胸椎血管内主动脉修复术后支架植入感染溶胆链球菌并发直肠癌1例。

IF 0.6 Q4 PERIPHERAL VASCULAR DISEASE
Annals of vascular diseases Pub Date : 2025-01-01 Epub Date: 2025-09-12 DOI:10.3400/avd.cr.25-00047
Koki Yokawa, Taku Nakagawa, Makoto Kusakizako, Yosuke Tanaka, Tomonori Higuma, Kazunori Yoshida, Yoshihiro Oshima, Hidefumi Obo, Hidetaka Wakiyama
{"title":"胸椎血管内主动脉修复术后支架植入感染溶胆链球菌并发直肠癌1例。","authors":"Koki Yokawa, Taku Nakagawa, Makoto Kusakizako, Yosuke Tanaka, Tomonori Higuma, Kazunori Yoshida, Yoshihiro Oshima, Hidefumi Obo, Hidetaka Wakiyama","doi":"10.3400/avd.cr.25-00047","DOIUrl":null,"url":null,"abstract":"<p><p>A 79-year-old man was admitted for transurethral resection of a bladder cancer. He had a history of thoracic endovascular aortic repair for Stanford type B acute aortic dissection and thoracic aortic aneurysm performed 2 years prior. During hospitalization, computed tomography scan findings raised suspicion of a stent-graft infection. Blood cultures confirmed the presence of <i>Streptococcus gallolyticus</i> ssp. <i>pasteurianus</i>. Gallium scintigraphy supported the diagnosis of a stent-graft infection. A subsequent lower gastrointestinal endoscopy revealed a colorectal cancer in the lower rectum. We then performed surgery for the stent-graft infection.</p>","PeriodicalId":7995,"journal":{"name":"Annals of vascular diseases","volume":"18 1","pages":""},"PeriodicalIF":0.6000,"publicationDate":"2025-01-01","publicationTypes":"Journal Article","fieldsOfStudy":null,"isOpenAccess":false,"openAccessPdf":"https://www.ncbi.nlm.nih.gov/pmc/articles/PMC12436686/pdf/","citationCount":"0","resultStr":"{\"title\":\"A Case of Rectal Cancer Discovered Following the Occurrence of a Stent-Graft Infection with <i>Streptococcus gallolyticus</i> after Thoracic Endovascular Aortic Repair.\",\"authors\":\"Koki Yokawa, Taku Nakagawa, Makoto Kusakizako, Yosuke Tanaka, Tomonori Higuma, Kazunori Yoshida, Yoshihiro Oshima, Hidefumi Obo, Hidetaka Wakiyama\",\"doi\":\"10.3400/avd.cr.25-00047\",\"DOIUrl\":null,\"url\":null,\"abstract\":\"<p><p>A 79-year-old man was admitted for transurethral resection of a bladder cancer. He had a history of thoracic endovascular aortic repair for Stanford type B acute aortic dissection and thoracic aortic aneurysm performed 2 years prior. During hospitalization, computed tomography scan findings raised suspicion of a stent-graft infection. Blood cultures confirmed the presence of <i>Streptococcus gallolyticus</i> ssp. <i>pasteurianus</i>. Gallium scintigraphy supported the diagnosis of a stent-graft infection. A subsequent lower gastrointestinal endoscopy revealed a colorectal cancer in the lower rectum. We then performed surgery for the stent-graft infection.</p>\",\"PeriodicalId\":7995,\"journal\":{\"name\":\"Annals of vascular diseases\",\"volume\":\"18 1\",\"pages\":\"\"},\"PeriodicalIF\":0.6000,\"publicationDate\":\"2025-01-01\",\"publicationTypes\":\"Journal Article\",\"fieldsOfStudy\":null,\"isOpenAccess\":false,\"openAccessPdf\":\"https://www.ncbi.nlm.nih.gov/pmc/articles/PMC12436686/pdf/\",\"citationCount\":\"0\",\"resultStr\":null,\"platform\":\"Semanticscholar\",\"paperid\":null,\"PeriodicalName\":\"Annals of vascular diseases\",\"FirstCategoryId\":\"1085\",\"ListUrlMain\":\"https://doi.org/10.3400/avd.cr.25-00047\",\"RegionNum\":0,\"RegionCategory\":null,\"ArticlePicture\":[],\"TitleCN\":null,\"AbstractTextCN\":null,\"PMCID\":null,\"EPubDate\":\"2025/9/12 0:00:00\",\"PubModel\":\"Epub\",\"JCR\":\"Q4\",\"JCRName\":\"PERIPHERAL VASCULAR DISEASE\",\"Score\":null,\"Total\":0}","platform":"Semanticscholar","paperid":null,"PeriodicalName":"Annals of vascular diseases","FirstCategoryId":"1085","ListUrlMain":"https://doi.org/10.3400/avd.cr.25-00047","RegionNum":0,"RegionCategory":null,"ArticlePicture":[],"TitleCN":null,"AbstractTextCN":null,"PMCID":null,"EPubDate":"2025/9/12 0:00:00","PubModel":"Epub","JCR":"Q4","JCRName":"PERIPHERAL VASCULAR DISEASE","Score":null,"Total":0}
引用次数: 0

摘要

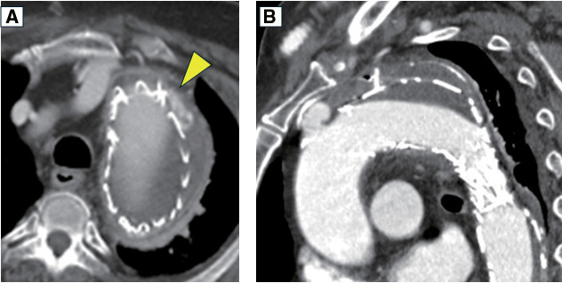
一位79岁的男性因膀胱癌经尿道切除而入院。2年前曾因Stanford B型急性主动脉夹层和胸主动脉瘤行胸血管内主动脉修复术。在住院期间,计算机断层扫描结果提出了支架移植感染的怀疑。血培养证实存在溶胆链球菌。pasteurianus。镓显像支持支架感染的诊断。随后的下消化道内窥镜检查显示下直肠结直肠癌。然后我们对支架感染进行手术治疗。
本文章由计算机程序翻译,如有差异,请以英文原文为准。

A Case of Rectal Cancer Discovered Following the Occurrence of a Stent-Graft Infection with <i>Streptococcus gallolyticus</i> after Thoracic Endovascular Aortic Repair.

A Case of Rectal Cancer Discovered Following the Occurrence of a Stent-Graft Infection with <i>Streptococcus gallolyticus</i> after Thoracic Endovascular Aortic Repair.

A Case of Rectal Cancer Discovered Following the Occurrence of a Stent-Graft Infection with <i>Streptococcus gallolyticus</i> after Thoracic Endovascular Aortic Repair.

A Case of Rectal Cancer Discovered Following the Occurrence of a Stent-Graft Infection with Streptococcus gallolyticus after Thoracic Endovascular Aortic Repair.

A 79-year-old man was admitted for transurethral resection of a bladder cancer. He had a history of thoracic endovascular aortic repair for Stanford type B acute aortic dissection and thoracic aortic aneurysm performed 2 years prior. During hospitalization, computed tomography scan findings raised suspicion of a stent-graft infection. Blood cultures confirmed the presence of Streptococcus gallolyticus ssp. pasteurianus. Gallium scintigraphy supported the diagnosis of a stent-graft infection. A subsequent lower gastrointestinal endoscopy revealed a colorectal cancer in the lower rectum. We then performed surgery for the stent-graft infection.

求助全文
通过发布文献求助,成功后即可免费获取论文全文。 去求助
来源期刊
Annals of vascular diseases
Annals of vascular diseases PERIPHERAL VASCULAR DISEASE-
自引率
0.00%
发文量
41
×
引用
GB/T 7714-2015
复制
MLA
复制
APA
复制
导出至
BibTeX EndNote RefMan NoteFirst NoteExpress
×
提示
您的信息不完整,为了账户安全,请先补充。
现在去补充
×
提示
您因"违规操作"
具体请查看互助需知
我知道了
×
提示
确定
请完成安全验证×
copy
已复制链接
快去分享给好友吧!
我知道了
右上角分享
点击右上角分享
0
联系我们:info@booksci.cn Book学术提供免费学术资源搜索服务,方便国内外学者检索中英文文献。致力于提供最便捷和优质的服务体验。 Copyright © 2023 布克学术 All rights reserved.
京ICP备2023020795号-1
ghs 京公网安备 11010802042870号
Book学术文献互助
Book学术文献互助群
群 号:604180095
Book学术官方微信