在单侧发育不良的髋关节患者中,未被注意到的股骨髁横平面畸形与膝关节外翻有关。

IF 2.1 2区 医学 Q2 ORTHOPEDICS
Orthopaedic Surgery Pub Date : 2025-10-01 Epub Date: 2025-09-11 DOI:10.1111/os.70094
Yijian Huang, Mingfeng Li, Cheng Wang, Fangxin Zhao, Jiafeng Yi, Wei Chai, Xiangpeng Kong
{"title":"在单侧发育不良的髋关节患者中,未被注意到的股骨髁横平面畸形与膝关节外翻有关。","authors":"Yijian Huang, Mingfeng Li, Cheng Wang, Fangxin Zhao, Jiafeng Yi, Wei Chai, Xiangpeng Kong","doi":"10.1111/os.70094","DOIUrl":null,"url":null,"abstract":"<p><strong>Objective: </strong>Patients with developmental dysplasia of the hip (DDH) are usually accompanied by knee valgus, and the previous studies mainly focused on the deformity of the knee in the coronal plane that led to knee valgus. In the transverse plane, the deformity of the femoral condyle had never been considered. This study aimed to analyze the transverse morphology of the femoral condyle in patients with unilateral DDH and explore the correlation between the morphology of the femoral condyle and lower limb alignment.</p><p><strong>Methods: </strong>Sixty-seven patients (10 male and 57 female) with unilateral DDH in our center between May 2019 and March 2024 were retrospectively analyzed. Then, the lengths of each part of the femoral condyle were collected from CT, and the ratios of anterolateral condyle to anteromedial condyle (ALC/AMC), posterolateral condyle to posteromedial condyle (PLC/PMC), lateral condyle to medial condyle (LC/MC), anterolateral condyle to posterolateral condyle (ALC/PLC) and anteromedial condyle to posteromedial condyle (AMC/PMC) were calculated. Then, the patients were grouped by Crowe classification to further analyze the morphology of the distal femur condyle. The mechanical axis deviation (MAD) of the lower limbs was evaluated. The Pearson correlation coefficient was used to explore the correlation between knee valgus and the morphology of the femur condyle.</p><p><strong>Result: </strong>Compared with the contralateral side, the ratio of ALC/PLC (p < 0.001) and the ratio of AMC/PMC (p = 0.031) in the ipsilateral side were significantly greater. Grouped by Crowe classification, the greater ratio of ALC/PLC (p < 0.001) in the ipsilateral side could be found in patients with Crowe III and IV DDH. The greater ratio of AMC/PMC (p = 0.003) was only found in patients with Crowe IV DDH. When the four Crowe type sides are compared with each other, the ratio of ALC/PLC in patients with Crowe III and IV DDH is greater than that of patients with Crowe I and II DDH (p = 0.005). The ratio of AMC/PMC in patients with Crowe IV DDH is greater than that of other Crowe type patients(p = 0.003). Besides, as the severity of DDH increases, the MAD increased, which was correlated with the ratio of the ALC/PLC (r = 0.609, p < 0.001) and the ratio of AMC/PMC (r = 0.229, p = 0.031).</p><p><strong>Conclusion: </strong>Patients with unilateral high-riding DDH could present with an increased ratio of anterolateral condyle and posterolateral condyle on the ipsilateral side, which may be associated with the occurrence of knee valgus. Level III, prognostic study.</p>","PeriodicalId":19566,"journal":{"name":"Orthopaedic Surgery","volume":" ","pages":"2835-2843"},"PeriodicalIF":2.1000,"publicationDate":"2025-10-01","publicationTypes":"Journal Article","fieldsOfStudy":null,"isOpenAccess":false,"openAccessPdf":"https://www.ncbi.nlm.nih.gov/pmc/articles/PMC12497555/pdf/","citationCount":"0","resultStr":"{\"title\":\"An Unnoticed Femoral Condyle Deformity in Transverse Plane Is Associated With Knee Valgus in Patients With Unilateral Developmental Dysplasia of the Hip.\",\"authors\":\"Yijian Huang, Mingfeng Li, Cheng Wang, Fangxin Zhao, Jiafeng Yi, Wei Chai, Xiangpeng Kong\",\"doi\":\"10.1111/os.70094\",\"DOIUrl\":null,\"url\":null,\"abstract\":\"<p><strong>Objective: </strong>Patients with developmental dysplasia of the hip (DDH) are usually accompanied by knee valgus, and the previous studies mainly focused on the deformity of the knee in the coronal plane that led to knee valgus. In the transverse plane, the deformity of the femoral condyle had never been considered. This study aimed to analyze the transverse morphology of the femoral condyle in patients with unilateral DDH and explore the correlation between the morphology of the femoral condyle and lower limb alignment.</p><p><strong>Methods: </strong>Sixty-seven patients (10 male and 57 female) with unilateral DDH in our center between May 2019 and March 2024 were retrospectively analyzed. Then, the lengths of each part of the femoral condyle were collected from CT, and the ratios of anterolateral condyle to anteromedial condyle (ALC/AMC), posterolateral condyle to posteromedial condyle (PLC/PMC), lateral condyle to medial condyle (LC/MC), anterolateral condyle to posterolateral condyle (ALC/PLC) and anteromedial condyle to posteromedial condyle (AMC/PMC) were calculated. Then, the patients were grouped by Crowe classification to further analyze the morphology of the distal femur condyle. The mechanical axis deviation (MAD) of the lower limbs was evaluated. The Pearson correlation coefficient was used to explore the correlation between knee valgus and the morphology of the femur condyle.</p><p><strong>Result: </strong>Compared with the contralateral side, the ratio of ALC/PLC (p < 0.001) and the ratio of AMC/PMC (p = 0.031) in the ipsilateral side were significantly greater. Grouped by Crowe classification, the greater ratio of ALC/PLC (p < 0.001) in the ipsilateral side could be found in patients with Crowe III and IV DDH. The greater ratio of AMC/PMC (p = 0.003) was only found in patients with Crowe IV DDH. When the four Crowe type sides are compared with each other, the ratio of ALC/PLC in patients with Crowe III and IV DDH is greater than that of patients with Crowe I and II DDH (p = 0.005). The ratio of AMC/PMC in patients with Crowe IV DDH is greater than that of other Crowe type patients(p = 0.003). Besides, as the severity of DDH increases, the MAD increased, which was correlated with the ratio of the ALC/PLC (r = 0.609, p < 0.001) and the ratio of AMC/PMC (r = 0.229, p = 0.031).</p><p><strong>Conclusion: </strong>Patients with unilateral high-riding DDH could present with an increased ratio of anterolateral condyle and posterolateral condyle on the ipsilateral side, which may be associated with the occurrence of knee valgus. Level III, prognostic study.</p>\",\"PeriodicalId\":19566,\"journal\":{\"name\":\"Orthopaedic Surgery\",\"volume\":\" \",\"pages\":\"2835-2843\"},\"PeriodicalIF\":2.1000,\"publicationDate\":\"2025-10-01\",\"publicationTypes\":\"Journal Article\",\"fieldsOfStudy\":null,\"isOpenAccess\":false,\"openAccessPdf\":\"https://www.ncbi.nlm.nih.gov/pmc/articles/PMC12497555/pdf/\",\"citationCount\":\"0\",\"resultStr\":null,\"platform\":\"Semanticscholar\",\"paperid\":null,\"PeriodicalName\":\"Orthopaedic Surgery\",\"FirstCategoryId\":\"3\",\"ListUrlMain\":\"https://doi.org/10.1111/os.70094\",\"RegionNum\":2,\"RegionCategory\":\"医学\",\"ArticlePicture\":[],\"TitleCN\":null,\"AbstractTextCN\":null,\"PMCID\":null,\"EPubDate\":\"2025/9/11 0:00:00\",\"PubModel\":\"Epub\",\"JCR\":\"Q2\",\"JCRName\":\"ORTHOPEDICS\",\"Score\":null,\"Total\":0}","platform":"Semanticscholar","paperid":null,"PeriodicalName":"Orthopaedic Surgery","FirstCategoryId":"3","ListUrlMain":"https://doi.org/10.1111/os.70094","RegionNum":2,"RegionCategory":"医学","ArticlePicture":[],"TitleCN":null,"AbstractTextCN":null,"PMCID":null,"EPubDate":"2025/9/11 0:00:00","PubModel":"Epub","JCR":"Q2","JCRName":"ORTHOPEDICS","Score":null,"Total":0}
引用次数: 0

摘要

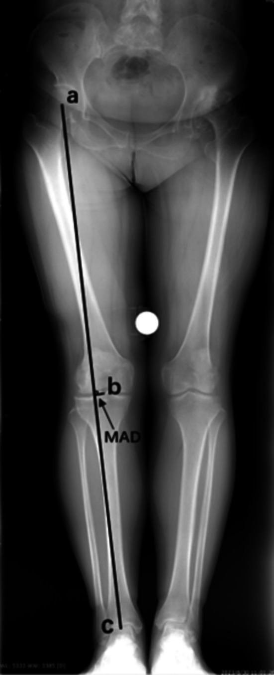
目的:髋关节发育不良(DDH)患者常伴有膝外翻,以往的研究主要集中在膝关节冠状面畸形导致膝外翻。在横切面,股骨髁畸形从未被考虑过。本研究旨在分析单侧DDH患者股骨髁的横向形态,探讨股骨髁形态与下肢对线的关系。方法:回顾性分析2019年5月至2024年3月我院收治的67例单侧DDH患者(男10例,女57例)。然后采集股骨髁各部分的CT长度,计算前外侧髁与前内侧髁之比(ALC/AMC)、后外侧髁与后内侧髁之比(PLC/PMC)、外侧髁与内侧髁之比(LC/MC)、前外侧髁与后外侧髁之比(ALC/PLC)、前内侧髁与后内侧髁之比(AMC/PMC)。然后采用Crowe分类法对患者进行分组,进一步分析股骨远端髁形态。评估下肢机械轴偏差(MAD)。采用Pearson相关系数探讨膝关节外翻与股骨髁形态的相关性。结果:与对侧比较,ALC/PLC比值(p)。结论:单侧高位DDH患者可表现为同侧前外侧髁和后外侧髁比值增高,可能与膝外翻的发生有关。III级,预后研究。
本文章由计算机程序翻译,如有差异,请以英文原文为准。

An Unnoticed Femoral Condyle Deformity in Transverse Plane Is Associated With Knee Valgus in Patients With Unilateral Developmental Dysplasia of the Hip.

An Unnoticed Femoral Condyle Deformity in Transverse Plane Is Associated With Knee Valgus in Patients With Unilateral Developmental Dysplasia of the Hip.

An Unnoticed Femoral Condyle Deformity in Transverse Plane Is Associated With Knee Valgus in Patients With Unilateral Developmental Dysplasia of the Hip.

An Unnoticed Femoral Condyle Deformity in Transverse Plane Is Associated With Knee Valgus in Patients With Unilateral Developmental Dysplasia of the Hip.

Objective: Patients with developmental dysplasia of the hip (DDH) are usually accompanied by knee valgus, and the previous studies mainly focused on the deformity of the knee in the coronal plane that led to knee valgus. In the transverse plane, the deformity of the femoral condyle had never been considered. This study aimed to analyze the transverse morphology of the femoral condyle in patients with unilateral DDH and explore the correlation between the morphology of the femoral condyle and lower limb alignment.

Methods: Sixty-seven patients (10 male and 57 female) with unilateral DDH in our center between May 2019 and March 2024 were retrospectively analyzed. Then, the lengths of each part of the femoral condyle were collected from CT, and the ratios of anterolateral condyle to anteromedial condyle (ALC/AMC), posterolateral condyle to posteromedial condyle (PLC/PMC), lateral condyle to medial condyle (LC/MC), anterolateral condyle to posterolateral condyle (ALC/PLC) and anteromedial condyle to posteromedial condyle (AMC/PMC) were calculated. Then, the patients were grouped by Crowe classification to further analyze the morphology of the distal femur condyle. The mechanical axis deviation (MAD) of the lower limbs was evaluated. The Pearson correlation coefficient was used to explore the correlation between knee valgus and the morphology of the femur condyle.

Result: Compared with the contralateral side, the ratio of ALC/PLC (p < 0.001) and the ratio of AMC/PMC (p = 0.031) in the ipsilateral side were significantly greater. Grouped by Crowe classification, the greater ratio of ALC/PLC (p < 0.001) in the ipsilateral side could be found in patients with Crowe III and IV DDH. The greater ratio of AMC/PMC (p = 0.003) was only found in patients with Crowe IV DDH. When the four Crowe type sides are compared with each other, the ratio of ALC/PLC in patients with Crowe III and IV DDH is greater than that of patients with Crowe I and II DDH (p = 0.005). The ratio of AMC/PMC in patients with Crowe IV DDH is greater than that of other Crowe type patients(p = 0.003). Besides, as the severity of DDH increases, the MAD increased, which was correlated with the ratio of the ALC/PLC (r = 0.609, p < 0.001) and the ratio of AMC/PMC (r = 0.229, p = 0.031).

Conclusion: Patients with unilateral high-riding DDH could present with an increased ratio of anterolateral condyle and posterolateral condyle on the ipsilateral side, which may be associated with the occurrence of knee valgus. Level III, prognostic study.

求助全文
通过发布文献求助,成功后即可免费获取论文全文。 去求助
来源期刊
Orthopaedic Surgery
Orthopaedic Surgery ORTHOPEDICS-
CiteScore
3.40
自引率
14.30%
发文量
374
审稿时长
20 weeks
期刊介绍: Orthopaedic Surgery (OS) is the official journal of the Chinese Orthopaedic Association, focusing on all aspects of orthopaedic technique and surgery. The journal publishes peer-reviewed articles in the following categories: Original Articles, Clinical Articles, Review Articles, Guidelines, Editorials, Commentaries, Surgical Techniques, Case Reports and Meeting Reports.
×
引用
GB/T 7714-2015
复制
MLA
复制
APA
复制
导出至
BibTeX EndNote RefMan NoteFirst NoteExpress
×
提示
您的信息不完整,为了账户安全,请先补充。
现在去补充
×
提示
您因"违规操作"
具体请查看互助需知
我知道了
×
提示
确定
请完成安全验证×
copy
已复制链接
快去分享给好友吧!
我知道了
右上角分享
点击右上角分享
0
联系我们:info@booksci.cn Book学术提供免费学术资源搜索服务,方便国内外学者检索中英文文献。致力于提供最便捷和优质的服务体验。 Copyright © 2023 布克学术 All rights reserved.
京ICP备2023020795号-1
ghs 京公网安备 11010802042870号
Book学术文献互助
Book学术文献互助群
群 号:604180095
Book学术官方微信