跟骨与创伤性应力性骨折。

Elizabeth Jelpke, Saphalya Pattnaik, Gur Aziz Sidhu
{"title":"跟骨与创伤性应力性骨折。","authors":"Elizabeth Jelpke, Saphalya Pattnaik, Gur Aziz Sidhu","doi":"10.13107/jocr.2025.v15.i09.6062","DOIUrl":null,"url":null,"abstract":"<p><strong>Introduction: </strong>Although uncommon, the calcaneus stress fracture is an important differential diagnosis of both traumatic and non-traumatic foot pain. The calcaneus is one of the tarsal bones that are prone to stress fractures, which usually occur as a result of overuse. The diagnosis of stress fractures is aided by plain radiographs, with the mainstay of management usually conservative.</p><p><strong>Case report: </strong>This case report is of a 57-year-old female who presented with instant left-sided heel pain after stepping off a step at home. Investigations included plain radiographs of the left foot and ankle, with no obvious fractures visible. As a result, a magnetic resonance imaging was obtained, which confirmed a stress fracture of the left os calcis. Management remained conservative, with the patient placed in an ankle boot for 4-6 weeks with non-weight bearing instructions provided. Heel pain can be caused by a stress fracture of the calcaneus, and although these injuries are usually caused by repetitive forces, this case study provides a reminder that they can also be caused by acute trauma.</p><p><strong>Conclusion: </strong>Calcaneal stress fractures, typically due to overuse, can also result from acute trauma and may require MRI for diagnosis when plain radiographs are inconclusive. The mainstay of treatment is conservative management.</p>","PeriodicalId":16647,"journal":{"name":"Journal of Orthopaedic Case Reports","volume":"15 9","pages":"185-187"},"PeriodicalIF":0.0000,"publicationDate":"2025-09-01","publicationTypes":"Journal Article","fieldsOfStudy":null,"isOpenAccess":false,"openAccessPdf":"https://www.ncbi.nlm.nih.gov/pmc/articles/PMC12422668/pdf/","citationCount":"0","resultStr":"{\"title\":\"Calcaneus and Traumatic Stress Fracture.\",\"authors\":\"Elizabeth Jelpke, Saphalya Pattnaik, Gur Aziz Sidhu\",\"doi\":\"10.13107/jocr.2025.v15.i09.6062\",\"DOIUrl\":null,\"url\":null,\"abstract\":\"<p><strong>Introduction: </strong>Although uncommon, the calcaneus stress fracture is an important differential diagnosis of both traumatic and non-traumatic foot pain. The calcaneus is one of the tarsal bones that are prone to stress fractures, which usually occur as a result of overuse. The diagnosis of stress fractures is aided by plain radiographs, with the mainstay of management usually conservative.</p><p><strong>Case report: </strong>This case report is of a 57-year-old female who presented with instant left-sided heel pain after stepping off a step at home. Investigations included plain radiographs of the left foot and ankle, with no obvious fractures visible. As a result, a magnetic resonance imaging was obtained, which confirmed a stress fracture of the left os calcis. Management remained conservative, with the patient placed in an ankle boot for 4-6 weeks with non-weight bearing instructions provided. Heel pain can be caused by a stress fracture of the calcaneus, and although these injuries are usually caused by repetitive forces, this case study provides a reminder that they can also be caused by acute trauma.</p><p><strong>Conclusion: </strong>Calcaneal stress fractures, typically due to overuse, can also result from acute trauma and may require MRI for diagnosis when plain radiographs are inconclusive. The mainstay of treatment is conservative management.</p>\",\"PeriodicalId\":16647,\"journal\":{\"name\":\"Journal of Orthopaedic Case Reports\",\"volume\":\"15 9\",\"pages\":\"185-187\"},\"PeriodicalIF\":0.0000,\"publicationDate\":\"2025-09-01\",\"publicationTypes\":\"Journal Article\",\"fieldsOfStudy\":null,\"isOpenAccess\":false,\"openAccessPdf\":\"https://www.ncbi.nlm.nih.gov/pmc/articles/PMC12422668/pdf/\",\"citationCount\":\"0\",\"resultStr\":null,\"platform\":\"Semanticscholar\",\"paperid\":null,\"PeriodicalName\":\"Journal of Orthopaedic Case Reports\",\"FirstCategoryId\":\"1085\",\"ListUrlMain\":\"https://doi.org/10.13107/jocr.2025.v15.i09.6062\",\"RegionNum\":0,\"RegionCategory\":null,\"ArticlePicture\":[],\"TitleCN\":null,\"AbstractTextCN\":null,\"PMCID\":null,\"EPubDate\":\"\",\"PubModel\":\"\",\"JCR\":\"\",\"JCRName\":\"\",\"Score\":null,\"Total\":0}","platform":"Semanticscholar","paperid":null,"PeriodicalName":"Journal of Orthopaedic Case Reports","FirstCategoryId":"1085","ListUrlMain":"https://doi.org/10.13107/jocr.2025.v15.i09.6062","RegionNum":0,"RegionCategory":null,"ArticlePicture":[],"TitleCN":null,"AbstractTextCN":null,"PMCID":null,"EPubDate":"","PubModel":"","JCR":"","JCRName":"","Score":null,"Total":0}
引用次数: 0

摘要

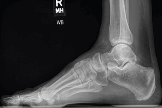
虽然不常见,但跟骨应力性骨折是创伤性和非创伤性足部疼痛的重要鉴别诊断。跟骨是容易发生应力性骨折的跗骨之一,这通常是过度使用的结果。应力性骨折的诊断需要x线平片辅助,主要的治疗方法通常是保守治疗。病例报告:本病例报告是一位57岁的女性,她在家里走下台阶后立即出现左脚跟疼痛。检查包括左脚和脚踝的x线平片,未见明显骨折。结果,磁共振成像证实了左骨钙的应力性骨折。治疗仍然是保守的,将患者置于踝靴中4-6周,并提供非负重指导。跟骨应力性骨折可引起足跟疼痛,尽管这些损伤通常是由重复性力引起的,但本病例研究提醒我们,它们也可能由急性创伤引起。结论:跟骨应力性骨折,通常是由于过度使用,也可以由急性创伤引起,当x线平片不能确定时,可能需要MRI诊断。主要的治疗方法是保守治疗。
本文章由计算机程序翻译,如有差异,请以英文原文为准。

Calcaneus and Traumatic Stress Fracture.

Calcaneus and Traumatic Stress Fracture.

Calcaneus and Traumatic Stress Fracture.

Calcaneus and Traumatic Stress Fracture.

Introduction: Although uncommon, the calcaneus stress fracture is an important differential diagnosis of both traumatic and non-traumatic foot pain. The calcaneus is one of the tarsal bones that are prone to stress fractures, which usually occur as a result of overuse. The diagnosis of stress fractures is aided by plain radiographs, with the mainstay of management usually conservative.

Case report: This case report is of a 57-year-old female who presented with instant left-sided heel pain after stepping off a step at home. Investigations included plain radiographs of the left foot and ankle, with no obvious fractures visible. As a result, a magnetic resonance imaging was obtained, which confirmed a stress fracture of the left os calcis. Management remained conservative, with the patient placed in an ankle boot for 4-6 weeks with non-weight bearing instructions provided. Heel pain can be caused by a stress fracture of the calcaneus, and although these injuries are usually caused by repetitive forces, this case study provides a reminder that they can also be caused by acute trauma.

Conclusion: Calcaneal stress fractures, typically due to overuse, can also result from acute trauma and may require MRI for diagnosis when plain radiographs are inconclusive. The mainstay of treatment is conservative management.

求助全文
通过发布文献求助,成功后即可免费获取论文全文。 去求助
来源期刊
自引率
0.00%
发文量
128
审稿时长
30 weeks
×
引用
GB/T 7714-2015
复制
MLA
复制
APA
复制
导出至
BibTeX EndNote RefMan NoteFirst NoteExpress
×
提示
您的信息不完整,为了账户安全,请先补充。
现在去补充
×
提示
您因"违规操作"
具体请查看互助需知
我知道了
×
提示
确定
请完成安全验证×
copy
已复制链接
快去分享给好友吧!
我知道了
右上角分享
点击右上角分享
0
联系我们:info@booksci.cn Book学术提供免费学术资源搜索服务,方便国内外学者检索中英文文献。致力于提供最便捷和优质的服务体验。 Copyright © 2023 布克学术 All rights reserved.
京ICP备2023020795号-1
ghs 京公网安备 11010802042870号
Book学术文献互助
Book学术文献互助群
群 号:604180095
Book学术官方微信