诊断缺陷:一名职业足球运动员胫骨前应力性骨折一例报告。

Zakir Ali Shah, Badr Al Hammadi, Habib Al Ismaily, Abdulla Nidal, Khaled Al Madani, Zainab Al Jawi
{"title":"诊断缺陷:一名职业足球运动员胫骨前应力性骨折一例报告。","authors":"Zakir Ali Shah, Badr Al Hammadi, Habib Al Ismaily, Abdulla Nidal, Khaled Al Madani, Zainab Al Jawi","doi":"10.13107/jocr.2025.v15.i09.6072","DOIUrl":null,"url":null,"abstract":"<p><strong>Introduction: </strong>Early stress fractures sometimes go undetected or are misdiagnosed due to unusual subtle symptoms; anterior tibial fractures are mostly tiny unilateral fractures involving the diaphyseal portion of the tibia as a result of repetitive microtrauma as deemed in intense athletes. Incomplete anterior tibial stress fractures are very rare, particularly when they occur bilaterally in football players.</p><p><strong>Case report: </strong>Here, we discuss a rare clinical case of a sportsman who presented in our hospital. A 26-year-old professional football player presented to us in July 2024 with bilateral leg pain which worsened on playing football. The plain radiograph showed that the middle part of the left side tibial shaft anteriorly had higher density, while the right side was unremarkable; which was further investigated with computed tomography scan on left side on presentation and magnetic resonance imaging on right side on 3 months follow up.</p><p><strong>Conclusion: </strong>A thorough review of the patient's history is essential when evaluating persistent leg pain associated with repetitive activities. Our report emphasis importance of early recognition and surgical intervention in seeking rapid return to play and be active especially in athletes.</p>","PeriodicalId":16647,"journal":{"name":"Journal of Orthopaedic Case Reports","volume":"15 9","pages":"208-212"},"PeriodicalIF":0.0000,"publicationDate":"2025-09-01","publicationTypes":"Journal Article","fieldsOfStudy":null,"isOpenAccess":false,"openAccessPdf":"https://www.ncbi.nlm.nih.gov/pmc/articles/PMC12422666/pdf/","citationCount":"0","resultStr":"{\"title\":\"Diagnostic Pitfalls: Anterior Tibial Stress Fracture in a Professional Football Player - A Case Report.\",\"authors\":\"Zakir Ali Shah, Badr Al Hammadi, Habib Al Ismaily, Abdulla Nidal, Khaled Al Madani, Zainab Al Jawi\",\"doi\":\"10.13107/jocr.2025.v15.i09.6072\",\"DOIUrl\":null,\"url\":null,\"abstract\":\"<p><strong>Introduction: </strong>Early stress fractures sometimes go undetected or are misdiagnosed due to unusual subtle symptoms; anterior tibial fractures are mostly tiny unilateral fractures involving the diaphyseal portion of the tibia as a result of repetitive microtrauma as deemed in intense athletes. Incomplete anterior tibial stress fractures are very rare, particularly when they occur bilaterally in football players.</p><p><strong>Case report: </strong>Here, we discuss a rare clinical case of a sportsman who presented in our hospital. A 26-year-old professional football player presented to us in July 2024 with bilateral leg pain which worsened on playing football. The plain radiograph showed that the middle part of the left side tibial shaft anteriorly had higher density, while the right side was unremarkable; which was further investigated with computed tomography scan on left side on presentation and magnetic resonance imaging on right side on 3 months follow up.</p><p><strong>Conclusion: </strong>A thorough review of the patient's history is essential when evaluating persistent leg pain associated with repetitive activities. Our report emphasis importance of early recognition and surgical intervention in seeking rapid return to play and be active especially in athletes.</p>\",\"PeriodicalId\":16647,\"journal\":{\"name\":\"Journal of Orthopaedic Case Reports\",\"volume\":\"15 9\",\"pages\":\"208-212\"},\"PeriodicalIF\":0.0000,\"publicationDate\":\"2025-09-01\",\"publicationTypes\":\"Journal Article\",\"fieldsOfStudy\":null,\"isOpenAccess\":false,\"openAccessPdf\":\"https://www.ncbi.nlm.nih.gov/pmc/articles/PMC12422666/pdf/\",\"citationCount\":\"0\",\"resultStr\":null,\"platform\":\"Semanticscholar\",\"paperid\":null,\"PeriodicalName\":\"Journal of Orthopaedic Case Reports\",\"FirstCategoryId\":\"1085\",\"ListUrlMain\":\"https://doi.org/10.13107/jocr.2025.v15.i09.6072\",\"RegionNum\":0,\"RegionCategory\":null,\"ArticlePicture\":[],\"TitleCN\":null,\"AbstractTextCN\":null,\"PMCID\":null,\"EPubDate\":\"\",\"PubModel\":\"\",\"JCR\":\"\",\"JCRName\":\"\",\"Score\":null,\"Total\":0}","platform":"Semanticscholar","paperid":null,"PeriodicalName":"Journal of Orthopaedic Case Reports","FirstCategoryId":"1085","ListUrlMain":"https://doi.org/10.13107/jocr.2025.v15.i09.6072","RegionNum":0,"RegionCategory":null,"ArticlePicture":[],"TitleCN":null,"AbstractTextCN":null,"PMCID":null,"EPubDate":"","PubModel":"","JCR":"","JCRName":"","Score":null,"Total":0}
引用次数: 0

摘要

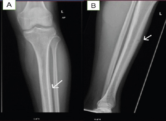
简介:早期应力性骨折有时因异常细微的症状而未被发现或误诊;胫骨前骨折多为单侧微小骨折,累及胫骨骨干部分,是高强度运动员重复性微创伤的结果。不完全胫骨前应力性骨折是非常罕见的,特别是当他们发生在足球运动员的双侧。病例报告:在这里,我们讨论一个罕见的临床病例的运动员谁提出在我们医院。一名26岁的职业足球运动员在2024年7月向我们提出了双侧腿痛,在踢足球时恶化。x线平片显示左侧胫骨干中部前侧密度较高,右侧密度不明显;在3个月的随访中,通过左侧计算机断层扫描和右侧磁共振成像进一步研究。结论:在评估与重复性活动相关的持续性腿痛时,对患者病史进行彻底的回顾是必不可少的。我们的报告强调了早期识别和手术干预在寻求快速恢复比赛和活跃方面的重要性,特别是在运动员中。
本文章由计算机程序翻译,如有差异,请以英文原文为准。

Diagnostic Pitfalls: Anterior Tibial Stress Fracture in a Professional Football Player - A Case Report.

Diagnostic Pitfalls: Anterior Tibial Stress Fracture in a Professional Football Player - A Case Report.

Diagnostic Pitfalls: Anterior Tibial Stress Fracture in a Professional Football Player - A Case Report.

Diagnostic Pitfalls: Anterior Tibial Stress Fracture in a Professional Football Player - A Case Report.

Introduction: Early stress fractures sometimes go undetected or are misdiagnosed due to unusual subtle symptoms; anterior tibial fractures are mostly tiny unilateral fractures involving the diaphyseal portion of the tibia as a result of repetitive microtrauma as deemed in intense athletes. Incomplete anterior tibial stress fractures are very rare, particularly when they occur bilaterally in football players.

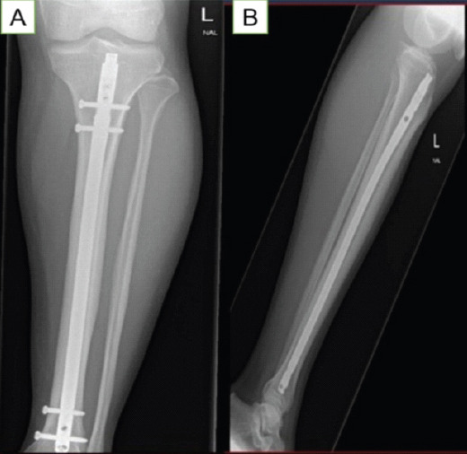
Case report: Here, we discuss a rare clinical case of a sportsman who presented in our hospital. A 26-year-old professional football player presented to us in July 2024 with bilateral leg pain which worsened on playing football. The plain radiograph showed that the middle part of the left side tibial shaft anteriorly had higher density, while the right side was unremarkable; which was further investigated with computed tomography scan on left side on presentation and magnetic resonance imaging on right side on 3 months follow up.

Conclusion: A thorough review of the patient's history is essential when evaluating persistent leg pain associated with repetitive activities. Our report emphasis importance of early recognition and surgical intervention in seeking rapid return to play and be active especially in athletes.

求助全文
通过发布文献求助,成功后即可免费获取论文全文。 去求助
来源期刊
自引率
0.00%
发文量
128
审稿时长
30 weeks
×
引用
GB/T 7714-2015
复制
MLA
复制
APA
复制
导出至
BibTeX EndNote RefMan NoteFirst NoteExpress
×
提示
您的信息不完整,为了账户安全,请先补充。
现在去补充
×
提示
您因"违规操作"
具体请查看互助需知
我知道了
×
提示
确定
请完成安全验证×
copy
已复制链接
快去分享给好友吧!
我知道了
右上角分享
点击右上角分享
0
联系我们:info@booksci.cn Book学术提供免费学术资源搜索服务,方便国内外学者检索中英文文献。致力于提供最便捷和优质的服务体验。 Copyright © 2023 布克学术 All rights reserved.
京ICP备2023020795号-1
ghs 京公网安备 11010802042870号
Book学术文献互助
Book学术文献互助群
群 号:604180095
Book学术官方微信