大学运动员慢性股直肌近端撕裂的手术治疗:1例报告。

Andrew S Cuthbert, Deaquan J Nichols, Zylyftar Gorica, Glenn E Lee, J Brett Goodloe
{"title":"大学运动员慢性股直肌近端撕裂的手术治疗:1例报告。","authors":"Andrew S Cuthbert, Deaquan J Nichols, Zylyftar Gorica, Glenn E Lee, J Brett Goodloe","doi":"10.13107/jocr.2025.v15.i09.6010","DOIUrl":null,"url":null,"abstract":"<p><strong>Introduction: </strong>Chronic tears of the rectus femoris (RF) are common injuries in sports involving sprinting and jumping; however, there is limited data on management and surgical indications. This holds particularly true with severe and recurrent injuries. Conservative treatment with rest and physical therapy (PT) or surgical management with excision versus repair are current options. We present a case of a chronic tear of the RF that failed extensive conservative management and subsequently underwent pseudotumor excision and direct tendon-to-tendon repair with successful return to sport.</p><p><strong>Case report: </strong>This case report describes a chronic injury to the indirect head of the RF in a 21-year-old softball player. The insidious onset was characterized by pain, edema, intramuscular hematoma, and decreased range of motion. The patient failed extensive conservative treatment, including 12 months of medication, PT, and activity modification. Surgical intervention and rehabilitation enabled the athlete to return to collegiate sport at the Division I level.</p><p><strong>Conclusion: </strong>Surgical debridement with primary tendon-to-tendon repair of a chronic tear of the RF that fails conservative treatment may allow a quick return to sport at pre-injury level.</p>","PeriodicalId":16647,"journal":{"name":"Journal of Orthopaedic Case Reports","volume":"15 9","pages":"47-51"},"PeriodicalIF":0.0000,"publicationDate":"2025-09-01","publicationTypes":"Journal Article","fieldsOfStudy":null,"isOpenAccess":false,"openAccessPdf":"https://www.ncbi.nlm.nih.gov/pmc/articles/PMC12422667/pdf/","citationCount":"0","resultStr":"{\"title\":\"Operative Management of a Chronic Proximal Rectus Femoris Muscle Tear in a Collegiate Athlete: A Case Report.\",\"authors\":\"Andrew S Cuthbert, Deaquan J Nichols, Zylyftar Gorica, Glenn E Lee, J Brett Goodloe\",\"doi\":\"10.13107/jocr.2025.v15.i09.6010\",\"DOIUrl\":null,\"url\":null,\"abstract\":\"<p><strong>Introduction: </strong>Chronic tears of the rectus femoris (RF) are common injuries in sports involving sprinting and jumping; however, there is limited data on management and surgical indications. This holds particularly true with severe and recurrent injuries. Conservative treatment with rest and physical therapy (PT) or surgical management with excision versus repair are current options. We present a case of a chronic tear of the RF that failed extensive conservative management and subsequently underwent pseudotumor excision and direct tendon-to-tendon repair with successful return to sport.</p><p><strong>Case report: </strong>This case report describes a chronic injury to the indirect head of the RF in a 21-year-old softball player. The insidious onset was characterized by pain, edema, intramuscular hematoma, and decreased range of motion. The patient failed extensive conservative treatment, including 12 months of medication, PT, and activity modification. Surgical intervention and rehabilitation enabled the athlete to return to collegiate sport at the Division I level.</p><p><strong>Conclusion: </strong>Surgical debridement with primary tendon-to-tendon repair of a chronic tear of the RF that fails conservative treatment may allow a quick return to sport at pre-injury level.</p>\",\"PeriodicalId\":16647,\"journal\":{\"name\":\"Journal of Orthopaedic Case Reports\",\"volume\":\"15 9\",\"pages\":\"47-51\"},\"PeriodicalIF\":0.0000,\"publicationDate\":\"2025-09-01\",\"publicationTypes\":\"Journal Article\",\"fieldsOfStudy\":null,\"isOpenAccess\":false,\"openAccessPdf\":\"https://www.ncbi.nlm.nih.gov/pmc/articles/PMC12422667/pdf/\",\"citationCount\":\"0\",\"resultStr\":null,\"platform\":\"Semanticscholar\",\"paperid\":null,\"PeriodicalName\":\"Journal of Orthopaedic Case Reports\",\"FirstCategoryId\":\"1085\",\"ListUrlMain\":\"https://doi.org/10.13107/jocr.2025.v15.i09.6010\",\"RegionNum\":0,\"RegionCategory\":null,\"ArticlePicture\":[],\"TitleCN\":null,\"AbstractTextCN\":null,\"PMCID\":null,\"EPubDate\":\"\",\"PubModel\":\"\",\"JCR\":\"\",\"JCRName\":\"\",\"Score\":null,\"Total\":0}","platform":"Semanticscholar","paperid":null,"PeriodicalName":"Journal of Orthopaedic Case Reports","FirstCategoryId":"1085","ListUrlMain":"https://doi.org/10.13107/jocr.2025.v15.i09.6010","RegionNum":0,"RegionCategory":null,"ArticlePicture":[],"TitleCN":null,"AbstractTextCN":null,"PMCID":null,"EPubDate":"","PubModel":"","JCR":"","JCRName":"","Score":null,"Total":0}
引用次数: 0

摘要

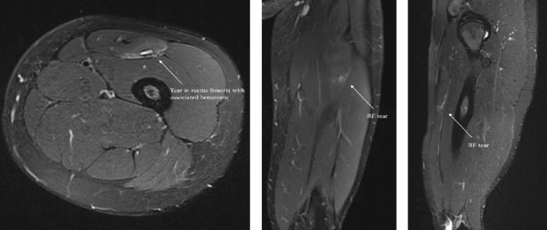
简介:慢性股直肌撕裂(RF)是短跑和跳跃运动中常见的损伤;然而,关于治疗和手术指征的数据有限。对于严重和复发性损伤尤其如此。保守治疗包括休息和物理治疗(PT)或手术切除与修复是目前的选择。我们报告了一例慢性肌腱撕裂的病例,该病例未能进行广泛的保守治疗,随后接受了假肿瘤切除和直接肌腱-肌腱修复,并成功地恢复了运动。病例报告:这个病例报告描述了一个21岁的垒球运动员RF间接头部的慢性损伤。潜伏发作的特点是疼痛、水肿、肌肉内血肿和活动范围减小。患者未能接受广泛的保守治疗,包括12个月的药物治疗、PT和活动调节。手术干预和康复使运动员能够回到大学一级运动水平。结论:对保守治疗失败的RF慢性撕裂进行手术清创和初级肌腱-肌腱修复可以使患者快速恢复到损伤前的运动水平。
本文章由计算机程序翻译,如有差异,请以英文原文为准。

Operative Management of a Chronic Proximal Rectus Femoris Muscle Tear in a Collegiate Athlete: A Case Report.

Operative Management of a Chronic Proximal Rectus Femoris Muscle Tear in a Collegiate Athlete: A Case Report.

Operative Management of a Chronic Proximal Rectus Femoris Muscle Tear in a Collegiate Athlete: A Case Report.

Operative Management of a Chronic Proximal Rectus Femoris Muscle Tear in a Collegiate Athlete: A Case Report.

Introduction: Chronic tears of the rectus femoris (RF) are common injuries in sports involving sprinting and jumping; however, there is limited data on management and surgical indications. This holds particularly true with severe and recurrent injuries. Conservative treatment with rest and physical therapy (PT) or surgical management with excision versus repair are current options. We present a case of a chronic tear of the RF that failed extensive conservative management and subsequently underwent pseudotumor excision and direct tendon-to-tendon repair with successful return to sport.

Case report: This case report describes a chronic injury to the indirect head of the RF in a 21-year-old softball player. The insidious onset was characterized by pain, edema, intramuscular hematoma, and decreased range of motion. The patient failed extensive conservative treatment, including 12 months of medication, PT, and activity modification. Surgical intervention and rehabilitation enabled the athlete to return to collegiate sport at the Division I level.

Conclusion: Surgical debridement with primary tendon-to-tendon repair of a chronic tear of the RF that fails conservative treatment may allow a quick return to sport at pre-injury level.

求助全文
通过发布文献求助,成功后即可免费获取论文全文。 去求助
来源期刊
自引率
0.00%
发文量
128
审稿时长
30 weeks
×
引用
GB/T 7714-2015
复制
MLA
复制
APA
复制
导出至
BibTeX EndNote RefMan NoteFirst NoteExpress
×
提示
您的信息不完整,为了账户安全,请先补充。
现在去补充
×
提示
您因"违规操作"
具体请查看互助需知
我知道了
×
提示
确定
请完成安全验证×
copy
已复制链接
快去分享给好友吧!
我知道了
右上角分享
点击右上角分享
0
联系我们:info@booksci.cn Book学术提供免费学术资源搜索服务,方便国内外学者检索中英文文献。致力于提供最便捷和优质的服务体验。 Copyright © 2023 布克学术 All rights reserved.
京ICP备2023020795号-1
ghs 京公网安备 11010802042870号
Book学术文献互助
Book学术文献互助群
群 号:604180095
Book学术官方微信