远端尺桡关节炎患者的尺骨头置换术或头部切除术:一项术后2年临床和患者报告结果的前瞻性队列研究

IF 2.4 2区 医学 Q1 ORTHOPEDICS
Maria Moloney, Sara Larsson, Elisabeth Brogren
{"title":"远端尺桡关节炎患者的尺骨头置换术或头部切除术:一项术后2年临床和患者报告结果的前瞻性队列研究","authors":"Maria Moloney, Sara Larsson, Elisabeth Brogren","doi":"10.2340/17453674.2025.44595","DOIUrl":null,"url":null,"abstract":"<p><strong>Background and purpose: </strong> Traditional surgery for arthritis of the distal radioulnar joint (DRUJ), which typically involves resecting the ulnar head, is being increasingly challenged by newer techniques, such as prosthetic ulnar head replacement. The aim of our prospective cohort study was to investigate the clinical and patient-reported functional results, up to 2 years postoperatively, among patients with DRUJ arthritis treated with ulnar head replacement or resection.</p><p><strong>Methods: </strong> 40 patients were included and underwent either ulnar head replacement (n = 22) or ulnar head resections (n = 18), due to DRUJ pathology between 2015 and 2020. Patients were followed up at 3, 6, 12, and 24 months postoperatively by the means of Patient-Rated Wrist Evaluation (PRWE) (primary outcome), and Disability of the Arm, Shoulder and Hand (DASH) questionnaires, pain, range of forearm rotation, and grip strength (secondary outcomes). Postoperative complications were recorded. 19 and 16 patients, respectively, responded at the 24-months follow-up. Female sex and inflammatory arthritis were more common in the resection group. General linear regression analyses adjusting for diagnosis and baseline PRWE score were performed for our primary outcome.</p><p><strong>Results: </strong> The median and interquartile range (IQR) improvement in PRWE from baseline to 24 months was 69 (IQR 49-87) to 27 (IQR 6-48) in the replacement group and 60 (IQR 50-86) to 23 (IQR 5-44) in the resection group, indicating that both groups improved from baseline. There were no differences in unadjusted estimates at any time point. The adjusted means in PRWE at 24 months were 35 and 26 points in the replacement and resection groups, respectively, corresponding to a statistically insignificant mean difference of 8.6 (95% confidence interval -11.7 to 28.2). We found no statistically significant group differences in any of the secondary outcomes at any time point. Postoperative complications affected 6 patients with ulnar head replacement, whereas none were reported for patients with ulnar head resection.</p><p><strong>Conclusion: </strong> We found that the outcome after ulnar head replacement is not superior to ulnar head resection in the short term.</p>","PeriodicalId":6916,"journal":{"name":"Acta Orthopaedica","volume":"96 ","pages":"684-691"},"PeriodicalIF":2.4000,"publicationDate":"2025-09-17","publicationTypes":"Journal Article","fieldsOfStudy":null,"isOpenAccess":false,"openAccessPdf":"https://www.ncbi.nlm.nih.gov/pmc/articles/PMC12444793/pdf/","citationCount":"0","resultStr":"{\"title\":\"Ulnar head replacement or head resection in patients with distal radioulnar arthritis: a prospective cohort study of clinical and patient-reported outcomes up to 2 years after surgery.\",\"authors\":\"Maria Moloney, Sara Larsson, Elisabeth Brogren\",\"doi\":\"10.2340/17453674.2025.44595\",\"DOIUrl\":null,\"url\":null,\"abstract\":\"<p><strong>Background and purpose: </strong> Traditional surgery for arthritis of the distal radioulnar joint (DRUJ), which typically involves resecting the ulnar head, is being increasingly challenged by newer techniques, such as prosthetic ulnar head replacement. The aim of our prospective cohort study was to investigate the clinical and patient-reported functional results, up to 2 years postoperatively, among patients with DRUJ arthritis treated with ulnar head replacement or resection.</p><p><strong>Methods: </strong> 40 patients were included and underwent either ulnar head replacement (n = 22) or ulnar head resections (n = 18), due to DRUJ pathology between 2015 and 2020. Patients were followed up at 3, 6, 12, and 24 months postoperatively by the means of Patient-Rated Wrist Evaluation (PRWE) (primary outcome), and Disability of the Arm, Shoulder and Hand (DASH) questionnaires, pain, range of forearm rotation, and grip strength (secondary outcomes). Postoperative complications were recorded. 19 and 16 patients, respectively, responded at the 24-months follow-up. Female sex and inflammatory arthritis were more common in the resection group. General linear regression analyses adjusting for diagnosis and baseline PRWE score were performed for our primary outcome.</p><p><strong>Results: </strong> The median and interquartile range (IQR) improvement in PRWE from baseline to 24 months was 69 (IQR 49-87) to 27 (IQR 6-48) in the replacement group and 60 (IQR 50-86) to 23 (IQR 5-44) in the resection group, indicating that both groups improved from baseline. There were no differences in unadjusted estimates at any time point. The adjusted means in PRWE at 24 months were 35 and 26 points in the replacement and resection groups, respectively, corresponding to a statistically insignificant mean difference of 8.6 (95% confidence interval -11.7 to 28.2). We found no statistically significant group differences in any of the secondary outcomes at any time point. Postoperative complications affected 6 patients with ulnar head replacement, whereas none were reported for patients with ulnar head resection.</p><p><strong>Conclusion: </strong> We found that the outcome after ulnar head replacement is not superior to ulnar head resection in the short term.</p>\",\"PeriodicalId\":6916,\"journal\":{\"name\":\"Acta Orthopaedica\",\"volume\":\"96 \",\"pages\":\"684-691\"},\"PeriodicalIF\":2.4000,\"publicationDate\":\"2025-09-17\",\"publicationTypes\":\"Journal Article\",\"fieldsOfStudy\":null,\"isOpenAccess\":false,\"openAccessPdf\":\"https://www.ncbi.nlm.nih.gov/pmc/articles/PMC12444793/pdf/\",\"citationCount\":\"0\",\"resultStr\":null,\"platform\":\"Semanticscholar\",\"paperid\":null,\"PeriodicalName\":\"Acta Orthopaedica\",\"FirstCategoryId\":\"3\",\"ListUrlMain\":\"https://doi.org/10.2340/17453674.2025.44595\",\"RegionNum\":2,\"RegionCategory\":\"医学\",\"ArticlePicture\":[],\"TitleCN\":null,\"AbstractTextCN\":null,\"PMCID\":null,\"EPubDate\":\"\",\"PubModel\":\"\",\"JCR\":\"Q1\",\"JCRName\":\"ORTHOPEDICS\",\"Score\":null,\"Total\":0}","platform":"Semanticscholar","paperid":null,"PeriodicalName":"Acta Orthopaedica","FirstCategoryId":"3","ListUrlMain":"https://doi.org/10.2340/17453674.2025.44595","RegionNum":2,"RegionCategory":"医学","ArticlePicture":[],"TitleCN":null,"AbstractTextCN":null,"PMCID":null,"EPubDate":"","PubModel":"","JCR":"Q1","JCRName":"ORTHOPEDICS","Score":null,"Total":0}
引用次数: 0

摘要

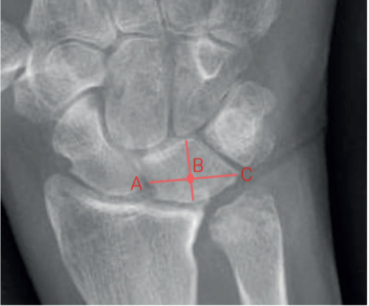
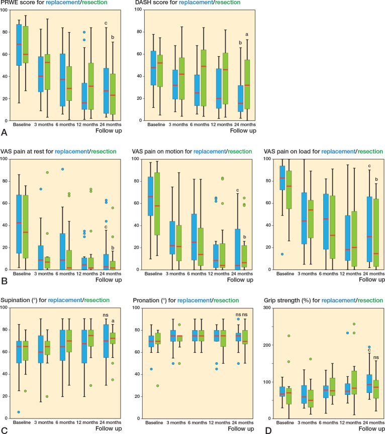
背景和目的:传统的尺桡关节远端关节炎(DRUJ)手术,通常涉及切除尺头,正日益受到新技术的挑战,如假体尺头置换术。本前瞻性队列研究的目的是调查经尺骨头置换术或切除术治疗的DRUJ关节炎患者术后2年的临床和患者报告的功能结果。方法:2015年至2020年间,40例因DRUJ病理而行尺骨头置换(n = 22)或尺骨头切除术(n = 18)的患者。术后3、6、12和24个月对患者进行随访,采用患者评定腕关节评估(PRWE)(主要结局)和手臂、肩部和手部残疾(DASH)问卷、疼痛、前臂旋转范围和握力(次要结局)。记录术后并发症。在24个月的随访中,分别有19名和16名患者有反应。女性和炎性关节炎在切除组中更为常见。一般线性回归分析调整诊断和基线PRWE评分我们的主要结局。结果:从基线到24个月,置换组PRWE的中位和四分位范围(IQR)改善为69 (IQR 49-87)至27 (IQR 6-48),切除组为60 (IQR 50-86)至23 (IQR 5-44),表明两组均较基线有所改善。在任何时间点未调整的估计没有差异。置换组和切除组24个月时PRWE调整平均值分别为35分和26分,平均差异为8.6分(95%可信区间-11.7 ~ 28.2),差异无统计学意义。我们发现,在任何时间点,任何次要结果的组间差异均无统计学意义。6例尺骨头置换术患者出现术后并发症,而尺骨头切除术患者无术后并发症报道。结论:短期内尺头置换术的疗效并不优于尺头切除术。
本文章由计算机程序翻译,如有差异,请以英文原文为准。

Ulnar head replacement or head resection in patients with distal radioulnar arthritis: a prospective cohort study of clinical and patient-reported outcomes up to 2 years after surgery.

Ulnar head replacement or head resection in patients with distal radioulnar arthritis: a prospective cohort study of clinical and patient-reported outcomes up to 2 years after surgery.

Ulnar head replacement or head resection in patients with distal radioulnar arthritis: a prospective cohort study of clinical and patient-reported outcomes up to 2 years after surgery.

Ulnar head replacement or head resection in patients with distal radioulnar arthritis: a prospective cohort study of clinical and patient-reported outcomes up to 2 years after surgery.

Background and purpose:  Traditional surgery for arthritis of the distal radioulnar joint (DRUJ), which typically involves resecting the ulnar head, is being increasingly challenged by newer techniques, such as prosthetic ulnar head replacement. The aim of our prospective cohort study was to investigate the clinical and patient-reported functional results, up to 2 years postoperatively, among patients with DRUJ arthritis treated with ulnar head replacement or resection.

Methods:  40 patients were included and underwent either ulnar head replacement (n = 22) or ulnar head resections (n = 18), due to DRUJ pathology between 2015 and 2020. Patients were followed up at 3, 6, 12, and 24 months postoperatively by the means of Patient-Rated Wrist Evaluation (PRWE) (primary outcome), and Disability of the Arm, Shoulder and Hand (DASH) questionnaires, pain, range of forearm rotation, and grip strength (secondary outcomes). Postoperative complications were recorded. 19 and 16 patients, respectively, responded at the 24-months follow-up. Female sex and inflammatory arthritis were more common in the resection group. General linear regression analyses adjusting for diagnosis and baseline PRWE score were performed for our primary outcome.

Results:  The median and interquartile range (IQR) improvement in PRWE from baseline to 24 months was 69 (IQR 49-87) to 27 (IQR 6-48) in the replacement group and 60 (IQR 50-86) to 23 (IQR 5-44) in the resection group, indicating that both groups improved from baseline. There were no differences in unadjusted estimates at any time point. The adjusted means in PRWE at 24 months were 35 and 26 points in the replacement and resection groups, respectively, corresponding to a statistically insignificant mean difference of 8.6 (95% confidence interval -11.7 to 28.2). We found no statistically significant group differences in any of the secondary outcomes at any time point. Postoperative complications affected 6 patients with ulnar head replacement, whereas none were reported for patients with ulnar head resection.

Conclusion:  We found that the outcome after ulnar head replacement is not superior to ulnar head resection in the short term.

求助全文
通过发布文献求助,成功后即可免费获取论文全文。 去求助
来源期刊
Acta Orthopaedica
Acta Orthopaedica 医学-整形外科
CiteScore
6.40
自引率
8.10%
发文量
105
审稿时长
4-8 weeks
期刊介绍: Acta Orthopaedica (previously Acta Orthopaedica Scandinavica) presents original articles of basic research interest, as well as clinical studies in the field of orthopedics and related sub disciplines. Ever since the journal was founded in 1930, by a group of Scandinavian orthopedic surgeons, the journal has been published for an international audience. Acta Orthopaedica is owned by the Nordic Orthopaedic Federation and is the official publication of this federation.
×
引用
GB/T 7714-2015
复制
MLA
复制
APA
复制
导出至
BibTeX EndNote RefMan NoteFirst NoteExpress
×
提示
您的信息不完整,为了账户安全,请先补充。
现在去补充
×
提示
您因"违规操作"
具体请查看互助需知
我知道了
×
提示
确定
请完成安全验证×
copy
已复制链接
快去分享给好友吧!
我知道了
右上角分享
点击右上角分享
0
联系我们:info@booksci.cn Book学术提供免费学术资源搜索服务,方便国内外学者检索中英文文献。致力于提供最便捷和优质的服务体验。 Copyright © 2023 布克学术 All rights reserved.
京ICP备2023020795号-1
ghs 京公网安备 11010802042870号
Book学术文献互助
Book学术文献互助群
群 号:604180095
Book学术官方微信