三叶草提取物和阿霉素对4T1荷瘤小鼠的协同抑制作用是通过靶向Wnt/β-catenin通路和逆转上皮-间质转化介导的。

IF 2.2 Q3 CHEMISTRY, MEDICINAL
Saeed Khazayel, Mohammad Hossein Faraji, Mohsen Akbaribazm, Mozafar Khazaei, Elham Niromand, Mohammad Rasool Khazaei
{"title":"三叶草提取物和阿霉素对4T1荷瘤小鼠的协同抑制作用是通过靶向Wnt/β-catenin通路和逆转上皮-间质转化介导的。","authors":"Saeed Khazayel, Mohammad Hossein Faraji, Mohsen Akbaribazm, Mozafar Khazaei, Elham Niromand, Mohammad Rasool Khazaei","doi":"10.22038/ajp.2025.25940","DOIUrl":null,"url":null,"abstract":"<p><strong>Objective: </strong>Triple-negative breast cancer (TNBC) presents significant therapeutic challenges. This study investigates the combination effects of Trifolium pratense L. (red clover) and doxorubicin (DOX) on the Wnt/β-catenin signaling pathway, epithelial-mesenchymal transition (EMT) and apoptosis in 4T1 tumor-bearing BALB/c mice.</p><p><strong>Materials and methods: </strong>Female BALB/c mice were divided into six (n=10) groups: control, DOX (5 mg/kg), and three treatment groups receiving 100, 200, or 400 mg/kg <i>T. pratense</i> extract alongside DOX, and a single dose of 400 mg/kg <i>T. pratense</i>. Tumor size was measured using Vernier calipers, and survival rates were analyzed through Kaplan-Meier curves. Tumors were removed to analyze histological examinations and gene expression of <i>Ccnd</i>, <i>Myc</i>, <i>Cdh1</i>, <i>Snai1</i>, <i>Sfrp2</i>, <i>Wif1</i>, <i>Kremen1</i>, and <i>ARHGAP17</i>. Immunohistochemical staining was performed to evaluate p53, Ki-67, β-catenin, Cdh1, and vimentin expression.</p><p><strong>Results: </strong>Co-treatment of <i>T. pratense</i> (400 mg/kg) with DOX (5 mg/kg) synergistically reduced cell proliferation and increased apoptosis by increasing p53 and decreasing Ki-67 expression in a dose-dependent manner. This co-treatment effectively inhibited the Wnt/β-catenin pathway by upregulating antagonists (<i>Wif1</i> and <i>Sfrp2</i>), modulating β-catenin accumulation, and reversing EMT through increased E-cadherin expression and decreased vimentin (protein level) and <i>Snai1</i> (gene expression) levels.</p><p><strong>Conclusion: </strong><i>T. pratense</i> extract shows potential as an adjuvant therapy against TNBC by targeting the Wnt/β-catenin pathway and reversing EMT while enhancing DOX efficacy. Further research is warranted to explore additional anticancer mechanisms of <i>T. pratense</i> extract.</p>","PeriodicalId":8677,"journal":{"name":"Avicenna Journal of Phytomedicine","volume":"15 5","pages":"1546-1561"},"PeriodicalIF":2.2000,"publicationDate":"2025-09-01","publicationTypes":"Journal Article","fieldsOfStudy":null,"isOpenAccess":false,"openAccessPdf":"https://www.ncbi.nlm.nih.gov/pmc/articles/PMC12441188/pdf/","citationCount":"0","resultStr":"{\"title\":\"Synergistic inhibitory effects of <i>Trifolium pratense</i> L. extract and doxorubicin on 4T1 tumor-bearing mice are mediated via targeting the Wnt/β-catenin pathway and reversal of epithelial-mesenchymal transition.\",\"authors\":\"Saeed Khazayel, Mohammad Hossein Faraji, Mohsen Akbaribazm, Mozafar Khazaei, Elham Niromand, Mohammad Rasool Khazaei\",\"doi\":\"10.22038/ajp.2025.25940\",\"DOIUrl\":null,\"url\":null,\"abstract\":\"<p><strong>Objective: </strong>Triple-negative breast cancer (TNBC) presents significant therapeutic challenges. This study investigates the combination effects of Trifolium pratense L. (red clover) and doxorubicin (DOX) on the Wnt/β-catenin signaling pathway, epithelial-mesenchymal transition (EMT) and apoptosis in 4T1 tumor-bearing BALB/c mice.</p><p><strong>Materials and methods: </strong>Female BALB/c mice were divided into six (n=10) groups: control, DOX (5 mg/kg), and three treatment groups receiving 100, 200, or 400 mg/kg <i>T. pratense</i> extract alongside DOX, and a single dose of 400 mg/kg <i>T. pratense</i>. Tumor size was measured using Vernier calipers, and survival rates were analyzed through Kaplan-Meier curves. Tumors were removed to analyze histological examinations and gene expression of <i>Ccnd</i>, <i>Myc</i>, <i>Cdh1</i>, <i>Snai1</i>, <i>Sfrp2</i>, <i>Wif1</i>, <i>Kremen1</i>, and <i>ARHGAP17</i>. Immunohistochemical staining was performed to evaluate p53, Ki-67, β-catenin, Cdh1, and vimentin expression.</p><p><strong>Results: </strong>Co-treatment of <i>T. pratense</i> (400 mg/kg) with DOX (5 mg/kg) synergistically reduced cell proliferation and increased apoptosis by increasing p53 and decreasing Ki-67 expression in a dose-dependent manner. This co-treatment effectively inhibited the Wnt/β-catenin pathway by upregulating antagonists (<i>Wif1</i> and <i>Sfrp2</i>), modulating β-catenin accumulation, and reversing EMT through increased E-cadherin expression and decreased vimentin (protein level) and <i>Snai1</i> (gene expression) levels.</p><p><strong>Conclusion: </strong><i>T. pratense</i> extract shows potential as an adjuvant therapy against TNBC by targeting the Wnt/β-catenin pathway and reversing EMT while enhancing DOX efficacy. Further research is warranted to explore additional anticancer mechanisms of <i>T. pratense</i> extract.</p>\",\"PeriodicalId\":8677,\"journal\":{\"name\":\"Avicenna Journal of Phytomedicine\",\"volume\":\"15 5\",\"pages\":\"1546-1561\"},\"PeriodicalIF\":2.2000,\"publicationDate\":\"2025-09-01\",\"publicationTypes\":\"Journal Article\",\"fieldsOfStudy\":null,\"isOpenAccess\":false,\"openAccessPdf\":\"https://www.ncbi.nlm.nih.gov/pmc/articles/PMC12441188/pdf/\",\"citationCount\":\"0\",\"resultStr\":null,\"platform\":\"Semanticscholar\",\"paperid\":null,\"PeriodicalName\":\"Avicenna Journal of Phytomedicine\",\"FirstCategoryId\":\"1085\",\"ListUrlMain\":\"https://doi.org/10.22038/ajp.2025.25940\",\"RegionNum\":0,\"RegionCategory\":null,\"ArticlePicture\":[],\"TitleCN\":null,\"AbstractTextCN\":null,\"PMCID\":null,\"EPubDate\":\"\",\"PubModel\":\"\",\"JCR\":\"Q3\",\"JCRName\":\"CHEMISTRY, MEDICINAL\",\"Score\":null,\"Total\":0}","platform":"Semanticscholar","paperid":null,"PeriodicalName":"Avicenna Journal of Phytomedicine","FirstCategoryId":"1085","ListUrlMain":"https://doi.org/10.22038/ajp.2025.25940","RegionNum":0,"RegionCategory":null,"ArticlePicture":[],"TitleCN":null,"AbstractTextCN":null,"PMCID":null,"EPubDate":"","PubModel":"","JCR":"Q3","JCRName":"CHEMISTRY, MEDICINAL","Score":null,"Total":0}
引用次数: 0

摘要

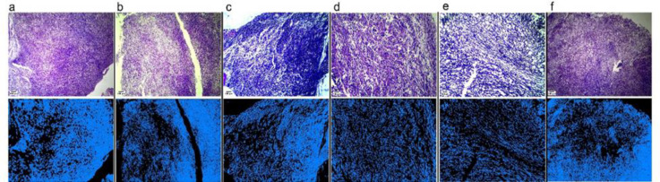
目的:三阴性乳腺癌(TNBC)提出了重大的治疗挑战。本研究探讨红三叶草(Trifolium pratense L.,红三叶草)联合阿霉素(DOX)对4T1荷瘤BALB/c小鼠Wnt/β-catenin信号通路、上皮-间质转化(epithelial-mesenchymal transition, EMT)和细胞凋亡的影响。材料与方法:雌性BALB/c小鼠分为6组(n=10):对照组、DOX (5 mg/kg)组和3个治疗组,分别给予100、200、400 mg/kg加DOX和单剂量400 mg/kg的pratense提取物。用游标卡尺测量肿瘤大小,用Kaplan-Meier曲线分析生存率。切除肿瘤,进行组织学检查和Ccnd、Myc、Cdh1、Snai1、strp2、Wif1、Kremen1、ARHGAP17基因表达分析。免疫组化染色检测p53、Ki-67、β-catenin、Cdh1和vimentin的表达。结果:T. pratense (400 mg/kg)与DOX (5 mg/kg)共处理,通过增加p53和降低Ki-67表达,呈剂量依赖性,协同抑制细胞增殖和增加凋亡。这种共处理通过上调拮抗剂(Wif1和strp2),调节β-catenin积累,通过增加E-cadherin表达,降低vimentin(蛋白水平)和Snai1(基因表达)水平,有效抑制Wnt/β-catenin通路。结论:pratense提取物通过靶向Wnt/β-catenin通路,逆转EMT,同时增强DOX的疗效,显示出作为TNBC辅助治疗的潜力。值得进一步的研究,以探索更多的抗肿瘤机制。
本文章由计算机程序翻译,如有差异,请以英文原文为准。

Synergistic inhibitory effects of <i>Trifolium pratense</i> L. extract and doxorubicin on 4T1 tumor-bearing mice are mediated via targeting the Wnt/β-catenin pathway and reversal of epithelial-mesenchymal transition.

Synergistic inhibitory effects of <i>Trifolium pratense</i> L. extract and doxorubicin on 4T1 tumor-bearing mice are mediated via targeting the Wnt/β-catenin pathway and reversal of epithelial-mesenchymal transition.

Synergistic inhibitory effects of <i>Trifolium pratense</i> L. extract and doxorubicin on 4T1 tumor-bearing mice are mediated via targeting the Wnt/β-catenin pathway and reversal of epithelial-mesenchymal transition.

Synergistic inhibitory effects of Trifolium pratense L. extract and doxorubicin on 4T1 tumor-bearing mice are mediated via targeting the Wnt/β-catenin pathway and reversal of epithelial-mesenchymal transition.

Objective: Triple-negative breast cancer (TNBC) presents significant therapeutic challenges. This study investigates the combination effects of Trifolium pratense L. (red clover) and doxorubicin (DOX) on the Wnt/β-catenin signaling pathway, epithelial-mesenchymal transition (EMT) and apoptosis in 4T1 tumor-bearing BALB/c mice.

Materials and methods: Female BALB/c mice were divided into six (n=10) groups: control, DOX (5 mg/kg), and three treatment groups receiving 100, 200, or 400 mg/kg T. pratense extract alongside DOX, and a single dose of 400 mg/kg T. pratense. Tumor size was measured using Vernier calipers, and survival rates were analyzed through Kaplan-Meier curves. Tumors were removed to analyze histological examinations and gene expression of Ccnd, Myc, Cdh1, Snai1, Sfrp2, Wif1, Kremen1, and ARHGAP17. Immunohistochemical staining was performed to evaluate p53, Ki-67, β-catenin, Cdh1, and vimentin expression.

Results: Co-treatment of T. pratense (400 mg/kg) with DOX (5 mg/kg) synergistically reduced cell proliferation and increased apoptosis by increasing p53 and decreasing Ki-67 expression in a dose-dependent manner. This co-treatment effectively inhibited the Wnt/β-catenin pathway by upregulating antagonists (Wif1 and Sfrp2), modulating β-catenin accumulation, and reversing EMT through increased E-cadherin expression and decreased vimentin (protein level) and Snai1 (gene expression) levels.

Conclusion: T. pratense extract shows potential as an adjuvant therapy against TNBC by targeting the Wnt/β-catenin pathway and reversing EMT while enhancing DOX efficacy. Further research is warranted to explore additional anticancer mechanisms of T. pratense extract.

求助全文
通过发布文献求助,成功后即可免费获取论文全文。 去求助
来源期刊
Avicenna Journal of Phytomedicine
Avicenna Journal of Phytomedicine CHEMISTRY, MEDICINAL-
CiteScore
3.40
自引率
4.50%
发文量
17
审稿时长
6 weeks
×
引用
GB/T 7714-2015
复制
MLA
复制
APA
复制
导出至
BibTeX EndNote RefMan NoteFirst NoteExpress
×
提示
您的信息不完整,为了账户安全,请先补充。
现在去补充
×
提示
您因"违规操作"
具体请查看互助需知
我知道了
×
提示
确定
请完成安全验证×
copy
已复制链接
快去分享给好友吧!
我知道了
右上角分享
点击右上角分享
0
联系我们:info@booksci.cn Book学术提供免费学术资源搜索服务,方便国内外学者检索中英文文献。致力于提供最便捷和优质的服务体验。 Copyright © 2023 布克学术 All rights reserved.
京ICP备2023020795号-1
ghs 京公网安备 11010802042870号
Book学术文献互助
Book学术文献互助群
群 号:604180095
Book学术官方微信