预先警告就是预先准备:产前诊断在处理高危新生儿大动脉转位-完整室间隔中的关键作用。

IF 0.7 Q4 CARDIAC & CARDIOVASCULAR SYSTEMS
Annals of Pediatric Cardiology Pub Date : 2025-03-01 Epub Date: 2025-08-29 DOI:10.4103/apc.apc_21_25
Naimisha Yenduri, Balu Vaidyanathan, Sonia Karapurkar, Navaneetha Sasikumar, Raman Krishna Kumar
{"title":"预先警告就是预先准备:产前诊断在处理高危新生儿大动脉转位-完整室间隔中的关键作用。","authors":"Naimisha Yenduri, Balu Vaidyanathan, Sonia Karapurkar, Navaneetha Sasikumar, Raman Krishna Kumar","doi":"10.4103/apc.apc_21_25","DOIUrl":null,"url":null,"abstract":"<p><p>Most neonates with prenatally detected d-transposition of great arteries with intact ventricular septum (TGA-IVS) have a relatively standard preoperative course, but some patients with restrictive foramen ovale (FO) or ductus arteriosus tend to have severe hypoxemia after birth, posing a significant risk of mortality in the first few hours after birth. Poor mixing of oxygenated and deoxygenated blood leads to severe cyanosis and death. We present two prenatally diagnosed neonates with TGA-IVS who presented with significant desaturation, necessitating emergency balloon atrial septostomy (BAS). In both patients, the resultant mixing was inadequate; ductal stenting had to be resorted to restore oxygenation. These cases highlight the importance of prenatal identification of high-risk features, such as restrictive FO or ductal constriction, in fetuses with TGA-IVS. A small proportion of these babies who have inadequate mixing despite an anatomically adequate BAS can be further stabilized before surgery by means of ductal stenting.</p>","PeriodicalId":8026,"journal":{"name":"Annals of Pediatric Cardiology","volume":"18 2","pages":"158-161"},"PeriodicalIF":0.7000,"publicationDate":"2025-03-01","publicationTypes":"Journal Article","fieldsOfStudy":null,"isOpenAccess":false,"openAccessPdf":"https://www.ncbi.nlm.nih.gov/pmc/articles/PMC12443396/pdf/","citationCount":"0","resultStr":"{\"title\":\"Forewarned is forearmed: The critical role of prenatal diagnosis in managing high-risk neonates with transposition of great arteries-intact ventricular septum.\",\"authors\":\"Naimisha Yenduri, Balu Vaidyanathan, Sonia Karapurkar, Navaneetha Sasikumar, Raman Krishna Kumar\",\"doi\":\"10.4103/apc.apc_21_25\",\"DOIUrl\":null,\"url\":null,\"abstract\":\"<p><p>Most neonates with prenatally detected d-transposition of great arteries with intact ventricular septum (TGA-IVS) have a relatively standard preoperative course, but some patients with restrictive foramen ovale (FO) or ductus arteriosus tend to have severe hypoxemia after birth, posing a significant risk of mortality in the first few hours after birth. Poor mixing of oxygenated and deoxygenated blood leads to severe cyanosis and death. We present two prenatally diagnosed neonates with TGA-IVS who presented with significant desaturation, necessitating emergency balloon atrial septostomy (BAS). In both patients, the resultant mixing was inadequate; ductal stenting had to be resorted to restore oxygenation. These cases highlight the importance of prenatal identification of high-risk features, such as restrictive FO or ductal constriction, in fetuses with TGA-IVS. A small proportion of these babies who have inadequate mixing despite an anatomically adequate BAS can be further stabilized before surgery by means of ductal stenting.</p>\",\"PeriodicalId\":8026,\"journal\":{\"name\":\"Annals of Pediatric Cardiology\",\"volume\":\"18 2\",\"pages\":\"158-161\"},\"PeriodicalIF\":0.7000,\"publicationDate\":\"2025-03-01\",\"publicationTypes\":\"Journal Article\",\"fieldsOfStudy\":null,\"isOpenAccess\":false,\"openAccessPdf\":\"https://www.ncbi.nlm.nih.gov/pmc/articles/PMC12443396/pdf/\",\"citationCount\":\"0\",\"resultStr\":null,\"platform\":\"Semanticscholar\",\"paperid\":null,\"PeriodicalName\":\"Annals of Pediatric Cardiology\",\"FirstCategoryId\":\"1085\",\"ListUrlMain\":\"https://doi.org/10.4103/apc.apc_21_25\",\"RegionNum\":0,\"RegionCategory\":null,\"ArticlePicture\":[],\"TitleCN\":null,\"AbstractTextCN\":null,\"PMCID\":null,\"EPubDate\":\"2025/8/29 0:00:00\",\"PubModel\":\"Epub\",\"JCR\":\"Q4\",\"JCRName\":\"CARDIAC & CARDIOVASCULAR SYSTEMS\",\"Score\":null,\"Total\":0}","platform":"Semanticscholar","paperid":null,"PeriodicalName":"Annals of Pediatric Cardiology","FirstCategoryId":"1085","ListUrlMain":"https://doi.org/10.4103/apc.apc_21_25","RegionNum":0,"RegionCategory":null,"ArticlePicture":[],"TitleCN":null,"AbstractTextCN":null,"PMCID":null,"EPubDate":"2025/8/29 0:00:00","PubModel":"Epub","JCR":"Q4","JCRName":"CARDIAC & CARDIOVASCULAR SYSTEMS","Score":null,"Total":0}
引用次数: 0

摘要

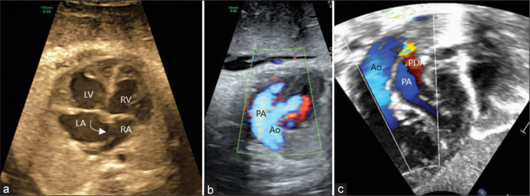
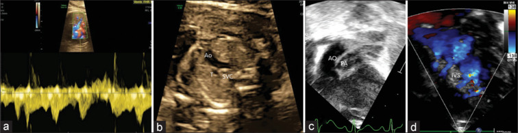
大多数产前发现d型大动脉转位并室间隔完整(TGA-IVS)的新生儿术前病程相对标准,但一些卵圆孔(FO)或动脉导管受限的患者出生后容易出现严重的低氧血症,在出生后数小时内死亡风险显著。含氧血和缺氧血混合不良会导致严重的紫绀和死亡。我们报告了两名产前诊断为TGA-IVS的新生儿,他们表现出明显的去饱和,需要紧急气囊房间隔造口术(BAS)。在这两个病人中,混合的结果是不充分的;导管支架植入必须恢复氧合。这些病例强调了产前识别TGA-IVS胎儿的高危特征的重要性,如限制性FO或导管收缩。尽管在解剖学上有足够的BAS,但这些婴儿中有一小部分混合不充分,可以在手术前通过导管支架植入进一步稳定。
本文章由计算机程序翻译,如有差异,请以英文原文为准。

Forewarned is forearmed: The critical role of prenatal diagnosis in managing high-risk neonates with transposition of great arteries-intact ventricular septum.

Forewarned is forearmed: The critical role of prenatal diagnosis in managing high-risk neonates with transposition of great arteries-intact ventricular septum.

Forewarned is forearmed: The critical role of prenatal diagnosis in managing high-risk neonates with transposition of great arteries-intact ventricular septum.

Forewarned is forearmed: The critical role of prenatal diagnosis in managing high-risk neonates with transposition of great arteries-intact ventricular septum.

Most neonates with prenatally detected d-transposition of great arteries with intact ventricular septum (TGA-IVS) have a relatively standard preoperative course, but some patients with restrictive foramen ovale (FO) or ductus arteriosus tend to have severe hypoxemia after birth, posing a significant risk of mortality in the first few hours after birth. Poor mixing of oxygenated and deoxygenated blood leads to severe cyanosis and death. We present two prenatally diagnosed neonates with TGA-IVS who presented with significant desaturation, necessitating emergency balloon atrial septostomy (BAS). In both patients, the resultant mixing was inadequate; ductal stenting had to be resorted to restore oxygenation. These cases highlight the importance of prenatal identification of high-risk features, such as restrictive FO or ductal constriction, in fetuses with TGA-IVS. A small proportion of these babies who have inadequate mixing despite an anatomically adequate BAS can be further stabilized before surgery by means of ductal stenting.

求助全文
通过发布文献求助,成功后即可免费获取论文全文。 去求助
来源期刊
Annals of Pediatric Cardiology
Annals of Pediatric Cardiology CARDIAC & CARDIOVASCULAR SYSTEMS-
CiteScore
1.40
自引率
14.30%
发文量
51
审稿时长
23 weeks
×
引用
GB/T 7714-2015
复制
MLA
复制
APA
复制
导出至
BibTeX EndNote RefMan NoteFirst NoteExpress
×
提示
您的信息不完整,为了账户安全,请先补充。
现在去补充
×
提示
您因"违规操作"
具体请查看互助需知
我知道了
×
提示
确定
请完成安全验证×
copy
已复制链接
快去分享给好友吧!
我知道了
右上角分享
点击右上角分享
0
联系我们:info@booksci.cn Book学术提供免费学术资源搜索服务,方便国内外学者检索中英文文献。致力于提供最便捷和优质的服务体验。 Copyright © 2023 布克学术 All rights reserved.
京ICP备2023020795号-1
ghs 京公网安备 11010802042870号
Book学术文献互助
Book学术文献互助群
群 号:604180095
Book学术官方微信