采用单一前内侧入路治疗距骨颈及内踝开放性骨折伴踝关节半脱位一例。

S Venkatesh Kumar, Ashwath Ahila Baskar, K G Sathyendra, Ramson Vasagan, Rupali Dnyandeo Solankey, Rohini Venkatesh
{"title":"采用单一前内侧入路治疗距骨颈及内踝开放性骨折伴踝关节半脱位一例。","authors":"S Venkatesh Kumar, Ashwath Ahila Baskar, K G Sathyendra, Ramson Vasagan, Rupali Dnyandeo Solankey, Rohini Venkatesh","doi":"10.13107/jocr.2025.v15.i09.6098","DOIUrl":null,"url":null,"abstract":"<p><strong>Introduction: </strong>Talus fractures are uncommon and complex injuries associated with significant trauma and complications. The incidence of associated malleolar injury with talus fracture is rare.</p><p><strong>Case report: </strong>We share this unusual case of a Hawkins type-3 talus neck fracture along with a serious Grade 3B medial malleolus fracture and ankle subluxation, which was treated with cleaning the wound, realigning the ankle, and surgery to fix the bones. Post-operatively, the wound was healthy and free of infection. Despite being told to avoid weight-bearing for three months, the patient lost follow-up after a month and started occasional partial weight bearing. During the 10th post-operative week, we found a mild degree of talar neck collapse and Hawkins sign radiologically. The range of motion for the ankle was dorsiflexion of 0-15° and plantar flexion of 0-30°, with minimal swelling and pain on weight bearing.</p><p><strong>Conclusion: </strong>This case highlights the rarity and complexity of a talar neck fracture with ipsilateral medial malleolar fracture and ankle dislocation. Positive early outcomes were achieved through timely surgery within 10 h, careful soft tissue management, and appropriate fixation. The presence of a partial Hawkins sign post-operatively indicated preserved talar vascularity and reduced risk of avascular necrosis.</p>","PeriodicalId":16647,"journal":{"name":"Journal of Orthopaedic Case Reports","volume":"15 9","pages":"277-281"},"PeriodicalIF":0.0000,"publicationDate":"2025-09-01","publicationTypes":"Journal Article","fieldsOfStudy":null,"isOpenAccess":false,"openAccessPdf":"https://www.ncbi.nlm.nih.gov/pmc/articles/PMC12422633/pdf/","citationCount":"0","resultStr":"{\"title\":\"A Rare Case of Talus Neck and Open Medial Malleolus Fractures with Ankle Subluxation Treated using a Single Anteromedial Approach.\",\"authors\":\"S Venkatesh Kumar, Ashwath Ahila Baskar, K G Sathyendra, Ramson Vasagan, Rupali Dnyandeo Solankey, Rohini Venkatesh\",\"doi\":\"10.13107/jocr.2025.v15.i09.6098\",\"DOIUrl\":null,\"url\":null,\"abstract\":\"<p><strong>Introduction: </strong>Talus fractures are uncommon and complex injuries associated with significant trauma and complications. The incidence of associated malleolar injury with talus fracture is rare.</p><p><strong>Case report: </strong>We share this unusual case of a Hawkins type-3 talus neck fracture along with a serious Grade 3B medial malleolus fracture and ankle subluxation, which was treated with cleaning the wound, realigning the ankle, and surgery to fix the bones. Post-operatively, the wound was healthy and free of infection. Despite being told to avoid weight-bearing for three months, the patient lost follow-up after a month and started occasional partial weight bearing. During the 10th post-operative week, we found a mild degree of talar neck collapse and Hawkins sign radiologically. The range of motion for the ankle was dorsiflexion of 0-15° and plantar flexion of 0-30°, with minimal swelling and pain on weight bearing.</p><p><strong>Conclusion: </strong>This case highlights the rarity and complexity of a talar neck fracture with ipsilateral medial malleolar fracture and ankle dislocation. Positive early outcomes were achieved through timely surgery within 10 h, careful soft tissue management, and appropriate fixation. The presence of a partial Hawkins sign post-operatively indicated preserved talar vascularity and reduced risk of avascular necrosis.</p>\",\"PeriodicalId\":16647,\"journal\":{\"name\":\"Journal of Orthopaedic Case Reports\",\"volume\":\"15 9\",\"pages\":\"277-281\"},\"PeriodicalIF\":0.0000,\"publicationDate\":\"2025-09-01\",\"publicationTypes\":\"Journal Article\",\"fieldsOfStudy\":null,\"isOpenAccess\":false,\"openAccessPdf\":\"https://www.ncbi.nlm.nih.gov/pmc/articles/PMC12422633/pdf/\",\"citationCount\":\"0\",\"resultStr\":null,\"platform\":\"Semanticscholar\",\"paperid\":null,\"PeriodicalName\":\"Journal of Orthopaedic Case Reports\",\"FirstCategoryId\":\"1085\",\"ListUrlMain\":\"https://doi.org/10.13107/jocr.2025.v15.i09.6098\",\"RegionNum\":0,\"RegionCategory\":null,\"ArticlePicture\":[],\"TitleCN\":null,\"AbstractTextCN\":null,\"PMCID\":null,\"EPubDate\":\"\",\"PubModel\":\"\",\"JCR\":\"\",\"JCRName\":\"\",\"Score\":null,\"Total\":0}","platform":"Semanticscholar","paperid":null,"PeriodicalName":"Journal of Orthopaedic Case Reports","FirstCategoryId":"1085","ListUrlMain":"https://doi.org/10.13107/jocr.2025.v15.i09.6098","RegionNum":0,"RegionCategory":null,"ArticlePicture":[],"TitleCN":null,"AbstractTextCN":null,"PMCID":null,"EPubDate":"","PubModel":"","JCR":"","JCRName":"","Score":null,"Total":0}
引用次数: 0

摘要

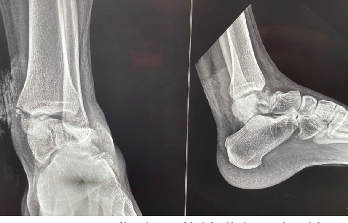
距骨骨折是一种罕见且复杂的损伤,具有明显的创伤和并发症。踝部损伤合并距骨骨折的发生率较低。病例报告:我们有一例罕见的Hawkins 3型距骨颈骨折合并严重3B级内踝骨折和踝关节半脱位的病例,治疗方法为清洗伤口,调整踝关节,手术固定骨骼。术后创面健康,无感染。尽管被告知要避免负重三个月,但患者在一个月后失去了随访,偶尔开始部分负重。术后第10周,我们发现轻度距颈塌陷和霍金斯征。踝关节的活动范围为0-15°背屈和0-30°足底屈,负重时肿胀和疼痛最小。结论:本病例突出了距颈骨折合并同侧内踝骨折和踝关节脱位的罕见性和复杂性。通过在10小时内及时手术,仔细的软组织管理和适当的固定,获得了积极的早期结果。术后出现部分霍金斯征表明距骨血管得到保留,缺血性坏死的风险降低。
本文章由计算机程序翻译,如有差异,请以英文原文为准。

A Rare Case of Talus Neck and Open Medial Malleolus Fractures with Ankle Subluxation Treated using a Single Anteromedial Approach.

A Rare Case of Talus Neck and Open Medial Malleolus Fractures with Ankle Subluxation Treated using a Single Anteromedial Approach.

A Rare Case of Talus Neck and Open Medial Malleolus Fractures with Ankle Subluxation Treated using a Single Anteromedial Approach.

A Rare Case of Talus Neck and Open Medial Malleolus Fractures with Ankle Subluxation Treated using a Single Anteromedial Approach.

Introduction: Talus fractures are uncommon and complex injuries associated with significant trauma and complications. The incidence of associated malleolar injury with talus fracture is rare.

Case report: We share this unusual case of a Hawkins type-3 talus neck fracture along with a serious Grade 3B medial malleolus fracture and ankle subluxation, which was treated with cleaning the wound, realigning the ankle, and surgery to fix the bones. Post-operatively, the wound was healthy and free of infection. Despite being told to avoid weight-bearing for three months, the patient lost follow-up after a month and started occasional partial weight bearing. During the 10th post-operative week, we found a mild degree of talar neck collapse and Hawkins sign radiologically. The range of motion for the ankle was dorsiflexion of 0-15° and plantar flexion of 0-30°, with minimal swelling and pain on weight bearing.

Conclusion: This case highlights the rarity and complexity of a talar neck fracture with ipsilateral medial malleolar fracture and ankle dislocation. Positive early outcomes were achieved through timely surgery within 10 h, careful soft tissue management, and appropriate fixation. The presence of a partial Hawkins sign post-operatively indicated preserved talar vascularity and reduced risk of avascular necrosis.

求助全文
通过发布文献求助,成功后即可免费获取论文全文。 去求助
来源期刊
自引率
0.00%
发文量
128
审稿时长
30 weeks
×
引用
GB/T 7714-2015
复制
MLA
复制
APA
复制
导出至
BibTeX EndNote RefMan NoteFirst NoteExpress
×
提示
您的信息不完整,为了账户安全,请先补充。
现在去补充
×
提示
您因"违规操作"
具体请查看互助需知
我知道了
×
提示
确定
请完成安全验证×
copy
已复制链接
快去分享给好友吧!
我知道了
右上角分享
点击右上角分享
0
联系我们:info@booksci.cn Book学术提供免费学术资源搜索服务,方便国内外学者检索中英文文献。致力于提供最便捷和优质的服务体验。 Copyright © 2023 布克学术 All rights reserved.
京ICP备2023020795号-1
ghs 京公网安备 11010802042870号
Book学术文献互助
Book学术文献互助群
群 号:604180095
Book学术官方微信