伪装成肾上腺偶发瘤的腹膜后支气管囊肿。

IF 0.7 Q4 ENDOCRINOLOGY & METABOLISM
Trevor Tam, Nishani Jayatunge, Louis Saada, Srinivasan Ramalingam, David Manson-Bahr, Mark Rochester, Rupa Ahluwalia, Richard Ball
{"title":"伪装成肾上腺偶发瘤的腹膜后支气管囊肿。","authors":"Trevor Tam, Nishani Jayatunge, Louis Saada, Srinivasan Ramalingam, David Manson-Bahr, Mark Rochester, Rupa Ahluwalia, Richard Ball","doi":"10.1530/EDM-25-0012","DOIUrl":null,"url":null,"abstract":"<p><strong>Summary: </strong>Bronchogenic cysts, developmental malformations of the primitive foregut, extremely rarely occur in the retroperitoneum. Here, we present a retroperitoneal bronchogenic cyst presenting as an adrenal incidentaloma and masquerading clinically as a phaeochromocytoma.</p><p><strong>Learning points: </strong>Retroperitoneal bronchogenic cysts are exceptionally rare, particularly presenting as adrenal incidentalomas (AI), and can mimic other conditions such as non-functioning phaeochromocytomas. This case emphasises the need to consider rare conditions such as retroperitoneal bronchogenic cysts in the differential diagnosis of AI, especially when imaging findings are unusual despite normal hormonal studies. Atypical adrenal masses still warrant surgical evaluation and histopathological analysis to confirm the diagnosis and exclude rare entities. The occurrence of retroperitoneal bronchogenic cysts highlights the importance of understanding embryogenesis, particularly the migration pathways and foregut development. Histopathological examination remains crucial for diagnosing bronchogenic cysts, as they demonstrate the characteristic ciliated columnar epithelium with subepithelial smooth muscle, seromucinous glands, and cartilage.</p>","PeriodicalId":37467,"journal":{"name":"Endocrinology, Diabetes and Metabolism Case Reports","volume":"2025 3","pages":""},"PeriodicalIF":0.7000,"publicationDate":"2025-09-12","publicationTypes":"Journal Article","fieldsOfStudy":null,"isOpenAccess":false,"openAccessPdf":"https://www.ncbi.nlm.nih.gov/pmc/articles/PMC12435169/pdf/","citationCount":"0","resultStr":"{\"title\":\"Retroperitoneal bronchogenic cyst masquerading as an adrenal incidentaloma.\",\"authors\":\"Trevor Tam, Nishani Jayatunge, Louis Saada, Srinivasan Ramalingam, David Manson-Bahr, Mark Rochester, Rupa Ahluwalia, Richard Ball\",\"doi\":\"10.1530/EDM-25-0012\",\"DOIUrl\":null,\"url\":null,\"abstract\":\"<p><strong>Summary: </strong>Bronchogenic cysts, developmental malformations of the primitive foregut, extremely rarely occur in the retroperitoneum. Here, we present a retroperitoneal bronchogenic cyst presenting as an adrenal incidentaloma and masquerading clinically as a phaeochromocytoma.</p><p><strong>Learning points: </strong>Retroperitoneal bronchogenic cysts are exceptionally rare, particularly presenting as adrenal incidentalomas (AI), and can mimic other conditions such as non-functioning phaeochromocytomas. This case emphasises the need to consider rare conditions such as retroperitoneal bronchogenic cysts in the differential diagnosis of AI, especially when imaging findings are unusual despite normal hormonal studies. Atypical adrenal masses still warrant surgical evaluation and histopathological analysis to confirm the diagnosis and exclude rare entities. The occurrence of retroperitoneal bronchogenic cysts highlights the importance of understanding embryogenesis, particularly the migration pathways and foregut development. Histopathological examination remains crucial for diagnosing bronchogenic cysts, as they demonstrate the characteristic ciliated columnar epithelium with subepithelial smooth muscle, seromucinous glands, and cartilage.</p>\",\"PeriodicalId\":37467,\"journal\":{\"name\":\"Endocrinology, Diabetes and Metabolism Case Reports\",\"volume\":\"2025 3\",\"pages\":\"\"},\"PeriodicalIF\":0.7000,\"publicationDate\":\"2025-09-12\",\"publicationTypes\":\"Journal Article\",\"fieldsOfStudy\":null,\"isOpenAccess\":false,\"openAccessPdf\":\"https://www.ncbi.nlm.nih.gov/pmc/articles/PMC12435169/pdf/\",\"citationCount\":\"0\",\"resultStr\":null,\"platform\":\"Semanticscholar\",\"paperid\":null,\"PeriodicalName\":\"Endocrinology, Diabetes and Metabolism Case Reports\",\"FirstCategoryId\":\"1085\",\"ListUrlMain\":\"https://doi.org/10.1530/EDM-25-0012\",\"RegionNum\":0,\"RegionCategory\":null,\"ArticlePicture\":[],\"TitleCN\":null,\"AbstractTextCN\":null,\"PMCID\":null,\"EPubDate\":\"2025/7/1 0:00:00\",\"PubModel\":\"Print\",\"JCR\":\"Q4\",\"JCRName\":\"ENDOCRINOLOGY & METABOLISM\",\"Score\":null,\"Total\":0}","platform":"Semanticscholar","paperid":null,"PeriodicalName":"Endocrinology, Diabetes and Metabolism Case Reports","FirstCategoryId":"1085","ListUrlMain":"https://doi.org/10.1530/EDM-25-0012","RegionNum":0,"RegionCategory":null,"ArticlePicture":[],"TitleCN":null,"AbstractTextCN":null,"PMCID":null,"EPubDate":"2025/7/1 0:00:00","PubModel":"Print","JCR":"Q4","JCRName":"ENDOCRINOLOGY & METABOLISM","Score":null,"Total":0}
引用次数: 0

摘要

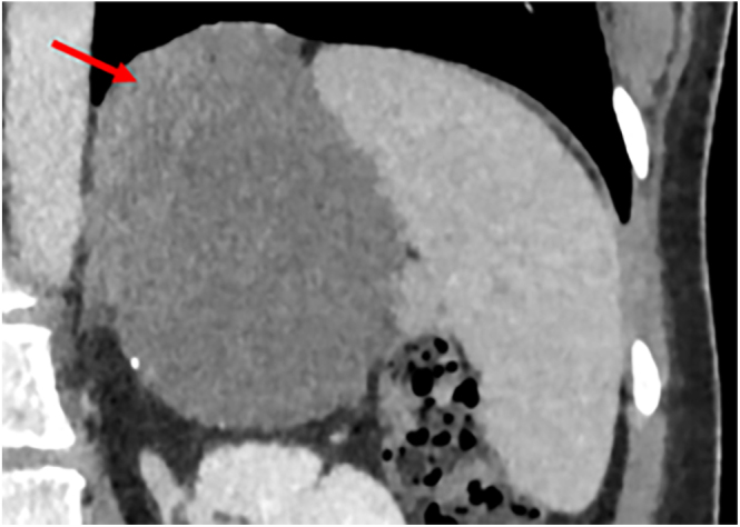
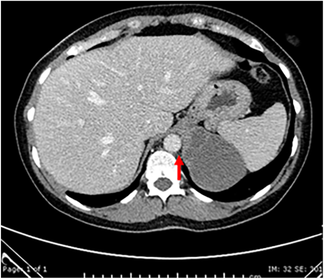
摘要:支气管囊肿是发生在原始前肠的发育畸形,很少发生在腹膜后。在此,我们报告一例腹膜后支气管源性囊肿,表现为肾上腺偶发瘤,临床表现为嗜铬细胞瘤。学习要点:腹膜后支气管囊肿是非常罕见的,特别是表现为肾上腺偶发瘤(AI),可以模仿其他疾病,如无功能的嗜铬细胞瘤。本病例强调在鉴别诊断AI时需要考虑一些罕见的情况,如腹膜后支气管囊肿,特别是当影像学发现异常时,尽管激素检查正常。非典型肾上腺肿块仍然需要手术评估和组织病理学分析,以确认诊断和排除罕见的实体。腹膜后支气管囊肿的发生强调了了解胚胎发生的重要性,特别是迁移途径和前肠发育。组织病理学检查仍然是诊断支气管源性囊肿的关键,因为它们表现出特征性的纤毛柱状上皮,上皮下平滑肌,浆液腺和软骨。
本文章由计算机程序翻译,如有差异,请以英文原文为准。

Retroperitoneal bronchogenic cyst masquerading as an adrenal incidentaloma.

Retroperitoneal bronchogenic cyst masquerading as an adrenal incidentaloma.

Retroperitoneal bronchogenic cyst masquerading as an adrenal incidentaloma.

Retroperitoneal bronchogenic cyst masquerading as an adrenal incidentaloma.

Summary: Bronchogenic cysts, developmental malformations of the primitive foregut, extremely rarely occur in the retroperitoneum. Here, we present a retroperitoneal bronchogenic cyst presenting as an adrenal incidentaloma and masquerading clinically as a phaeochromocytoma.

Learning points: Retroperitoneal bronchogenic cysts are exceptionally rare, particularly presenting as adrenal incidentalomas (AI), and can mimic other conditions such as non-functioning phaeochromocytomas. This case emphasises the need to consider rare conditions such as retroperitoneal bronchogenic cysts in the differential diagnosis of AI, especially when imaging findings are unusual despite normal hormonal studies. Atypical adrenal masses still warrant surgical evaluation and histopathological analysis to confirm the diagnosis and exclude rare entities. The occurrence of retroperitoneal bronchogenic cysts highlights the importance of understanding embryogenesis, particularly the migration pathways and foregut development. Histopathological examination remains crucial for diagnosing bronchogenic cysts, as they demonstrate the characteristic ciliated columnar epithelium with subepithelial smooth muscle, seromucinous glands, and cartilage.

求助全文
通过发布文献求助,成功后即可免费获取论文全文。 去求助
来源期刊
CiteScore
1.50
自引率
0.00%
发文量
142
审稿时长
9 weeks
期刊介绍: Endocrinology, Diabetes & Metabolism Case Reports publishes case reports on common and rare conditions in all areas of clinical endocrinology, diabetes and metabolism. Articles should include clear learning points which readers can use to inform medical education or clinical practice. The types of cases of interest to Endocrinology, Diabetes & Metabolism Case Reports include: -Insight into disease pathogenesis or mechanism of therapy - Novel diagnostic procedure - Novel treatment - Unique/unexpected symptoms or presentations of a disease - New disease or syndrome: presentations/diagnosis/management - Unusual effects of medical treatment - Error in diagnosis/pitfalls and caveats
×
引用
GB/T 7714-2015
复制
MLA
复制
APA
复制
导出至
BibTeX EndNote RefMan NoteFirst NoteExpress
×
提示
您的信息不完整,为了账户安全,请先补充。
现在去补充
×
提示
您因"违规操作"
具体请查看互助需知
我知道了
×
提示
确定
请完成安全验证×
copy
已复制链接
快去分享给好友吧!
我知道了
右上角分享
点击右上角分享
0
联系我们:info@booksci.cn Book学术提供免费学术资源搜索服务,方便国内外学者检索中英文文献。致力于提供最便捷和优质的服务体验。 Copyright © 2023 布克学术 All rights reserved.
京ICP备2023020795号-1
ghs 京公网安备 11010802042870号
Book学术文献互助
Book学术文献互助群
群 号:604180095
Book学术官方微信