应用Valiant支架系统治疗主动脉弓动脉瘤的早期尖端捕获释放和俯卧撑技术。

IF 0.6 Q4 PERIPHERAL VASCULAR DISEASE
Annals of vascular diseases Pub Date : 2025-01-01 Epub Date: 2025-09-11 DOI:10.3400/avd.nmt.25-00069
Shizuyuki Dohi, Yasutaka Yokoyama, Atsumi Oishi, Yuichiro Sato, Daisuke Endo, Yoichiro Machida, Jiyoung Lee, Taira Yamamoto, Akie Shimada, Minoru Tabata
{"title":"应用Valiant支架系统治疗主动脉弓动脉瘤的早期尖端捕获释放和俯卧撑技术。","authors":"Shizuyuki Dohi, Yasutaka Yokoyama, Atsumi Oishi, Yuichiro Sato, Daisuke Endo, Yoichiro Machida, Jiyoung Lee, Taira Yamamoto, Akie Shimada, Minoru Tabata","doi":"10.3400/avd.nmt.25-00069","DOIUrl":null,"url":null,"abstract":"<p><p>During thoracic endovascular aneurysm repair for aortic arch aneurysms, deployment of the stent graft parallel to the aortic neck is crucial to preventing a type Ia endoleak from the proximal end. We report the early tip capture release and push-up technique that comprises early release of the proximal bare stent, which is typically deployed last during stent graft deployment, followed by a push-up maneuver after landing the proximal edge, thus allowing conformation to the aortic morphology. This technique is effective even for complex aortic arch anatomy.</p>","PeriodicalId":7995,"journal":{"name":"Annals of vascular diseases","volume":"18 1","pages":""},"PeriodicalIF":0.6000,"publicationDate":"2025-01-01","publicationTypes":"Journal Article","fieldsOfStudy":null,"isOpenAccess":false,"openAccessPdf":"https://www.ncbi.nlm.nih.gov/pmc/articles/PMC12436688/pdf/","citationCount":"0","resultStr":"{\"title\":\"Early Tip Capture Release and Push-Up Technique Using the Valiant Stent Graft System for Aortic Arch Aneurysms.\",\"authors\":\"Shizuyuki Dohi, Yasutaka Yokoyama, Atsumi Oishi, Yuichiro Sato, Daisuke Endo, Yoichiro Machida, Jiyoung Lee, Taira Yamamoto, Akie Shimada, Minoru Tabata\",\"doi\":\"10.3400/avd.nmt.25-00069\",\"DOIUrl\":null,\"url\":null,\"abstract\":\"<p><p>During thoracic endovascular aneurysm repair for aortic arch aneurysms, deployment of the stent graft parallel to the aortic neck is crucial to preventing a type Ia endoleak from the proximal end. We report the early tip capture release and push-up technique that comprises early release of the proximal bare stent, which is typically deployed last during stent graft deployment, followed by a push-up maneuver after landing the proximal edge, thus allowing conformation to the aortic morphology. This technique is effective even for complex aortic arch anatomy.</p>\",\"PeriodicalId\":7995,\"journal\":{\"name\":\"Annals of vascular diseases\",\"volume\":\"18 1\",\"pages\":\"\"},\"PeriodicalIF\":0.6000,\"publicationDate\":\"2025-01-01\",\"publicationTypes\":\"Journal Article\",\"fieldsOfStudy\":null,\"isOpenAccess\":false,\"openAccessPdf\":\"https://www.ncbi.nlm.nih.gov/pmc/articles/PMC12436688/pdf/\",\"citationCount\":\"0\",\"resultStr\":null,\"platform\":\"Semanticscholar\",\"paperid\":null,\"PeriodicalName\":\"Annals of vascular diseases\",\"FirstCategoryId\":\"1085\",\"ListUrlMain\":\"https://doi.org/10.3400/avd.nmt.25-00069\",\"RegionNum\":0,\"RegionCategory\":null,\"ArticlePicture\":[],\"TitleCN\":null,\"AbstractTextCN\":null,\"PMCID\":null,\"EPubDate\":\"2025/9/11 0:00:00\",\"PubModel\":\"Epub\",\"JCR\":\"Q4\",\"JCRName\":\"PERIPHERAL VASCULAR DISEASE\",\"Score\":null,\"Total\":0}","platform":"Semanticscholar","paperid":null,"PeriodicalName":"Annals of vascular diseases","FirstCategoryId":"1085","ListUrlMain":"https://doi.org/10.3400/avd.nmt.25-00069","RegionNum":0,"RegionCategory":null,"ArticlePicture":[],"TitleCN":null,"AbstractTextCN":null,"PMCID":null,"EPubDate":"2025/9/11 0:00:00","PubModel":"Epub","JCR":"Q4","JCRName":"PERIPHERAL VASCULAR DISEASE","Score":null,"Total":0}
引用次数: 0

摘要

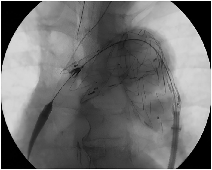
在胸椎主动脉弓动脉瘤的血管内动脉瘤修复中,平行于主动脉颈的支架部署对于防止近端发生Ia型内漏至关重要。我们报告了早期尖端捕获释放和俯仰技术,包括早期释放近端裸支架,通常在支架部署期间最后部署,随后在近端边缘着陆后进行俯仰操作,从而允许主动脉形态的构象。这项技术对复杂的主动脉弓解剖也是有效的。
本文章由计算机程序翻译,如有差异,请以英文原文为准。

Early Tip Capture Release and Push-Up Technique Using the Valiant Stent Graft System for Aortic Arch Aneurysms.

Early Tip Capture Release and Push-Up Technique Using the Valiant Stent Graft System for Aortic Arch Aneurysms.

Early Tip Capture Release and Push-Up Technique Using the Valiant Stent Graft System for Aortic Arch Aneurysms.

Early Tip Capture Release and Push-Up Technique Using the Valiant Stent Graft System for Aortic Arch Aneurysms.

During thoracic endovascular aneurysm repair for aortic arch aneurysms, deployment of the stent graft parallel to the aortic neck is crucial to preventing a type Ia endoleak from the proximal end. We report the early tip capture release and push-up technique that comprises early release of the proximal bare stent, which is typically deployed last during stent graft deployment, followed by a push-up maneuver after landing the proximal edge, thus allowing conformation to the aortic morphology. This technique is effective even for complex aortic arch anatomy.

求助全文
通过发布文献求助,成功后即可免费获取论文全文。 去求助
来源期刊
Annals of vascular diseases
Annals of vascular diseases PERIPHERAL VASCULAR DISEASE-
自引率
0.00%
发文量
41
×
引用
GB/T 7714-2015
复制
MLA
复制
APA
复制
导出至
BibTeX EndNote RefMan NoteFirst NoteExpress
×
提示
您的信息不完整,为了账户安全,请先补充。
现在去补充
×
提示
您因"违规操作"
具体请查看互助需知
我知道了
×
提示
确定
请完成安全验证×
copy
已复制链接
快去分享给好友吧!
我知道了
右上角分享
点击右上角分享
0
联系我们:info@booksci.cn Book学术提供免费学术资源搜索服务,方便国内外学者检索中英文文献。致力于提供最便捷和优质的服务体验。 Copyright © 2023 布克学术 All rights reserved.
京ICP备2023020795号-1
ghs 京公网安备 11010802042870号
Book学术文献互助
Book学术文献互助群
群 号:604180095
Book学术官方微信