人布鲁氏菌病患者IgA肾病伴新月细胞病变1例报告。

Frontiers in nephrology Pub Date : 2025-08-26 eCollection Date: 2025-01-01 DOI:10.3389/fneph.2025.1594639
Dongli Qi, Ricong Yu, Qijun Wan, Yi Xu
{"title":"人布鲁氏菌病患者IgA肾病伴新月细胞病变1例报告。","authors":"Dongli Qi, Ricong Yu, Qijun Wan, Yi Xu","doi":"10.3389/fneph.2025.1594639","DOIUrl":null,"url":null,"abstract":"<p><p>Brucellosis is known to impact multiple organ systems in humans, including the urogenital system; however, the occurrence of glomerular diseases is relatively uncommon. In this study, we present the case of a 45-year-old man with no prior history of renal disease who developed gross hematuria, proteinuria, acute kidney injury, anemia, hypoproteinemia, pleural effusion, arthralgia, and lymphadenopathy following an acute <i>Brucella</i> infection. Renal biopsy revealed mesangial proliferative immunoglobulin A (IgA) nephropathy with partial crescents, classified as M1E0S0T0C2 according to the Oxford classification, in conjunction with <i>Brucella</i> spondylitis. The patient achieved complete remission after 4 months of anti-brucellosis therapy with doxycycline, levofloxacin, and rifampicin. In this paper, we present a case study of IgA nephropathy complicated by cellular crescent lesions resulting from acute <i>Brucella</i> infection, which completely resolved following anti-<i>Brucella</i> therapy. In addition, we review previously documented cases of <i>Brucella</i>-associated glomerular disease confirmed through renal biopsy, aiming to offer a reference for clinical diagnosis and treatment.</p>","PeriodicalId":73091,"journal":{"name":"Frontiers in nephrology","volume":"5 ","pages":"1594639"},"PeriodicalIF":0.0000,"publicationDate":"2025-08-26","publicationTypes":"Journal Article","fieldsOfStudy":null,"isOpenAccess":false,"openAccessPdf":"https://www.ncbi.nlm.nih.gov/pmc/articles/PMC12417143/pdf/","citationCount":"0","resultStr":"{\"title\":\"IgA nephropathy with crescent cell lesions in a human brucellosis patient: a case report.\",\"authors\":\"Dongli Qi, Ricong Yu, Qijun Wan, Yi Xu\",\"doi\":\"10.3389/fneph.2025.1594639\",\"DOIUrl\":null,\"url\":null,\"abstract\":\"<p><p>Brucellosis is known to impact multiple organ systems in humans, including the urogenital system; however, the occurrence of glomerular diseases is relatively uncommon. In this study, we present the case of a 45-year-old man with no prior history of renal disease who developed gross hematuria, proteinuria, acute kidney injury, anemia, hypoproteinemia, pleural effusion, arthralgia, and lymphadenopathy following an acute <i>Brucella</i> infection. Renal biopsy revealed mesangial proliferative immunoglobulin A (IgA) nephropathy with partial crescents, classified as M1E0S0T0C2 according to the Oxford classification, in conjunction with <i>Brucella</i> spondylitis. The patient achieved complete remission after 4 months of anti-brucellosis therapy with doxycycline, levofloxacin, and rifampicin. In this paper, we present a case study of IgA nephropathy complicated by cellular crescent lesions resulting from acute <i>Brucella</i> infection, which completely resolved following anti-<i>Brucella</i> therapy. In addition, we review previously documented cases of <i>Brucella</i>-associated glomerular disease confirmed through renal biopsy, aiming to offer a reference for clinical diagnosis and treatment.</p>\",\"PeriodicalId\":73091,\"journal\":{\"name\":\"Frontiers in nephrology\",\"volume\":\"5 \",\"pages\":\"1594639\"},\"PeriodicalIF\":0.0000,\"publicationDate\":\"2025-08-26\",\"publicationTypes\":\"Journal Article\",\"fieldsOfStudy\":null,\"isOpenAccess\":false,\"openAccessPdf\":\"https://www.ncbi.nlm.nih.gov/pmc/articles/PMC12417143/pdf/\",\"citationCount\":\"0\",\"resultStr\":null,\"platform\":\"Semanticscholar\",\"paperid\":null,\"PeriodicalName\":\"Frontiers in nephrology\",\"FirstCategoryId\":\"1085\",\"ListUrlMain\":\"https://doi.org/10.3389/fneph.2025.1594639\",\"RegionNum\":0,\"RegionCategory\":null,\"ArticlePicture\":[],\"TitleCN\":null,\"AbstractTextCN\":null,\"PMCID\":null,\"EPubDate\":\"2025/1/1 0:00:00\",\"PubModel\":\"eCollection\",\"JCR\":\"\",\"JCRName\":\"\",\"Score\":null,\"Total\":0}","platform":"Semanticscholar","paperid":null,"PeriodicalName":"Frontiers in nephrology","FirstCategoryId":"1085","ListUrlMain":"https://doi.org/10.3389/fneph.2025.1594639","RegionNum":0,"RegionCategory":null,"ArticlePicture":[],"TitleCN":null,"AbstractTextCN":null,"PMCID":null,"EPubDate":"2025/1/1 0:00:00","PubModel":"eCollection","JCR":"","JCRName":"","Score":null,"Total":0}
引用次数: 0

摘要

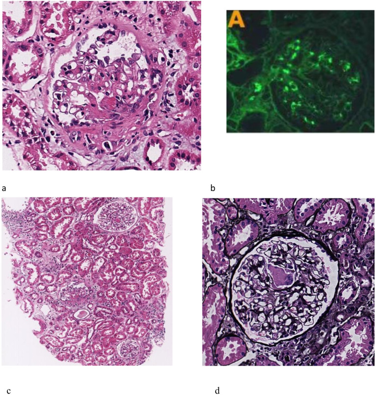
已知布鲁氏菌病会影响人类的多个器官系统,包括泌尿生殖系统;然而,肾小球疾病的发生相对罕见。在本研究中,我们报告了一例45岁的无肾脏疾病史的男性,他在急性布鲁氏菌感染后出现了严重血尿、蛋白尿、急性肾损伤、贫血、低蛋白血症、胸膜积液、关节痛和淋巴结病。肾活检显示系膜增生性免疫球蛋白A (IgA)肾病伴部分新月形,根据牛津分级为m1e0so0t0c2,合并布鲁氏菌脊椎炎。患者接受强力霉素、左氧氟沙星和利福平抗布鲁氏菌病治疗4个月后完全缓解。本文报告一例IgA肾病合并急性布鲁氏菌感染引起的细胞新月形病变,经抗布鲁氏菌治疗后完全消失。此外,我们回顾了既往通过肾活检确诊的布鲁氏菌相关性肾小球疾病病例,旨在为临床诊断和治疗提供参考。
本文章由计算机程序翻译,如有差异,请以英文原文为准。

IgA nephropathy with crescent cell lesions in a human brucellosis patient: a case report.

IgA nephropathy with crescent cell lesions in a human brucellosis patient: a case report.

Brucellosis is known to impact multiple organ systems in humans, including the urogenital system; however, the occurrence of glomerular diseases is relatively uncommon. In this study, we present the case of a 45-year-old man with no prior history of renal disease who developed gross hematuria, proteinuria, acute kidney injury, anemia, hypoproteinemia, pleural effusion, arthralgia, and lymphadenopathy following an acute Brucella infection. Renal biopsy revealed mesangial proliferative immunoglobulin A (IgA) nephropathy with partial crescents, classified as M1E0S0T0C2 according to the Oxford classification, in conjunction with Brucella spondylitis. The patient achieved complete remission after 4 months of anti-brucellosis therapy with doxycycline, levofloxacin, and rifampicin. In this paper, we present a case study of IgA nephropathy complicated by cellular crescent lesions resulting from acute Brucella infection, which completely resolved following anti-Brucella therapy. In addition, we review previously documented cases of Brucella-associated glomerular disease confirmed through renal biopsy, aiming to offer a reference for clinical diagnosis and treatment.

求助全文
通过发布文献求助,成功后即可免费获取论文全文。 去求助
来源期刊
自引率
0.00%
发文量
0
×
引用
GB/T 7714-2015
复制
MLA
复制
APA
复制
导出至
BibTeX EndNote RefMan NoteFirst NoteExpress
×
提示
您的信息不完整,为了账户安全,请先补充。
现在去补充
×
提示
您因"违规操作"
具体请查看互助需知
我知道了
×
提示
确定
请完成安全验证×
copy
已复制链接
快去分享给好友吧!
我知道了
右上角分享
点击右上角分享
0
联系我们:info@booksci.cn Book学术提供免费学术资源搜索服务,方便国内外学者检索中英文文献。致力于提供最便捷和优质的服务体验。 Copyright © 2023 布克学术 All rights reserved.
京ICP备2023020795号-1
ghs 京公网安备 11010802042870号
Book学术文献互助
Book学术文献互助群
群 号:604180095
Book学术官方微信