异型性多形性腺瘤、大汗腺化生和/或原位/囊内涎管癌是预后良好的惰性病变:统一命名和临床观察的建议。

IF 4.1
Grayson G Cole, Cole, Matt Levin, David Ferber, Spencer C Roark, Peter M Sadow, Daniel Lubin, Julie Guilmette, Jason R Pettus, Adam S Fisch, Dipti P Sajed, Fouad R Zakka, Mark W Lingen, Nicole A Cipriani
{"title":"异型性多形性腺瘤、大汗腺化生和/或原位/囊内涎管癌是预后良好的惰性病变:统一命名和临床观察的建议。","authors":"Grayson G Cole, Cole, Matt Levin, David Ferber, Spencer C Roark, Peter M Sadow, Daniel Lubin, Julie Guilmette, Jason R Pettus, Adam S Fisch, Dipti P Sajed, Fouad R Zakka, Mark W Lingen, Nicole A Cipriani","doi":"10.1007/s12105-025-01841-8","DOIUrl":null,"url":null,"abstract":"<p><strong>Purpose: </strong>Salivary duct carcinoma (SDC) is the most common malignancy to arise in a pleomorphic adenoma (PA). Intracapsular or non-invasive carcinoma ex PA (CXPA) is defined by the presence of malignant-appearing tumor cells within the PA that do not violate the tumor border. Knowledge regarding the possible morphologic spectrum and prognosis of intratumoral CXPA is scarce. This study aims to evaluate the morphologic, immunohistochemical, and clinical features of PAs with apocrine / salivary-duct-like intratumoral atypia.</p><p><strong>Methods: </strong>Surgical pathology databases were queried for in situ or intracapsular/intratumoral SDC ex PAs and PAs with atypical epithelial cells (AEC). Exclusion criteria included recurrent lesions, invasion, positive margins, atypia only in myoepithelial cells, or other morphologic variants. Chromogenic multiplex (androgen receptor (AR) and HER2) and monoplex (p40) assays were performed on all available cases, as well as on a control group of non-atypical benign PAs and overtly invasive SDCs. Clinical outcomes were recorded.</p><p><strong>Results: </strong>96 cases were identified: 23 AEC, 6 apocrine metaplasia, 41 benign PA, 8 SDC ex PA. All AEC, apocrine metaplasia, and benign cases were treated with surgery alone, with 3 AEC cases also receiving a neck dissection. No case recurred. Five of 8 SDC ex PA recurred; 3 died of disease. AR and HER2 were respectively expressed in 96% and 22-48% of AEC; 83% and 0% of apocrine metaplasia; 51% and 0% of benign PA; and 86-100% and 38-57% of SDC ex PA. Patients had increasing average age from benign (~ 50 years) to atypical/in situ (60 years) to invasive carcinoma (~ 70 years).</p><p><strong>Conclusion: </strong>The presence of epithelial atypia within a PA (ranging from isolated AR expression to apocrine metaplasia to overtly dysplastic/malignant epithelial cells) does not portend recurrence or metastasis if the atypia is confined within the borders of the adenoma and negative margins are achieved. Therefore, use of the term \"in situ/intracapsular/intratumoral salivary duct carcinoma ex pleomorphic adenoma\" is discouraged in light of good prognosis and potential for overtreatment by clinical teams. Nomenclature such as pleomorphic adenoma with epithelial \"atypia\" or \"dysplasia\" is recommended, followed by a comment regarding the morphologic features and likely indolent behavior.</p>","PeriodicalId":520636,"journal":{"name":"Head and neck pathology","volume":"19 1","pages":"109"},"PeriodicalIF":4.1000,"publicationDate":"2025-09-12","publicationTypes":"Journal Article","fieldsOfStudy":null,"isOpenAccess":false,"openAccessPdf":"https://www.ncbi.nlm.nih.gov/pmc/articles/PMC12431996/pdf/","citationCount":"0","resultStr":"{\"title\":\"Pleomorphic Adenoma with Epithelial Atypia, Apocrine Metaplasia, and/or In situ/Intracapsular Salivary Duct Carcinoma Are Indolent Lesions with Good Prognosis: A Proposal for Unified Nomenclature and Clinical Observation.\",\"authors\":\"Grayson G Cole, Cole, Matt Levin, David Ferber, Spencer C Roark, Peter M Sadow, Daniel Lubin, Julie Guilmette, Jason R Pettus, Adam S Fisch, Dipti P Sajed, Fouad R Zakka, Mark W Lingen, Nicole A Cipriani\",\"doi\":\"10.1007/s12105-025-01841-8\",\"DOIUrl\":null,\"url\":null,\"abstract\":\"<p><strong>Purpose: </strong>Salivary duct carcinoma (SDC) is the most common malignancy to arise in a pleomorphic adenoma (PA). Intracapsular or non-invasive carcinoma ex PA (CXPA) is defined by the presence of malignant-appearing tumor cells within the PA that do not violate the tumor border. Knowledge regarding the possible morphologic spectrum and prognosis of intratumoral CXPA is scarce. This study aims to evaluate the morphologic, immunohistochemical, and clinical features of PAs with apocrine / salivary-duct-like intratumoral atypia.</p><p><strong>Methods: </strong>Surgical pathology databases were queried for in situ or intracapsular/intratumoral SDC ex PAs and PAs with atypical epithelial cells (AEC). Exclusion criteria included recurrent lesions, invasion, positive margins, atypia only in myoepithelial cells, or other morphologic variants. Chromogenic multiplex (androgen receptor (AR) and HER2) and monoplex (p40) assays were performed on all available cases, as well as on a control group of non-atypical benign PAs and overtly invasive SDCs. Clinical outcomes were recorded.</p><p><strong>Results: </strong>96 cases were identified: 23 AEC, 6 apocrine metaplasia, 41 benign PA, 8 SDC ex PA. All AEC, apocrine metaplasia, and benign cases were treated with surgery alone, with 3 AEC cases also receiving a neck dissection. No case recurred. Five of 8 SDC ex PA recurred; 3 died of disease. AR and HER2 were respectively expressed in 96% and 22-48% of AEC; 83% and 0% of apocrine metaplasia; 51% and 0% of benign PA; and 86-100% and 38-57% of SDC ex PA. Patients had increasing average age from benign (~ 50 years) to atypical/in situ (60 years) to invasive carcinoma (~ 70 years).</p><p><strong>Conclusion: </strong>The presence of epithelial atypia within a PA (ranging from isolated AR expression to apocrine metaplasia to overtly dysplastic/malignant epithelial cells) does not portend recurrence or metastasis if the atypia is confined within the borders of the adenoma and negative margins are achieved. Therefore, use of the term \\\"in situ/intracapsular/intratumoral salivary duct carcinoma ex pleomorphic adenoma\\\" is discouraged in light of good prognosis and potential for overtreatment by clinical teams. Nomenclature such as pleomorphic adenoma with epithelial \\\"atypia\\\" or \\\"dysplasia\\\" is recommended, followed by a comment regarding the morphologic features and likely indolent behavior.</p>\",\"PeriodicalId\":520636,\"journal\":{\"name\":\"Head and neck pathology\",\"volume\":\"19 1\",\"pages\":\"109\"},\"PeriodicalIF\":4.1000,\"publicationDate\":\"2025-09-12\",\"publicationTypes\":\"Journal Article\",\"fieldsOfStudy\":null,\"isOpenAccess\":false,\"openAccessPdf\":\"https://www.ncbi.nlm.nih.gov/pmc/articles/PMC12431996/pdf/\",\"citationCount\":\"0\",\"resultStr\":null,\"platform\":\"Semanticscholar\",\"paperid\":null,\"PeriodicalName\":\"Head and neck pathology\",\"FirstCategoryId\":\"1085\",\"ListUrlMain\":\"https://doi.org/10.1007/s12105-025-01841-8\",\"RegionNum\":0,\"RegionCategory\":null,\"ArticlePicture\":[],\"TitleCN\":null,\"AbstractTextCN\":null,\"PMCID\":null,\"EPubDate\":\"\",\"PubModel\":\"\",\"JCR\":\"\",\"JCRName\":\"\",\"Score\":null,\"Total\":0}","platform":"Semanticscholar","paperid":null,"PeriodicalName":"Head and neck pathology","FirstCategoryId":"1085","ListUrlMain":"https://doi.org/10.1007/s12105-025-01841-8","RegionNum":0,"RegionCategory":null,"ArticlePicture":[],"TitleCN":null,"AbstractTextCN":null,"PMCID":null,"EPubDate":"","PubModel":"","JCR":"","JCRName":"","Score":null,"Total":0}
引用次数: 0

摘要

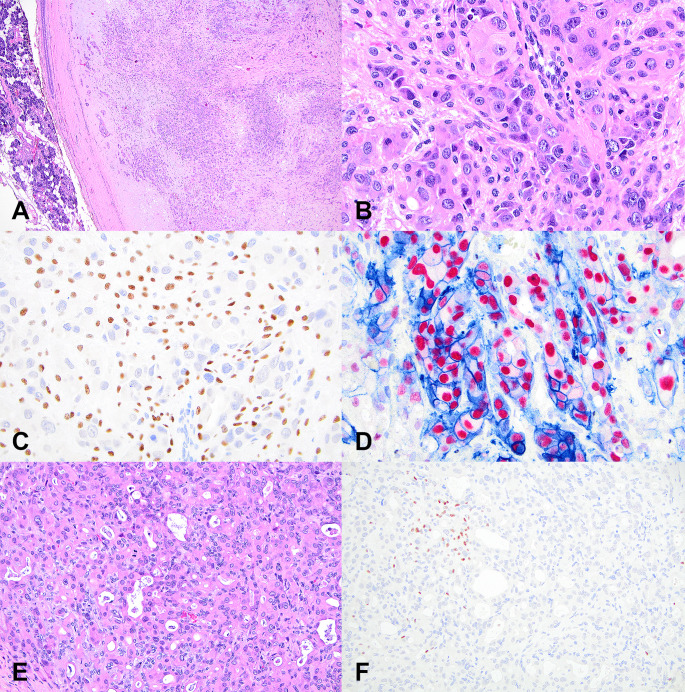
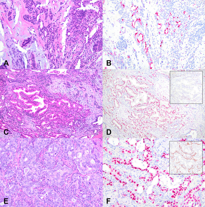
目的:涎腺管癌(SDC)是多形性腺瘤(PA)最常见的恶性肿瘤。囊内癌或非侵袭性癌外PA (CXPA)的定义是在PA内存在不侵犯肿瘤边界的恶性肿瘤细胞。关于肿瘤内CXPA可能的形态谱和预后的知识很少。本研究旨在评估大汗液/唾液导管样肿瘤内异型性PAs的形态学、免疫组织化学和临床特征。方法:查询手术病理数据库,查找原位或囊内/瘤内SDC ex PAs和非典型上皮细胞(AEC) PAs。排除标准包括复发性病变、侵袭、阳性边缘、仅在肌上皮细胞中的非典型性或其他形态变异。对所有可用病例以及非典型良性PAs和明显侵袭性sdc的对照组进行了显色多重(雄激素受体(AR)和HER2)和单一(p40)检测。记录临床结果。结果:96例确诊:AEC 23例,大汗腺化生6例,良性PA 41例,非PA性SDC 8例。所有AEC、大汗腺化生和良性病例均行手术治疗,其中3例AEC还行颈部清扫术。无复发病例。8例SDC术后复发5例;3人死于疾病。AR和HER2分别在96%和22-48%的AEC中表达;大汗腺化生分别为83%和0%;良性PA为51%和0%;不含PA的SDC分别为86-100%和38-57%。患者的平均年龄从良性(~ 50岁)到非典型/原位癌(60岁)再到浸润性癌(~ 70岁)逐渐增加。结论:PA中上皮异型性的存在(从孤立的AR表达到顶泌化生,再到明显的发育不良/恶性上皮细胞)并不预示着复发或转移,如果异型性局限于腺瘤的边界内,并且达到阴性边缘。因此,鉴于预后良好和临床团队过度治疗的可能性,不鼓励使用“原位/囊内/瘤内多形性腺瘤”这一术语。建议将多形性腺瘤命名为上皮“异型”或“不典型增生”,然后对形态学特征和可能的惰性行为进行评论。
本文章由计算机程序翻译,如有差异,请以英文原文为准。

Pleomorphic Adenoma with Epithelial Atypia, Apocrine Metaplasia, and/or In situ/Intracapsular Salivary Duct Carcinoma Are Indolent Lesions with Good Prognosis: A Proposal for Unified Nomenclature and Clinical Observation.

Pleomorphic Adenoma with Epithelial Atypia, Apocrine Metaplasia, and/or In situ/Intracapsular Salivary Duct Carcinoma Are Indolent Lesions with Good Prognosis: A Proposal for Unified Nomenclature and Clinical Observation.

Pleomorphic Adenoma with Epithelial Atypia, Apocrine Metaplasia, and/or In situ/Intracapsular Salivary Duct Carcinoma Are Indolent Lesions with Good Prognosis: A Proposal for Unified Nomenclature and Clinical Observation.

Pleomorphic Adenoma with Epithelial Atypia, Apocrine Metaplasia, and/or In situ/Intracapsular Salivary Duct Carcinoma Are Indolent Lesions with Good Prognosis: A Proposal for Unified Nomenclature and Clinical Observation.

Purpose: Salivary duct carcinoma (SDC) is the most common malignancy to arise in a pleomorphic adenoma (PA). Intracapsular or non-invasive carcinoma ex PA (CXPA) is defined by the presence of malignant-appearing tumor cells within the PA that do not violate the tumor border. Knowledge regarding the possible morphologic spectrum and prognosis of intratumoral CXPA is scarce. This study aims to evaluate the morphologic, immunohistochemical, and clinical features of PAs with apocrine / salivary-duct-like intratumoral atypia.

Methods: Surgical pathology databases were queried for in situ or intracapsular/intratumoral SDC ex PAs and PAs with atypical epithelial cells (AEC). Exclusion criteria included recurrent lesions, invasion, positive margins, atypia only in myoepithelial cells, or other morphologic variants. Chromogenic multiplex (androgen receptor (AR) and HER2) and monoplex (p40) assays were performed on all available cases, as well as on a control group of non-atypical benign PAs and overtly invasive SDCs. Clinical outcomes were recorded.

Results: 96 cases were identified: 23 AEC, 6 apocrine metaplasia, 41 benign PA, 8 SDC ex PA. All AEC, apocrine metaplasia, and benign cases were treated with surgery alone, with 3 AEC cases also receiving a neck dissection. No case recurred. Five of 8 SDC ex PA recurred; 3 died of disease. AR and HER2 were respectively expressed in 96% and 22-48% of AEC; 83% and 0% of apocrine metaplasia; 51% and 0% of benign PA; and 86-100% and 38-57% of SDC ex PA. Patients had increasing average age from benign (~ 50 years) to atypical/in situ (60 years) to invasive carcinoma (~ 70 years).

Conclusion: The presence of epithelial atypia within a PA (ranging from isolated AR expression to apocrine metaplasia to overtly dysplastic/malignant epithelial cells) does not portend recurrence or metastasis if the atypia is confined within the borders of the adenoma and negative margins are achieved. Therefore, use of the term "in situ/intracapsular/intratumoral salivary duct carcinoma ex pleomorphic adenoma" is discouraged in light of good prognosis and potential for overtreatment by clinical teams. Nomenclature such as pleomorphic adenoma with epithelial "atypia" or "dysplasia" is recommended, followed by a comment regarding the morphologic features and likely indolent behavior.

求助全文
通过发布文献求助,成功后即可免费获取论文全文。 去求助
来源期刊
自引率
0.00%
发文量
0
×
引用
GB/T 7714-2015
复制
MLA
复制
APA
复制
导出至
BibTeX EndNote RefMan NoteFirst NoteExpress
×
提示
您的信息不完整,为了账户安全,请先补充。
现在去补充
×
提示
您因"违规操作"
具体请查看互助需知
我知道了
×
提示
确定
请完成安全验证×
copy
已复制链接
快去分享给好友吧!
我知道了
右上角分享
点击右上角分享
0
联系我们:info@booksci.cn Book学术提供免费学术资源搜索服务,方便国内外学者检索中英文文献。致力于提供最便捷和优质的服务体验。 Copyright © 2023 布克学术 All rights reserved.
京ICP备2023020795号-1
ghs 京公网安备 11010802042870号
Book学术文献互助
Book学术文献互助群
群 号:604180095
Book学术官方微信