结肠髓样癌:不像以前认为的那样有利?

IF 1.6 Q4 ONCOLOGY
Daniel Netto, Mugtaba Dafalla, Karim Muhammad, Haithum Tumeh, Chloe Sowerby, Konstantinos Kamposioras
{"title":"结肠髓样癌:不像以前认为的那样有利?","authors":"Daniel Netto, Mugtaba Dafalla, Karim Muhammad, Haithum Tumeh, Chloe Sowerby, Konstantinos Kamposioras","doi":"10.1007/s12029-025-01304-x","DOIUrl":null,"url":null,"abstract":"<p><strong>Introduction: </strong>Medullary carcinoma of the colon (MCC) is a rare, evolving subtype of colorectal cancer that is histologically and clinically distinct from poorly differentiated and undifferentiated adenocarcinoma. Comprehensive meta-analyses show that MCCs predominantly have a mismatch repair-deficient (MMRd) phenotype, which typically predicts a more favourable prognosis.</p><p><strong>Case presentation: </strong>We present a unique case involving a male patient with an aggressive presentation of colon cancer. Histopathology supported a diagnosis of MCC, initially staged as T3N0M0. Shortly after resection, the patient presented with rapidly progressing metastatic disease involving brain and subcutaneous metastases and subsequent mortality.</p><p><strong>Conclusion: </strong>MCC is an understudied subpopulation of colon cancers. Historically, the presence of MMRd in early-stage colon cancer predicts a favourable prognosis and also a lack of benefit from adjuvant chemotherapy. Whether this also extrapolates to MCCs remains unclear, and as such, the case presented highlights the uncertainty in the current evidence base. Further research is warranted to help inform robust clinical management.</p>","PeriodicalId":15895,"journal":{"name":"Journal of Gastrointestinal Cancer","volume":"56 1","pages":"185"},"PeriodicalIF":1.6000,"publicationDate":"2025-09-11","publicationTypes":"Journal Article","fieldsOfStudy":null,"isOpenAccess":false,"openAccessPdf":"https://www.ncbi.nlm.nih.gov/pmc/articles/PMC12426073/pdf/","citationCount":"0","resultStr":"{\"title\":\"Medullary Carcinoma of the Colon: Not as Favourable as Previously Thought?\",\"authors\":\"Daniel Netto, Mugtaba Dafalla, Karim Muhammad, Haithum Tumeh, Chloe Sowerby, Konstantinos Kamposioras\",\"doi\":\"10.1007/s12029-025-01304-x\",\"DOIUrl\":null,\"url\":null,\"abstract\":\"<p><strong>Introduction: </strong>Medullary carcinoma of the colon (MCC) is a rare, evolving subtype of colorectal cancer that is histologically and clinically distinct from poorly differentiated and undifferentiated adenocarcinoma. Comprehensive meta-analyses show that MCCs predominantly have a mismatch repair-deficient (MMRd) phenotype, which typically predicts a more favourable prognosis.</p><p><strong>Case presentation: </strong>We present a unique case involving a male patient with an aggressive presentation of colon cancer. Histopathology supported a diagnosis of MCC, initially staged as T3N0M0. Shortly after resection, the patient presented with rapidly progressing metastatic disease involving brain and subcutaneous metastases and subsequent mortality.</p><p><strong>Conclusion: </strong>MCC is an understudied subpopulation of colon cancers. Historically, the presence of MMRd in early-stage colon cancer predicts a favourable prognosis and also a lack of benefit from adjuvant chemotherapy. Whether this also extrapolates to MCCs remains unclear, and as such, the case presented highlights the uncertainty in the current evidence base. Further research is warranted to help inform robust clinical management.</p>\",\"PeriodicalId\":15895,\"journal\":{\"name\":\"Journal of Gastrointestinal Cancer\",\"volume\":\"56 1\",\"pages\":\"185\"},\"PeriodicalIF\":1.6000,\"publicationDate\":\"2025-09-11\",\"publicationTypes\":\"Journal Article\",\"fieldsOfStudy\":null,\"isOpenAccess\":false,\"openAccessPdf\":\"https://www.ncbi.nlm.nih.gov/pmc/articles/PMC12426073/pdf/\",\"citationCount\":\"0\",\"resultStr\":null,\"platform\":\"Semanticscholar\",\"paperid\":null,\"PeriodicalName\":\"Journal of Gastrointestinal Cancer\",\"FirstCategoryId\":\"1085\",\"ListUrlMain\":\"https://doi.org/10.1007/s12029-025-01304-x\",\"RegionNum\":0,\"RegionCategory\":null,\"ArticlePicture\":[],\"TitleCN\":null,\"AbstractTextCN\":null,\"PMCID\":null,\"EPubDate\":\"\",\"PubModel\":\"\",\"JCR\":\"Q4\",\"JCRName\":\"ONCOLOGY\",\"Score\":null,\"Total\":0}","platform":"Semanticscholar","paperid":null,"PeriodicalName":"Journal of Gastrointestinal Cancer","FirstCategoryId":"1085","ListUrlMain":"https://doi.org/10.1007/s12029-025-01304-x","RegionNum":0,"RegionCategory":null,"ArticlePicture":[],"TitleCN":null,"AbstractTextCN":null,"PMCID":null,"EPubDate":"","PubModel":"","JCR":"Q4","JCRName":"ONCOLOGY","Score":null,"Total":0}
引用次数: 0

摘要

结肠髓样癌(MCC)是一种罕见的、不断发展的结直肠癌亚型,在组织学和临床上与低分化和未分化腺癌不同。综合荟萃分析显示,mcc主要具有错配修复缺陷(MMRd)表型,这通常预示着更有利的预后。病例介绍:我们提出一个独特的情况下,涉及一名男性患者侵略性的表现,结肠癌。组织病理学支持MCC的诊断,最初分期为T3N0M0。切除后不久,患者出现进展迅速的转移性疾病,包括脑和皮下转移,随后死亡。结论:MCC是一种未被充分研究的结肠癌亚群。从历史上看,早期结肠癌中MMRd的存在预示着良好的预后,也预示着缺乏辅助化疗的益处。这是否也可以外推到mcc仍不清楚,因此,提出的案例突出了当前证据基础的不确定性。进一步的研究是必要的,以帮助告知健全的临床管理。
本文章由计算机程序翻译,如有差异,请以英文原文为准。

Medullary Carcinoma of the Colon: Not as Favourable as Previously Thought?

Medullary Carcinoma of the Colon: Not as Favourable as Previously Thought?

Medullary Carcinoma of the Colon: Not as Favourable as Previously Thought?

Medullary Carcinoma of the Colon: Not as Favourable as Previously Thought?

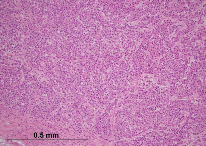
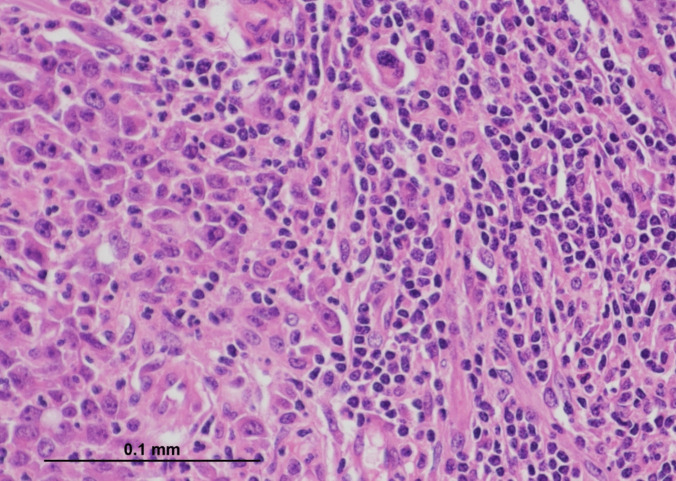
Introduction: Medullary carcinoma of the colon (MCC) is a rare, evolving subtype of colorectal cancer that is histologically and clinically distinct from poorly differentiated and undifferentiated adenocarcinoma. Comprehensive meta-analyses show that MCCs predominantly have a mismatch repair-deficient (MMRd) phenotype, which typically predicts a more favourable prognosis.

Case presentation: We present a unique case involving a male patient with an aggressive presentation of colon cancer. Histopathology supported a diagnosis of MCC, initially staged as T3N0M0. Shortly after resection, the patient presented with rapidly progressing metastatic disease involving brain and subcutaneous metastases and subsequent mortality.

Conclusion: MCC is an understudied subpopulation of colon cancers. Historically, the presence of MMRd in early-stage colon cancer predicts a favourable prognosis and also a lack of benefit from adjuvant chemotherapy. Whether this also extrapolates to MCCs remains unclear, and as such, the case presented highlights the uncertainty in the current evidence base. Further research is warranted to help inform robust clinical management.

求助全文
通过发布文献求助,成功后即可免费获取论文全文。 去求助
来源期刊
CiteScore
3.80
自引率
0.00%
发文量
121
期刊介绍: The Journal of Gastrointestinal Cancer is a multidisciplinary medium for the publication of novel research pertaining to cancers arising from the gastrointestinal tract.The journal is dedicated to the most rapid publication possible.The journal publishes papers in all relevant fields, emphasizing those studies that are helpful in understanding and treating cancers affecting the esophagus, stomach, liver, gallbladder and biliary tree, pancreas, small bowel, large bowel, rectum, and anus. In addition, the Journal of Gastrointestinal Cancer publishes basic and translational scientific information from studies providing insight into the etiology and progression of cancers affecting these organs. New insights are provided from diverse areas of research such as studies exploring pre-neoplastic states, risk factors, epidemiology, genetics, preclinical therapeutics, surgery, radiation therapy, novel medical therapeutics, clinical trials, and outcome studies.In addition to reports of original clinical and experimental studies, the journal also publishes: case reports, state-of-the-art reviews on topics of immediate interest or importance; invited articles analyzing particular areas of pancreatic research and knowledge; perspectives in which critical evaluation and conflicting opinions about current topics may be expressed; meeting highlights that summarize important points presented at recent meetings; abstracts of symposia and conferences; book reviews; hypotheses; Letters to the Editors; and other items of special interest, including:Complex Cases in GI Oncology:  This is a new initiative to provide a forum to review and discuss the history and management of complex and involved gastrointestinal oncology cases. The format will be similar to a teaching case conference where a case vignette is presented and is followed by a series of questions and discussion points. A brief reference list supporting the points made in discussion would be expected.
×
引用
GB/T 7714-2015
复制
MLA
复制
APA
复制
导出至
BibTeX EndNote RefMan NoteFirst NoteExpress
×
提示
您的信息不完整,为了账户安全,请先补充。
现在去补充
×
提示
您因"违规操作"
具体请查看互助需知
我知道了
×
提示
确定
请完成安全验证×
copy
已复制链接
快去分享给好友吧!
我知道了
右上角分享
点击右上角分享
0
联系我们:info@booksci.cn Book学术提供免费学术资源搜索服务,方便国内外学者检索中英文文献。致力于提供最便捷和优质的服务体验。 Copyright © 2023 布克学术 All rights reserved.
京ICP备2023020795号-1
ghs 京公网安备 11010802042870号
Book学术文献互助
Book学术文献互助群
群 号:604180095
Book学术官方微信