未行手术的老年晚期卵巢癌患者的回顾性研究。

IF 4.2 2区 医学 Q1 ONCOLOGY
Oncologist Pub Date : 2025-10-01 DOI:10.1093/oncolo/oyaf290
Hui Qu, QianXue Wei, Wen Gu, Zhenhua Du, Xiuqin Li, Yu Xia
{"title":"未行手术的老年晚期卵巢癌患者的回顾性研究。","authors":"Hui Qu, QianXue Wei, Wen Gu, Zhenhua Du, Xiuqin Li, Yu Xia","doi":"10.1093/oncolo/oyaf290","DOIUrl":null,"url":null,"abstract":"<p><strong>Objective: </strong>To evaluate the clinical outcomes of elderly patients with advanced ovarian cancer who did not undergo surgery and received chemotherapy with or without maintenance therapy.</p><p><strong>Methods: </strong>We retrospectively analyzed the clinical data of 15 patients with advanced high-grade serous ovarian cancer who were treated at our hospital between 2018 and 2023. These patients either had multiple comorbidities or refused surgery. Data collected included patient demographics, treatment regimens, chemotherapy cycles, clinical response, progression-free survival (PFS), and overall survival (OS).</p><p><strong>Results: </strong>The median age of the patients was 73 years (range, 50-86 years). Fourteen patients received platinum-based chemotherapy combined with paclitaxel or liposomal doxorubicin, with or without bevacizumab, for 3 to 6 cycles. Twelve patients who achieved disease control received PARP inhibitor maintenance therapy. The overall response rate (ORR) was 80.0%, or 12/15 patients achieved partial response (PR); nobody achieved complete response. The disease control rate (DCR) was 100%. The median PFS1 was 19.0 months (95% CI, 11.85-26.15), and the median PFS2 was 10 months. The 3-year OS rate was 65.2%, with a median OS of 57.0 months (95% CI, 13.00-100.99).</p><p><strong>Conclusions: </strong>Chemotherapy with or without bevacizumab, followed by PARP inhibitor maintenance therapy, is a viable alternative for elderly or surgically ineligible patients with advanced ovarian cancer. The findings of this study should be considered exploratory and require validation through large-scale studies.</p>","PeriodicalId":54686,"journal":{"name":"Oncologist","volume":" ","pages":""},"PeriodicalIF":4.2000,"publicationDate":"2025-10-01","publicationTypes":"Journal Article","fieldsOfStudy":null,"isOpenAccess":false,"openAccessPdf":"https://www.ncbi.nlm.nih.gov/pmc/articles/PMC12530882/pdf/","citationCount":"0","resultStr":"{\"title\":\"Retrospective study of elderly patients with advanced ovarian cancer who did not undergo surgery.\",\"authors\":\"Hui Qu, QianXue Wei, Wen Gu, Zhenhua Du, Xiuqin Li, Yu Xia\",\"doi\":\"10.1093/oncolo/oyaf290\",\"DOIUrl\":null,\"url\":null,\"abstract\":\"<p><strong>Objective: </strong>To evaluate the clinical outcomes of elderly patients with advanced ovarian cancer who did not undergo surgery and received chemotherapy with or without maintenance therapy.</p><p><strong>Methods: </strong>We retrospectively analyzed the clinical data of 15 patients with advanced high-grade serous ovarian cancer who were treated at our hospital between 2018 and 2023. These patients either had multiple comorbidities or refused surgery. Data collected included patient demographics, treatment regimens, chemotherapy cycles, clinical response, progression-free survival (PFS), and overall survival (OS).</p><p><strong>Results: </strong>The median age of the patients was 73 years (range, 50-86 years). Fourteen patients received platinum-based chemotherapy combined with paclitaxel or liposomal doxorubicin, with or without bevacizumab, for 3 to 6 cycles. Twelve patients who achieved disease control received PARP inhibitor maintenance therapy. The overall response rate (ORR) was 80.0%, or 12/15 patients achieved partial response (PR); nobody achieved complete response. The disease control rate (DCR) was 100%. The median PFS1 was 19.0 months (95% CI, 11.85-26.15), and the median PFS2 was 10 months. The 3-year OS rate was 65.2%, with a median OS of 57.0 months (95% CI, 13.00-100.99).</p><p><strong>Conclusions: </strong>Chemotherapy with or without bevacizumab, followed by PARP inhibitor maintenance therapy, is a viable alternative for elderly or surgically ineligible patients with advanced ovarian cancer. The findings of this study should be considered exploratory and require validation through large-scale studies.</p>\",\"PeriodicalId\":54686,\"journal\":{\"name\":\"Oncologist\",\"volume\":\" \",\"pages\":\"\"},\"PeriodicalIF\":4.2000,\"publicationDate\":\"2025-10-01\",\"publicationTypes\":\"Journal Article\",\"fieldsOfStudy\":null,\"isOpenAccess\":false,\"openAccessPdf\":\"https://www.ncbi.nlm.nih.gov/pmc/articles/PMC12530882/pdf/\",\"citationCount\":\"0\",\"resultStr\":null,\"platform\":\"Semanticscholar\",\"paperid\":null,\"PeriodicalName\":\"Oncologist\",\"FirstCategoryId\":\"3\",\"ListUrlMain\":\"https://doi.org/10.1093/oncolo/oyaf290\",\"RegionNum\":2,\"RegionCategory\":\"医学\",\"ArticlePicture\":[],\"TitleCN\":null,\"AbstractTextCN\":null,\"PMCID\":null,\"EPubDate\":\"\",\"PubModel\":\"\",\"JCR\":\"Q1\",\"JCRName\":\"ONCOLOGY\",\"Score\":null,\"Total\":0}","platform":"Semanticscholar","paperid":null,"PeriodicalName":"Oncologist","FirstCategoryId":"3","ListUrlMain":"https://doi.org/10.1093/oncolo/oyaf290","RegionNum":2,"RegionCategory":"医学","ArticlePicture":[],"TitleCN":null,"AbstractTextCN":null,"PMCID":null,"EPubDate":"","PubModel":"","JCR":"Q1","JCRName":"ONCOLOGY","Score":null,"Total":0}
引用次数: 0

摘要

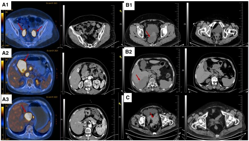
目的:评价老年晚期卵巢癌患者不手术、化疗加维持治疗或不加维持治疗的临床效果。方法:回顾性分析2018 - 2023年我院收治的15例晚期高级别浆液性卵巢癌患者的临床资料。这些患者要么有多种合并症,要么拒绝手术。收集的数据包括患者人口统计学、治疗方案、化疗周期、临床反应、无进展生存期(PFS)和总生存期(OS)。结果:患者年龄中位数为73岁(范围50-86岁)。14例患者接受以铂为基础的化疗联合紫杉醇或脂质体阿霉素,联合或不联合贝伐单抗,疗程3至6个周期。12例获得疾病控制的患者接受了PARP抑制剂维持治疗。总缓解率(ORR)为80.0%,12/15患者达到部分缓解(PR);没有人达到完全缓解。疾病控制率(DCR) 100%。中位PFS1为19.0个月(95% CI, 11.85-26.15),中位PFS2为10个月。3年OS率为65.2%,中位OS为57.0个月(95% CI, 13.00-100.99)。结论:化疗联合或不联合贝伐单抗,再加上PARP抑制剂维持治疗,是老年或不适合手术的晚期卵巢癌患者的可行选择。本研究的结果应该被认为是探索性的,需要通过大规模的研究来验证。
本文章由计算机程序翻译,如有差异,请以英文原文为准。

Retrospective study of elderly patients with advanced ovarian cancer who did not undergo surgery.

Retrospective study of elderly patients with advanced ovarian cancer who did not undergo surgery.

Retrospective study of elderly patients with advanced ovarian cancer who did not undergo surgery.

Objective: To evaluate the clinical outcomes of elderly patients with advanced ovarian cancer who did not undergo surgery and received chemotherapy with or without maintenance therapy.

Methods: We retrospectively analyzed the clinical data of 15 patients with advanced high-grade serous ovarian cancer who were treated at our hospital between 2018 and 2023. These patients either had multiple comorbidities or refused surgery. Data collected included patient demographics, treatment regimens, chemotherapy cycles, clinical response, progression-free survival (PFS), and overall survival (OS).

Results: The median age of the patients was 73 years (range, 50-86 years). Fourteen patients received platinum-based chemotherapy combined with paclitaxel or liposomal doxorubicin, with or without bevacizumab, for 3 to 6 cycles. Twelve patients who achieved disease control received PARP inhibitor maintenance therapy. The overall response rate (ORR) was 80.0%, or 12/15 patients achieved partial response (PR); nobody achieved complete response. The disease control rate (DCR) was 100%. The median PFS1 was 19.0 months (95% CI, 11.85-26.15), and the median PFS2 was 10 months. The 3-year OS rate was 65.2%, with a median OS of 57.0 months (95% CI, 13.00-100.99).

Conclusions: Chemotherapy with or without bevacizumab, followed by PARP inhibitor maintenance therapy, is a viable alternative for elderly or surgically ineligible patients with advanced ovarian cancer. The findings of this study should be considered exploratory and require validation through large-scale studies.

求助全文
通过发布文献求助,成功后即可免费获取论文全文。 去求助
来源期刊
Oncologist
Oncologist 医学-肿瘤学
CiteScore
10.40
自引率
3.40%
发文量
309
审稿时长
3-8 weeks
期刊介绍: The Oncologist® is dedicated to translating the latest research developments into the best multidimensional care for cancer patients. Thus, The Oncologist is committed to helping physicians excel in this ever-expanding environment through the publication of timely reviews, original studies, and commentaries on important developments. We believe that the practice of oncology requires both an understanding of a range of disciplines encompassing basic science related to cancer, translational research, and clinical practice, but also the socioeconomic and psychosocial factors that determine access to care and quality of life and function following cancer treatment.
×
引用
GB/T 7714-2015
复制
MLA
复制
APA
复制
导出至
BibTeX EndNote RefMan NoteFirst NoteExpress
×
提示
您的信息不完整,为了账户安全,请先补充。
现在去补充
×
提示
您因"违规操作"
具体请查看互助需知
我知道了
×
提示
确定
请完成安全验证×
copy
已复制链接
快去分享给好友吧!
我知道了
右上角分享
点击右上角分享
0
联系我们:info@booksci.cn Book学术提供免费学术资源搜索服务,方便国内外学者检索中英文文献。致力于提供最便捷和优质的服务体验。 Copyright © 2023 布克学术 All rights reserved.
京ICP备2023020795号-1
ghs 京公网安备 11010802042870号
Book学术文献互助
Book学术文献互助群
群 号:604180095
Book学术官方微信