胫胫骨内钉治疗老年皮隆骨折:病例报告及文献回顾。

Bassel El Sayed, Porter Young
{"title":"胫胫骨内钉治疗老年皮隆骨折:病例报告及文献回顾。","authors":"Bassel El Sayed, Porter Young","doi":"10.13107/jocr.2025.v15.i09.6046","DOIUrl":null,"url":null,"abstract":"<p><strong>Introduction: </strong>Tibial pilon fractures present a complex challenge, particularly in geriatric patients with comorbidities and compromised soft tissue. Traditional treatment options such as open reduction and internal fixation (ORIF) and tibiotalocalcaneal (TTC) nailing have shown variable outcomes, often complicated by infection, nonunion, and malunion. Tibiotalar nailing is an alternative approach that preserves subtalar joint motion while providing stable fixation, though, there is limited literature on its efficacy in geriatric pilon fractures. This report describes a case of a 64-year-old female with multiple comorbidities presenting with tibial pilon fracture successfully managed with antegrade tibiotalar intramedullary nailing, highlighting the potential advantages of this technique.</p><p><strong>Case report: </strong>A 64-year-old female with a history of chronic obstructive pulmonary disease, hypertension, and a significant smoking history presented with a right tibial pilon and distal fibula fracture following a fall down the stairs. Due to her medical comorbidities and poor soft tissue envelope, she was at high risk for complications with ORIF. After discussing multiple treatment options, she elected to proceed with a tibiotalar intramedullary nail to optimize function while minimizing surgical morbidity. The procedure was performed using a suprapatellar approach, and an 8mm nail was inserted to preserve bone stock and future surgical options. Postoperatively, she progressed well, achieving full fracture healing by 9 months with minimal pain and functional independence. She declined further surgical intervention for hardware removal or ankle fusion, reporting satisfaction with her outcome.</p><p><strong>Conclusion: </strong>This case highlights the successful use of tibiotalar nailing as a viable alternative to ORIF and TTC nailing for managing geriatric pilon fractures with significant comorbidities. By preserving subtalar joint function, this approach offers potential advantages in mobility and quality of life while mitigating the risks associated with more invasive procedures. Given the limited existing literature on this technique, this report contributes to the growing body of evidence supporting its use. Further studies are warranted to compare tibiotalar nailing with conventional approaches in larger cohorts to refine its indications and optimize patient outcomes.</p>","PeriodicalId":16647,"journal":{"name":"Journal of Orthopaedic Case Reports","volume":"15 9","pages":"143-148"},"PeriodicalIF":0.0000,"publicationDate":"2025-09-01","publicationTypes":"Journal Article","fieldsOfStudy":null,"isOpenAccess":false,"openAccessPdf":"https://www.ncbi.nlm.nih.gov/pmc/articles/PMC12422690/pdf/","citationCount":"0","resultStr":"{\"title\":\"Tibiotalar Nailing for Geriatric Pilon Fractures: Case Report and Review of the Literature.\",\"authors\":\"Bassel El Sayed, Porter Young\",\"doi\":\"10.13107/jocr.2025.v15.i09.6046\",\"DOIUrl\":null,\"url\":null,\"abstract\":\"<p><strong>Introduction: </strong>Tibial pilon fractures present a complex challenge, particularly in geriatric patients with comorbidities and compromised soft tissue. Traditional treatment options such as open reduction and internal fixation (ORIF) and tibiotalocalcaneal (TTC) nailing have shown variable outcomes, often complicated by infection, nonunion, and malunion. Tibiotalar nailing is an alternative approach that preserves subtalar joint motion while providing stable fixation, though, there is limited literature on its efficacy in geriatric pilon fractures. This report describes a case of a 64-year-old female with multiple comorbidities presenting with tibial pilon fracture successfully managed with antegrade tibiotalar intramedullary nailing, highlighting the potential advantages of this technique.</p><p><strong>Case report: </strong>A 64-year-old female with a history of chronic obstructive pulmonary disease, hypertension, and a significant smoking history presented with a right tibial pilon and distal fibula fracture following a fall down the stairs. Due to her medical comorbidities and poor soft tissue envelope, she was at high risk for complications with ORIF. After discussing multiple treatment options, she elected to proceed with a tibiotalar intramedullary nail to optimize function while minimizing surgical morbidity. The procedure was performed using a suprapatellar approach, and an 8mm nail was inserted to preserve bone stock and future surgical options. Postoperatively, she progressed well, achieving full fracture healing by 9 months with minimal pain and functional independence. She declined further surgical intervention for hardware removal or ankle fusion, reporting satisfaction with her outcome.</p><p><strong>Conclusion: </strong>This case highlights the successful use of tibiotalar nailing as a viable alternative to ORIF and TTC nailing for managing geriatric pilon fractures with significant comorbidities. By preserving subtalar joint function, this approach offers potential advantages in mobility and quality of life while mitigating the risks associated with more invasive procedures. Given the limited existing literature on this technique, this report contributes to the growing body of evidence supporting its use. Further studies are warranted to compare tibiotalar nailing with conventional approaches in larger cohorts to refine its indications and optimize patient outcomes.</p>\",\"PeriodicalId\":16647,\"journal\":{\"name\":\"Journal of Orthopaedic Case Reports\",\"volume\":\"15 9\",\"pages\":\"143-148\"},\"PeriodicalIF\":0.0000,\"publicationDate\":\"2025-09-01\",\"publicationTypes\":\"Journal Article\",\"fieldsOfStudy\":null,\"isOpenAccess\":false,\"openAccessPdf\":\"https://www.ncbi.nlm.nih.gov/pmc/articles/PMC12422690/pdf/\",\"citationCount\":\"0\",\"resultStr\":null,\"platform\":\"Semanticscholar\",\"paperid\":null,\"PeriodicalName\":\"Journal of Orthopaedic Case Reports\",\"FirstCategoryId\":\"1085\",\"ListUrlMain\":\"https://doi.org/10.13107/jocr.2025.v15.i09.6046\",\"RegionNum\":0,\"RegionCategory\":null,\"ArticlePicture\":[],\"TitleCN\":null,\"AbstractTextCN\":null,\"PMCID\":null,\"EPubDate\":\"\",\"PubModel\":\"\",\"JCR\":\"\",\"JCRName\":\"\",\"Score\":null,\"Total\":0}","platform":"Semanticscholar","paperid":null,"PeriodicalName":"Journal of Orthopaedic Case Reports","FirstCategoryId":"1085","ListUrlMain":"https://doi.org/10.13107/jocr.2025.v15.i09.6046","RegionNum":0,"RegionCategory":null,"ArticlePicture":[],"TitleCN":null,"AbstractTextCN":null,"PMCID":null,"EPubDate":"","PubModel":"","JCR":"","JCRName":"","Score":null,"Total":0}
引用次数: 0

摘要

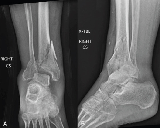
胫骨pilon骨折提出了一个复杂的挑战,特别是在老年患者的合并症和受损的软组织。传统的治疗方案,如切开复位内固定(ORIF)和胫距跟骨(TTC)内钉治疗结果不一,通常并发感染、骨不连和骨不愈合。胫距内钉是一种保留距下关节活动的替代方法,同时提供稳定的固定,然而,关于其在老年人头枕骨折中的疗效的文献有限。本报告描述了一例64岁的女性患者,她患有多种合并症,并成功地通过顺行胫骨髓内钉治疗胫骨pilon骨折,强调了该技术的潜在优势。病例报告:一名64岁女性,有慢性阻塞性肺疾病、高血压和明显的吸烟史,在从楼梯上摔下来后出现右胫骨pilon和腓骨远端骨折。由于她的医学合并症和软组织包膜不良,她在ORIF手术中出现并发症的风险很高。在讨论了多种治疗方案后,她选择了胫距髓内钉,以优化功能,同时尽量减少手术并发症。手术采用髌上入路,并插入一枚8mm的钉子以保留骨储备和未来的手术选择。术后,患者进展良好,9个月时骨折完全愈合,疼痛最小,功能独立。她拒绝了进一步的手术干预以取出硬体或踝关节融合,并对结果表示满意。结论:本病例强调了胫端钉入作为ORIF和TTC钉入的可行替代方案,用于治疗具有显著合并症的老年头枕骨折。通过保留距下关节功能,该入路在活动能力和生活质量方面具有潜在优势,同时降低了更多侵入性手术相关的风险。鉴于现有关于该技术的文献有限,本报告为支持其使用提供了越来越多的证据。进一步的研究需要在更大的队列中比较胫骨钉入与传统方法,以完善其适应症并优化患者预后。
本文章由计算机程序翻译,如有差异,请以英文原文为准。

Tibiotalar Nailing for Geriatric Pilon Fractures: Case Report and Review of the Literature.

Tibiotalar Nailing for Geriatric Pilon Fractures: Case Report and Review of the Literature.

Tibiotalar Nailing for Geriatric Pilon Fractures: Case Report and Review of the Literature.

Tibiotalar Nailing for Geriatric Pilon Fractures: Case Report and Review of the Literature.

Introduction: Tibial pilon fractures present a complex challenge, particularly in geriatric patients with comorbidities and compromised soft tissue. Traditional treatment options such as open reduction and internal fixation (ORIF) and tibiotalocalcaneal (TTC) nailing have shown variable outcomes, often complicated by infection, nonunion, and malunion. Tibiotalar nailing is an alternative approach that preserves subtalar joint motion while providing stable fixation, though, there is limited literature on its efficacy in geriatric pilon fractures. This report describes a case of a 64-year-old female with multiple comorbidities presenting with tibial pilon fracture successfully managed with antegrade tibiotalar intramedullary nailing, highlighting the potential advantages of this technique.

Case report: A 64-year-old female with a history of chronic obstructive pulmonary disease, hypertension, and a significant smoking history presented with a right tibial pilon and distal fibula fracture following a fall down the stairs. Due to her medical comorbidities and poor soft tissue envelope, she was at high risk for complications with ORIF. After discussing multiple treatment options, she elected to proceed with a tibiotalar intramedullary nail to optimize function while minimizing surgical morbidity. The procedure was performed using a suprapatellar approach, and an 8mm nail was inserted to preserve bone stock and future surgical options. Postoperatively, she progressed well, achieving full fracture healing by 9 months with minimal pain and functional independence. She declined further surgical intervention for hardware removal or ankle fusion, reporting satisfaction with her outcome.

Conclusion: This case highlights the successful use of tibiotalar nailing as a viable alternative to ORIF and TTC nailing for managing geriatric pilon fractures with significant comorbidities. By preserving subtalar joint function, this approach offers potential advantages in mobility and quality of life while mitigating the risks associated with more invasive procedures. Given the limited existing literature on this technique, this report contributes to the growing body of evidence supporting its use. Further studies are warranted to compare tibiotalar nailing with conventional approaches in larger cohorts to refine its indications and optimize patient outcomes.

求助全文
通过发布文献求助,成功后即可免费获取论文全文。 去求助
来源期刊
自引率
0.00%
发文量
128
审稿时长
30 weeks
×
引用
GB/T 7714-2015
复制
MLA
复制
APA
复制
导出至
BibTeX EndNote RefMan NoteFirst NoteExpress
×
提示
您的信息不完整,为了账户安全,请先补充。
现在去补充
×
提示
您因"违规操作"
具体请查看互助需知
我知道了
×
提示
确定
请完成安全验证×
copy
已复制链接
快去分享给好友吧!
我知道了
右上角分享
点击右上角分享
0
联系我们:info@booksci.cn Book学术提供免费学术资源搜索服务,方便国内外学者检索中英文文献。致力于提供最便捷和优质的服务体验。 Copyright © 2023 布克学术 All rights reserved.
京ICP备2023020795号-1
ghs 京公网安备 11010802042870号
Book学术文献互助
Book学术文献互助群
群 号:604180095
Book学术官方微信