article: </strong>Al Omar H, Lahoti O, Edmonds M, <i>et al</i>. Ischaemic Charcot Midfoot Reconstruction Combined with Lateral Tibial Cortex Transverse Transport: Case Report. Strategies Trauma Limb Reconstr 2025;20(1):50-55.</p>","PeriodicalId":21979,"journal":{"name":"Strategies in Trauma and Limb Reconstruction","volume":"20 1","pages":"50-55"},"PeriodicalIF":1.3000,"publicationDate":"2025-01-01","publicationTypes":"Journal Article","fieldsOfStudy":null,"isOpenAccess":false,"openAccessPdf":"https://www.ncbi.nlm.nih.gov/pmc/articles/PMC12445136/pdf/","citationCount":"0","resultStr":"{\"title\":\"Ischaemic Charcot Midfoot Reconstruction Combined with Lateral Tibial Cortex Transverse Transport: Case Report.\",\"authors\":\"Hussain Al Omar, Om Lahoti, Michael Edmonds, Venu Kavarthapu\",\"doi\":\"10.5005/jp-journals-10080-1637\",\"DOIUrl\":null,\"url\":null,\"abstract\":\"<p><p>Charcot neuroarthropathy involving foot is a frequent and potentially a devastating complication of diabetes. In addition to good control of diabetes, surgical shoes and regular podiatric treatment, correction of foot deformity to prevent ulceration, deep infection and limb loss are now well established. Vascular insufficiency is common in this group of patients and traditional revascularisation procedures do not always succeed in healing ulcers and treating critical ischaemia. It compromises wound and bone healing. We report successful use of a modified technique of tibial cortex transverse transport (TTT) in a case where traditional revascularisation methods failed to correct critical ischaemia. We have achieved successful soft tissue and bone healing using this technique.</p><p><strong>How to cite this article: </strong>Al Omar H, Lahoti O, Edmonds M, <i>et al</i>. Ischaemic Charcot Midfoot Reconstruction Combined with Lateral Tibial Cortex Transverse Transport: Case Report. Strategies Trauma Limb Reconstr 2025;20(1):50-55.</p>\",\"PeriodicalId\":21979,\"journal\":{\"name\":\"Strategies in Trauma and Limb Reconstruction\",\"volume\":\"20 1\",\"pages\":\"50-55\"},\"PeriodicalIF\":1.3000,\"publicationDate\":\"2025-01-01\",\"publicationTypes\":\"Journal Article\",\"fieldsOfStudy\":null,\"isOpenAccess\":false,\"openAccessPdf\":\"https://www.ncbi.nlm.nih.gov/pmc/articles/PMC12445136/pdf/\",\"citationCount\":\"0\",\"resultStr\":null,\"platform\":\"Semanticscholar\",\"paperid\":null,\"PeriodicalName\":\"Strategies in Trauma and Limb Reconstruction\",\"FirstCategoryId\":\"1085\",\"ListUrlMain\":\"https://doi.org/10.5005/jp-journals-10080-1637\",\"RegionNum\":0,\"RegionCategory\":null,\"ArticlePicture\":[],\"TitleCN\":null,\"AbstractTextCN\":null,\"PMCID\":null,\"EPubDate\":\"2025/8/18 0:00:00\",\"PubModel\":\"Epub\",\"JCR\":\"Q3\",\"JCRName\":\"ORTHOPEDICS\",\"Score\":null,\"Total\":0}","platform":"Semanticscholar","paperid":null,"PeriodicalName":"Strategies in Trauma and Limb Reconstruction","FirstCategoryId":"1085","ListUrlMain":"https://doi.org/10.5005/jp-journals-10080-1637","RegionNum":0,"RegionCategory":null,"ArticlePicture":[],"TitleCN":null,"AbstractTextCN":null,"PMCID":null,"EPubDate":"2025/8/18 0:00:00","PubModel":"Epub","JCR":"Q3","JCRName":"ORTHOPEDICS","Score":null,"Total":0}
引用次数: 0

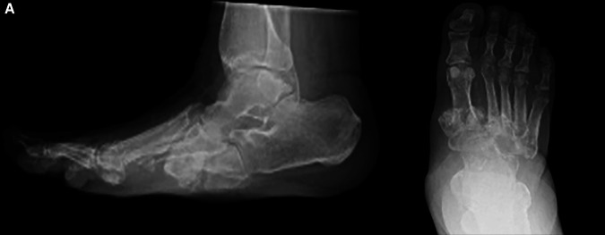
摘要

Charcot神经关节病累及足部是糖尿病的一种常见且潜在的破坏性并发症。除了良好的糖尿病控制,外科鞋和定期足部治疗,纠正足部畸形,防止溃疡,深部感染和肢体丧失,现在已经很好地建立了。血管功能不全在这组患者中很常见,传统的血管重建术并不总能成功治愈溃疡和治疗重症缺血。它会影响伤口和骨头的愈合。我们报告了在传统血运方法未能纠正严重缺血的情况下,成功使用改良的胫骨皮质横向运输技术(TTT)。我们已经用这种技术成功地治愈了软组织和骨骼。如何引用本文:Al Omar H, Lahoti O, Edmonds M,等。缺血Charcot中足重建联合胫骨外侧皮质横向转运1例。创伤肢体重建2025;20(1):50-55。
本文章由计算机程序翻译,如有差异,请以英文原文为准。

Ischaemic Charcot Midfoot Reconstruction Combined with Lateral Tibial Cortex Transverse Transport: Case Report.

Ischaemic Charcot Midfoot Reconstruction Combined with Lateral Tibial Cortex Transverse Transport: Case Report.

Ischaemic Charcot Midfoot Reconstruction Combined with Lateral Tibial Cortex Transverse Transport: Case Report.

Ischaemic Charcot Midfoot Reconstruction Combined with Lateral Tibial Cortex Transverse Transport: Case Report.

Charcot neuroarthropathy involving foot is a frequent and potentially a devastating complication of diabetes. In addition to good control of diabetes, surgical shoes and regular podiatric treatment, correction of foot deformity to prevent ulceration, deep infection and limb loss are now well established. Vascular insufficiency is common in this group of patients and traditional revascularisation procedures do not always succeed in healing ulcers and treating critical ischaemia. It compromises wound and bone healing. We report successful use of a modified technique of tibial cortex transverse transport (TTT) in a case where traditional revascularisation methods failed to correct critical ischaemia. We have achieved successful soft tissue and bone healing using this technique.

How to cite this article: Al Omar H, Lahoti O, Edmonds M, et al. Ischaemic Charcot Midfoot Reconstruction Combined with Lateral Tibial Cortex Transverse Transport: Case Report. Strategies Trauma Limb Reconstr 2025;20(1):50-55.

求助全文
通过发布文献求助,成功后即可免费获取论文全文。 去求助
来源期刊
Strategies in Trauma and Limb Reconstruction
Strategies in Trauma and Limb Reconstruction Medicine-Orthopedics and Sports Medicine
CiteScore
1.50
自引率
0.00%
发文量
31
期刊介绍: Strategies in Trauma and Limb Reconstruction is dedicated to surgeons, allied medical professionals and researchers in the field of orthopaedics and trauma. The scope of the journal is to discuss the fields of skeletal injury, and the complications thereof, congenital and acquired limb deformities and deficiencies, and orthopaedic-related infection, together with their surgical and non-surgical treatments. The journal publishes original articles, reviews, case reports, descriptions of new or recognised treatment techniques, forum discussions of clinical scenarios and relevant correspondence. It aims to provide a widely accessible source of useful information to practitioners in the field through the problem- or technique-based approach of published articles.
×
引用
GB/T 7714-2015
复制
MLA
复制
APA
复制
导出至
BibTeX EndNote RefMan NoteFirst NoteExpress
×
提示
您的信息不完整,为了账户安全,请先补充。
现在去补充
×
提示
您因"违规操作"
具体请查看互助需知
我知道了
×
提示
确定
请完成安全验证×
copy
已复制链接
快去分享给好友吧!
我知道了
右上角分享
点击右上角分享
0
联系我们:info@booksci.cn Book学术提供免费学术资源搜索服务,方便国内外学者检索中英文文献。致力于提供最便捷和优质的服务体验。 Copyright © 2023 布克学术 All rights reserved.
京ICP备2023020795号-1
ghs 京公网安备 11010802042870号
Book学术文献互助
Book学术文献互助群
群 号:604180095
Book学术官方微信