股骨粗隆间骨折手术固定后发生股深动脉假性动脉瘤一例。

Shrihari L Kulkarni, Manjunath Daragad, R Ravikiran, N Manoj
{"title":"股骨粗隆间骨折手术固定后发生股深动脉假性动脉瘤一例。","authors":"Shrihari L Kulkarni, Manjunath Daragad, R Ravikiran, N Manoj","doi":"10.13107/jocr.2025.v15.i09.6058","DOIUrl":null,"url":null,"abstract":"<p><strong>Introduction: </strong>Intertrochanteric fractures are one of the most common osteoporotic fractures in the elderly population. Most of them are managed with surgical fixation using proximal femoral nails. We report a patient with pseudoaneurysm of the profunda femoris artery following surgical fixation of an intertrochanteric fracture, which is a very rare complication.</p><p><strong>Case report: </strong>An 80-year-old male patient presented 3 weeks post-surgical fixation for an intertrochanteric fracture with pain and swelling of the thigh. Radiological evaluation revealed a pseudoaneurysm of the profunda femoris artery, which was managed by the cardiothoracic and vascular surgery team.</p><p><strong>Conclusion: </strong>Pseudoaneurysm of the profunda femoris artery, though rare, is a serious complication following surgical fixation of the proximal femur fracture. Considering its potential for delay in onset, it can often be overlooked or diagnosed late, leading to significant risks.</p>","PeriodicalId":16647,"journal":{"name":"Journal of Orthopaedic Case Reports","volume":"15 9","pages":"174-178"},"PeriodicalIF":0.0000,"publicationDate":"2025-09-01","publicationTypes":"Journal Article","fieldsOfStudy":null,"isOpenAccess":false,"openAccessPdf":"https://www.ncbi.nlm.nih.gov/pmc/articles/PMC12422651/pdf/","citationCount":"0","resultStr":"{\"title\":\"A Rare Case of Pseudoaneurysm of Profunda Femoris Artery Following Surgical Fixation of an Intertrochanteric Fracture.\",\"authors\":\"Shrihari L Kulkarni, Manjunath Daragad, R Ravikiran, N Manoj\",\"doi\":\"10.13107/jocr.2025.v15.i09.6058\",\"DOIUrl\":null,\"url\":null,\"abstract\":\"<p><strong>Introduction: </strong>Intertrochanteric fractures are one of the most common osteoporotic fractures in the elderly population. Most of them are managed with surgical fixation using proximal femoral nails. We report a patient with pseudoaneurysm of the profunda femoris artery following surgical fixation of an intertrochanteric fracture, which is a very rare complication.</p><p><strong>Case report: </strong>An 80-year-old male patient presented 3 weeks post-surgical fixation for an intertrochanteric fracture with pain and swelling of the thigh. Radiological evaluation revealed a pseudoaneurysm of the profunda femoris artery, which was managed by the cardiothoracic and vascular surgery team.</p><p><strong>Conclusion: </strong>Pseudoaneurysm of the profunda femoris artery, though rare, is a serious complication following surgical fixation of the proximal femur fracture. Considering its potential for delay in onset, it can often be overlooked or diagnosed late, leading to significant risks.</p>\",\"PeriodicalId\":16647,\"journal\":{\"name\":\"Journal of Orthopaedic Case Reports\",\"volume\":\"15 9\",\"pages\":\"174-178\"},\"PeriodicalIF\":0.0000,\"publicationDate\":\"2025-09-01\",\"publicationTypes\":\"Journal Article\",\"fieldsOfStudy\":null,\"isOpenAccess\":false,\"openAccessPdf\":\"https://www.ncbi.nlm.nih.gov/pmc/articles/PMC12422651/pdf/\",\"citationCount\":\"0\",\"resultStr\":null,\"platform\":\"Semanticscholar\",\"paperid\":null,\"PeriodicalName\":\"Journal of Orthopaedic Case Reports\",\"FirstCategoryId\":\"1085\",\"ListUrlMain\":\"https://doi.org/10.13107/jocr.2025.v15.i09.6058\",\"RegionNum\":0,\"RegionCategory\":null,\"ArticlePicture\":[],\"TitleCN\":null,\"AbstractTextCN\":null,\"PMCID\":null,\"EPubDate\":\"\",\"PubModel\":\"\",\"JCR\":\"\",\"JCRName\":\"\",\"Score\":null,\"Total\":0}","platform":"Semanticscholar","paperid":null,"PeriodicalName":"Journal of Orthopaedic Case Reports","FirstCategoryId":"1085","ListUrlMain":"https://doi.org/10.13107/jocr.2025.v15.i09.6058","RegionNum":0,"RegionCategory":null,"ArticlePicture":[],"TitleCN":null,"AbstractTextCN":null,"PMCID":null,"EPubDate":"","PubModel":"","JCR":"","JCRName":"","Score":null,"Total":0}
引用次数: 0

摘要

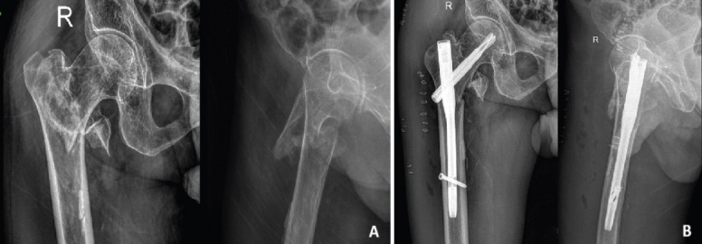
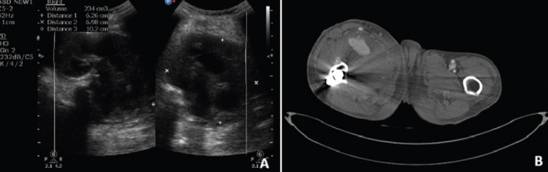
股骨粗隆间骨折是老年人最常见的骨质疏松性骨折之一。大多数病例采用股骨近端钉手术固定。我们报告一位股骨深动脉假性动脉瘤的病人,手术固定股骨粗隆间骨折后,这是一个非常罕见的并发症。病例报告:一名80岁男性患者,股骨粗隆间骨折术后3周内固定,大腿疼痛和肿胀。放射学评估显示股深动脉假性动脉瘤,由心胸血管外科小组处理。结论:股深动脉假性动脉瘤虽然罕见,但却是股骨近端骨折手术固定后的严重并发症。考虑到它可能延迟发病,它往往被忽视或诊断较晚,导致重大风险。
本文章由计算机程序翻译,如有差异,请以英文原文为准。

A Rare Case of Pseudoaneurysm of Profunda Femoris Artery Following Surgical Fixation of an Intertrochanteric Fracture.

A Rare Case of Pseudoaneurysm of Profunda Femoris Artery Following Surgical Fixation of an Intertrochanteric Fracture.

A Rare Case of Pseudoaneurysm of Profunda Femoris Artery Following Surgical Fixation of an Intertrochanteric Fracture.

A Rare Case of Pseudoaneurysm of Profunda Femoris Artery Following Surgical Fixation of an Intertrochanteric Fracture.

Introduction: Intertrochanteric fractures are one of the most common osteoporotic fractures in the elderly population. Most of them are managed with surgical fixation using proximal femoral nails. We report a patient with pseudoaneurysm of the profunda femoris artery following surgical fixation of an intertrochanteric fracture, which is a very rare complication.

Case report: An 80-year-old male patient presented 3 weeks post-surgical fixation for an intertrochanteric fracture with pain and swelling of the thigh. Radiological evaluation revealed a pseudoaneurysm of the profunda femoris artery, which was managed by the cardiothoracic and vascular surgery team.

Conclusion: Pseudoaneurysm of the profunda femoris artery, though rare, is a serious complication following surgical fixation of the proximal femur fracture. Considering its potential for delay in onset, it can often be overlooked or diagnosed late, leading to significant risks.

求助全文
通过发布文献求助,成功后即可免费获取论文全文。 去求助
来源期刊
自引率
0.00%
发文量
128
审稿时长
30 weeks
×
引用
GB/T 7714-2015
复制
MLA
复制
APA
复制
导出至
BibTeX EndNote RefMan NoteFirst NoteExpress
×
提示
您的信息不完整,为了账户安全,请先补充。
现在去补充
×
提示
您因"违规操作"
具体请查看互助需知
我知道了
×
提示
确定
请完成安全验证×
copy
已复制链接
快去分享给好友吧!
我知道了
右上角分享
点击右上角分享
0
联系我们:info@booksci.cn Book学术提供免费学术资源搜索服务,方便国内外学者检索中英文文献。致力于提供最便捷和优质的服务体验。 Copyright © 2023 布克学术 All rights reserved.
京ICP备2023020795号-1
ghs 京公网安备 11010802042870号
Book学术文献互助
Book学术文献互助群
群 号:604180095
Book学术官方微信