基于ct的放射组学模型解码胰腺导管腺癌的纤维化内容和分子差异:一项多机构研究。

IF 4.5 2区 医学 Q1 RADIOLOGY, NUCLEAR MEDICINE & MEDICAL IMAGING
Fangqing Wang, Yang Sun, Jianwei Xu, Yufan Chen, Hui Zhang, Guotao Yin, Dexin Yu
{"title":"基于ct的放射组学模型解码胰腺导管腺癌的纤维化内容和分子差异:一项多机构研究。","authors":"Fangqing Wang, Yang Sun, Jianwei Xu, Yufan Chen, Hui Zhang, Guotao Yin, Dexin Yu","doi":"10.1186/s13244-025-02036-z","DOIUrl":null,"url":null,"abstract":"<p><strong>Objectives: </strong>To develop a CT radiomics model for predicting fibrosis grade in pancreatic ductal adenocarcinoma (PDAC) and to investigate the underlying prognosis value and biological basis.</p><p><strong>Methods: </strong>Patients with resected PDAC were retrospectively included from three institutions. Evaluating tumor fibrosis content using fibrotic pixels proportion through Masson staining of postoperative pathological sections. Radiomics features from preoperative contrast-enhanced CT (CECT) were extracted and used to develop models in the training cohort. The diagnosis performance was further validated in the two test cohorts. The outcome cohort, including patients with advanced PDAC undergoing neoadjuvant chemotherapy, was used to evaluate the predictive value of the model for overall survival (OS) and disease-free survival (DFS), which were investigated using the Kaplan-Meier method and log-rank test. RNA sequencing data from a prospective biological basis cohort were conducted to explore the biological processes underlying the radiomics model.</p><p><strong>Results: </strong>Among 215 patients (median age 60.89 years, 142 men) used for radiomics modeling, 132 (61.40%) were confirmed as high fibrosis content. The combined phase (CP) radiomics model, which included all CECT radiomics features, showed the best performance for predicting fibrosis grade, with AUCs of 0.831, 0.785, and 0.746 in training, internal test, and external test cohorts. OS (p = 0.011) and DFS (p = 0.022) can be categorized using the CP radiomics model in the outcome cohort. RNA-seq indicated that different CP models were associated with fibrotic production and remodeling processes.</p><p><strong>Conclusion: </strong>The CP radiomics model showed the best performance in predicting fibrosis grades in PDAC.</p><p><strong>Critical relevance statement: </strong>Fibrosis grading is of prognostic and neoadjuvant chemotherapy efficacy evaluation significance, and the CT-based combined phase radiomics model established in our study will facilitate risk stratification and selection of personalized treatment strategies for patients. Furthermore, underlying biological processes demonstrated in the radiomics model will offer valuable insights into their interpretability and clinical translation.</p><p><strong>Key points: </strong>Fibrosis grading is of prognostic significance in pancreatic ductal adenocarcinoma (PDAC), but lacks a reliable preoperative assessment. The CT-based combined phase (CP) radiomics model predicts fibrosis grading effectively in PDAC. The CP radiomics model demonstrated prognostic and neoadjuvant chemotherapy efficacy evaluation value and underlying biological processes, which related fibrotic production and remodeling processes.</p>","PeriodicalId":13639,"journal":{"name":"Insights into Imaging","volume":"16 1","pages":"190"},"PeriodicalIF":4.5000,"publicationDate":"2025-09-12","publicationTypes":"Journal Article","fieldsOfStudy":null,"isOpenAccess":false,"openAccessPdf":"https://www.ncbi.nlm.nih.gov/pmc/articles/PMC12431998/pdf/","citationCount":"0","resultStr":"{\"title\":\"CT-based radiomics models decode fibrosis content and molecular differences in pancreatic ductal adenocarcinoma: a multi-institutional study.\",\"authors\":\"Fangqing Wang, Yang Sun, Jianwei Xu, Yufan Chen, Hui Zhang, Guotao Yin, Dexin Yu\",\"doi\":\"10.1186/s13244-025-02036-z\",\"DOIUrl\":null,\"url\":null,\"abstract\":\"<p><strong>Objectives: </strong>To develop a CT radiomics model for predicting fibrosis grade in pancreatic ductal adenocarcinoma (PDAC) and to investigate the underlying prognosis value and biological basis.</p><p><strong>Methods: </strong>Patients with resected PDAC were retrospectively included from three institutions. Evaluating tumor fibrosis content using fibrotic pixels proportion through Masson staining of postoperative pathological sections. Radiomics features from preoperative contrast-enhanced CT (CECT) were extracted and used to develop models in the training cohort. The diagnosis performance was further validated in the two test cohorts. The outcome cohort, including patients with advanced PDAC undergoing neoadjuvant chemotherapy, was used to evaluate the predictive value of the model for overall survival (OS) and disease-free survival (DFS), which were investigated using the Kaplan-Meier method and log-rank test. RNA sequencing data from a prospective biological basis cohort were conducted to explore the biological processes underlying the radiomics model.</p><p><strong>Results: </strong>Among 215 patients (median age 60.89 years, 142 men) used for radiomics modeling, 132 (61.40%) were confirmed as high fibrosis content. The combined phase (CP) radiomics model, which included all CECT radiomics features, showed the best performance for predicting fibrosis grade, with AUCs of 0.831, 0.785, and 0.746 in training, internal test, and external test cohorts. OS (p = 0.011) and DFS (p = 0.022) can be categorized using the CP radiomics model in the outcome cohort. RNA-seq indicated that different CP models were associated with fibrotic production and remodeling processes.</p><p><strong>Conclusion: </strong>The CP radiomics model showed the best performance in predicting fibrosis grades in PDAC.</p><p><strong>Critical relevance statement: </strong>Fibrosis grading is of prognostic and neoadjuvant chemotherapy efficacy evaluation significance, and the CT-based combined phase radiomics model established in our study will facilitate risk stratification and selection of personalized treatment strategies for patients. Furthermore, underlying biological processes demonstrated in the radiomics model will offer valuable insights into their interpretability and clinical translation.</p><p><strong>Key points: </strong>Fibrosis grading is of prognostic significance in pancreatic ductal adenocarcinoma (PDAC), but lacks a reliable preoperative assessment. The CT-based combined phase (CP) radiomics model predicts fibrosis grading effectively in PDAC. The CP radiomics model demonstrated prognostic and neoadjuvant chemotherapy efficacy evaluation value and underlying biological processes, which related fibrotic production and remodeling processes.</p>\",\"PeriodicalId\":13639,\"journal\":{\"name\":\"Insights into Imaging\",\"volume\":\"16 1\",\"pages\":\"190\"},\"PeriodicalIF\":4.5000,\"publicationDate\":\"2025-09-12\",\"publicationTypes\":\"Journal Article\",\"fieldsOfStudy\":null,\"isOpenAccess\":false,\"openAccessPdf\":\"https://www.ncbi.nlm.nih.gov/pmc/articles/PMC12431998/pdf/\",\"citationCount\":\"0\",\"resultStr\":null,\"platform\":\"Semanticscholar\",\"paperid\":null,\"PeriodicalName\":\"Insights into Imaging\",\"FirstCategoryId\":\"3\",\"ListUrlMain\":\"https://doi.org/10.1186/s13244-025-02036-z\",\"RegionNum\":2,\"RegionCategory\":\"医学\",\"ArticlePicture\":[],\"TitleCN\":null,\"AbstractTextCN\":null,\"PMCID\":null,\"EPubDate\":\"\",\"PubModel\":\"\",\"JCR\":\"Q1\",\"JCRName\":\"RADIOLOGY, NUCLEAR MEDICINE & MEDICAL IMAGING\",\"Score\":null,\"Total\":0}","platform":"Semanticscholar","paperid":null,"PeriodicalName":"Insights into Imaging","FirstCategoryId":"3","ListUrlMain":"https://doi.org/10.1186/s13244-025-02036-z","RegionNum":2,"RegionCategory":"医学","ArticlePicture":[],"TitleCN":null,"AbstractTextCN":null,"PMCID":null,"EPubDate":"","PubModel":"","JCR":"Q1","JCRName":"RADIOLOGY, NUCLEAR MEDICINE & MEDICAL IMAGING","Score":null,"Total":0}
引用次数: 0

摘要

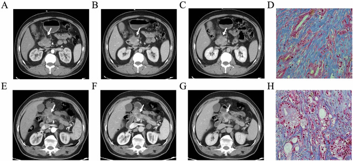
目的:建立预测胰腺导管腺癌(PDAC)纤维化程度的CT放射组学模型,探讨其潜在的预后价值和生物学基础。方法:回顾性分析来自三家机构的PDAC切除术患者。术后病理切片马松染色,采用纤维化像元比例评价肿瘤纤维化含量。从术前对比增强CT (CECT)中提取放射组学特征,并用于在培训队列中建立模型。在两个测试队列中进一步验证了诊断性能。结果队列包括接受新辅助化疗的晚期PDAC患者,使用Kaplan-Meier法和log-rank检验来评估该模型对总生存期(OS)和无病生存期(DFS)的预测价值。来自前瞻性生物学基础队列的RNA测序数据被用于探索放射组学模型背后的生物学过程。结果:在用于放射组学建模的215例患者(中位年龄60.89岁,142例男性)中,132例(61.40%)被确认为高纤维化含量。包括所有CECT放射组学特征的联合期(CP)放射组学模型在预测纤维化级别方面表现最佳,在训练、内部测试和外部测试队列中的auc分别为0.831、0.785和0.746。在结果队列中,OS (p = 0.011)和DFS (p = 0.022)可以使用CP放射组学模型进行分类。RNA-seq显示不同的CP模型与纤维化的产生和重塑过程有关。结论:CP放射组学模型在预测PDAC纤维化分级方面表现最佳。关键相关性声明:纤维化分级对预后和新辅助化疗疗效评价具有重要意义,本研究建立的基于ct的联合期放射组学模型将有助于患者的风险分层和个性化治疗策略的选择。此外,放射组学模型中显示的潜在生物学过程将为其可解释性和临床翻译提供有价值的见解。重点:胰腺导管腺癌(PDAC)的纤维化分级具有预后意义,但缺乏可靠的术前评估。基于ct的联合期(CP)放射组学模型可有效预测PDAC的纤维化分级。CP放射组学模型显示了预后和新辅助化疗疗效评估价值以及与纤维化产生和重塑过程相关的潜在生物学过程。
本文章由计算机程序翻译,如有差异,请以英文原文为准。

CT-based radiomics models decode fibrosis content and molecular differences in pancreatic ductal adenocarcinoma: a multi-institutional study.

CT-based radiomics models decode fibrosis content and molecular differences in pancreatic ductal adenocarcinoma: a multi-institutional study.

CT-based radiomics models decode fibrosis content and molecular differences in pancreatic ductal adenocarcinoma: a multi-institutional study.

CT-based radiomics models decode fibrosis content and molecular differences in pancreatic ductal adenocarcinoma: a multi-institutional study.

Objectives: To develop a CT radiomics model for predicting fibrosis grade in pancreatic ductal adenocarcinoma (PDAC) and to investigate the underlying prognosis value and biological basis.

Methods: Patients with resected PDAC were retrospectively included from three institutions. Evaluating tumor fibrosis content using fibrotic pixels proportion through Masson staining of postoperative pathological sections. Radiomics features from preoperative contrast-enhanced CT (CECT) were extracted and used to develop models in the training cohort. The diagnosis performance was further validated in the two test cohorts. The outcome cohort, including patients with advanced PDAC undergoing neoadjuvant chemotherapy, was used to evaluate the predictive value of the model for overall survival (OS) and disease-free survival (DFS), which were investigated using the Kaplan-Meier method and log-rank test. RNA sequencing data from a prospective biological basis cohort were conducted to explore the biological processes underlying the radiomics model.

Results: Among 215 patients (median age 60.89 years, 142 men) used for radiomics modeling, 132 (61.40%) were confirmed as high fibrosis content. The combined phase (CP) radiomics model, which included all CECT radiomics features, showed the best performance for predicting fibrosis grade, with AUCs of 0.831, 0.785, and 0.746 in training, internal test, and external test cohorts. OS (p = 0.011) and DFS (p = 0.022) can be categorized using the CP radiomics model in the outcome cohort. RNA-seq indicated that different CP models were associated with fibrotic production and remodeling processes.

Conclusion: The CP radiomics model showed the best performance in predicting fibrosis grades in PDAC.

Critical relevance statement: Fibrosis grading is of prognostic and neoadjuvant chemotherapy efficacy evaluation significance, and the CT-based combined phase radiomics model established in our study will facilitate risk stratification and selection of personalized treatment strategies for patients. Furthermore, underlying biological processes demonstrated in the radiomics model will offer valuable insights into their interpretability and clinical translation.

Key points: Fibrosis grading is of prognostic significance in pancreatic ductal adenocarcinoma (PDAC), but lacks a reliable preoperative assessment. The CT-based combined phase (CP) radiomics model predicts fibrosis grading effectively in PDAC. The CP radiomics model demonstrated prognostic and neoadjuvant chemotherapy efficacy evaluation value and underlying biological processes, which related fibrotic production and remodeling processes.

求助全文
通过发布文献求助,成功后即可免费获取论文全文。 去求助
来源期刊
Insights into Imaging
Insights into Imaging Medicine-Radiology, Nuclear Medicine and Imaging
CiteScore
7.30
自引率
4.30%
发文量
182
审稿时长
13 weeks
期刊介绍: Insights into Imaging (I³) is a peer-reviewed open access journal published under the brand SpringerOpen. All content published in the journal is freely available online to anyone, anywhere! I³ continuously updates scientific knowledge and progress in best-practice standards in radiology through the publication of original articles and state-of-the-art reviews and opinions, along with recommendations and statements from the leading radiological societies in Europe. Founded by the European Society of Radiology (ESR), I³ creates a platform for educational material, guidelines and recommendations, and a forum for topics of controversy. A balanced combination of review articles, original papers, short communications from European radiological congresses and information on society matters makes I³ an indispensable source for current information in this field. I³ is owned by the ESR, however authors retain copyright to their article according to the Creative Commons Attribution License (see Copyright and License Agreement). All articles can be read, redistributed and reused for free, as long as the author of the original work is cited properly. The open access fees (article-processing charges) for this journal are kindly sponsored by ESR for all Members. The journal went open access in 2012, which means that all articles published since then are freely available online.
×
引用
GB/T 7714-2015
复制
MLA
复制
APA
复制
导出至
BibTeX EndNote RefMan NoteFirst NoteExpress
×
提示
您的信息不完整,为了账户安全,请先补充。
现在去补充
×
提示
您因"违规操作"
具体请查看互助需知
我知道了
×
提示
确定
请完成安全验证×
copy
已复制链接
快去分享给好友吧!
我知道了
右上角分享
点击右上角分享
0
联系我们:info@booksci.cn Book学术提供免费学术资源搜索服务,方便国内外学者检索中英文文献。致力于提供最便捷和优质的服务体验。 Copyright © 2023 布克学术 All rights reserved.
京ICP备2023020795号-1
ghs 京公网安备 11010802042870号
Book学术文献互助
Book学术文献互助群
群 号:604180095
Book学术官方微信