迟发性髋关节发育不良的物理治疗管理:1例报告。

IF 0.5 Q4 PEDIATRICS
Case Reports in Pediatrics Pub Date : 2025-09-04 eCollection Date: 2025-01-01 DOI:10.1155/crpe/5633998
Kai-Yu Ho, Lisa Taylor, Katherine Joines
{"title":"迟发性髋关节发育不良的物理治疗管理:1例报告。","authors":"Kai-Yu Ho, Lisa Taylor, Katherine Joines","doi":"10.1155/crpe/5633998","DOIUrl":null,"url":null,"abstract":"<p><p><b>Background:</b> Delayed diagnosis of developmental dysplasia of the hip (DDH)-defined as detection after 8 weeks of age using physical examination, ultrasound, or X-ray-occurs in approximately 0.14%-0.26% of infants. This case report highlights the challenges of delayed DDH diagnosis and the role of physical therapy in rehabilitation. <b>Case Report:</b> The patient, a firstborn Asian female, was born vaginally at 40 weeks gestation. Her early medical history included left muscular torticollis, asymmetric crying faces syndrome, and laryngomalacia. Parents observed asymmetric gluteal folds, but early physical examinations before 3 months showed negative Barlow and Ortolani tests, normal hip range of motion, and no motor impairments. Thus, ultrasound imaging was not deemed necessary in early infancy due to negative physical exam findings, the absence of classic presentations and signs, and a lack of major risk factors that would typically warrant further imaging evaluation. At 11 months, signs of reduced weight bearing and leg length discrepancy led to radiographic evaluation, revealing left DDH with subluxation. Treatment included closed reduction, 14 weeks in a Spica cast, 14 months of abduction bracing, and physical therapy. Following casting, the patient experienced hip stiffness, limited mobility, and muscle weakness. Physical therapy focused on restoring movement while ensuring joint stability. With weekly sessions, the patient showed significant progress, achieving independent walking at 19 months. Follow-up radiographs demonstrated gradual acetabular index improvement, approaching normal development by age 6 years and 9 months. <b>Conclusion:</b> This case highlights the challenges of early DDH detection, the consequences of delayed diagnosis, and the vital role of physical therapy in postoperative recovery and functional development of children with DDH.</p>","PeriodicalId":9623,"journal":{"name":"Case Reports in Pediatrics","volume":"2025 ","pages":"5633998"},"PeriodicalIF":0.5000,"publicationDate":"2025-09-04","publicationTypes":"Journal Article","fieldsOfStudy":null,"isOpenAccess":false,"openAccessPdf":"https://www.ncbi.nlm.nih.gov/pmc/articles/PMC12425625/pdf/","citationCount":"0","resultStr":"{\"title\":\"Physical Therapy Management for Delayed Diagnosis of Developmental Dysplasia of the Hip: A Case Report.\",\"authors\":\"Kai-Yu Ho, Lisa Taylor, Katherine Joines\",\"doi\":\"10.1155/crpe/5633998\",\"DOIUrl\":null,\"url\":null,\"abstract\":\"<p><p><b>Background:</b> Delayed diagnosis of developmental dysplasia of the hip (DDH)-defined as detection after 8 weeks of age using physical examination, ultrasound, or X-ray-occurs in approximately 0.14%-0.26% of infants. This case report highlights the challenges of delayed DDH diagnosis and the role of physical therapy in rehabilitation. <b>Case Report:</b> The patient, a firstborn Asian female, was born vaginally at 40 weeks gestation. Her early medical history included left muscular torticollis, asymmetric crying faces syndrome, and laryngomalacia. Parents observed asymmetric gluteal folds, but early physical examinations before 3 months showed negative Barlow and Ortolani tests, normal hip range of motion, and no motor impairments. Thus, ultrasound imaging was not deemed necessary in early infancy due to negative physical exam findings, the absence of classic presentations and signs, and a lack of major risk factors that would typically warrant further imaging evaluation. At 11 months, signs of reduced weight bearing and leg length discrepancy led to radiographic evaluation, revealing left DDH with subluxation. Treatment included closed reduction, 14 weeks in a Spica cast, 14 months of abduction bracing, and physical therapy. Following casting, the patient experienced hip stiffness, limited mobility, and muscle weakness. Physical therapy focused on restoring movement while ensuring joint stability. With weekly sessions, the patient showed significant progress, achieving independent walking at 19 months. Follow-up radiographs demonstrated gradual acetabular index improvement, approaching normal development by age 6 years and 9 months. <b>Conclusion:</b> This case highlights the challenges of early DDH detection, the consequences of delayed diagnosis, and the vital role of physical therapy in postoperative recovery and functional development of children with DDH.</p>\",\"PeriodicalId\":9623,\"journal\":{\"name\":\"Case Reports in Pediatrics\",\"volume\":\"2025 \",\"pages\":\"5633998\"},\"PeriodicalIF\":0.5000,\"publicationDate\":\"2025-09-04\",\"publicationTypes\":\"Journal Article\",\"fieldsOfStudy\":null,\"isOpenAccess\":false,\"openAccessPdf\":\"https://www.ncbi.nlm.nih.gov/pmc/articles/PMC12425625/pdf/\",\"citationCount\":\"0\",\"resultStr\":null,\"platform\":\"Semanticscholar\",\"paperid\":null,\"PeriodicalName\":\"Case Reports in Pediatrics\",\"FirstCategoryId\":\"1085\",\"ListUrlMain\":\"https://doi.org/10.1155/crpe/5633998\",\"RegionNum\":0,\"RegionCategory\":null,\"ArticlePicture\":[],\"TitleCN\":null,\"AbstractTextCN\":null,\"PMCID\":null,\"EPubDate\":\"2025/1/1 0:00:00\",\"PubModel\":\"eCollection\",\"JCR\":\"Q4\",\"JCRName\":\"PEDIATRICS\",\"Score\":null,\"Total\":0}","platform":"Semanticscholar","paperid":null,"PeriodicalName":"Case Reports in Pediatrics","FirstCategoryId":"1085","ListUrlMain":"https://doi.org/10.1155/crpe/5633998","RegionNum":0,"RegionCategory":null,"ArticlePicture":[],"TitleCN":null,"AbstractTextCN":null,"PMCID":null,"EPubDate":"2025/1/1 0:00:00","PubModel":"eCollection","JCR":"Q4","JCRName":"PEDIATRICS","Score":null,"Total":0}
引用次数: 0

摘要

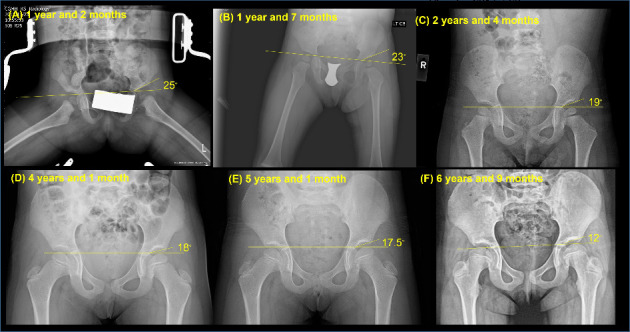
背景:迟发性髋关节发育不良(DDH)的诊断——定义为在8周龄后通过体格检查、超声或x线检查发现——发生在约0.14%-0.26%的婴儿中。本病例报告强调了延迟DDH诊断的挑战和物理治疗在康复中的作用。病例报告:患者为亚洲第一胎女性,妊娠40周顺产。她的早期病史包括左肌性斜颈、不对称哭脸综合征和喉软化。父母观察到不对称的臀沟,但3个月前的早期体检显示Barlow和Ortolani试验阴性,髋关节活动范围正常,无运动障碍。因此,由于身体检查结果阴性,缺乏典型的表现和体征,以及缺乏通常需要进一步影像学评估的主要危险因素,因此在婴儿早期超声成像被认为是不必要的。11个月时,负重减轻和腿长不一致的迹象导致x线检查,显示左DDH伴半脱位。治疗包括闭合复位、14周Spica石膏、14个月外展支具和物理治疗。铸造后,患者出现髋关节僵硬、活动受限和肌肉无力。物理治疗的重点是恢复运动,同时确保关节的稳定性。通过每周一次的治疗,患者取得了显著的进步,在19个月时实现了独立行走。随访x线片显示髋臼指数逐渐改善,在6岁零9个月时接近正常发育。结论:本病例强调了DDH早期检测的挑战,延迟诊断的后果,以及物理治疗在DDH患儿术后恢复和功能发展中的重要作用。
本文章由计算机程序翻译,如有差异,请以英文原文为准。

Physical Therapy Management for Delayed Diagnosis of Developmental Dysplasia of the Hip: A Case Report.

Physical Therapy Management for Delayed Diagnosis of Developmental Dysplasia of the Hip: A Case Report.

Physical Therapy Management for Delayed Diagnosis of Developmental Dysplasia of the Hip: A Case Report.

Physical Therapy Management for Delayed Diagnosis of Developmental Dysplasia of the Hip: A Case Report.

Background: Delayed diagnosis of developmental dysplasia of the hip (DDH)-defined as detection after 8 weeks of age using physical examination, ultrasound, or X-ray-occurs in approximately 0.14%-0.26% of infants. This case report highlights the challenges of delayed DDH diagnosis and the role of physical therapy in rehabilitation. Case Report: The patient, a firstborn Asian female, was born vaginally at 40 weeks gestation. Her early medical history included left muscular torticollis, asymmetric crying faces syndrome, and laryngomalacia. Parents observed asymmetric gluteal folds, but early physical examinations before 3 months showed negative Barlow and Ortolani tests, normal hip range of motion, and no motor impairments. Thus, ultrasound imaging was not deemed necessary in early infancy due to negative physical exam findings, the absence of classic presentations and signs, and a lack of major risk factors that would typically warrant further imaging evaluation. At 11 months, signs of reduced weight bearing and leg length discrepancy led to radiographic evaluation, revealing left DDH with subluxation. Treatment included closed reduction, 14 weeks in a Spica cast, 14 months of abduction bracing, and physical therapy. Following casting, the patient experienced hip stiffness, limited mobility, and muscle weakness. Physical therapy focused on restoring movement while ensuring joint stability. With weekly sessions, the patient showed significant progress, achieving independent walking at 19 months. Follow-up radiographs demonstrated gradual acetabular index improvement, approaching normal development by age 6 years and 9 months. Conclusion: This case highlights the challenges of early DDH detection, the consequences of delayed diagnosis, and the vital role of physical therapy in postoperative recovery and functional development of children with DDH.

求助全文
通过发布文献求助,成功后即可免费获取论文全文。 去求助
来源期刊
自引率
11.10%
发文量
48
审稿时长
13 weeks
×
引用
GB/T 7714-2015
复制
MLA
复制
APA
复制
导出至
BibTeX EndNote RefMan NoteFirst NoteExpress
×
提示
您的信息不完整,为了账户安全,请先补充。
现在去补充
×
提示
您因"违规操作"
具体请查看互助需知
我知道了
×
提示
确定
请完成安全验证×
copy
已复制链接
快去分享给好友吧!
我知道了
右上角分享
点击右上角分享
0
联系我们:info@booksci.cn Book学术提供免费学术资源搜索服务,方便国内外学者检索中英文文献。致力于提供最便捷和优质的服务体验。 Copyright © 2023 布克学术 All rights reserved.
京ICP备2023020795号-1
ghs 京公网安备 11010802042870号
Book学术文献互助
Book学术文献互助群
群 号:604180095
Book学术官方微信