伴有关节联合断裂和距骨后半脱位的III级开放、不稳定三踝骨折单期混合固定治疗。

Or Jeff Walter Rajadurai, C S Likhit, Shailesh Kumar, K Purushothaman, D Sudharsan, Naveen Kumar Duraisamy
{"title":"伴有关节联合断裂和距骨后半脱位的III级开放、不稳定三踝骨折单期混合固定治疗。","authors":"Or Jeff Walter Rajadurai, C S Likhit, Shailesh Kumar, K Purushothaman, D Sudharsan, Naveen Kumar Duraisamy","doi":"10.13107/jocr.2025.v15.i09.6030","DOIUrl":null,"url":null,"abstract":"<p><strong>Introduction: </strong>Trimalleolar ankle fractures, which involve syndesmotic damage and talar subluxation, are serious injuries that are complicated by open wounds. This article describes a novel single-stage hybrid fixation strategy designed to address these issues.</p><p><strong>Case report: </strong>A 65-year-old female was involved in a car accident and suffered a Grade IIIA open trimalleolar fracture-dislocation. Radiographs confirmed the syndesmotic disruption and posterior talar subluxation. She underwent emergency surgery that included open reduction and internal fixation of the medial and lateral malleoli, as well as the use of an ankle-spanning external fixator. Her surgical recovery went smoothly, with fast union and functional mobility restored.</p><p><strong>Conclusion: </strong>This case shows that single-stage hybrid fixation can be a stable and successful approach for treating severe open ankle fractures with various anatomical disturbances.</p>","PeriodicalId":16647,"journal":{"name":"Journal of Orthopaedic Case Reports","volume":"15 9","pages":"101-105"},"PeriodicalIF":0.0000,"publicationDate":"2025-09-01","publicationTypes":"Journal Article","fieldsOfStudy":null,"isOpenAccess":false,"openAccessPdf":"https://www.ncbi.nlm.nih.gov/pmc/articles/PMC12422658/pdf/","citationCount":"0","resultStr":"{\"title\":\"Single-Stage Hybrid Fixation of a Grade III Open, Unstable Trimalleolar Ankle Fracture with Syndesmotic Disruption and Posterior Talar Subluxation.\",\"authors\":\"Or Jeff Walter Rajadurai, C S Likhit, Shailesh Kumar, K Purushothaman, D Sudharsan, Naveen Kumar Duraisamy\",\"doi\":\"10.13107/jocr.2025.v15.i09.6030\",\"DOIUrl\":null,\"url\":null,\"abstract\":\"<p><strong>Introduction: </strong>Trimalleolar ankle fractures, which involve syndesmotic damage and talar subluxation, are serious injuries that are complicated by open wounds. This article describes a novel single-stage hybrid fixation strategy designed to address these issues.</p><p><strong>Case report: </strong>A 65-year-old female was involved in a car accident and suffered a Grade IIIA open trimalleolar fracture-dislocation. Radiographs confirmed the syndesmotic disruption and posterior talar subluxation. She underwent emergency surgery that included open reduction and internal fixation of the medial and lateral malleoli, as well as the use of an ankle-spanning external fixator. Her surgical recovery went smoothly, with fast union and functional mobility restored.</p><p><strong>Conclusion: </strong>This case shows that single-stage hybrid fixation can be a stable and successful approach for treating severe open ankle fractures with various anatomical disturbances.</p>\",\"PeriodicalId\":16647,\"journal\":{\"name\":\"Journal of Orthopaedic Case Reports\",\"volume\":\"15 9\",\"pages\":\"101-105\"},\"PeriodicalIF\":0.0000,\"publicationDate\":\"2025-09-01\",\"publicationTypes\":\"Journal Article\",\"fieldsOfStudy\":null,\"isOpenAccess\":false,\"openAccessPdf\":\"https://www.ncbi.nlm.nih.gov/pmc/articles/PMC12422658/pdf/\",\"citationCount\":\"0\",\"resultStr\":null,\"platform\":\"Semanticscholar\",\"paperid\":null,\"PeriodicalName\":\"Journal of Orthopaedic Case Reports\",\"FirstCategoryId\":\"1085\",\"ListUrlMain\":\"https://doi.org/10.13107/jocr.2025.v15.i09.6030\",\"RegionNum\":0,\"RegionCategory\":null,\"ArticlePicture\":[],\"TitleCN\":null,\"AbstractTextCN\":null,\"PMCID\":null,\"EPubDate\":\"\",\"PubModel\":\"\",\"JCR\":\"\",\"JCRName\":\"\",\"Score\":null,\"Total\":0}","platform":"Semanticscholar","paperid":null,"PeriodicalName":"Journal of Orthopaedic Case Reports","FirstCategoryId":"1085","ListUrlMain":"https://doi.org/10.13107/jocr.2025.v15.i09.6030","RegionNum":0,"RegionCategory":null,"ArticlePicture":[],"TitleCN":null,"AbstractTextCN":null,"PMCID":null,"EPubDate":"","PubModel":"","JCR":"","JCRName":"","Score":null,"Total":0}
引用次数: 0

摘要

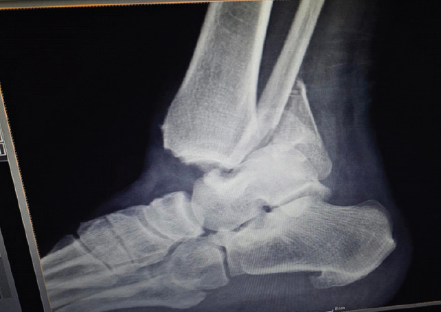
三踝踝关节骨折,包括韧带联合损伤和距骨半脱位,是一种伴有开放性伤口的严重损伤。本文介绍了一种新的单阶段混合固定策略,旨在解决这些问题。病例报告:一名65岁女性因车祸致IIIA级开放性三踝骨折脱位。x线片证实骨联合断裂和距骨后半脱位。她接受了紧急手术,包括切开复位内固定内踝和外踝,以及使用跨踝外固定架。手术恢复顺利,愈合迅速,功能活动恢复。结论:该病例表明单段混合内固定是治疗伴有各种解剖紊乱的严重开放性踝关节骨折的稳定和成功的方法。
本文章由计算机程序翻译,如有差异,请以英文原文为准。

Single-Stage Hybrid Fixation of a Grade III Open, Unstable Trimalleolar Ankle Fracture with Syndesmotic Disruption and Posterior Talar Subluxation.

Single-Stage Hybrid Fixation of a Grade III Open, Unstable Trimalleolar Ankle Fracture with Syndesmotic Disruption and Posterior Talar Subluxation.

Single-Stage Hybrid Fixation of a Grade III Open, Unstable Trimalleolar Ankle Fracture with Syndesmotic Disruption and Posterior Talar Subluxation.

Single-Stage Hybrid Fixation of a Grade III Open, Unstable Trimalleolar Ankle Fracture with Syndesmotic Disruption and Posterior Talar Subluxation.

Introduction: Trimalleolar ankle fractures, which involve syndesmotic damage and talar subluxation, are serious injuries that are complicated by open wounds. This article describes a novel single-stage hybrid fixation strategy designed to address these issues.

Case report: A 65-year-old female was involved in a car accident and suffered a Grade IIIA open trimalleolar fracture-dislocation. Radiographs confirmed the syndesmotic disruption and posterior talar subluxation. She underwent emergency surgery that included open reduction and internal fixation of the medial and lateral malleoli, as well as the use of an ankle-spanning external fixator. Her surgical recovery went smoothly, with fast union and functional mobility restored.

Conclusion: This case shows that single-stage hybrid fixation can be a stable and successful approach for treating severe open ankle fractures with various anatomical disturbances.

求助全文
通过发布文献求助,成功后即可免费获取论文全文。 去求助
来源期刊
自引率
0.00%
发文量
128
审稿时长
30 weeks
×
引用
GB/T 7714-2015
复制
MLA
复制
APA
复制
导出至
BibTeX EndNote RefMan NoteFirst NoteExpress
×
提示
您的信息不完整,为了账户安全,请先补充。
现在去补充
×
提示
您因"违规操作"
具体请查看互助需知
我知道了
×
提示
确定
请完成安全验证×
copy
已复制链接
快去分享给好友吧!
我知道了
右上角分享
点击右上角分享
0
联系我们:info@booksci.cn Book学术提供免费学术资源搜索服务,方便国内外学者检索中英文文献。致力于提供最便捷和优质的服务体验。 Copyright © 2023 布克学术 All rights reserved.
京ICP备2023020795号-1
ghs 京公网安备 11010802042870号
Book学术文献互助
Book学术文献互助群
群 号:604180095
Book学术官方微信