髓内钉治疗截瘫患者双侧股远端骨折1例。

Ernesto S Quinto, Brendan J Liakos, William L Pistel
{"title":"髓内钉治疗截瘫患者双侧股远端骨折1例。","authors":"Ernesto S Quinto, Brendan J Liakos, William L Pistel","doi":"10.13107/jocr.2025.v15.i09.6080","DOIUrl":null,"url":null,"abstract":"<p><strong>Introduction: </strong>Lower extremity fractures are a frequent complication in patients with chronic spinal cord injury due to significant bone mineral density loss and altered bone metabolism. While non-operative management has traditionally been favored, advances in surgical techniques have expanded treatment options, including intramedullary nailing and plate fixation. However, the optimal approach remains controversial, especially in paraplegic patients with distal femoral fractures. This case report highlights the challenges and complications associated with surgical management in this unique patient population.</p><p><strong>Case report: </strong>A 45-year-old male with T2 paraplegia presented with bilateral distal femoral shaft fractures following a motor vehicle accident. He underwent bilateral retrograde intramedullary nailing to preserve mobility and independence. Postoperatively, the patient developed a hypertrophic non-union on the right side with hardware migration, requiring revision with plate and screw fixation. Subsequently, he developed painful hardware on the right and severe heterotopic ossification on the left, significantly impacting his quality of life. Although hardware removal was recommended, the surgeries were never performed due to the patient's clinical course and eventual death from unrelated causes.</p><p><strong>Conclusion: </strong>Clinicians should be aware of the potential complications associated with intramedullary nailing and revision open reduction internal fixation in paraplegic patients who present with bilateral distal femoral shaft fractures. Treatment remains controversial and should be tailored to each patient.</p>","PeriodicalId":16647,"journal":{"name":"Journal of Orthopaedic Case Reports","volume":"15 9","pages":"229-233"},"PeriodicalIF":0.0000,"publicationDate":"2025-09-01","publicationTypes":"Journal Article","fieldsOfStudy":null,"isOpenAccess":false,"openAccessPdf":"https://www.ncbi.nlm.nih.gov/pmc/articles/PMC12422665/pdf/","citationCount":"0","resultStr":"{\"title\":\"Treatment of Bilateral Distal Femoral Shaft Fractures in a Paraplegic Patient with Intramedullary Nailing: A Case Report.\",\"authors\":\"Ernesto S Quinto, Brendan J Liakos, William L Pistel\",\"doi\":\"10.13107/jocr.2025.v15.i09.6080\",\"DOIUrl\":null,\"url\":null,\"abstract\":\"<p><strong>Introduction: </strong>Lower extremity fractures are a frequent complication in patients with chronic spinal cord injury due to significant bone mineral density loss and altered bone metabolism. While non-operative management has traditionally been favored, advances in surgical techniques have expanded treatment options, including intramedullary nailing and plate fixation. However, the optimal approach remains controversial, especially in paraplegic patients with distal femoral fractures. This case report highlights the challenges and complications associated with surgical management in this unique patient population.</p><p><strong>Case report: </strong>A 45-year-old male with T2 paraplegia presented with bilateral distal femoral shaft fractures following a motor vehicle accident. He underwent bilateral retrograde intramedullary nailing to preserve mobility and independence. Postoperatively, the patient developed a hypertrophic non-union on the right side with hardware migration, requiring revision with plate and screw fixation. Subsequently, he developed painful hardware on the right and severe heterotopic ossification on the left, significantly impacting his quality of life. Although hardware removal was recommended, the surgeries were never performed due to the patient's clinical course and eventual death from unrelated causes.</p><p><strong>Conclusion: </strong>Clinicians should be aware of the potential complications associated with intramedullary nailing and revision open reduction internal fixation in paraplegic patients who present with bilateral distal femoral shaft fractures. Treatment remains controversial and should be tailored to each patient.</p>\",\"PeriodicalId\":16647,\"journal\":{\"name\":\"Journal of Orthopaedic Case Reports\",\"volume\":\"15 9\",\"pages\":\"229-233\"},\"PeriodicalIF\":0.0000,\"publicationDate\":\"2025-09-01\",\"publicationTypes\":\"Journal Article\",\"fieldsOfStudy\":null,\"isOpenAccess\":false,\"openAccessPdf\":\"https://www.ncbi.nlm.nih.gov/pmc/articles/PMC12422665/pdf/\",\"citationCount\":\"0\",\"resultStr\":null,\"platform\":\"Semanticscholar\",\"paperid\":null,\"PeriodicalName\":\"Journal of Orthopaedic Case Reports\",\"FirstCategoryId\":\"1085\",\"ListUrlMain\":\"https://doi.org/10.13107/jocr.2025.v15.i09.6080\",\"RegionNum\":0,\"RegionCategory\":null,\"ArticlePicture\":[],\"TitleCN\":null,\"AbstractTextCN\":null,\"PMCID\":null,\"EPubDate\":\"\",\"PubModel\":\"\",\"JCR\":\"\",\"JCRName\":\"\",\"Score\":null,\"Total\":0}","platform":"Semanticscholar","paperid":null,"PeriodicalName":"Journal of Orthopaedic Case Reports","FirstCategoryId":"1085","ListUrlMain":"https://doi.org/10.13107/jocr.2025.v15.i09.6080","RegionNum":0,"RegionCategory":null,"ArticlePicture":[],"TitleCN":null,"AbstractTextCN":null,"PMCID":null,"EPubDate":"","PubModel":"","JCR":"","JCRName":"","Score":null,"Total":0}
引用次数: 0

摘要

下肢骨折是慢性脊髓损伤患者常见的并发症,主要是由于显著的骨密度丢失和骨代谢改变。虽然非手术治疗传统上受到青睐,但手术技术的进步扩大了治疗选择,包括髓内钉和钢板固定。然而,最佳入路仍有争议,特别是对股骨远端骨折的截瘫患者。本病例报告强调了在这个独特的患者群体中与手术管理相关的挑战和并发症。病例报告:一名45岁男性T2截瘫患者在机动车事故后出现双侧股骨远端骨折。患者行双侧逆行髓内钉以保持活动能力和独立性。术后,患者右侧出现肥厚性骨不连,伴有硬体移位,需要钢板和螺钉固定进行翻修。随后,他出现右侧硬体疼痛和左侧严重异位骨化,严重影响了他的生活质量。虽然建议取出硬体,但由于患者的临床病程和最终因无关原因死亡,手术从未进行过。结论:临床医生应注意伴有双侧股骨干远端骨折的截瘫患者髓内钉和翻修开放复位内固定的潜在并发症。治疗仍然存在争议,应该针对每位患者量身定制。
本文章由计算机程序翻译,如有差异,请以英文原文为准。

Treatment of Bilateral Distal Femoral Shaft Fractures in a Paraplegic Patient with Intramedullary Nailing: A Case Report.

Treatment of Bilateral Distal Femoral Shaft Fractures in a Paraplegic Patient with Intramedullary Nailing: A Case Report.

Treatment of Bilateral Distal Femoral Shaft Fractures in a Paraplegic Patient with Intramedullary Nailing: A Case Report.

Treatment of Bilateral Distal Femoral Shaft Fractures in a Paraplegic Patient with Intramedullary Nailing: A Case Report.

Introduction: Lower extremity fractures are a frequent complication in patients with chronic spinal cord injury due to significant bone mineral density loss and altered bone metabolism. While non-operative management has traditionally been favored, advances in surgical techniques have expanded treatment options, including intramedullary nailing and plate fixation. However, the optimal approach remains controversial, especially in paraplegic patients with distal femoral fractures. This case report highlights the challenges and complications associated with surgical management in this unique patient population.

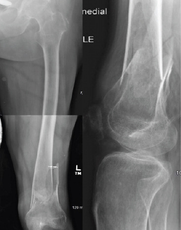
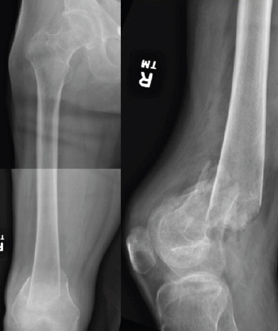
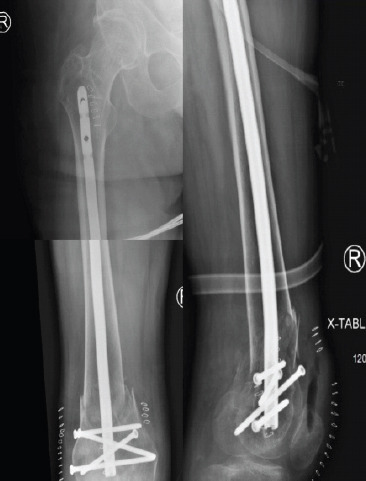
Case report: A 45-year-old male with T2 paraplegia presented with bilateral distal femoral shaft fractures following a motor vehicle accident. He underwent bilateral retrograde intramedullary nailing to preserve mobility and independence. Postoperatively, the patient developed a hypertrophic non-union on the right side with hardware migration, requiring revision with plate and screw fixation. Subsequently, he developed painful hardware on the right and severe heterotopic ossification on the left, significantly impacting his quality of life. Although hardware removal was recommended, the surgeries were never performed due to the patient's clinical course and eventual death from unrelated causes.

Conclusion: Clinicians should be aware of the potential complications associated with intramedullary nailing and revision open reduction internal fixation in paraplegic patients who present with bilateral distal femoral shaft fractures. Treatment remains controversial and should be tailored to each patient.

求助全文
通过发布文献求助,成功后即可免费获取论文全文。 去求助
来源期刊
自引率
0.00%
发文量
128
审稿时长
30 weeks
×
引用
GB/T 7714-2015
复制
MLA
复制
APA
复制
导出至
BibTeX EndNote RefMan NoteFirst NoteExpress
×
提示
您的信息不完整,为了账户安全,请先补充。
现在去补充
×
提示
您因"违规操作"
具体请查看互助需知
我知道了
×
提示
确定
请完成安全验证×
copy
已复制链接
快去分享给好友吧!
我知道了
右上角分享
点击右上角分享
0
联系我们:info@booksci.cn Book学术提供免费学术资源搜索服务,方便国内外学者检索中英文文献。致力于提供最便捷和优质的服务体验。 Copyright © 2023 布克学术 All rights reserved.
京ICP备2023020795号-1
ghs 京公网安备 11010802042870号
Book学术文献互助
Book学术文献互助群
群 号:604180095
Book学术官方微信