膀胱偶发副神经节瘤:一个罕见的病例和泌尿科医生的噩梦。

Bladder (San Francisco, Calif.) Pub Date : 2025-06-24 eCollection Date: 2025-01-01 DOI:10.14440/bladder.2024.0064
Yassir Mehmood, Rahul Gupta, Arti Mahajan, Yaser Rahman, Kshitij Gupta
{"title":"膀胱偶发副神经节瘤:一个罕见的病例和泌尿科医生的噩梦。","authors":"Yassir Mehmood, Rahul Gupta, Arti Mahajan, Yaser Rahman, Kshitij Gupta","doi":"10.14440/bladder.2024.0064","DOIUrl":null,"url":null,"abstract":"<p><strong>Background: </strong>Pheochromocytomas originate from chromaffin cells of the adrenal medulla, resulting in excessive production of catecholamines and bizarre clinical symptoms. An extra-adrenal pheochromocytoma is called a paraganglioma. Urinary bladder paraganglioma represents an uncommon tumor that accounts for <0.05% of all bladder tumors.</p><p><strong>Case presentation: </strong>Presented here are three cases of incidental urinary bladder paraganglioma, all having hematuria as the primary symptom. During transurethral resection of bladder tumor, blood pressure fluctuated intensely with profuse bleeding, leading to the abandonment of the procedure. The patients were later diagnosed as having paraganglioma, and then, they were subjected to systemic evaluation and definitive treatment.</p><p><strong>Conclusion: </strong>Although bladder paraganglioma is a rare condition, it should be strongly suspected if a patient who has no definitive symptoms of the disease developed a sudden hemodynamic change at the very start of the procedure.</p>","PeriodicalId":72421,"journal":{"name":"Bladder (San Francisco, Calif.)","volume":"12 3","pages":"e21200052"},"PeriodicalIF":0.0000,"publicationDate":"2025-06-24","publicationTypes":"Journal Article","fieldsOfStudy":null,"isOpenAccess":false,"openAccessPdf":"https://www.ncbi.nlm.nih.gov/pmc/articles/PMC12417874/pdf/","citationCount":"0","resultStr":"{\"title\":\"Incidental paraganglioma of the urinary bladder: A case series highlighting a rare entity and a urologist's nightmare.\",\"authors\":\"Yassir Mehmood, Rahul Gupta, Arti Mahajan, Yaser Rahman, Kshitij Gupta\",\"doi\":\"10.14440/bladder.2024.0064\",\"DOIUrl\":null,\"url\":null,\"abstract\":\"<p><strong>Background: </strong>Pheochromocytomas originate from chromaffin cells of the adrenal medulla, resulting in excessive production of catecholamines and bizarre clinical symptoms. An extra-adrenal pheochromocytoma is called a paraganglioma. Urinary bladder paraganglioma represents an uncommon tumor that accounts for <0.05% of all bladder tumors.</p><p><strong>Case presentation: </strong>Presented here are three cases of incidental urinary bladder paraganglioma, all having hematuria as the primary symptom. During transurethral resection of bladder tumor, blood pressure fluctuated intensely with profuse bleeding, leading to the abandonment of the procedure. The patients were later diagnosed as having paraganglioma, and then, they were subjected to systemic evaluation and definitive treatment.</p><p><strong>Conclusion: </strong>Although bladder paraganglioma is a rare condition, it should be strongly suspected if a patient who has no definitive symptoms of the disease developed a sudden hemodynamic change at the very start of the procedure.</p>\",\"PeriodicalId\":72421,\"journal\":{\"name\":\"Bladder (San Francisco, Calif.)\",\"volume\":\"12 3\",\"pages\":\"e21200052\"},\"PeriodicalIF\":0.0000,\"publicationDate\":\"2025-06-24\",\"publicationTypes\":\"Journal Article\",\"fieldsOfStudy\":null,\"isOpenAccess\":false,\"openAccessPdf\":\"https://www.ncbi.nlm.nih.gov/pmc/articles/PMC12417874/pdf/\",\"citationCount\":\"0\",\"resultStr\":null,\"platform\":\"Semanticscholar\",\"paperid\":null,\"PeriodicalName\":\"Bladder (San Francisco, Calif.)\",\"FirstCategoryId\":\"1085\",\"ListUrlMain\":\"https://doi.org/10.14440/bladder.2024.0064\",\"RegionNum\":0,\"RegionCategory\":null,\"ArticlePicture\":[],\"TitleCN\":null,\"AbstractTextCN\":null,\"PMCID\":null,\"EPubDate\":\"2025/1/1 0:00:00\",\"PubModel\":\"eCollection\",\"JCR\":\"\",\"JCRName\":\"\",\"Score\":null,\"Total\":0}","platform":"Semanticscholar","paperid":null,"PeriodicalName":"Bladder (San Francisco, Calif.)","FirstCategoryId":"1085","ListUrlMain":"https://doi.org/10.14440/bladder.2024.0064","RegionNum":0,"RegionCategory":null,"ArticlePicture":[],"TitleCN":null,"AbstractTextCN":null,"PMCID":null,"EPubDate":"2025/1/1 0:00:00","PubModel":"eCollection","JCR":"","JCRName":"","Score":null,"Total":0}
引用次数: 0

摘要

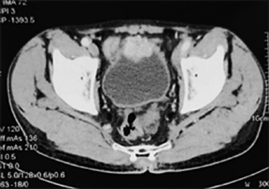
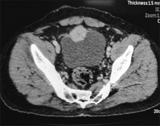
背景:嗜铬细胞瘤起源于肾上腺髓质的嗜铬细胞,导致儿茶酚胺的过量产生和奇怪的临床症状。肾上腺外嗜铬细胞瘤称为副神经节瘤。膀胱副神经节瘤是一种罕见的肿瘤,其病例表现如下:本文报告三例偶发性膀胱副神经节瘤,均以血尿为主要症状。经尿道膀胱肿瘤切除术时,患者血压波动剧烈,伴有大量出血,最终放弃手术。这些患者后来被诊断为副神经节瘤,然后,他们接受了系统的评估和最终的治疗。结论:虽然膀胱副神经节瘤是一种罕见的疾病,但如果没有明确症状的患者在手术开始时突然出现血流动力学改变,则应强烈怀疑。
本文章由计算机程序翻译,如有差异,请以英文原文为准。

Incidental paraganglioma of the urinary bladder: A case series highlighting a rare entity and a urologist's nightmare.

Incidental paraganglioma of the urinary bladder: A case series highlighting a rare entity and a urologist's nightmare.

Incidental paraganglioma of the urinary bladder: A case series highlighting a rare entity and a urologist's nightmare.

Incidental paraganglioma of the urinary bladder: A case series highlighting a rare entity and a urologist's nightmare.

Background: Pheochromocytomas originate from chromaffin cells of the adrenal medulla, resulting in excessive production of catecholamines and bizarre clinical symptoms. An extra-adrenal pheochromocytoma is called a paraganglioma. Urinary bladder paraganglioma represents an uncommon tumor that accounts for <0.05% of all bladder tumors.

Case presentation: Presented here are three cases of incidental urinary bladder paraganglioma, all having hematuria as the primary symptom. During transurethral resection of bladder tumor, blood pressure fluctuated intensely with profuse bleeding, leading to the abandonment of the procedure. The patients were later diagnosed as having paraganglioma, and then, they were subjected to systemic evaluation and definitive treatment.

Conclusion: Although bladder paraganglioma is a rare condition, it should be strongly suspected if a patient who has no definitive symptoms of the disease developed a sudden hemodynamic change at the very start of the procedure.

求助全文
通过发布文献求助,成功后即可免费获取论文全文。 去求助
来源期刊
自引率
0.00%
发文量
0
×
引用
GB/T 7714-2015
复制
MLA
复制
APA
复制
导出至
BibTeX EndNote RefMan NoteFirst NoteExpress
×
提示
您的信息不完整,为了账户安全,请先补充。
现在去补充
×
提示
您因"违规操作"
具体请查看互助需知
我知道了
×
提示
确定
请完成安全验证×
copy
已复制链接
快去分享给好友吧!
我知道了
右上角分享
点击右上角分享
0
联系我们:info@booksci.cn Book学术提供免费学术资源搜索服务,方便国内外学者检索中英文文献。致力于提供最便捷和优质的服务体验。 Copyright © 2023 布克学术 All rights reserved.
京ICP备2023020795号-1
ghs 京公网安备 11010802042870号
Book学术文献互助
Book学术文献互助群
群 号:604180095
Book学术官方微信