青少年嗜麦芽窄养单胞菌性心内膜炎引起的心肌脓肿。

IF 0.7 Q4 CARDIAC & CARDIOVASCULAR SYSTEMS
Annals of Pediatric Cardiology Pub Date : 2025-03-01 Epub Date: 2025-08-29 DOI:10.4103/apc.apc_28_25
Mohit Khare, Shyam S Kothari, Tarun Parmar
{"title":"青少年嗜麦芽窄养单胞菌性心内膜炎引起的心肌脓肿。","authors":"Mohit Khare, Shyam S Kothari, Tarun Parmar","doi":"10.4103/apc.apc_28_25","DOIUrl":null,"url":null,"abstract":"<p><p>A 13-year-old girl developed infective endocarditis (IE) on the native mitral valve after hospitalization for osteomyelitis. The clinical course was complicated by intramyocardial abscess and severe mitral regurgitation. Blood cultures were positive for <i>Stenotrophomonas maltophilia</i>, a rare cause of IE, which is known to be resistant to the first-line agents used for the treatment of IE, and has a propensity to cause a myocardial abscess. Hence, an increased awareness regarding endocarditis due to <i>S. maltophilia</i> is warranted.</p>","PeriodicalId":8026,"journal":{"name":"Annals of Pediatric Cardiology","volume":"18 2","pages":"173-175"},"PeriodicalIF":0.7000,"publicationDate":"2025-03-01","publicationTypes":"Journal Article","fieldsOfStudy":null,"isOpenAccess":false,"openAccessPdf":"https://www.ncbi.nlm.nih.gov/pmc/articles/PMC12443398/pdf/","citationCount":"0","resultStr":"{\"title\":\"Myocardial abscess from <i>Stenotrophomonas maltophilia</i> endocarditis in an adolescent.\",\"authors\":\"Mohit Khare, Shyam S Kothari, Tarun Parmar\",\"doi\":\"10.4103/apc.apc_28_25\",\"DOIUrl\":null,\"url\":null,\"abstract\":\"<p><p>A 13-year-old girl developed infective endocarditis (IE) on the native mitral valve after hospitalization for osteomyelitis. The clinical course was complicated by intramyocardial abscess and severe mitral regurgitation. Blood cultures were positive for <i>Stenotrophomonas maltophilia</i>, a rare cause of IE, which is known to be resistant to the first-line agents used for the treatment of IE, and has a propensity to cause a myocardial abscess. Hence, an increased awareness regarding endocarditis due to <i>S. maltophilia</i> is warranted.</p>\",\"PeriodicalId\":8026,\"journal\":{\"name\":\"Annals of Pediatric Cardiology\",\"volume\":\"18 2\",\"pages\":\"173-175\"},\"PeriodicalIF\":0.7000,\"publicationDate\":\"2025-03-01\",\"publicationTypes\":\"Journal Article\",\"fieldsOfStudy\":null,\"isOpenAccess\":false,\"openAccessPdf\":\"https://www.ncbi.nlm.nih.gov/pmc/articles/PMC12443398/pdf/\",\"citationCount\":\"0\",\"resultStr\":null,\"platform\":\"Semanticscholar\",\"paperid\":null,\"PeriodicalName\":\"Annals of Pediatric Cardiology\",\"FirstCategoryId\":\"1085\",\"ListUrlMain\":\"https://doi.org/10.4103/apc.apc_28_25\",\"RegionNum\":0,\"RegionCategory\":null,\"ArticlePicture\":[],\"TitleCN\":null,\"AbstractTextCN\":null,\"PMCID\":null,\"EPubDate\":\"2025/8/29 0:00:00\",\"PubModel\":\"Epub\",\"JCR\":\"Q4\",\"JCRName\":\"CARDIAC & CARDIOVASCULAR SYSTEMS\",\"Score\":null,\"Total\":0}","platform":"Semanticscholar","paperid":null,"PeriodicalName":"Annals of Pediatric Cardiology","FirstCategoryId":"1085","ListUrlMain":"https://doi.org/10.4103/apc.apc_28_25","RegionNum":0,"RegionCategory":null,"ArticlePicture":[],"TitleCN":null,"AbstractTextCN":null,"PMCID":null,"EPubDate":"2025/8/29 0:00:00","PubModel":"Epub","JCR":"Q4","JCRName":"CARDIAC & CARDIOVASCULAR SYSTEMS","Score":null,"Total":0}
引用次数: 0

摘要

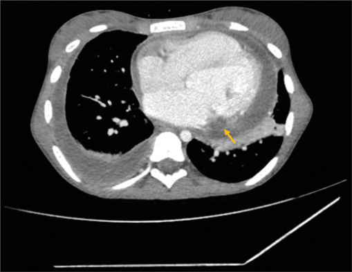
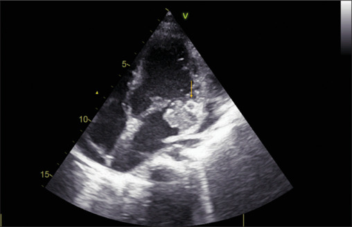
一名13岁女孩在因骨髓炎住院治疗后发生先天性二尖瓣感染性心内膜炎(IE)。临床过程中并发心肌内脓肿和严重的二尖瓣反流。嗜麦芽窄养单胞菌血培养呈阳性,这是一种罕见的IE病因,已知对用于治疗IE的一线药物具有耐药性,并有引起心肌脓肿的倾向。因此,对嗜麦芽葡萄球菌引起的心内膜炎的认识提高是有必要的。
本文章由计算机程序翻译,如有差异,请以英文原文为准。

Myocardial abscess from <i>Stenotrophomonas maltophilia</i> endocarditis in an adolescent.

Myocardial abscess from <i>Stenotrophomonas maltophilia</i> endocarditis in an adolescent.

Myocardial abscess from <i>Stenotrophomonas maltophilia</i> endocarditis in an adolescent.

Myocardial abscess from Stenotrophomonas maltophilia endocarditis in an adolescent.

A 13-year-old girl developed infective endocarditis (IE) on the native mitral valve after hospitalization for osteomyelitis. The clinical course was complicated by intramyocardial abscess and severe mitral regurgitation. Blood cultures were positive for Stenotrophomonas maltophilia, a rare cause of IE, which is known to be resistant to the first-line agents used for the treatment of IE, and has a propensity to cause a myocardial abscess. Hence, an increased awareness regarding endocarditis due to S. maltophilia is warranted.

求助全文
通过发布文献求助,成功后即可免费获取论文全文。 去求助
来源期刊
Annals of Pediatric Cardiology
Annals of Pediatric Cardiology CARDIAC & CARDIOVASCULAR SYSTEMS-
CiteScore
1.40
自引率
14.30%
发文量
51
审稿时长
23 weeks
×
引用
GB/T 7714-2015
复制
MLA
复制
APA
复制
导出至
BibTeX EndNote RefMan NoteFirst NoteExpress
×
提示
您的信息不完整,为了账户安全,请先补充。
现在去补充
×
提示
您因"违规操作"
具体请查看互助需知
我知道了
×
提示
确定
请完成安全验证×
copy
已复制链接
快去分享给好友吧!
我知道了
右上角分享
点击右上角分享
0
联系我们:info@booksci.cn Book学术提供免费学术资源搜索服务,方便国内外学者检索中英文文献。致力于提供最便捷和优质的服务体验。 Copyright © 2023 布克学术 All rights reserved.
京ICP备2023020795号-1
ghs 京公网安备 11010802042870号
Book学术文献互助
Book学术文献互助群
群 号:604180095
Book学术官方微信