PhosphoLIMBO:一种简便高效的hplc分离分析植物材料中磷脂的方法。

IF 1.1 Q3 BIOLOGY
Louise Fougère, Hortense Moreau, Cécile Mirande-Bret, Laetitia Fouillen, Yohann Boutté
{"title":"PhosphoLIMBO:一种简便高效的hplc分离分析植物材料中磷脂的方法。","authors":"Louise Fougère, Hortense Moreau, Cécile Mirande-Bret, Laetitia Fouillen, Yohann Boutté","doi":"10.21769/BioProtoc.5434","DOIUrl":null,"url":null,"abstract":"<p><p>Phospholipids are major structural and regulatory elements of biological membranes and are involved in many different cellular and physiological processes. In this protocol, we provide an easy, cost-effective, and efficient method to obtain an overview of the phospholipid composition using high-performance thin layer chromatography (HPTLC). While the currently known phospholipid separation methods based on HPTLC display co-migration of certain lipid classes, the method we describe here allows the separation of all phospholipid classes, including anionic phospholipids in plant samples. This protocol combines elements of the classical Vitiello and Touchstone solvent systems to optimize phospholipid separation in a scaled pattern. Here, we provide a full characterization of this method, including statistical analyses of the retention factor of each phospholipid to show the robustness of the method and its efficiency in separating all phospholipid classes of a biological sample. Key features • Analysis of phospholipid composition through an easy, fast, robust, and cost-effective HPTLC method. • Separation of anionic phospholipids from the other phospholipid species. • Full overview of all phospholipids categories, including anionic phospholipids. • Qualitative and quantitative approach.</p>","PeriodicalId":93907,"journal":{"name":"Bio-protocol","volume":"15 17","pages":"e5434"},"PeriodicalIF":1.1000,"publicationDate":"2025-09-05","publicationTypes":"Journal Article","fieldsOfStudy":null,"isOpenAccess":false,"openAccessPdf":"https://www.ncbi.nlm.nih.gov/pmc/articles/PMC12423273/pdf/","citationCount":"0","resultStr":"{\"title\":\"PhosphoLIMBO: An Easy and Efficient Protocol to Separate and Analyze Phospholipids by HPTLC From Plant Material.\",\"authors\":\"Louise Fougère, Hortense Moreau, Cécile Mirande-Bret, Laetitia Fouillen, Yohann Boutté\",\"doi\":\"10.21769/BioProtoc.5434\",\"DOIUrl\":null,\"url\":null,\"abstract\":\"<p><p>Phospholipids are major structural and regulatory elements of biological membranes and are involved in many different cellular and physiological processes. In this protocol, we provide an easy, cost-effective, and efficient method to obtain an overview of the phospholipid composition using high-performance thin layer chromatography (HPTLC). While the currently known phospholipid separation methods based on HPTLC display co-migration of certain lipid classes, the method we describe here allows the separation of all phospholipid classes, including anionic phospholipids in plant samples. This protocol combines elements of the classical Vitiello and Touchstone solvent systems to optimize phospholipid separation in a scaled pattern. Here, we provide a full characterization of this method, including statistical analyses of the retention factor of each phospholipid to show the robustness of the method and its efficiency in separating all phospholipid classes of a biological sample. Key features • Analysis of phospholipid composition through an easy, fast, robust, and cost-effective HPTLC method. • Separation of anionic phospholipids from the other phospholipid species. • Full overview of all phospholipids categories, including anionic phospholipids. • Qualitative and quantitative approach.</p>\",\"PeriodicalId\":93907,\"journal\":{\"name\":\"Bio-protocol\",\"volume\":\"15 17\",\"pages\":\"e5434\"},\"PeriodicalIF\":1.1000,\"publicationDate\":\"2025-09-05\",\"publicationTypes\":\"Journal Article\",\"fieldsOfStudy\":null,\"isOpenAccess\":false,\"openAccessPdf\":\"https://www.ncbi.nlm.nih.gov/pmc/articles/PMC12423273/pdf/\",\"citationCount\":\"0\",\"resultStr\":null,\"platform\":\"Semanticscholar\",\"paperid\":null,\"PeriodicalName\":\"Bio-protocol\",\"FirstCategoryId\":\"1085\",\"ListUrlMain\":\"https://doi.org/10.21769/BioProtoc.5434\",\"RegionNum\":0,\"RegionCategory\":null,\"ArticlePicture\":[],\"TitleCN\":null,\"AbstractTextCN\":null,\"PMCID\":null,\"EPubDate\":\"\",\"PubModel\":\"\",\"JCR\":\"Q3\",\"JCRName\":\"BIOLOGY\",\"Score\":null,\"Total\":0}","platform":"Semanticscholar","paperid":null,"PeriodicalName":"Bio-protocol","FirstCategoryId":"1085","ListUrlMain":"https://doi.org/10.21769/BioProtoc.5434","RegionNum":0,"RegionCategory":null,"ArticlePicture":[],"TitleCN":null,"AbstractTextCN":null,"PMCID":null,"EPubDate":"","PubModel":"","JCR":"Q3","JCRName":"BIOLOGY","Score":null,"Total":0}
引用次数: 0

摘要

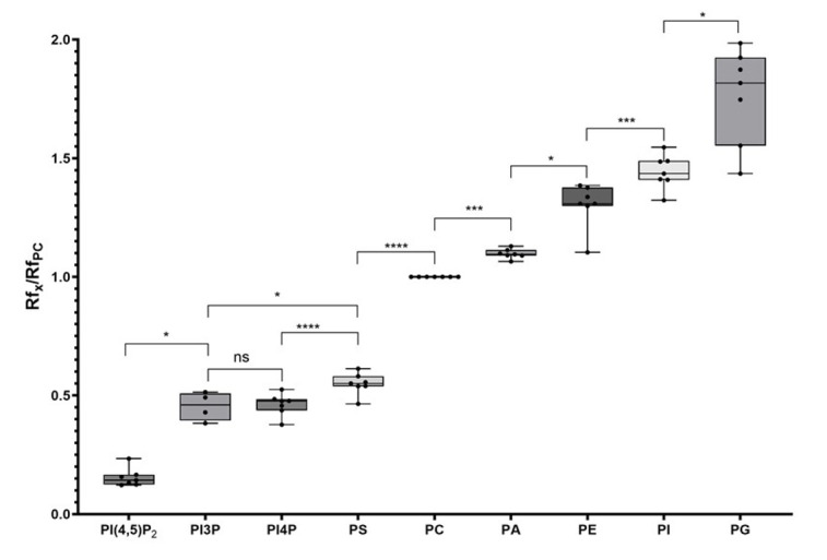
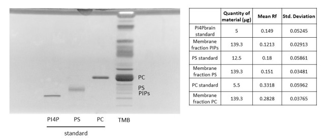
磷脂是生物膜的主要结构和调控元件,参与许多不同的细胞和生理过程。在本协议中,我们提供了一种简单,经济,高效的方法来获得磷脂组成的概述,使用高效薄层色谱(HPTLC)。虽然目前已知的基于HPTLC的磷脂分离方法显示某些脂类的共迁移,但我们在这里描述的方法允许分离所有磷脂类,包括植物样品中的阴离子磷脂。该协议结合了经典的Vitiello和Touchstone溶剂系统的元素,以优化磷脂分离的比例模式。在这里,我们提供了该方法的完整表征,包括每种磷脂的保留因子的统计分析,以显示该方法的稳健性及其在分离生物样品的所有磷脂类方面的效率。主要特点•磷脂组成分析通过一个简单,快速,稳健,和具有成本效益的HPTLC方法。•阴离子磷脂从其他磷脂种类的分离。•所有磷脂类别的全面概述,包括阴离子磷脂。•定性和定量方法。
本文章由计算机程序翻译,如有差异,请以英文原文为准。

PhosphoLIMBO: An Easy and Efficient Protocol to Separate and Analyze Phospholipids by HPTLC From Plant Material.

PhosphoLIMBO: An Easy and Efficient Protocol to Separate and Analyze Phospholipids by HPTLC From Plant Material.

PhosphoLIMBO: An Easy and Efficient Protocol to Separate and Analyze Phospholipids by HPTLC From Plant Material.

PhosphoLIMBO: An Easy and Efficient Protocol to Separate and Analyze Phospholipids by HPTLC From Plant Material.

Phospholipids are major structural and regulatory elements of biological membranes and are involved in many different cellular and physiological processes. In this protocol, we provide an easy, cost-effective, and efficient method to obtain an overview of the phospholipid composition using high-performance thin layer chromatography (HPTLC). While the currently known phospholipid separation methods based on HPTLC display co-migration of certain lipid classes, the method we describe here allows the separation of all phospholipid classes, including anionic phospholipids in plant samples. This protocol combines elements of the classical Vitiello and Touchstone solvent systems to optimize phospholipid separation in a scaled pattern. Here, we provide a full characterization of this method, including statistical analyses of the retention factor of each phospholipid to show the robustness of the method and its efficiency in separating all phospholipid classes of a biological sample. Key features • Analysis of phospholipid composition through an easy, fast, robust, and cost-effective HPTLC method. • Separation of anionic phospholipids from the other phospholipid species. • Full overview of all phospholipids categories, including anionic phospholipids. • Qualitative and quantitative approach.

求助全文
通过发布文献求助,成功后即可免费获取论文全文。 去求助
来源期刊
CiteScore
1.50
自引率
0.00%
发文量
0
×
引用
GB/T 7714-2015
复制
MLA
复制
APA
复制
导出至
BibTeX EndNote RefMan NoteFirst NoteExpress
×
提示
您的信息不完整,为了账户安全,请先补充。
现在去补充
×
提示
您因"违规操作"
具体请查看互助需知
我知道了
×
提示
确定
请完成安全验证×
copy
已复制链接
快去分享给好友吧!
我知道了
右上角分享
点击右上角分享
0
联系我们:info@booksci.cn Book学术提供免费学术资源搜索服务,方便国内外学者检索中英文文献。致力于提供最便捷和优质的服务体验。 Copyright © 2023 布克学术 All rights reserved.
京ICP备2023020795号-1
ghs 京公网安备 11010802042870号
Book学术文献互助
Book学术文献互助群
群 号:604180095
Book学术官方微信