以急性腕管综合征为表现的多发外伤患者被忽视的孤立月骨脱位1例并文献复习。

Warid Altaf, Amit Chaudhari, Parag Sancheti
{"title":"以急性腕管综合征为表现的多发外伤患者被忽视的孤立月骨脱位1例并文献复习。","authors":"Warid Altaf, Amit Chaudhari, Parag Sancheti","doi":"10.13107/jocr.2025.v15.i09.6052","DOIUrl":null,"url":null,"abstract":"<p><strong>Introduction: </strong>Lunate dislocations are uncommon high-energy wrist injuries often missed during initial evaluation in polytrauma settings.</p><p><strong>Case report: </strong>We present a case of a 40-year-old polytrauma patient who sustained multiple injuries following a road traffic accident. His acute injuries were predominantly treated, while a neglected isolated lunate dislocation remained undiagnosed. Three weeks later, the patient presented with acute carpal tunnel symptoms - severe wrist pain, numbness, and weakness in the distribution of the median nerve.Physical examination demonstrated tenderness over the volar wrist, reduced range of motion, and a positively elicited Phalen's and Tinel's sign. Radiographs and nerve conduction studies confirmed a neglected volar lunate dislocation causing compression of the carpal tunnel. Surgical intervention was performed through a combined dorsal and volar approach. Open reduction and internal fixation were followed by decompressive carpal tunnel release.Postoperatively, the patient recovered well, with resolution of symptoms and return of nearly normal wrist motion and grip strength at 1-year follow-up.</p><p><strong>Conclusion: </strong>This case underscores the importance of evaluating peripheral joints in polytrauma and shows that even delayed lunate dislocations presenting with carpal tunnel syndrome can be successfully treated using a dual approach without any salvage procedure up to 3 months.</p>","PeriodicalId":16647,"journal":{"name":"Journal of Orthopaedic Case Reports","volume":"15 9","pages":"159-163"},"PeriodicalIF":0.0000,"publicationDate":"2025-09-01","publicationTypes":"Journal Article","fieldsOfStudy":null,"isOpenAccess":false,"openAccessPdf":"https://www.ncbi.nlm.nih.gov/pmc/articles/PMC12422677/pdf/","citationCount":"0","resultStr":"{\"title\":\"Neglected Isolated Lunate Dislocation in a Polytrauma Patient Presenting as Acute Carpal Tunnel Syndrome - A Case Report with Review of Literature.\",\"authors\":\"Warid Altaf, Amit Chaudhari, Parag Sancheti\",\"doi\":\"10.13107/jocr.2025.v15.i09.6052\",\"DOIUrl\":null,\"url\":null,\"abstract\":\"<p><strong>Introduction: </strong>Lunate dislocations are uncommon high-energy wrist injuries often missed during initial evaluation in polytrauma settings.</p><p><strong>Case report: </strong>We present a case of a 40-year-old polytrauma patient who sustained multiple injuries following a road traffic accident. His acute injuries were predominantly treated, while a neglected isolated lunate dislocation remained undiagnosed. Three weeks later, the patient presented with acute carpal tunnel symptoms - severe wrist pain, numbness, and weakness in the distribution of the median nerve.Physical examination demonstrated tenderness over the volar wrist, reduced range of motion, and a positively elicited Phalen's and Tinel's sign. Radiographs and nerve conduction studies confirmed a neglected volar lunate dislocation causing compression of the carpal tunnel. Surgical intervention was performed through a combined dorsal and volar approach. Open reduction and internal fixation were followed by decompressive carpal tunnel release.Postoperatively, the patient recovered well, with resolution of symptoms and return of nearly normal wrist motion and grip strength at 1-year follow-up.</p><p><strong>Conclusion: </strong>This case underscores the importance of evaluating peripheral joints in polytrauma and shows that even delayed lunate dislocations presenting with carpal tunnel syndrome can be successfully treated using a dual approach without any salvage procedure up to 3 months.</p>\",\"PeriodicalId\":16647,\"journal\":{\"name\":\"Journal of Orthopaedic Case Reports\",\"volume\":\"15 9\",\"pages\":\"159-163\"},\"PeriodicalIF\":0.0000,\"publicationDate\":\"2025-09-01\",\"publicationTypes\":\"Journal Article\",\"fieldsOfStudy\":null,\"isOpenAccess\":false,\"openAccessPdf\":\"https://www.ncbi.nlm.nih.gov/pmc/articles/PMC12422677/pdf/\",\"citationCount\":\"0\",\"resultStr\":null,\"platform\":\"Semanticscholar\",\"paperid\":null,\"PeriodicalName\":\"Journal of Orthopaedic Case Reports\",\"FirstCategoryId\":\"1085\",\"ListUrlMain\":\"https://doi.org/10.13107/jocr.2025.v15.i09.6052\",\"RegionNum\":0,\"RegionCategory\":null,\"ArticlePicture\":[],\"TitleCN\":null,\"AbstractTextCN\":null,\"PMCID\":null,\"EPubDate\":\"\",\"PubModel\":\"\",\"JCR\":\"\",\"JCRName\":\"\",\"Score\":null,\"Total\":0}","platform":"Semanticscholar","paperid":null,"PeriodicalName":"Journal of Orthopaedic Case Reports","FirstCategoryId":"1085","ListUrlMain":"https://doi.org/10.13107/jocr.2025.v15.i09.6052","RegionNum":0,"RegionCategory":null,"ArticlePicture":[],"TitleCN":null,"AbstractTextCN":null,"PMCID":null,"EPubDate":"","PubModel":"","JCR":"","JCRName":"","Score":null,"Total":0}
引用次数: 0

摘要

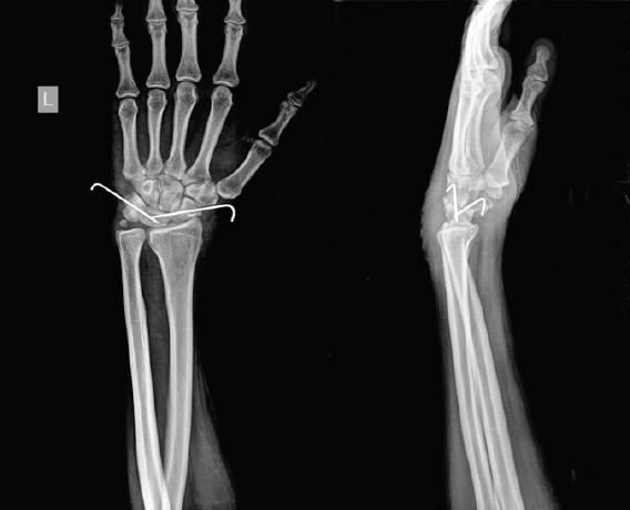
简介:月骨脱位是一种罕见的高能量手腕损伤,在多发外伤的初始评估中经常被遗漏。病例报告:我们提出了一个病例,40岁的多发创伤患者谁持续多伤后,道路交通事故。他的急性损伤主要得到治疗,而被忽视的孤立月骨脱位仍未确诊。三周后,患者出现急性腕管症状——严重的手腕疼痛、麻木和正中神经分布无力。体格检查显示掌侧腕关节有压痛,活动范围缩小,有明显的Phalen's和Tinel's征。x线片和神经传导研究证实了一个被忽视的掌侧月骨脱位引起的腕管压迫。手术通过背侧和掌侧联合入路进行。切开复位内固定后进行减压腕管松解。术后患者恢复良好,1年随访时症状缓解,腕关节活动和握力恢复接近正常。结论:本病例强调了评估多发外伤患者外周关节的重要性,并表明即使以腕管综合征为表现的迟发性月骨脱位也可以通过双入路成功治疗,无需任何抢救手术长达3个月。
本文章由计算机程序翻译,如有差异,请以英文原文为准。

Neglected Isolated Lunate Dislocation in a Polytrauma Patient Presenting as Acute Carpal Tunnel Syndrome - A Case Report with Review of Literature.

Neglected Isolated Lunate Dislocation in a Polytrauma Patient Presenting as Acute Carpal Tunnel Syndrome - A Case Report with Review of Literature.

Neglected Isolated Lunate Dislocation in a Polytrauma Patient Presenting as Acute Carpal Tunnel Syndrome - A Case Report with Review of Literature.

Neglected Isolated Lunate Dislocation in a Polytrauma Patient Presenting as Acute Carpal Tunnel Syndrome - A Case Report with Review of Literature.

Introduction: Lunate dislocations are uncommon high-energy wrist injuries often missed during initial evaluation in polytrauma settings.

Case report: We present a case of a 40-year-old polytrauma patient who sustained multiple injuries following a road traffic accident. His acute injuries were predominantly treated, while a neglected isolated lunate dislocation remained undiagnosed. Three weeks later, the patient presented with acute carpal tunnel symptoms - severe wrist pain, numbness, and weakness in the distribution of the median nerve.Physical examination demonstrated tenderness over the volar wrist, reduced range of motion, and a positively elicited Phalen's and Tinel's sign. Radiographs and nerve conduction studies confirmed a neglected volar lunate dislocation causing compression of the carpal tunnel. Surgical intervention was performed through a combined dorsal and volar approach. Open reduction and internal fixation were followed by decompressive carpal tunnel release.Postoperatively, the patient recovered well, with resolution of symptoms and return of nearly normal wrist motion and grip strength at 1-year follow-up.

Conclusion: This case underscores the importance of evaluating peripheral joints in polytrauma and shows that even delayed lunate dislocations presenting with carpal tunnel syndrome can be successfully treated using a dual approach without any salvage procedure up to 3 months.

求助全文
通过发布文献求助,成功后即可免费获取论文全文。 去求助
来源期刊
自引率
0.00%
发文量
128
审稿时长
30 weeks
×
引用
GB/T 7714-2015
复制
MLA
复制
APA
复制
导出至
BibTeX EndNote RefMan NoteFirst NoteExpress
×
提示
您的信息不完整,为了账户安全,请先补充。
现在去补充
×
提示
您因"违规操作"
具体请查看互助需知
我知道了
×
提示
确定
请完成安全验证×
copy
已复制链接
快去分享给好友吧!
我知道了
右上角分享
点击右上角分享
0
联系我们:info@booksci.cn Book学术提供免费学术资源搜索服务,方便国内外学者检索中英文文献。致力于提供最便捷和优质的服务体验。 Copyright © 2023 布克学术 All rights reserved.
京ICP备2023020795号-1
ghs 京公网安备 11010802042870号
Book学术文献互助
Book学术文献互助群
群 号:604180095
Book学术官方微信