先天性双侧髌骨缺失一例现役军人病例报告。

Mohammed Alshahrani, Ali Maqbool, Mubashar Maqbool
{"title":"先天性双侧髌骨缺失一例现役军人病例报告。","authors":"Mohammed Alshahrani, Ali Maqbool, Mubashar Maqbool","doi":"10.13107/jocr.2025.v15.i09.6070","DOIUrl":null,"url":null,"abstract":"<p><strong>Introduction: </strong>Congenital absence of the patella refers to a condition where an individual is born without the patella. It may be bilateral or unilateral. It is an extremely rare condition and when present, mostly occurs as part of syndromes, such as the Nail-patella syndrome, small patella syndrome, trisomy 8 mosaicism, and Meier-Gorlin syndrome.</p><p><strong>Case report: </strong>We are presenting 35-years-old free medically, active soldier referred to the orthopedic clinic from family medicine after noticing abnormal incidental findings on X-rays. On inquiring him, he doesn't recall any problem during his childhood and performing his military duties. On clinical examination of the patient, he had characteristic features of patellar absence with prominent femoral condyles and a hollow sulcus.</p><p><strong>Conclusion: </strong>Isolated congenital bilateral patellar absence I asymptomatic serving military soldier has not been described in the English literature before and is exceedingly rare.</p>","PeriodicalId":16647,"journal":{"name":"Journal of Orthopaedic Case Reports","volume":"15 9","pages":"204-207"},"PeriodicalIF":0.0000,"publicationDate":"2025-09-01","publicationTypes":"Journal Article","fieldsOfStudy":null,"isOpenAccess":false,"openAccessPdf":"https://www.ncbi.nlm.nih.gov/pmc/articles/PMC12422671/pdf/","citationCount":"0","resultStr":"{\"title\":\"Congenital Absence of Bilateral Patella in an Active Military Personnel Case Report.\",\"authors\":\"Mohammed Alshahrani, Ali Maqbool, Mubashar Maqbool\",\"doi\":\"10.13107/jocr.2025.v15.i09.6070\",\"DOIUrl\":null,\"url\":null,\"abstract\":\"<p><strong>Introduction: </strong>Congenital absence of the patella refers to a condition where an individual is born without the patella. It may be bilateral or unilateral. It is an extremely rare condition and when present, mostly occurs as part of syndromes, such as the Nail-patella syndrome, small patella syndrome, trisomy 8 mosaicism, and Meier-Gorlin syndrome.</p><p><strong>Case report: </strong>We are presenting 35-years-old free medically, active soldier referred to the orthopedic clinic from family medicine after noticing abnormal incidental findings on X-rays. On inquiring him, he doesn't recall any problem during his childhood and performing his military duties. On clinical examination of the patient, he had characteristic features of patellar absence with prominent femoral condyles and a hollow sulcus.</p><p><strong>Conclusion: </strong>Isolated congenital bilateral patellar absence I asymptomatic serving military soldier has not been described in the English literature before and is exceedingly rare.</p>\",\"PeriodicalId\":16647,\"journal\":{\"name\":\"Journal of Orthopaedic Case Reports\",\"volume\":\"15 9\",\"pages\":\"204-207\"},\"PeriodicalIF\":0.0000,\"publicationDate\":\"2025-09-01\",\"publicationTypes\":\"Journal Article\",\"fieldsOfStudy\":null,\"isOpenAccess\":false,\"openAccessPdf\":\"https://www.ncbi.nlm.nih.gov/pmc/articles/PMC12422671/pdf/\",\"citationCount\":\"0\",\"resultStr\":null,\"platform\":\"Semanticscholar\",\"paperid\":null,\"PeriodicalName\":\"Journal of Orthopaedic Case Reports\",\"FirstCategoryId\":\"1085\",\"ListUrlMain\":\"https://doi.org/10.13107/jocr.2025.v15.i09.6070\",\"RegionNum\":0,\"RegionCategory\":null,\"ArticlePicture\":[],\"TitleCN\":null,\"AbstractTextCN\":null,\"PMCID\":null,\"EPubDate\":\"\",\"PubModel\":\"\",\"JCR\":\"\",\"JCRName\":\"\",\"Score\":null,\"Total\":0}","platform":"Semanticscholar","paperid":null,"PeriodicalName":"Journal of Orthopaedic Case Reports","FirstCategoryId":"1085","ListUrlMain":"https://doi.org/10.13107/jocr.2025.v15.i09.6070","RegionNum":0,"RegionCategory":null,"ArticlePicture":[],"TitleCN":null,"AbstractTextCN":null,"PMCID":null,"EPubDate":"","PubModel":"","JCR":"","JCRName":"","Score":null,"Total":0}
引用次数: 0

摘要

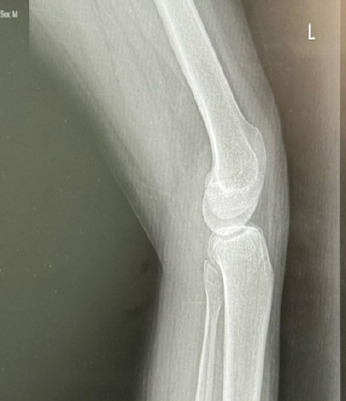
简介:先天性膝盖骨缺失是指一个人出生时没有膝盖骨的情况。可能是双侧或单侧。这是一种极其罕见的疾病,当出现时,主要是作为综合征的一部分,如指甲-髌骨综合征、小髌骨综合征、8号三体嵌合体和Meier-Gorlin综合征。病例报告:我们报告了一名35岁的自由医学现役军人,在发现x光检查异常后,从家庭医学转介到骨科诊所。记者问他,他并没有回忆起童年和服兵役时遇到的任何问题。在临床检查中,他的特点是髌骨缺失,突出的股骨髁和一个空心沟。结论:孤立性先天性双侧髌骨缺失无症状的现役军人在英文文献中未见报道,极为罕见。
本文章由计算机程序翻译,如有差异,请以英文原文为准。

Congenital Absence of Bilateral Patella in an Active Military Personnel Case Report.

Congenital Absence of Bilateral Patella in an Active Military Personnel Case Report.

Congenital Absence of Bilateral Patella in an Active Military Personnel Case Report.

Congenital Absence of Bilateral Patella in an Active Military Personnel Case Report.

Introduction: Congenital absence of the patella refers to a condition where an individual is born without the patella. It may be bilateral or unilateral. It is an extremely rare condition and when present, mostly occurs as part of syndromes, such as the Nail-patella syndrome, small patella syndrome, trisomy 8 mosaicism, and Meier-Gorlin syndrome.

Case report: We are presenting 35-years-old free medically, active soldier referred to the orthopedic clinic from family medicine after noticing abnormal incidental findings on X-rays. On inquiring him, he doesn't recall any problem during his childhood and performing his military duties. On clinical examination of the patient, he had characteristic features of patellar absence with prominent femoral condyles and a hollow sulcus.

Conclusion: Isolated congenital bilateral patellar absence I asymptomatic serving military soldier has not been described in the English literature before and is exceedingly rare.

求助全文
通过发布文献求助,成功后即可免费获取论文全文。 去求助
来源期刊
自引率
0.00%
发文量
128
审稿时长
30 weeks
×
引用
GB/T 7714-2015
复制
MLA
复制
APA
复制
导出至
BibTeX EndNote RefMan NoteFirst NoteExpress
×
提示
您的信息不完整,为了账户安全,请先补充。
现在去补充
×
提示
您因"违规操作"
具体请查看互助需知
我知道了
×
提示
确定
请完成安全验证×
copy
已复制链接
快去分享给好友吧!
我知道了
右上角分享
点击右上角分享
0
联系我们:info@booksci.cn Book学术提供免费学术资源搜索服务,方便国内外学者检索中英文文献。致力于提供最便捷和优质的服务体验。 Copyright © 2023 布克学术 All rights reserved.
京ICP备2023020795号-1
ghs 京公网安备 11010802042870号
Book学术文献互助
Book学术文献互助群
群 号:604180095
Book学术官方微信