肱骨小头骨折合并肱三头肌腱远端撕脱伤:罕见病例并文献回顾。

Rajdeep Das, Sharan Mallya, Ashok Puranik, Rahul Kar
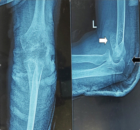
{"title":"肱骨小头骨折合并肱三头肌腱远端撕脱伤:罕见病例并文献回顾。","authors":"Rajdeep Das, Sharan Mallya, Ashok Puranik, Rahul Kar","doi":"10.13107/jocr.2025.v15.i09.6026","DOIUrl":null,"url":null,"abstract":"<p><strong>Introduction: </strong>Capitellum fractures are rare, representing only 1% of all elbow injuries. McKee Type 4 capitellum fractures encompass osteochondral shearing fractures of the capitellum, which involve a significant lateral portion of the trochlear ridge and the trochlea. These fractures may be linked with soft tissue and bone injuries surrounding the elbow, such as distal triceps tendon avulsion (DTTA) injuries. To date, only three case reports in the English literature have documented the correlation between Type 4 capitellum and trochlear fractures with DTTA injuries. Orthopedic surgeons should be vigilant for distal triceps and other posterior elbow injuries, which are often easily overlooked in the presence of prominent primary injuries at the front. The recommended method is prompt surgical intervention for these conditions; however, it is crucial to exercise careful judgment when deciding on the treatment and rehabilitation strategies for such cases.</p><p><strong>Case report: </strong>We present a distinctive case in which an entire capitellum and trochlea were fractured as a single unit in the coronal plane (mimicking McKee type 4 capitellum fractures), along with a DTTA injury in a female patient in her late 40s. This injury was treated using open reduction and internal fixation with cannulated cancellous screws, along with the repair of the DTTA injury.</p><p><strong>Conclusion: </strong>This unique report provides a comprehensive overview of the pre-operative evaluations, reduction techniques, tendon repair, and post-operative rehabilitation process for such injuries, which showed a favorable outcome. The described fracture pattern has the potential to be categorized as type 5 fractures.</p>","PeriodicalId":16647,"journal":{"name":"Journal of Orthopaedic Case Reports","volume":"15 9","pages":"88-94"},"PeriodicalIF":0.0000,"publicationDate":"2025-09-01","publicationTypes":"Journal Article","fieldsOfStudy":null,"isOpenAccess":false,"openAccessPdf":"https://www.ncbi.nlm.nih.gov/pmc/articles/PMC12422646/pdf/","citationCount":"0","resultStr":"{\"title\":\"Capitellum Fracture with Distal Triceps Tendon Avulsion Injury: A Rare Presentation with Literature Review.\",\"authors\":\"Rajdeep Das, Sharan Mallya, Ashok Puranik, Rahul Kar\",\"doi\":\"10.13107/jocr.2025.v15.i09.6026\",\"DOIUrl\":null,\"url\":null,\"abstract\":\"<p><strong>Introduction: </strong>Capitellum fractures are rare, representing only 1% of all elbow injuries. McKee Type 4 capitellum fractures encompass osteochondral shearing fractures of the capitellum, which involve a significant lateral portion of the trochlear ridge and the trochlea. These fractures may be linked with soft tissue and bone injuries surrounding the elbow, such as distal triceps tendon avulsion (DTTA) injuries. To date, only three case reports in the English literature have documented the correlation between Type 4 capitellum and trochlear fractures with DTTA injuries. Orthopedic surgeons should be vigilant for distal triceps and other posterior elbow injuries, which are often easily overlooked in the presence of prominent primary injuries at the front. The recommended method is prompt surgical intervention for these conditions; however, it is crucial to exercise careful judgment when deciding on the treatment and rehabilitation strategies for such cases.</p><p><strong>Case report: </strong>We present a distinctive case in which an entire capitellum and trochlea were fractured as a single unit in the coronal plane (mimicking McKee type 4 capitellum fractures), along with a DTTA injury in a female patient in her late 40s. This injury was treated using open reduction and internal fixation with cannulated cancellous screws, along with the repair of the DTTA injury.</p><p><strong>Conclusion: </strong>This unique report provides a comprehensive overview of the pre-operative evaluations, reduction techniques, tendon repair, and post-operative rehabilitation process for such injuries, which showed a favorable outcome. The described fracture pattern has the potential to be categorized as type 5 fractures.</p>\",\"PeriodicalId\":16647,\"journal\":{\"name\":\"Journal of Orthopaedic Case Reports\",\"volume\":\"15 9\",\"pages\":\"88-94\"},\"PeriodicalIF\":0.0000,\"publicationDate\":\"2025-09-01\",\"publicationTypes\":\"Journal Article\",\"fieldsOfStudy\":null,\"isOpenAccess\":false,\"openAccessPdf\":\"https://www.ncbi.nlm.nih.gov/pmc/articles/PMC12422646/pdf/\",\"citationCount\":\"0\",\"resultStr\":null,\"platform\":\"Semanticscholar\",\"paperid\":null,\"PeriodicalName\":\"Journal of Orthopaedic Case Reports\",\"FirstCategoryId\":\"1085\",\"ListUrlMain\":\"https://doi.org/10.13107/jocr.2025.v15.i09.6026\",\"RegionNum\":0,\"RegionCategory\":null,\"ArticlePicture\":[],\"TitleCN\":null,\"AbstractTextCN\":null,\"PMCID\":null,\"EPubDate\":\"\",\"PubModel\":\"\",\"JCR\":\"\",\"JCRName\":\"\",\"Score\":null,\"Total\":0}","platform":"Semanticscholar","paperid":null,"PeriodicalName":"Journal of Orthopaedic Case Reports","FirstCategoryId":"1085","ListUrlMain":"https://doi.org/10.13107/jocr.2025.v15.i09.6026","RegionNum":0,"RegionCategory":null,"ArticlePicture":[],"TitleCN":null,"AbstractTextCN":null,"PMCID":null,"EPubDate":"","PubModel":"","JCR":"","JCRName":"","Score":null,"Total":0}
引用次数: 0

摘要

小头骨折是罕见的,仅占所有肘部损伤的1%。McKee 4型小头骨折包括小头骨软骨剪切骨折,涉及滑车脊和滑车的重要外侧部分。这些骨折可能与肘部周围的软组织和骨损伤有关,如远端肱三头肌腱撕脱伤(DTTA)损伤。迄今为止,在英文文献中只有3例病例报道了4型肱骨小头和滑车骨折与DTTA损伤之间的关系。骨科医生应该警惕远端肱三头肌和其他肘部后侧损伤,这些损伤在前面有明显的原发损伤时很容易被忽视。对于这些情况,推荐的方法是及时手术干预;然而,在决定此类病例的治疗和康复策略时,进行谨慎的判断是至关重要的。病例报告:我们报告了一个独特的病例,整个小头和滑车在冠状面作为一个单一的单位骨折(模仿McKee型4小头骨折),并伴有DTTA损伤,患者为40多岁的女性。该损伤采用切开复位和空心松质螺钉内固定治疗,同时修复DTTA损伤。结论:这篇独特的报道提供了这类损伤的术前评估、复位技术、肌腱修复和术后康复过程的全面概述,并显示了良好的结果。所描述的骨折类型有可能被归类为5型骨折。
本文章由计算机程序翻译,如有差异,请以英文原文为准。

Capitellum Fracture with Distal Triceps Tendon Avulsion Injury: A Rare Presentation with Literature Review.

Capitellum Fracture with Distal Triceps Tendon Avulsion Injury: A Rare Presentation with Literature Review.

Capitellum Fracture with Distal Triceps Tendon Avulsion Injury: A Rare Presentation with Literature Review.

Capitellum Fracture with Distal Triceps Tendon Avulsion Injury: A Rare Presentation with Literature Review.

Introduction: Capitellum fractures are rare, representing only 1% of all elbow injuries. McKee Type 4 capitellum fractures encompass osteochondral shearing fractures of the capitellum, which involve a significant lateral portion of the trochlear ridge and the trochlea. These fractures may be linked with soft tissue and bone injuries surrounding the elbow, such as distal triceps tendon avulsion (DTTA) injuries. To date, only three case reports in the English literature have documented the correlation between Type 4 capitellum and trochlear fractures with DTTA injuries. Orthopedic surgeons should be vigilant for distal triceps and other posterior elbow injuries, which are often easily overlooked in the presence of prominent primary injuries at the front. The recommended method is prompt surgical intervention for these conditions; however, it is crucial to exercise careful judgment when deciding on the treatment and rehabilitation strategies for such cases.

Case report: We present a distinctive case in which an entire capitellum and trochlea were fractured as a single unit in the coronal plane (mimicking McKee type 4 capitellum fractures), along with a DTTA injury in a female patient in her late 40s. This injury was treated using open reduction and internal fixation with cannulated cancellous screws, along with the repair of the DTTA injury.

Conclusion: This unique report provides a comprehensive overview of the pre-operative evaluations, reduction techniques, tendon repair, and post-operative rehabilitation process for such injuries, which showed a favorable outcome. The described fracture pattern has the potential to be categorized as type 5 fractures.

求助全文
通过发布文献求助,成功后即可免费获取论文全文。 去求助
来源期刊
自引率
0.00%
发文量
128
审稿时长
30 weeks
×
引用
GB/T 7714-2015
复制
MLA
复制
APA
复制
导出至
BibTeX EndNote RefMan NoteFirst NoteExpress
×
提示
您的信息不完整,为了账户安全,请先补充。
现在去补充
×
提示
您因"违规操作"
具体请查看互助需知
我知道了
×
提示
确定
请完成安全验证×
copy
已复制链接
快去分享给好友吧!
我知道了
右上角分享
点击右上角分享
0
联系我们:info@booksci.cn Book学术提供免费学术资源搜索服务,方便国内外学者检索中英文文献。致力于提供最便捷和优质的服务体验。 Copyright © 2023 布克学术 All rights reserved.
京ICP备2023020795号-1
ghs 京公网安备 11010802042870号
Book学术文献互助
Book学术文献互助群
群 号:604180095
Book学术官方微信