NSCLC脑转移中脑脊膜轻脑膜转移风险预测图的开发和验证:肿瘤位置、驱动突变和立体定向放射手术的作用。

IF 3.1 2区 医学 Q2 CLINICAL NEUROLOGY
Journal of Neuro-Oncology Pub Date : 2025-12-01 Epub Date: 2025-09-18 DOI:10.1007/s11060-025-05220-9
Shoaib Bashir, Song Jian, Weiping Hong, Hui Wang, Mingyao Lai, Hanbo Lin, Qianwen Liang, Meng Xu, Linbo Cai
{"title":"NSCLC脑转移中脑脊膜轻脑膜转移风险预测图的开发和验证:肿瘤位置、驱动突变和立体定向放射手术的作用。","authors":"Shoaib Bashir, Song Jian, Weiping Hong, Hui Wang, Mingyao Lai, Hanbo Lin, Qianwen Liang, Meng Xu, Linbo Cai","doi":"10.1007/s11060-025-05220-9","DOIUrl":null,"url":null,"abstract":"<p><strong>Background: </strong>Non-small cell lung cancer (NSCLC) frequently metastasizes to the leptomeninges, typically following brain parenchymal metastases (BM), with a significant impact on prognosis. However, predictors of leptomeningeal metastasis (LM) development remain poorly characterized. This study aimed to identify independent risk factors for subsequent LM development and establish a predictive nomogram for clinical risk stratification.</p><p><strong>Methods: </strong>The final analysis included 112 pathologically definite NSCLC patients with BM, treated at Sanjiu Brain Hospital between July 2014 and December 2020, who had not undergone whole brain radiation therapy before LM diagnosis. LM diagnosis was made if the patient had a history of pathologically confirmed lung cancer, new signs and symptoms of the nervous system, and positive CSF cytology or typical MRI findings. The data were retrospectively collected following the initial BM diagnosis until the patient was diagnosed with LM or died of any cause without developing LM. MR images were reviewed independently by two well-experienced radiologists in a double-blind manner. The primary outcome was to identify factors associated with the development of LM following BM diagnosis.</p><p><strong>Results: </strong>In the present study, two study cohorts were analyzed: (1) NSCLC-BM patients who subsequently developed LM (n = 56), and (2) NSCLC-BM patients who did not develop LM until death (n = 56). The median follow-up time for the entire cohort was 9.9 months (IQR, 4.2-18.2 months) following BM diagnosis. Univariate analysis identified several potential risk factors including EGFR/ALK/ROS1 mutations (OR = 3.868, 95% CI 1.583-10.079, P = 0.003), ventricle- or pia mater-adherent BMs (OR = 10.278, 95% CI 4.203-27.375, P < 0.001), and stereotactic radiosurgery (SRS) as a protective factor (OR = 0.024, 95% CI 0.001-0.12, P < 0.001). Multivariable logistic regression confirmed adherent BMs (OR = 9.846, 95% CI 2.981-40.176, P < 0.001) and driver mutations (OR = 5.501, 95% CI 1.444-25.893, P = 0.018) were independent predictors of increased LM risk, while SRS significantly reduced LM risk (OR = 0.029, 95% CI 0.001-0.179, P = 0.002). Fine-Gray competing risks analysis (death without developing LM as competing event) yielded consistent results: adherent BMs (HR = 3.17, 95% CI 1.68-5.97, P < 0.001), mutations (HR = 2.99, 95% CI 1.03-8.70, P = 0.045), and protective effect of SRS (HR = 0.25, 95% CI 0.14-0.46, P < 0.001). A nomogram incorporating these three factors demonstrated excellent predictive performance with an area under the receiver operating characteristic curve of 0.885 and a C-index of 0.805.</p><p><strong>Conclusions: </strong>Patients with adherent BMs and driver mutations appear to be associated with increased LM risk, while SRS may be associated with reducing this risk. Our novel nomogram incorporating these factors shows promising predictive performance in our cohort, potentially enabling effective risk stratification. These exploratory findings suggest high-risk patients with ventricle- or pia mater-adherent BMs and driver mutations might benefit from consideration of upfront SRS combined with targeted therapy, though prospective validation is needed.</p>","PeriodicalId":16425,"journal":{"name":"Journal of Neuro-Oncology","volume":" ","pages":"1377-1390"},"PeriodicalIF":3.1000,"publicationDate":"2025-12-01","publicationTypes":"Journal Article","fieldsOfStudy":null,"isOpenAccess":false,"openAccessPdf":"https://www.ncbi.nlm.nih.gov/pmc/articles/PMC12511215/pdf/","citationCount":"0","resultStr":"{\"title\":\"Development and validation of a predictive nomogram for leptomeningeal metastasis risk in NSCLC brain metastases: role of tumor location, driver mutations, and stereotactic radiosurgery.\",\"authors\":\"Shoaib Bashir, Song Jian, Weiping Hong, Hui Wang, Mingyao Lai, Hanbo Lin, Qianwen Liang, Meng Xu, Linbo Cai\",\"doi\":\"10.1007/s11060-025-05220-9\",\"DOIUrl\":null,\"url\":null,\"abstract\":\"<p><strong>Background: </strong>Non-small cell lung cancer (NSCLC) frequently metastasizes to the leptomeninges, typically following brain parenchymal metastases (BM), with a significant impact on prognosis. However, predictors of leptomeningeal metastasis (LM) development remain poorly characterized. This study aimed to identify independent risk factors for subsequent LM development and establish a predictive nomogram for clinical risk stratification.</p><p><strong>Methods: </strong>The final analysis included 112 pathologically definite NSCLC patients with BM, treated at Sanjiu Brain Hospital between July 2014 and December 2020, who had not undergone whole brain radiation therapy before LM diagnosis. LM diagnosis was made if the patient had a history of pathologically confirmed lung cancer, new signs and symptoms of the nervous system, and positive CSF cytology or typical MRI findings. The data were retrospectively collected following the initial BM diagnosis until the patient was diagnosed with LM or died of any cause without developing LM. MR images were reviewed independently by two well-experienced radiologists in a double-blind manner. The primary outcome was to identify factors associated with the development of LM following BM diagnosis.</p><p><strong>Results: </strong>In the present study, two study cohorts were analyzed: (1) NSCLC-BM patients who subsequently developed LM (n = 56), and (2) NSCLC-BM patients who did not develop LM until death (n = 56). The median follow-up time for the entire cohort was 9.9 months (IQR, 4.2-18.2 months) following BM diagnosis. Univariate analysis identified several potential risk factors including EGFR/ALK/ROS1 mutations (OR = 3.868, 95% CI 1.583-10.079, P = 0.003), ventricle- or pia mater-adherent BMs (OR = 10.278, 95% CI 4.203-27.375, P < 0.001), and stereotactic radiosurgery (SRS) as a protective factor (OR = 0.024, 95% CI 0.001-0.12, P < 0.001). Multivariable logistic regression confirmed adherent BMs (OR = 9.846, 95% CI 2.981-40.176, P < 0.001) and driver mutations (OR = 5.501, 95% CI 1.444-25.893, P = 0.018) were independent predictors of increased LM risk, while SRS significantly reduced LM risk (OR = 0.029, 95% CI 0.001-0.179, P = 0.002). Fine-Gray competing risks analysis (death without developing LM as competing event) yielded consistent results: adherent BMs (HR = 3.17, 95% CI 1.68-5.97, P < 0.001), mutations (HR = 2.99, 95% CI 1.03-8.70, P = 0.045), and protective effect of SRS (HR = 0.25, 95% CI 0.14-0.46, P < 0.001). A nomogram incorporating these three factors demonstrated excellent predictive performance with an area under the receiver operating characteristic curve of 0.885 and a C-index of 0.805.</p><p><strong>Conclusions: </strong>Patients with adherent BMs and driver mutations appear to be associated with increased LM risk, while SRS may be associated with reducing this risk. Our novel nomogram incorporating these factors shows promising predictive performance in our cohort, potentially enabling effective risk stratification. These exploratory findings suggest high-risk patients with ventricle- or pia mater-adherent BMs and driver mutations might benefit from consideration of upfront SRS combined with targeted therapy, though prospective validation is needed.</p>\",\"PeriodicalId\":16425,\"journal\":{\"name\":\"Journal of Neuro-Oncology\",\"volume\":\" \",\"pages\":\"1377-1390\"},\"PeriodicalIF\":3.1000,\"publicationDate\":\"2025-12-01\",\"publicationTypes\":\"Journal Article\",\"fieldsOfStudy\":null,\"isOpenAccess\":false,\"openAccessPdf\":\"https://www.ncbi.nlm.nih.gov/pmc/articles/PMC12511215/pdf/\",\"citationCount\":\"0\",\"resultStr\":null,\"platform\":\"Semanticscholar\",\"paperid\":null,\"PeriodicalName\":\"Journal of Neuro-Oncology\",\"FirstCategoryId\":\"3\",\"ListUrlMain\":\"https://doi.org/10.1007/s11060-025-05220-9\",\"RegionNum\":2,\"RegionCategory\":\"医学\",\"ArticlePicture\":[],\"TitleCN\":null,\"AbstractTextCN\":null,\"PMCID\":null,\"EPubDate\":\"2025/9/18 0:00:00\",\"PubModel\":\"Epub\",\"JCR\":\"Q2\",\"JCRName\":\"CLINICAL NEUROLOGY\",\"Score\":null,\"Total\":0}","platform":"Semanticscholar","paperid":null,"PeriodicalName":"Journal of Neuro-Oncology","FirstCategoryId":"3","ListUrlMain":"https://doi.org/10.1007/s11060-025-05220-9","RegionNum":2,"RegionCategory":"医学","ArticlePicture":[],"TitleCN":null,"AbstractTextCN":null,"PMCID":null,"EPubDate":"2025/9/18 0:00:00","PubModel":"Epub","JCR":"Q2","JCRName":"CLINICAL NEUROLOGY","Score":null,"Total":0}
引用次数: 0

摘要

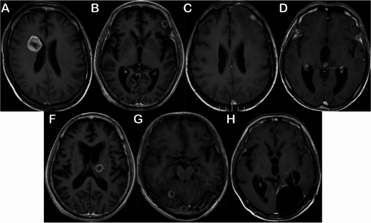
背景:非小细胞肺癌(NSCLC)经常转移到脑膜,通常在脑实质转移(BM)后转移,对预后有显著影响。然而,小脑膜转移(LM)发展的预测因素仍然缺乏特征。本研究旨在确定后续LM发展的独立危险因素,并建立临床风险分层的预测图。方法:最终分析了2014年7月至2020年12月在三九脑科医院治疗的112例病理明确的NSCLC脑转移患者,这些患者在LM诊断前未接受过全脑放疗。如果患者有病理证实的肺癌病史,神经系统出现新的体征和症状,脑脊液细胞学阳性或MRI表现典型,则进行LM诊断。从最初的脑转移诊断开始,直到患者被诊断为LM或因任何原因死亡而未发展为LM,回顾性收集数据。MR图像由两位经验丰富的放射科医生以双盲方式独立审查。主要结果是确定与BM诊断后LM发展相关的因素。结果:在本研究中,分析了两个研究队列:(1)随后发生LM的NSCLC-BM患者(n = 56),(2)直到死亡才发生LM的NSCLC-BM患者(n = 56)。整个队列的中位随访时间为BM诊断后9.9个月(IQR, 4.2-18.2个月)。单因素分析确定了几个潜在的危险因素,包括EGFR/ALK/ROS1突变(OR = 3.868, 95% CI 1.583-10.079, P = 0.003),脑室或脑脊膜粘附性脑转移(OR = 10.278, 95% CI 4.203-27.375, P)。结论:粘附性脑转移和驱动突变的患者似乎与LM风险增加有关,而SRS可能与降低这种风险有关。我们结合这些因素的新nomogram在我们的队列中显示了有希望的预测性能,潜在地实现了有效的风险分层。这些探索性研究结果表明,脑室或脑膜材料粘附性脑转移和驱动突变的高危患者可能从考虑前期SRS联合靶向治疗中获益,尽管需要前瞻性验证。
本文章由计算机程序翻译,如有差异,请以英文原文为准。

Development and validation of a predictive nomogram for leptomeningeal metastasis risk in NSCLC brain metastases: role of tumor location, driver mutations, and stereotactic radiosurgery.

Development and validation of a predictive nomogram for leptomeningeal metastasis risk in NSCLC brain metastases: role of tumor location, driver mutations, and stereotactic radiosurgery.

Development and validation of a predictive nomogram for leptomeningeal metastasis risk in NSCLC brain metastases: role of tumor location, driver mutations, and stereotactic radiosurgery.

Development and validation of a predictive nomogram for leptomeningeal metastasis risk in NSCLC brain metastases: role of tumor location, driver mutations, and stereotactic radiosurgery.

Background: Non-small cell lung cancer (NSCLC) frequently metastasizes to the leptomeninges, typically following brain parenchymal metastases (BM), with a significant impact on prognosis. However, predictors of leptomeningeal metastasis (LM) development remain poorly characterized. This study aimed to identify independent risk factors for subsequent LM development and establish a predictive nomogram for clinical risk stratification.

Methods: The final analysis included 112 pathologically definite NSCLC patients with BM, treated at Sanjiu Brain Hospital between July 2014 and December 2020, who had not undergone whole brain radiation therapy before LM diagnosis. LM diagnosis was made if the patient had a history of pathologically confirmed lung cancer, new signs and symptoms of the nervous system, and positive CSF cytology or typical MRI findings. The data were retrospectively collected following the initial BM diagnosis until the patient was diagnosed with LM or died of any cause without developing LM. MR images were reviewed independently by two well-experienced radiologists in a double-blind manner. The primary outcome was to identify factors associated with the development of LM following BM diagnosis.

Results: In the present study, two study cohorts were analyzed: (1) NSCLC-BM patients who subsequently developed LM (n = 56), and (2) NSCLC-BM patients who did not develop LM until death (n = 56). The median follow-up time for the entire cohort was 9.9 months (IQR, 4.2-18.2 months) following BM diagnosis. Univariate analysis identified several potential risk factors including EGFR/ALK/ROS1 mutations (OR = 3.868, 95% CI 1.583-10.079, P = 0.003), ventricle- or pia mater-adherent BMs (OR = 10.278, 95% CI 4.203-27.375, P < 0.001), and stereotactic radiosurgery (SRS) as a protective factor (OR = 0.024, 95% CI 0.001-0.12, P < 0.001). Multivariable logistic regression confirmed adherent BMs (OR = 9.846, 95% CI 2.981-40.176, P < 0.001) and driver mutations (OR = 5.501, 95% CI 1.444-25.893, P = 0.018) were independent predictors of increased LM risk, while SRS significantly reduced LM risk (OR = 0.029, 95% CI 0.001-0.179, P = 0.002). Fine-Gray competing risks analysis (death without developing LM as competing event) yielded consistent results: adherent BMs (HR = 3.17, 95% CI 1.68-5.97, P < 0.001), mutations (HR = 2.99, 95% CI 1.03-8.70, P = 0.045), and protective effect of SRS (HR = 0.25, 95% CI 0.14-0.46, P < 0.001). A nomogram incorporating these three factors demonstrated excellent predictive performance with an area under the receiver operating characteristic curve of 0.885 and a C-index of 0.805.

Conclusions: Patients with adherent BMs and driver mutations appear to be associated with increased LM risk, while SRS may be associated with reducing this risk. Our novel nomogram incorporating these factors shows promising predictive performance in our cohort, potentially enabling effective risk stratification. These exploratory findings suggest high-risk patients with ventricle- or pia mater-adherent BMs and driver mutations might benefit from consideration of upfront SRS combined with targeted therapy, though prospective validation is needed.

求助全文
通过发布文献求助,成功后即可免费获取论文全文。 去求助
来源期刊
Journal of Neuro-Oncology
Journal of Neuro-Oncology 医学-临床神经学
CiteScore
6.60
自引率
7.70%
发文量
277
审稿时长
3.3 months
期刊介绍: The Journal of Neuro-Oncology is a multi-disciplinary journal encompassing basic, applied, and clinical investigations in all research areas as they relate to cancer and the central nervous system. It provides a single forum for communication among neurologists, neurosurgeons, radiotherapists, medical oncologists, neuropathologists, neurodiagnosticians, and laboratory-based oncologists conducting relevant research. The Journal of Neuro-Oncology does not seek to isolate the field, but rather to focus the efforts of many disciplines in one publication through a format which pulls together these diverse interests. More than any other field of oncology, cancer of the central nervous system requires multi-disciplinary approaches. To alleviate having to scan dozens of journals of cell biology, pathology, laboratory and clinical endeavours, JNO is a periodical in which current, high-quality, relevant research in all aspects of neuro-oncology may be found.
×
引用
GB/T 7714-2015
复制
MLA
复制
APA
复制
导出至
BibTeX EndNote RefMan NoteFirst NoteExpress
×
提示
您的信息不完整,为了账户安全,请先补充。
现在去补充
×
提示
您因"违规操作"
具体请查看互助需知
我知道了
×
提示
确定
请完成安全验证×
copy
已复制链接
快去分享给好友吧!
我知道了
右上角分享
点击右上角分享
0
联系我们:info@booksci.cn Book学术提供免费学术资源搜索服务,方便国内外学者检索中英文文献。致力于提供最便捷和优质的服务体验。 Copyright © 2023 布克学术 All rights reserved.
京ICP备2023020795号-1
ghs 京公网安备 11010802042870号
Book学术文献互助
Book学术文献互助群
群 号:604180095
Book学术官方微信