生物标志物在糖尿病足骨髓炎中的作用。

Monika Gureh, Ashok Kumar Attri, Sanjay Gupta, Jasbinder Kaur, Mantu Jain
{"title":"生物标志物在糖尿病足骨髓炎中的作用。","authors":"Monika Gureh, Ashok Kumar Attri, Sanjay Gupta, Jasbinder Kaur, Mantu Jain","doi":"10.13107/jocr.2025.v15.i09.6120","DOIUrl":null,"url":null,"abstract":"<p><strong>Introduction: </strong>Foot ulcer is one of the common problems in patients with diabetes mellitus. The spectrum of diabetic foot infection is wide, ranging from cellulitis and soft tissue infection to osteomyelitis (OM). OM requires further testing and investigations and even longer treatments. The aim of this prospective study was to assess the performance of serum markers, namely, the erythrocyte sedimentation rate (ESR), C-reactive protein (CRP), and procalcitonin (PCT) in the diagnosis and follow-up of patients with diabetic foot osteomyelitis (DFO) and to find correlation between serum levels of these biomarkers and treatment response.</p><p><strong>Materials and methods: </strong>This prospective study was carried out in 50 patients. Diagnosis of OM was made by clinical examination and confirmed by radiological studies. The serum levels of ESR, CRP, and PCT were determined on admission in all the patients and then on day 15 and day 30 in the osteomyelitic group.</p><p><strong>Results: </strong>No significant difference was observed in the levels of ESR, CRP, and PCT in DFO and non-OM patients (P > 0.05) at presentation. However, there was a significant difference (P > 0.05) in levels of these markers between patients with healed and non-healed lesions in the osteomyelitic group on day 15 and day 30.</p><p><strong>Conclusion: </strong>Biomarkers may not help in diagnosing OM. However, the level of biomarkers decreases significantly in response to treatment validating their role in predicting healing.</p>","PeriodicalId":16647,"journal":{"name":"Journal of Orthopaedic Case Reports","volume":"15 9","pages":"342-347"},"PeriodicalIF":0.0000,"publicationDate":"2025-09-01","publicationTypes":"Journal Article","fieldsOfStudy":null,"isOpenAccess":false,"openAccessPdf":"https://www.ncbi.nlm.nih.gov/pmc/articles/PMC12422664/pdf/","citationCount":"0","resultStr":"{\"title\":\"Role of Biomarkers in Diabetic Foot Osteomyelitis.\",\"authors\":\"Monika Gureh, Ashok Kumar Attri, Sanjay Gupta, Jasbinder Kaur, Mantu Jain\",\"doi\":\"10.13107/jocr.2025.v15.i09.6120\",\"DOIUrl\":null,\"url\":null,\"abstract\":\"<p><strong>Introduction: </strong>Foot ulcer is one of the common problems in patients with diabetes mellitus. The spectrum of diabetic foot infection is wide, ranging from cellulitis and soft tissue infection to osteomyelitis (OM). OM requires further testing and investigations and even longer treatments. The aim of this prospective study was to assess the performance of serum markers, namely, the erythrocyte sedimentation rate (ESR), C-reactive protein (CRP), and procalcitonin (PCT) in the diagnosis and follow-up of patients with diabetic foot osteomyelitis (DFO) and to find correlation between serum levels of these biomarkers and treatment response.</p><p><strong>Materials and methods: </strong>This prospective study was carried out in 50 patients. Diagnosis of OM was made by clinical examination and confirmed by radiological studies. The serum levels of ESR, CRP, and PCT were determined on admission in all the patients and then on day 15 and day 30 in the osteomyelitic group.</p><p><strong>Results: </strong>No significant difference was observed in the levels of ESR, CRP, and PCT in DFO and non-OM patients (P > 0.05) at presentation. However, there was a significant difference (P > 0.05) in levels of these markers between patients with healed and non-healed lesions in the osteomyelitic group on day 15 and day 30.</p><p><strong>Conclusion: </strong>Biomarkers may not help in diagnosing OM. However, the level of biomarkers decreases significantly in response to treatment validating their role in predicting healing.</p>\",\"PeriodicalId\":16647,\"journal\":{\"name\":\"Journal of Orthopaedic Case Reports\",\"volume\":\"15 9\",\"pages\":\"342-347\"},\"PeriodicalIF\":0.0000,\"publicationDate\":\"2025-09-01\",\"publicationTypes\":\"Journal Article\",\"fieldsOfStudy\":null,\"isOpenAccess\":false,\"openAccessPdf\":\"https://www.ncbi.nlm.nih.gov/pmc/articles/PMC12422664/pdf/\",\"citationCount\":\"0\",\"resultStr\":null,\"platform\":\"Semanticscholar\",\"paperid\":null,\"PeriodicalName\":\"Journal of Orthopaedic Case Reports\",\"FirstCategoryId\":\"1085\",\"ListUrlMain\":\"https://doi.org/10.13107/jocr.2025.v15.i09.6120\",\"RegionNum\":0,\"RegionCategory\":null,\"ArticlePicture\":[],\"TitleCN\":null,\"AbstractTextCN\":null,\"PMCID\":null,\"EPubDate\":\"\",\"PubModel\":\"\",\"JCR\":\"\",\"JCRName\":\"\",\"Score\":null,\"Total\":0}","platform":"Semanticscholar","paperid":null,"PeriodicalName":"Journal of Orthopaedic Case Reports","FirstCategoryId":"1085","ListUrlMain":"https://doi.org/10.13107/jocr.2025.v15.i09.6120","RegionNum":0,"RegionCategory":null,"ArticlePicture":[],"TitleCN":null,"AbstractTextCN":null,"PMCID":null,"EPubDate":"","PubModel":"","JCR":"","JCRName":"","Score":null,"Total":0}
引用次数: 0

摘要

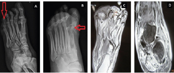
导读:足部溃疡是糖尿病患者的常见问题之一。糖尿病足感染的范围很广,从蜂窝织炎和软组织感染到骨髓炎(OM)。OM需要进一步的测试和调查,甚至需要更长时间的治疗。本前瞻性研究的目的是评估血清标志物,即红细胞沉降率(ESR)、c反应蛋白(CRP)和降钙素原(PCT)在糖尿病足骨髓炎(DFO)患者的诊断和随访中的表现,并发现这些生物标志物的血清水平与治疗反应之间的相关性。材料与方法:本前瞻性研究纳入50例患者。OM的诊断是通过临床检查和放射学检查证实的。所有患者入院时测定血清ESR、CRP、PCT水平,骨髓炎组分别于入院第15天和第30天测定血清ESR、CRP和PCT水平。结果:DFO患者与非om患者就诊时ESR、CRP、PCT水平差异无统计学意义(P < 0.05)。然而,在第15天和第30天,这些标志物在骨髓炎组愈合和未愈合的患者之间的水平有显著差异(P > 0.05)。结论:生物标志物对OM的诊断可能没有帮助。然而,生物标志物的水平在治疗后显著下降,证实了它们在预测愈合方面的作用。
本文章由计算机程序翻译,如有差异,请以英文原文为准。

Role of Biomarkers in Diabetic Foot Osteomyelitis.

Role of Biomarkers in Diabetic Foot Osteomyelitis.

Role of Biomarkers in Diabetic Foot Osteomyelitis.

Role of Biomarkers in Diabetic Foot Osteomyelitis.

Introduction: Foot ulcer is one of the common problems in patients with diabetes mellitus. The spectrum of diabetic foot infection is wide, ranging from cellulitis and soft tissue infection to osteomyelitis (OM). OM requires further testing and investigations and even longer treatments. The aim of this prospective study was to assess the performance of serum markers, namely, the erythrocyte sedimentation rate (ESR), C-reactive protein (CRP), and procalcitonin (PCT) in the diagnosis and follow-up of patients with diabetic foot osteomyelitis (DFO) and to find correlation between serum levels of these biomarkers and treatment response.

Materials and methods: This prospective study was carried out in 50 patients. Diagnosis of OM was made by clinical examination and confirmed by radiological studies. The serum levels of ESR, CRP, and PCT were determined on admission in all the patients and then on day 15 and day 30 in the osteomyelitic group.

Results: No significant difference was observed in the levels of ESR, CRP, and PCT in DFO and non-OM patients (P > 0.05) at presentation. However, there was a significant difference (P > 0.05) in levels of these markers between patients with healed and non-healed lesions in the osteomyelitic group on day 15 and day 30.

Conclusion: Biomarkers may not help in diagnosing OM. However, the level of biomarkers decreases significantly in response to treatment validating their role in predicting healing.

求助全文
通过发布文献求助,成功后即可免费获取论文全文。 去求助
来源期刊
自引率
0.00%
发文量
128
审稿时长
30 weeks
×
引用
GB/T 7714-2015
复制
MLA
复制
APA
复制
导出至
BibTeX EndNote RefMan NoteFirst NoteExpress
×
提示
您的信息不完整,为了账户安全,请先补充。
现在去补充
×
提示
您因"违规操作"
具体请查看互助需知
我知道了
×
提示
确定
请完成安全验证×
copy
已复制链接
快去分享给好友吧!
我知道了
右上角分享
点击右上角分享
0
联系我们:info@booksci.cn Book学术提供免费学术资源搜索服务,方便国内外学者检索中英文文献。致力于提供最便捷和优质的服务体验。 Copyright © 2023 布克学术 All rights reserved.
京ICP备2023020795号-1
ghs 京公网安备 11010802042870号
Book学术文献互助
Book学术文献互助群
群 号:604180095
Book学术官方微信