跟骨巨细胞肿瘤伪装为踝关节外侧扭伤-一例罕见病例报告及文献复习。

Eshaan Mishra, Nirmal Chandra Mohapatra, Soumitesh Sibananda Das, Archana Mishra
{"title":"跟骨巨细胞肿瘤伪装为踝关节外侧扭伤-一例罕见病例报告及文献复习。","authors":"Eshaan Mishra, Nirmal Chandra Mohapatra, Soumitesh Sibananda Das, Archana Mishra","doi":"10.13107/jocr.2025.v15.i09.6076","DOIUrl":null,"url":null,"abstract":"<p><strong>Introduction: </strong>Giant cell tumor (GCT) of bone is one of the most commonly encountered bone tumors in any orthopedic surgeon's routine practice. Although in most instances the age, sex, location, and clinical presentation are typical there is always a chance of encountering an atypical case with an anomalous presentation.</p><p><strong>Case report: </strong>Benign bone tumors such as GCT are often diagnosed with a symptomatology typical of bone tumors, however, there have been many reported cases wherein they were diagnosed incidentally as part of investigation into a different disease manifestation. These nuances are of more significance in case of GCT as it is a benign aggressive tumor and the prognosis after treatment is highly dependent on earlier diagnosis allowing for increased chances at limb salvage and functional restoration as compared to more radical treatment options.Lateral ankle sprain is a commonly encountered disease entity and, as such, enjoys a very benign progression with conservative management.Our patient was initially diagnosed on outpatient basis as a case of ankle sprain based on the history and clinical features, However, worsening of symptoms on conservative management prompted us toward the presence of a more sinister pathology. Subsequent radiological and histopathological investigations helped in the definitive diagnosis of GCT of calcaneus.</p><p><strong>Conclusion: </strong>We present to you a case of calcaneal GCT masquerading as lateral ankle sprain which is a rare presentation and such cases need to be evaluated meticulously with respect to their diagnostic algorithm and treatment challenges.</p>","PeriodicalId":16647,"journal":{"name":"Journal of Orthopaedic Case Reports","volume":"15 9","pages":"219-223"},"PeriodicalIF":0.0000,"publicationDate":"2025-09-01","publicationTypes":"Journal Article","fieldsOfStudy":null,"isOpenAccess":false,"openAccessPdf":"https://www.ncbi.nlm.nih.gov/pmc/articles/PMC12422643/pdf/","citationCount":"0","resultStr":"{\"title\":\"Calcaneal Giant Cell Tumor Masquerading as Lateral Ankle Sprain - A Rare Case Report and Review of Literature.\",\"authors\":\"Eshaan Mishra, Nirmal Chandra Mohapatra, Soumitesh Sibananda Das, Archana Mishra\",\"doi\":\"10.13107/jocr.2025.v15.i09.6076\",\"DOIUrl\":null,\"url\":null,\"abstract\":\"<p><strong>Introduction: </strong>Giant cell tumor (GCT) of bone is one of the most commonly encountered bone tumors in any orthopedic surgeon's routine practice. Although in most instances the age, sex, location, and clinical presentation are typical there is always a chance of encountering an atypical case with an anomalous presentation.</p><p><strong>Case report: </strong>Benign bone tumors such as GCT are often diagnosed with a symptomatology typical of bone tumors, however, there have been many reported cases wherein they were diagnosed incidentally as part of investigation into a different disease manifestation. These nuances are of more significance in case of GCT as it is a benign aggressive tumor and the prognosis after treatment is highly dependent on earlier diagnosis allowing for increased chances at limb salvage and functional restoration as compared to more radical treatment options.Lateral ankle sprain is a commonly encountered disease entity and, as such, enjoys a very benign progression with conservative management.Our patient was initially diagnosed on outpatient basis as a case of ankle sprain based on the history and clinical features, However, worsening of symptoms on conservative management prompted us toward the presence of a more sinister pathology. Subsequent radiological and histopathological investigations helped in the definitive diagnosis of GCT of calcaneus.</p><p><strong>Conclusion: </strong>We present to you a case of calcaneal GCT masquerading as lateral ankle sprain which is a rare presentation and such cases need to be evaluated meticulously with respect to their diagnostic algorithm and treatment challenges.</p>\",\"PeriodicalId\":16647,\"journal\":{\"name\":\"Journal of Orthopaedic Case Reports\",\"volume\":\"15 9\",\"pages\":\"219-223\"},\"PeriodicalIF\":0.0000,\"publicationDate\":\"2025-09-01\",\"publicationTypes\":\"Journal Article\",\"fieldsOfStudy\":null,\"isOpenAccess\":false,\"openAccessPdf\":\"https://www.ncbi.nlm.nih.gov/pmc/articles/PMC12422643/pdf/\",\"citationCount\":\"0\",\"resultStr\":null,\"platform\":\"Semanticscholar\",\"paperid\":null,\"PeriodicalName\":\"Journal of Orthopaedic Case Reports\",\"FirstCategoryId\":\"1085\",\"ListUrlMain\":\"https://doi.org/10.13107/jocr.2025.v15.i09.6076\",\"RegionNum\":0,\"RegionCategory\":null,\"ArticlePicture\":[],\"TitleCN\":null,\"AbstractTextCN\":null,\"PMCID\":null,\"EPubDate\":\"\",\"PubModel\":\"\",\"JCR\":\"\",\"JCRName\":\"\",\"Score\":null,\"Total\":0}","platform":"Semanticscholar","paperid":null,"PeriodicalName":"Journal of Orthopaedic Case Reports","FirstCategoryId":"1085","ListUrlMain":"https://doi.org/10.13107/jocr.2025.v15.i09.6076","RegionNum":0,"RegionCategory":null,"ArticlePicture":[],"TitleCN":null,"AbstractTextCN":null,"PMCID":null,"EPubDate":"","PubModel":"","JCR":"","JCRName":"","Score":null,"Total":0}
引用次数: 0

摘要

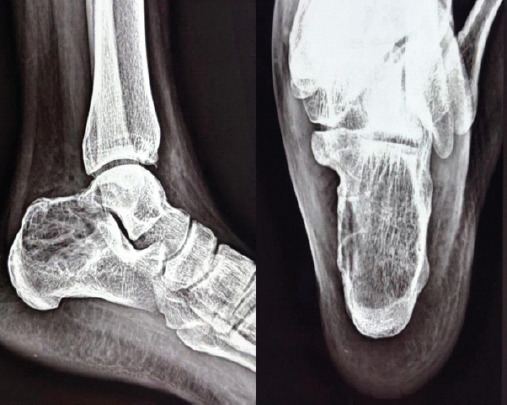
骨巨细胞瘤(GCT)是骨科医生常规手术中最常见的骨肿瘤之一。虽然在大多数情况下,年龄,性别,位置和临床表现是典型的,但总是有机会遇到一个异常表现的非典型病例。病例报告:良性骨肿瘤如GCT通常被诊断为典型的骨肿瘤症状,然而,也有许多报道的病例,其中他们被偶然诊断为不同疾病表现的调查的一部分。这些细微差别在GCT的情况下更为重要,因为它是一种良性侵袭性肿瘤,治疗后的预后高度依赖于早期诊断,与更激进的治疗方案相比,早期诊断可以增加肢体保留和功能恢复的机会。外侧踝关节扭伤是一种常见的疾病,因此,在保守治疗的情况下,其进展非常良性。根据病史和临床特征,患者最初在门诊被诊断为踝关节扭伤病例,然而,保守治疗后症状的恶化促使我们认为存在更险恶的病理。随后的放射学和组织病理学检查有助于跟骨GCT的明确诊断。结论:我们向您报告一例伪装为踝关节外侧扭伤的跟骨GCT,这是一种罕见的表现,此类病例需要仔细评估其诊断算法和治疗挑战。
本文章由计算机程序翻译,如有差异,请以英文原文为准。

Calcaneal Giant Cell Tumor Masquerading as Lateral Ankle Sprain - A Rare Case Report and Review of Literature.

Calcaneal Giant Cell Tumor Masquerading as Lateral Ankle Sprain - A Rare Case Report and Review of Literature.

Calcaneal Giant Cell Tumor Masquerading as Lateral Ankle Sprain - A Rare Case Report and Review of Literature.

Calcaneal Giant Cell Tumor Masquerading as Lateral Ankle Sprain - A Rare Case Report and Review of Literature.

Introduction: Giant cell tumor (GCT) of bone is one of the most commonly encountered bone tumors in any orthopedic surgeon's routine practice. Although in most instances the age, sex, location, and clinical presentation are typical there is always a chance of encountering an atypical case with an anomalous presentation.

Case report: Benign bone tumors such as GCT are often diagnosed with a symptomatology typical of bone tumors, however, there have been many reported cases wherein they were diagnosed incidentally as part of investigation into a different disease manifestation. These nuances are of more significance in case of GCT as it is a benign aggressive tumor and the prognosis after treatment is highly dependent on earlier diagnosis allowing for increased chances at limb salvage and functional restoration as compared to more radical treatment options.Lateral ankle sprain is a commonly encountered disease entity and, as such, enjoys a very benign progression with conservative management.Our patient was initially diagnosed on outpatient basis as a case of ankle sprain based on the history and clinical features, However, worsening of symptoms on conservative management prompted us toward the presence of a more sinister pathology. Subsequent radiological and histopathological investigations helped in the definitive diagnosis of GCT of calcaneus.

Conclusion: We present to you a case of calcaneal GCT masquerading as lateral ankle sprain which is a rare presentation and such cases need to be evaluated meticulously with respect to their diagnostic algorithm and treatment challenges.

求助全文
通过发布文献求助,成功后即可免费获取论文全文。 去求助
来源期刊
自引率
0.00%
发文量
128
审稿时长
30 weeks
×
引用
GB/T 7714-2015
复制
MLA
复制
APA
复制
导出至
BibTeX EndNote RefMan NoteFirst NoteExpress
×
提示
您的信息不完整,为了账户安全,请先补充。
现在去补充
×
提示
您因"违规操作"
具体请查看互助需知
我知道了
×
提示
确定
请完成安全验证×
copy
已复制链接
快去分享给好友吧!
我知道了
右上角分享
点击右上角分享
0
联系我们:info@booksci.cn Book学术提供免费学术资源搜索服务,方便国内外学者检索中英文文献。致力于提供最便捷和优质的服务体验。 Copyright © 2023 布克学术 All rights reserved.
京ICP备2023020795号-1
ghs 京公网安备 11010802042870号
Book学术文献互助
Book学术文献互助群
群 号:604180095
Book学术官方微信