模拟半月板桶柄撕裂的内侧半月板前后根异常附着:1例报告及文献复习。

Alexander J Egol, Bradley A Lezak, Emily Berzolla, Spencer M Stein
{"title":"模拟半月板桶柄撕裂的内侧半月板前后根异常附着:1例报告及文献复习。","authors":"Alexander J Egol, Bradley A Lezak, Emily Berzolla, Spencer M Stein","doi":"10.13107/jocr.2025.v15.i09.6100","DOIUrl":null,"url":null,"abstract":"<p><strong>Introduction: </strong>Anomalous medial menisci are rare entities compared to their lateral counterparts. These anomalies include atypical insertions, most commonly into the anterior cruciate ligament, and discoid variants among others. This case adds to the literature on anomalous medial menisci with the presentation of a variant not described in the literature before.</p><p><strong>Case report: </strong>Our patient is a 38-year-old female who presented to the outpatient orthopedic clinic complaining of right knee pain in the setting of a traumatic kneeling event. She had a past medical history of asthma, polycystic ovary syndrome, and anxiety, but no surgical history related to the knee. She underwent magnetic resonance imaging identified what appeared to be a bucket-handle medial meniscus tear. The patient was brought to the operating room where diagnostic arthroscopy revealed a radial tear at the posterior horn of the medial meniscus as well as an anomalous connection between the anterior and posterior roots. The band specifically ran from the posterior horn of the medial meniscus, then superiorly and along the posterior cruciate ligament, and ultimately attached to the anterior horn of the medial meniscus in an \"O\" shape. In addition, a large patellofemoral plica was identified overlying the lateral femoral condyle. The tear, plica, and anomalous band were all debrided. The patient was progressing well on her most recent 7-month follow-up visit.</p><p><strong>Conclusion: </strong>To our knowledge, this is the only reported case of such an anomaly. This case highlights the fact that there are likely other unidentified meniscal variants, and if they are not correctly identified on imaging, it could lead to patient mismanagement. Further research is needed into these variants.</p>","PeriodicalId":16647,"journal":{"name":"Journal of Orthopaedic Case Reports","volume":"15 9","pages":"282-287"},"PeriodicalIF":0.0000,"publicationDate":"2025-09-01","publicationTypes":"Journal Article","fieldsOfStudy":null,"isOpenAccess":false,"openAccessPdf":"https://www.ncbi.nlm.nih.gov/pmc/articles/PMC12422675/pdf/","citationCount":"0","resultStr":"{\"title\":\"An Anomalous Attachment of the Medial Meniscus Posterior and Anterior Roots Mimicking a Bucket Handle Meniscus Tear: A Case Report and Review of the Literature.\",\"authors\":\"Alexander J Egol, Bradley A Lezak, Emily Berzolla, Spencer M Stein\",\"doi\":\"10.13107/jocr.2025.v15.i09.6100\",\"DOIUrl\":null,\"url\":null,\"abstract\":\"<p><strong>Introduction: </strong>Anomalous medial menisci are rare entities compared to their lateral counterparts. These anomalies include atypical insertions, most commonly into the anterior cruciate ligament, and discoid variants among others. This case adds to the literature on anomalous medial menisci with the presentation of a variant not described in the literature before.</p><p><strong>Case report: </strong>Our patient is a 38-year-old female who presented to the outpatient orthopedic clinic complaining of right knee pain in the setting of a traumatic kneeling event. She had a past medical history of asthma, polycystic ovary syndrome, and anxiety, but no surgical history related to the knee. She underwent magnetic resonance imaging identified what appeared to be a bucket-handle medial meniscus tear. The patient was brought to the operating room where diagnostic arthroscopy revealed a radial tear at the posterior horn of the medial meniscus as well as an anomalous connection between the anterior and posterior roots. The band specifically ran from the posterior horn of the medial meniscus, then superiorly and along the posterior cruciate ligament, and ultimately attached to the anterior horn of the medial meniscus in an \\\"O\\\" shape. In addition, a large patellofemoral plica was identified overlying the lateral femoral condyle. The tear, plica, and anomalous band were all debrided. The patient was progressing well on her most recent 7-month follow-up visit.</p><p><strong>Conclusion: </strong>To our knowledge, this is the only reported case of such an anomaly. This case highlights the fact that there are likely other unidentified meniscal variants, and if they are not correctly identified on imaging, it could lead to patient mismanagement. Further research is needed into these variants.</p>\",\"PeriodicalId\":16647,\"journal\":{\"name\":\"Journal of Orthopaedic Case Reports\",\"volume\":\"15 9\",\"pages\":\"282-287\"},\"PeriodicalIF\":0.0000,\"publicationDate\":\"2025-09-01\",\"publicationTypes\":\"Journal Article\",\"fieldsOfStudy\":null,\"isOpenAccess\":false,\"openAccessPdf\":\"https://www.ncbi.nlm.nih.gov/pmc/articles/PMC12422675/pdf/\",\"citationCount\":\"0\",\"resultStr\":null,\"platform\":\"Semanticscholar\",\"paperid\":null,\"PeriodicalName\":\"Journal of Orthopaedic Case Reports\",\"FirstCategoryId\":\"1085\",\"ListUrlMain\":\"https://doi.org/10.13107/jocr.2025.v15.i09.6100\",\"RegionNum\":0,\"RegionCategory\":null,\"ArticlePicture\":[],\"TitleCN\":null,\"AbstractTextCN\":null,\"PMCID\":null,\"EPubDate\":\"\",\"PubModel\":\"\",\"JCR\":\"\",\"JCRName\":\"\",\"Score\":null,\"Total\":0}","platform":"Semanticscholar","paperid":null,"PeriodicalName":"Journal of Orthopaedic Case Reports","FirstCategoryId":"1085","ListUrlMain":"https://doi.org/10.13107/jocr.2025.v15.i09.6100","RegionNum":0,"RegionCategory":null,"ArticlePicture":[],"TitleCN":null,"AbstractTextCN":null,"PMCID":null,"EPubDate":"","PubModel":"","JCR":"","JCRName":"","Score":null,"Total":0}
引用次数: 0

摘要

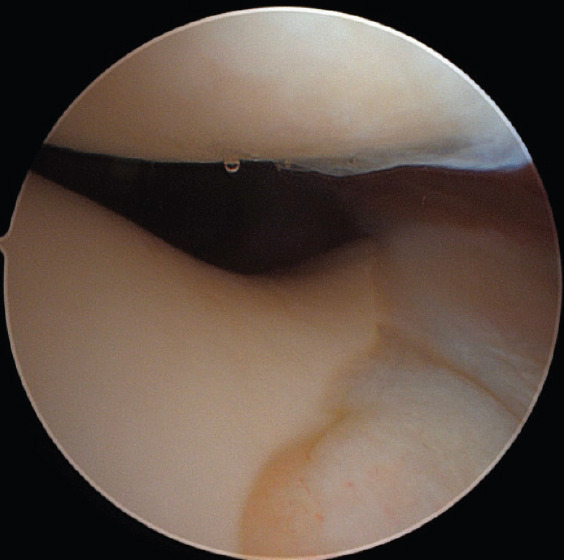
简介:与外侧半月板相比,内侧半月板异常是罕见的。这些异常包括非典型插入,最常见的是进入前交叉韧带,以及盘状变异等。本病例增加了关于异常内侧半月板的文献,呈现了以前文献中未描述的一种变体。病例报告:我们的病人是一名38岁的女性,她到骨科门诊就诊,主诉在创伤性跪地事件中出现右膝疼痛。既往有哮喘、多囊卵巢综合征、焦虑症病史,无膝关节相关手术史。她接受了核磁共振成像,确定了桶柄内侧半月板撕裂。患者被带到手术室,诊断性关节镜检查显示内侧半月板后角桡骨撕裂以及前后根之间的异常连接。带子特别从内侧半月板后角开始,然后沿后交叉韧带向上延伸,最终以“O”形附着于内侧半月板前角。此外,在股骨外侧髁上发现了一个大的髌股皱襞。撕裂、皱襞、畸形带均行清创。在最近7个月的随访中,患者进展良好。结论:据我们所知,这是唯一一例此类异常的报道。本病例强调了一个事实,即可能存在其他未识别的半月板变异,如果在影像学上不能正确识别,可能会导致患者管理不善。需要对这些变异进行进一步的研究。
本文章由计算机程序翻译,如有差异,请以英文原文为准。

An Anomalous Attachment of the Medial Meniscus Posterior and Anterior Roots Mimicking a Bucket Handle Meniscus Tear: A Case Report and Review of the Literature.

An Anomalous Attachment of the Medial Meniscus Posterior and Anterior Roots Mimicking a Bucket Handle Meniscus Tear: A Case Report and Review of the Literature.

An Anomalous Attachment of the Medial Meniscus Posterior and Anterior Roots Mimicking a Bucket Handle Meniscus Tear: A Case Report and Review of the Literature.

An Anomalous Attachment of the Medial Meniscus Posterior and Anterior Roots Mimicking a Bucket Handle Meniscus Tear: A Case Report and Review of the Literature.

Introduction: Anomalous medial menisci are rare entities compared to their lateral counterparts. These anomalies include atypical insertions, most commonly into the anterior cruciate ligament, and discoid variants among others. This case adds to the literature on anomalous medial menisci with the presentation of a variant not described in the literature before.

Case report: Our patient is a 38-year-old female who presented to the outpatient orthopedic clinic complaining of right knee pain in the setting of a traumatic kneeling event. She had a past medical history of asthma, polycystic ovary syndrome, and anxiety, but no surgical history related to the knee. She underwent magnetic resonance imaging identified what appeared to be a bucket-handle medial meniscus tear. The patient was brought to the operating room where diagnostic arthroscopy revealed a radial tear at the posterior horn of the medial meniscus as well as an anomalous connection between the anterior and posterior roots. The band specifically ran from the posterior horn of the medial meniscus, then superiorly and along the posterior cruciate ligament, and ultimately attached to the anterior horn of the medial meniscus in an "O" shape. In addition, a large patellofemoral plica was identified overlying the lateral femoral condyle. The tear, plica, and anomalous band were all debrided. The patient was progressing well on her most recent 7-month follow-up visit.

Conclusion: To our knowledge, this is the only reported case of such an anomaly. This case highlights the fact that there are likely other unidentified meniscal variants, and if they are not correctly identified on imaging, it could lead to patient mismanagement. Further research is needed into these variants.

求助全文
通过发布文献求助,成功后即可免费获取论文全文。 去求助
来源期刊
自引率
0.00%
发文量
128
审稿时长
30 weeks
×
引用
GB/T 7714-2015
复制
MLA
复制
APA
复制
导出至
BibTeX EndNote RefMan NoteFirst NoteExpress
×
提示
您的信息不完整,为了账户安全,请先补充。
现在去补充
×
提示
您因"违规操作"
具体请查看互助需知
我知道了
×
提示
确定
请完成安全验证×
copy
已复制链接
快去分享给好友吧!
我知道了
右上角分享
点击右上角分享
0
联系我们:info@booksci.cn Book学术提供免费学术资源搜索服务,方便国内外学者检索中英文文献。致力于提供最便捷和优质的服务体验。 Copyright © 2023 布克学术 All rights reserved.
京ICP备2023020795号-1
ghs 京公网安备 11010802042870号
Book学术文献互助
Book学术文献互助群
群 号:604180095
Book学术官方微信