经颈静脉肝内门静脉系统分流治疗肝癌合并门静脉高压症的临床意义。

IF 2 4区 医学 Q3 GASTROENTEROLOGY & HEPATOLOGY
Journal of gastrointestinal oncology Pub Date : 2025-08-30 Epub Date: 2025-08-27 DOI:10.21037/jgo-2025-365
Feng Dai, Chunhan Pan, Chunyang Xu, Yu Yao, Mu Su, Jianwu Ren, Zhiyuan Qiu, Mario Capasso, Xiuming Zhang
{"title":"经颈静脉肝内门静脉系统分流治疗肝癌合并门静脉高压症的临床意义。","authors":"Feng Dai, Chunhan Pan, Chunyang Xu, Yu Yao, Mu Su, Jianwu Ren, Zhiyuan Qiu, Mario Capasso, Xiuming Zhang","doi":"10.21037/jgo-2025-365","DOIUrl":null,"url":null,"abstract":"<p><strong>Background: </strong>Portal hypertension (PHT) and hepatocellular carcinoma (HCC) often appear concurrently in clinic, and PHT variceal bleeding arising due to systemic treatment of HCC remains a clinical issue that urgently requires a solution. This study aimed to examine the therapeutic effects and clinical significance of transjugular intrahepatic portosystemic shunting (TIPS) in patients with HCC complicated with PHT.</p><p><strong>Methods: </strong>In this retrospective study, 21 patients with HCC complicated with PHT who were admitted to The Second Hospital of Nanjing between June 2018 and June 2023 were included. TIPS was performed, and liver and kidney function, blood routine, and biochemical indicators such as ammonia were examined preoperatively, at 1 week postoperatively, and at 1 month postoperatively. To determine the improvements in stent blood flow, ascites, and esophageal and gastric varices, ultrasound and/or enhanced computed tomography were performed. Treatment was evaluated based on the Modified Solid Tumor Efficacy Evaluation Criteria. Parameters such as portal vein pressure and portal blood flow before and after TIPS were analyzed using paired-sample <i>t</i>-tests.</p><p><strong>Results: </strong>Postoperatively, the direct pressure of the portal vein of patients decreased significantly from 28.33±7.15 to 19.27±3.10 mmHg (P<0.05). The amount of ascites also significantly decreased, whereas esophageal and gastric varicose veins significantly improved. Meanwhile, no significant differences were observed in liver or kidney function indicators, including bilirubin, transaminase, and creatinine, from the preoperative to the postoperative period.</p><p><strong>Conclusions: </strong>TIPS can effectively improve the various symptoms of PHT without increasing the incidence of liver function damage or other complications in patients with HCC complicated with PHT.</p>","PeriodicalId":15841,"journal":{"name":"Journal of gastrointestinal oncology","volume":"16 4","pages":"1648-1657"},"PeriodicalIF":2.0000,"publicationDate":"2025-08-30","publicationTypes":"Journal Article","fieldsOfStudy":null,"isOpenAccess":false,"openAccessPdf":"https://www.ncbi.nlm.nih.gov/pmc/articles/PMC12432959/pdf/","citationCount":"0","resultStr":"{\"title\":\"Clinical significance of transjugular intrahepatic portosystemic shunting for hepatocellular carcinoma complicated with portal hypertension.\",\"authors\":\"Feng Dai, Chunhan Pan, Chunyang Xu, Yu Yao, Mu Su, Jianwu Ren, Zhiyuan Qiu, Mario Capasso, Xiuming Zhang\",\"doi\":\"10.21037/jgo-2025-365\",\"DOIUrl\":null,\"url\":null,\"abstract\":\"<p><strong>Background: </strong>Portal hypertension (PHT) and hepatocellular carcinoma (HCC) often appear concurrently in clinic, and PHT variceal bleeding arising due to systemic treatment of HCC remains a clinical issue that urgently requires a solution. This study aimed to examine the therapeutic effects and clinical significance of transjugular intrahepatic portosystemic shunting (TIPS) in patients with HCC complicated with PHT.</p><p><strong>Methods: </strong>In this retrospective study, 21 patients with HCC complicated with PHT who were admitted to The Second Hospital of Nanjing between June 2018 and June 2023 were included. TIPS was performed, and liver and kidney function, blood routine, and biochemical indicators such as ammonia were examined preoperatively, at 1 week postoperatively, and at 1 month postoperatively. To determine the improvements in stent blood flow, ascites, and esophageal and gastric varices, ultrasound and/or enhanced computed tomography were performed. Treatment was evaluated based on the Modified Solid Tumor Efficacy Evaluation Criteria. Parameters such as portal vein pressure and portal blood flow before and after TIPS were analyzed using paired-sample <i>t</i>-tests.</p><p><strong>Results: </strong>Postoperatively, the direct pressure of the portal vein of patients decreased significantly from 28.33±7.15 to 19.27±3.10 mmHg (P<0.05). The amount of ascites also significantly decreased, whereas esophageal and gastric varicose veins significantly improved. Meanwhile, no significant differences were observed in liver or kidney function indicators, including bilirubin, transaminase, and creatinine, from the preoperative to the postoperative period.</p><p><strong>Conclusions: </strong>TIPS can effectively improve the various symptoms of PHT without increasing the incidence of liver function damage or other complications in patients with HCC complicated with PHT.</p>\",\"PeriodicalId\":15841,\"journal\":{\"name\":\"Journal of gastrointestinal oncology\",\"volume\":\"16 4\",\"pages\":\"1648-1657\"},\"PeriodicalIF\":2.0000,\"publicationDate\":\"2025-08-30\",\"publicationTypes\":\"Journal Article\",\"fieldsOfStudy\":null,\"isOpenAccess\":false,\"openAccessPdf\":\"https://www.ncbi.nlm.nih.gov/pmc/articles/PMC12432959/pdf/\",\"citationCount\":\"0\",\"resultStr\":null,\"platform\":\"Semanticscholar\",\"paperid\":null,\"PeriodicalName\":\"Journal of gastrointestinal oncology\",\"FirstCategoryId\":\"3\",\"ListUrlMain\":\"https://doi.org/10.21037/jgo-2025-365\",\"RegionNum\":4,\"RegionCategory\":\"医学\",\"ArticlePicture\":[],\"TitleCN\":null,\"AbstractTextCN\":null,\"PMCID\":null,\"EPubDate\":\"2025/8/27 0:00:00\",\"PubModel\":\"Epub\",\"JCR\":\"Q3\",\"JCRName\":\"GASTROENTEROLOGY & HEPATOLOGY\",\"Score\":null,\"Total\":0}","platform":"Semanticscholar","paperid":null,"PeriodicalName":"Journal of gastrointestinal oncology","FirstCategoryId":"3","ListUrlMain":"https://doi.org/10.21037/jgo-2025-365","RegionNum":4,"RegionCategory":"医学","ArticlePicture":[],"TitleCN":null,"AbstractTextCN":null,"PMCID":null,"EPubDate":"2025/8/27 0:00:00","PubModel":"Epub","JCR":"Q3","JCRName":"GASTROENTEROLOGY & HEPATOLOGY","Score":null,"Total":0}
引用次数: 0

摘要

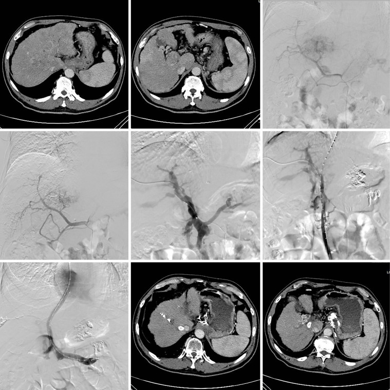
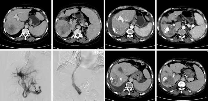
背景:门静脉高压(PHT)和肝细胞癌(HCC)在临床上经常同时出现,肝细胞癌全身治疗引起的门静脉曲张出血是一个迫切需要解决的临床问题。本研究旨在探讨经颈静脉肝内门静脉系统分流术(TIPS)在HCC合并PHT患者中的治疗效果及临床意义。方法:回顾性分析2018年6月至2023年6月南京第二医院收治的21例HCC合并PHT患者。行TIPS,术前、术后1周、术后1个月分别检测肝肾功能、血常规及氨氮等生化指标。为了确定支架血流、腹水、食管和胃静脉曲张的改善情况,我们进行了超声和/或增强计算机断层扫描。根据修正实体瘤疗效评价标准对治疗进行评价。采用配对样本t检验分析TIPS前后门静脉压、门静脉血流等参数。结果:术后患者门静脉直接压由28.33±7.15 mmHg显著降低至19.27±3.10 mmHg (p)。结论:TIPS可有效改善肝癌合并PHT患者的各种症状,且不增加肝功能损害及其他并发症的发生率。
本文章由计算机程序翻译,如有差异,请以英文原文为准。

Clinical significance of transjugular intrahepatic portosystemic shunting for hepatocellular carcinoma complicated with portal hypertension.

Clinical significance of transjugular intrahepatic portosystemic shunting for hepatocellular carcinoma complicated with portal hypertension.

Clinical significance of transjugular intrahepatic portosystemic shunting for hepatocellular carcinoma complicated with portal hypertension.

Background: Portal hypertension (PHT) and hepatocellular carcinoma (HCC) often appear concurrently in clinic, and PHT variceal bleeding arising due to systemic treatment of HCC remains a clinical issue that urgently requires a solution. This study aimed to examine the therapeutic effects and clinical significance of transjugular intrahepatic portosystemic shunting (TIPS) in patients with HCC complicated with PHT.

Methods: In this retrospective study, 21 patients with HCC complicated with PHT who were admitted to The Second Hospital of Nanjing between June 2018 and June 2023 were included. TIPS was performed, and liver and kidney function, blood routine, and biochemical indicators such as ammonia were examined preoperatively, at 1 week postoperatively, and at 1 month postoperatively. To determine the improvements in stent blood flow, ascites, and esophageal and gastric varices, ultrasound and/or enhanced computed tomography were performed. Treatment was evaluated based on the Modified Solid Tumor Efficacy Evaluation Criteria. Parameters such as portal vein pressure and portal blood flow before and after TIPS were analyzed using paired-sample t-tests.

Results: Postoperatively, the direct pressure of the portal vein of patients decreased significantly from 28.33±7.15 to 19.27±3.10 mmHg (P<0.05). The amount of ascites also significantly decreased, whereas esophageal and gastric varicose veins significantly improved. Meanwhile, no significant differences were observed in liver or kidney function indicators, including bilirubin, transaminase, and creatinine, from the preoperative to the postoperative period.

Conclusions: TIPS can effectively improve the various symptoms of PHT without increasing the incidence of liver function damage or other complications in patients with HCC complicated with PHT.

求助全文
通过发布文献求助,成功后即可免费获取论文全文。 去求助
来源期刊
CiteScore
3.20
自引率
0.00%
发文量
171
期刊介绍: ournal of Gastrointestinal Oncology (Print ISSN 2078-6891; Online ISSN 2219-679X; J Gastrointest Oncol; JGO), the official journal of Society for Gastrointestinal Oncology (SGO), is an open-access, international peer-reviewed journal. It is published quarterly (Sep. 2010- Dec. 2013), bimonthly (Feb. 2014 -) and openly distributed worldwide. JGO publishes manuscripts that focus on updated and practical information about diagnosis, prevention and clinical investigations of gastrointestinal cancer treatment. Specific areas of interest include, but not limited to, multimodality therapy, markers, imaging and tumor biology.
×
引用
GB/T 7714-2015
复制
MLA
复制
APA
复制
导出至
BibTeX EndNote RefMan NoteFirst NoteExpress
×
提示
您的信息不完整,为了账户安全,请先补充。
现在去补充
×
提示
您因"违规操作"
具体请查看互助需知
我知道了
×
提示
确定
请完成安全验证×
copy
已复制链接
快去分享给好友吧!
我知道了
右上角分享
点击右上角分享
0
联系我们:info@booksci.cn Book学术提供免费学术资源搜索服务,方便国内外学者检索中英文文献。致力于提供最便捷和优质的服务体验。 Copyright © 2023 布克学术 All rights reserved.
京ICP备2023020795号-1
ghs 京公网安备 11010802042870号
Book学术文献互助
Book学术文献互助群
群 号:604180095
Book学术官方微信