发育性髋关节发育不良表现为双侧剥离性骨软骨炎样病变,采用三段式骨盆截骨术治疗:1例报告。

Carlos Guevara-Serra, José I Acosta Julbe, Miguel M Girod, Ariel Dávila-Parrilla
{"title":"发育性髋关节发育不良表现为双侧剥离性骨软骨炎样病变,采用三段式骨盆截骨术治疗:1例报告。","authors":"Carlos Guevara-Serra, José I Acosta Julbe, Miguel M Girod, Ariel Dávila-Parrilla","doi":"10.13107/jocr.2025.v15.i09.6000","DOIUrl":null,"url":null,"abstract":"<p><strong>Introduction: </strong>Osteochondritis dissecans (OCD) of the femoral head accounts for approximately 2% of all OCD cases. Most of the OCD lesions affecting the femoral head are secondary to pathologies concerning the femoral component of the hip joint, such as Legg-Calvé-Perthes (LCP) disease. Although there are reports of OCD secondary to hip dysplasia, to our knowledge, there is no report of bilateral OCD lesions being treated successfully with bilateral triple pelvic osteotomies (PAO) in a pediatric patient.</p><p><strong>Case report: </strong>In this report, we present the case of an 8-year-old Hispanic male who presented with bilateral hip pain unresponsive to conservative treatment and initially managed with the presumptive diagnosis of LCP disease. Due to his persistent hip pain and no improvement on follow-up X-rays and magnetic resonance imaging (MRI), the patient was referred to our hip preservation clinic for further work-up and management recommendations. MRI revealed bilateral OCD lesions of the femoral head secondary to developmental hip dysplasia. The patient underwent bilateral triple PAO for correction of the patient's bilateral hip dysplasia, which resulted in the proper resolution of the femoral head lesions on imaging and eventually resolved the patient's hip pain.</p><p><strong>Conclusion: </strong>This report aims to recognize the association between untreated developmental hip dysplasia and femoral head Perthes-like lesions in the pediatric population. Orthopedic surgeons must consider developmental hip dysplasia when determining the etiology of Perthes-like lesions in pediatric patients.</p>","PeriodicalId":16647,"journal":{"name":"Journal of Orthopaedic Case Reports","volume":"15 9","pages":"22-26"},"PeriodicalIF":0.0000,"publicationDate":"2025-09-01","publicationTypes":"Journal Article","fieldsOfStudy":null,"isOpenAccess":false,"openAccessPdf":"https://www.ncbi.nlm.nih.gov/pmc/articles/PMC12422698/pdf/","citationCount":"0","resultStr":"{\"title\":\"Developmental Hip Dysplasia Presenting as Bilateral Osteochondritis Dissecans Perthes-like Lesions Treated with Triple Pelvic Osteotomies: A Case Report.\",\"authors\":\"Carlos Guevara-Serra, José I Acosta Julbe, Miguel M Girod, Ariel Dávila-Parrilla\",\"doi\":\"10.13107/jocr.2025.v15.i09.6000\",\"DOIUrl\":null,\"url\":null,\"abstract\":\"<p><strong>Introduction: </strong>Osteochondritis dissecans (OCD) of the femoral head accounts for approximately 2% of all OCD cases. Most of the OCD lesions affecting the femoral head are secondary to pathologies concerning the femoral component of the hip joint, such as Legg-Calvé-Perthes (LCP) disease. Although there are reports of OCD secondary to hip dysplasia, to our knowledge, there is no report of bilateral OCD lesions being treated successfully with bilateral triple pelvic osteotomies (PAO) in a pediatric patient.</p><p><strong>Case report: </strong>In this report, we present the case of an 8-year-old Hispanic male who presented with bilateral hip pain unresponsive to conservative treatment and initially managed with the presumptive diagnosis of LCP disease. Due to his persistent hip pain and no improvement on follow-up X-rays and magnetic resonance imaging (MRI), the patient was referred to our hip preservation clinic for further work-up and management recommendations. MRI revealed bilateral OCD lesions of the femoral head secondary to developmental hip dysplasia. The patient underwent bilateral triple PAO for correction of the patient's bilateral hip dysplasia, which resulted in the proper resolution of the femoral head lesions on imaging and eventually resolved the patient's hip pain.</p><p><strong>Conclusion: </strong>This report aims to recognize the association between untreated developmental hip dysplasia and femoral head Perthes-like lesions in the pediatric population. Orthopedic surgeons must consider developmental hip dysplasia when determining the etiology of Perthes-like lesions in pediatric patients.</p>\",\"PeriodicalId\":16647,\"journal\":{\"name\":\"Journal of Orthopaedic Case Reports\",\"volume\":\"15 9\",\"pages\":\"22-26\"},\"PeriodicalIF\":0.0000,\"publicationDate\":\"2025-09-01\",\"publicationTypes\":\"Journal Article\",\"fieldsOfStudy\":null,\"isOpenAccess\":false,\"openAccessPdf\":\"https://www.ncbi.nlm.nih.gov/pmc/articles/PMC12422698/pdf/\",\"citationCount\":\"0\",\"resultStr\":null,\"platform\":\"Semanticscholar\",\"paperid\":null,\"PeriodicalName\":\"Journal of Orthopaedic Case Reports\",\"FirstCategoryId\":\"1085\",\"ListUrlMain\":\"https://doi.org/10.13107/jocr.2025.v15.i09.6000\",\"RegionNum\":0,\"RegionCategory\":null,\"ArticlePicture\":[],\"TitleCN\":null,\"AbstractTextCN\":null,\"PMCID\":null,\"EPubDate\":\"\",\"PubModel\":\"\",\"JCR\":\"\",\"JCRName\":\"\",\"Score\":null,\"Total\":0}","platform":"Semanticscholar","paperid":null,"PeriodicalName":"Journal of Orthopaedic Case Reports","FirstCategoryId":"1085","ListUrlMain":"https://doi.org/10.13107/jocr.2025.v15.i09.6000","RegionNum":0,"RegionCategory":null,"ArticlePicture":[],"TitleCN":null,"AbstractTextCN":null,"PMCID":null,"EPubDate":"","PubModel":"","JCR":"","JCRName":"","Score":null,"Total":0}
引用次数: 0

摘要

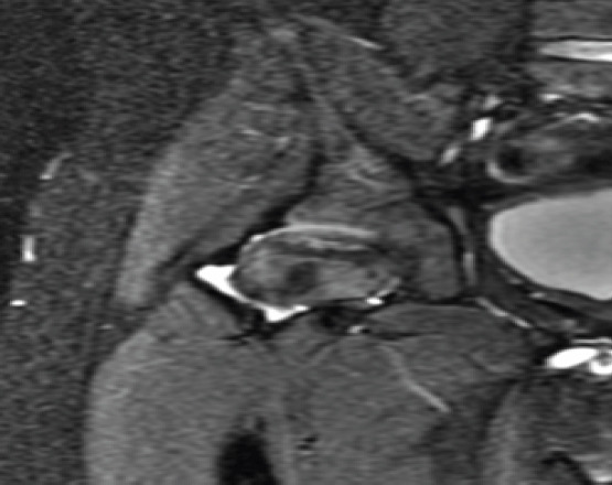
简介:股骨头夹层性骨软骨炎(OCD)约占所有OCD病例的2%。大多数影响股骨头的强迫症病变是继发于髋关节股骨部分的病变,如legg - calv - perthes (LCP)病。尽管有报道称强迫症继发于髋关节发育不良,但据我们所知,尚无双侧三盆腔截骨术(PAO)成功治疗双侧强迫症的儿科患者。病例报告:在本报告中,我们报告了一例8岁的西班牙裔男性,他表现为双侧髋关节疼痛,对保守治疗无反应,最初诊断为LCP疾病。由于患者髋部持续疼痛且随访x光片和磁共振成像(MRI)无改善,患者被转介到我们的髋关节保存诊所进行进一步的检查和治疗建议。MRI显示双侧股骨头OCD病变继发于发育性髋关节发育不良。患者行双侧三联PAO矫正双侧髋关节发育不良,股骨头病变在影像学上得到适当解决,最终解决患者髋关节疼痛。结论:本报告旨在认识未经治疗的发育性髋关节发育不良与儿童股骨头珀塞斯样病变之间的关系。骨科医生在确定儿科患者珀塞斯样病变的病因时必须考虑发育性髋关节发育不良。
本文章由计算机程序翻译,如有差异,请以英文原文为准。

Developmental Hip Dysplasia Presenting as Bilateral Osteochondritis Dissecans Perthes-like Lesions Treated with Triple Pelvic Osteotomies: A Case Report.

Developmental Hip Dysplasia Presenting as Bilateral Osteochondritis Dissecans Perthes-like Lesions Treated with Triple Pelvic Osteotomies: A Case Report.

Developmental Hip Dysplasia Presenting as Bilateral Osteochondritis Dissecans Perthes-like Lesions Treated with Triple Pelvic Osteotomies: A Case Report.

Developmental Hip Dysplasia Presenting as Bilateral Osteochondritis Dissecans Perthes-like Lesions Treated with Triple Pelvic Osteotomies: A Case Report.

Introduction: Osteochondritis dissecans (OCD) of the femoral head accounts for approximately 2% of all OCD cases. Most of the OCD lesions affecting the femoral head are secondary to pathologies concerning the femoral component of the hip joint, such as Legg-Calvé-Perthes (LCP) disease. Although there are reports of OCD secondary to hip dysplasia, to our knowledge, there is no report of bilateral OCD lesions being treated successfully with bilateral triple pelvic osteotomies (PAO) in a pediatric patient.

Case report: In this report, we present the case of an 8-year-old Hispanic male who presented with bilateral hip pain unresponsive to conservative treatment and initially managed with the presumptive diagnosis of LCP disease. Due to his persistent hip pain and no improvement on follow-up X-rays and magnetic resonance imaging (MRI), the patient was referred to our hip preservation clinic for further work-up and management recommendations. MRI revealed bilateral OCD lesions of the femoral head secondary to developmental hip dysplasia. The patient underwent bilateral triple PAO for correction of the patient's bilateral hip dysplasia, which resulted in the proper resolution of the femoral head lesions on imaging and eventually resolved the patient's hip pain.

Conclusion: This report aims to recognize the association between untreated developmental hip dysplasia and femoral head Perthes-like lesions in the pediatric population. Orthopedic surgeons must consider developmental hip dysplasia when determining the etiology of Perthes-like lesions in pediatric patients.

求助全文
通过发布文献求助,成功后即可免费获取论文全文。 去求助
来源期刊
自引率
0.00%
发文量
128
审稿时长
30 weeks
×
引用
GB/T 7714-2015
复制
MLA
复制
APA
复制
导出至
BibTeX EndNote RefMan NoteFirst NoteExpress
×
提示
您的信息不完整,为了账户安全,请先补充。
现在去补充
×
提示
您因"违规操作"
具体请查看互助需知
我知道了
×
提示
确定
请完成安全验证×
copy
已复制链接
快去分享给好友吧!
我知道了
右上角分享
点击右上角分享
0
联系我们:info@booksci.cn Book学术提供免费学术资源搜索服务,方便国内外学者检索中英文文献。致力于提供最便捷和优质的服务体验。 Copyright © 2023 布克学术 All rights reserved.
京ICP备2023020795号-1
ghs 京公网安备 11010802042870号
Book学术文献互助
Book学术文献互助群
群 号:604180095
Book学术官方微信