前交叉韧带修复后内翻性独眼病变1例。

Robin Litten, James Pate, Austin Hughes, Jordan Dunson, Chadwick Smith, Jeremy Bruce
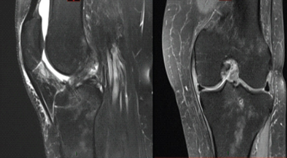
{"title":"前交叉韧带修复后内翻性独眼病变1例。","authors":"Robin Litten, James Pate, Austin Hughes, Jordan Dunson, Chadwick Smith, Jeremy Bruce","doi":"10.13107/jocr.2025.v15.i09.6050","DOIUrl":null,"url":null,"abstract":"<p><strong>Introduction: </strong>Cyclops lesions are a well-described complication following reconstruction of the anterior cruciate ligament (ACL). These lesions are fibrous nodules that most commonly form anterolateral to the tibial tunnel and impede terminal knee extension. Inverted or femoral-sided cyclops lesions are a rare variant that have been described after ACL reconstruction, but not after repair. This is the first case in the literature to demonstrate an inverted cyclops lesion following ACL repair.</p><p><strong>Case report: </strong>The authors present a case of a 60-year-old Caucasian female who developed a femoral-sided cyclops lesion after ACL repair. After initially achieving full range of motion (ROM) post-surgery, the patient later experienced a palpable clunk and extension loss 3-months postoperatively. While magnetic resonance imaging (MRI) was unremarkable, subsequent arthroscopy confirmed the diagnosis, leading to successful lesion excision and notchplasty.</p><p><strong>Conclusion: </strong>A high index of suspicion for cyclops lesions is critical in patients presenting with a clunk with terminal extension after ACL repair, even in the absence of MRI evidence. Prompt recognition and intervention are crucial, as demonstrated by the removal of the lesion and notchplasty, which led to full recovery of symptoms and ROM of the knee. The authors aim to broaden the limited existing knowledge of inverted cyclops lesions by presenting a detailed case report of a patient after an ACL repair.</p>","PeriodicalId":16647,"journal":{"name":"Journal of Orthopaedic Case Reports","volume":"15 9","pages":"154-158"},"PeriodicalIF":0.0000,"publicationDate":"2025-09-01","publicationTypes":"Journal Article","fieldsOfStudy":null,"isOpenAccess":false,"openAccessPdf":"https://www.ncbi.nlm.nih.gov/pmc/articles/PMC12422662/pdf/","citationCount":"0","resultStr":"{\"title\":\"Inverted Cyclops Lesion Following Anterior Cruciate Ligament Repair: A Case Report.\",\"authors\":\"Robin Litten, James Pate, Austin Hughes, Jordan Dunson, Chadwick Smith, Jeremy Bruce\",\"doi\":\"10.13107/jocr.2025.v15.i09.6050\",\"DOIUrl\":null,\"url\":null,\"abstract\":\"<p><strong>Introduction: </strong>Cyclops lesions are a well-described complication following reconstruction of the anterior cruciate ligament (ACL). These lesions are fibrous nodules that most commonly form anterolateral to the tibial tunnel and impede terminal knee extension. Inverted or femoral-sided cyclops lesions are a rare variant that have been described after ACL reconstruction, but not after repair. This is the first case in the literature to demonstrate an inverted cyclops lesion following ACL repair.</p><p><strong>Case report: </strong>The authors present a case of a 60-year-old Caucasian female who developed a femoral-sided cyclops lesion after ACL repair. After initially achieving full range of motion (ROM) post-surgery, the patient later experienced a palpable clunk and extension loss 3-months postoperatively. While magnetic resonance imaging (MRI) was unremarkable, subsequent arthroscopy confirmed the diagnosis, leading to successful lesion excision and notchplasty.</p><p><strong>Conclusion: </strong>A high index of suspicion for cyclops lesions is critical in patients presenting with a clunk with terminal extension after ACL repair, even in the absence of MRI evidence. Prompt recognition and intervention are crucial, as demonstrated by the removal of the lesion and notchplasty, which led to full recovery of symptoms and ROM of the knee. The authors aim to broaden the limited existing knowledge of inverted cyclops lesions by presenting a detailed case report of a patient after an ACL repair.</p>\",\"PeriodicalId\":16647,\"journal\":{\"name\":\"Journal of Orthopaedic Case Reports\",\"volume\":\"15 9\",\"pages\":\"154-158\"},\"PeriodicalIF\":0.0000,\"publicationDate\":\"2025-09-01\",\"publicationTypes\":\"Journal Article\",\"fieldsOfStudy\":null,\"isOpenAccess\":false,\"openAccessPdf\":\"https://www.ncbi.nlm.nih.gov/pmc/articles/PMC12422662/pdf/\",\"citationCount\":\"0\",\"resultStr\":null,\"platform\":\"Semanticscholar\",\"paperid\":null,\"PeriodicalName\":\"Journal of Orthopaedic Case Reports\",\"FirstCategoryId\":\"1085\",\"ListUrlMain\":\"https://doi.org/10.13107/jocr.2025.v15.i09.6050\",\"RegionNum\":0,\"RegionCategory\":null,\"ArticlePicture\":[],\"TitleCN\":null,\"AbstractTextCN\":null,\"PMCID\":null,\"EPubDate\":\"\",\"PubModel\":\"\",\"JCR\":\"\",\"JCRName\":\"\",\"Score\":null,\"Total\":0}","platform":"Semanticscholar","paperid":null,"PeriodicalName":"Journal of Orthopaedic Case Reports","FirstCategoryId":"1085","ListUrlMain":"https://doi.org/10.13107/jocr.2025.v15.i09.6050","RegionNum":0,"RegionCategory":null,"ArticlePicture":[],"TitleCN":null,"AbstractTextCN":null,"PMCID":null,"EPubDate":"","PubModel":"","JCR":"","JCRName":"","Score":null,"Total":0}
引用次数: 0

摘要

简介:独眼病变是前交叉韧带(ACL)重建后常见的并发症。这些病变为纤维结节,最常见于胫骨隧道前外侧,阻碍膝关节末段伸展。内翻或股侧独眼病变是一种罕见的变种,在ACL重建后被描述,但在修复后没有。这是文献中第一例在前交叉韧带修复后出现倒睫状体病变的病例。病例报告:作者提出了一个60岁的白人女性谁发展了股骨侧单眼病变后,ACL修复。在术后最初实现全活动范围(ROM)后,患者在术后3个月后出现明显的磕磕碰碰和伸展丧失。虽然磁共振成像(MRI)表现不明显,但随后的关节镜检查证实了诊断,导致病变切除和切口成形术成功。结论:即使在没有MRI证据的情况下,在ACL修复后出现末端延伸的结块的患者中,对独眼病变的高度怀疑是至关重要的。及时识别和干预是至关重要的,正如病变切除和切口成形术所证明的那样,这导致了膝关节症状和活动度的完全恢复。作者的目的是扩大有限的现有知识的倒独眼病变提出了一个详细的病例报告的病人后,ACL修复。
本文章由计算机程序翻译,如有差异,请以英文原文为准。

Inverted Cyclops Lesion Following Anterior Cruciate Ligament Repair: A Case Report.

Inverted Cyclops Lesion Following Anterior Cruciate Ligament Repair: A Case Report.

Inverted Cyclops Lesion Following Anterior Cruciate Ligament Repair: A Case Report.

Inverted Cyclops Lesion Following Anterior Cruciate Ligament Repair: A Case Report.

Introduction: Cyclops lesions are a well-described complication following reconstruction of the anterior cruciate ligament (ACL). These lesions are fibrous nodules that most commonly form anterolateral to the tibial tunnel and impede terminal knee extension. Inverted or femoral-sided cyclops lesions are a rare variant that have been described after ACL reconstruction, but not after repair. This is the first case in the literature to demonstrate an inverted cyclops lesion following ACL repair.

Case report: The authors present a case of a 60-year-old Caucasian female who developed a femoral-sided cyclops lesion after ACL repair. After initially achieving full range of motion (ROM) post-surgery, the patient later experienced a palpable clunk and extension loss 3-months postoperatively. While magnetic resonance imaging (MRI) was unremarkable, subsequent arthroscopy confirmed the diagnosis, leading to successful lesion excision and notchplasty.

Conclusion: A high index of suspicion for cyclops lesions is critical in patients presenting with a clunk with terminal extension after ACL repair, even in the absence of MRI evidence. Prompt recognition and intervention are crucial, as demonstrated by the removal of the lesion and notchplasty, which led to full recovery of symptoms and ROM of the knee. The authors aim to broaden the limited existing knowledge of inverted cyclops lesions by presenting a detailed case report of a patient after an ACL repair.

求助全文
通过发布文献求助,成功后即可免费获取论文全文。 去求助
来源期刊
自引率
0.00%
发文量
128
审稿时长
30 weeks
×
引用
GB/T 7714-2015
复制
MLA
复制
APA
复制
导出至
BibTeX EndNote RefMan NoteFirst NoteExpress
×
提示
您的信息不完整,为了账户安全,请先补充。
现在去补充
×
提示
您因"违规操作"
具体请查看互助需知
我知道了
×
提示
确定
请完成安全验证×
copy
已复制链接
快去分享给好友吧!
我知道了
右上角分享
点击右上角分享
0
联系我们:info@booksci.cn Book学术提供免费学术资源搜索服务,方便国内外学者检索中英文文献。致力于提供最便捷和优质的服务体验。 Copyright © 2023 布克学术 All rights reserved.
京ICP备2023020795号-1
ghs 京公网安备 11010802042870号
Book学术文献互助
Book学术文献互助群
群 号:604180095
Book学术官方微信