CD40LG基因新半合子致病性变异的x连锁高igm免疫缺陷患者获得性肾淀粉样变性

Case Reports in Nephrology Pub Date : 2025-09-02 eCollection Date: 2025-01-01 DOI:10.1155/crin/6664645
Daniel Celis-Giraldo, Deider Steeven García-Villamizar, Camilo Parra-Amaris, Diana Carolina Gutiérrez-González, Daniel Rodríguez-Peralta
{"title":"CD40LG基因新半合子致病性变异的x连锁高igm免疫缺陷患者获得性肾淀粉样变性","authors":"Daniel Celis-Giraldo, Deider Steeven García-Villamizar, Camilo Parra-Amaris, Diana Carolina Gutiérrez-González, Daniel Rodríguez-Peralta","doi":"10.1155/crin/6664645","DOIUrl":null,"url":null,"abstract":"<p><p><b>Introduction:</b> Renal AA amyloidosis with X-linked hyper-IgM immunodeficiency is rare diseases, and their simultaneous presentation in the same patient is exceptional. <b>Case Presentation:</b> We present a case of renal AA amyloidosis in a 20-year-old man with nephrotic syndrome and reduced glomerular filtration rate (GFR). Clinically, serologically, histopathological, and genetically, we confirm renal amyloidosis in the presence of X-linked hyper-IgM syndrome; in turn, we detected a new hemizygous pathogenic variant in the CD40L gene (c.345delA). <b>Conclusion:</b> Our hypothesis suggests that these conditions predisposed the patient to a combined (cellular and humoral) immunodeficiency, leading to recurrent infectious episodes throughout his life, ultimately resulting in renal amyloidosis due to deposition of serum amyloid protein.</p>","PeriodicalId":9604,"journal":{"name":"Case Reports in Nephrology","volume":"2025 ","pages":"6664645"},"PeriodicalIF":0.0000,"publicationDate":"2025-09-02","publicationTypes":"Journal Article","fieldsOfStudy":null,"isOpenAccess":false,"openAccessPdf":"https://www.ncbi.nlm.nih.gov/pmc/articles/PMC12419936/pdf/","citationCount":"0","resultStr":"{\"title\":\"Acquired Renal Amyloidosis in a Patient With X-Linked Hyper-IgM Immunodeficiency With Novel Hemizygotic Pathogenic Variant in CD40LG Gene.\",\"authors\":\"Daniel Celis-Giraldo, Deider Steeven García-Villamizar, Camilo Parra-Amaris, Diana Carolina Gutiérrez-González, Daniel Rodríguez-Peralta\",\"doi\":\"10.1155/crin/6664645\",\"DOIUrl\":null,\"url\":null,\"abstract\":\"<p><p><b>Introduction:</b> Renal AA amyloidosis with X-linked hyper-IgM immunodeficiency is rare diseases, and their simultaneous presentation in the same patient is exceptional. <b>Case Presentation:</b> We present a case of renal AA amyloidosis in a 20-year-old man with nephrotic syndrome and reduced glomerular filtration rate (GFR). Clinically, serologically, histopathological, and genetically, we confirm renal amyloidosis in the presence of X-linked hyper-IgM syndrome; in turn, we detected a new hemizygous pathogenic variant in the CD40L gene (c.345delA). <b>Conclusion:</b> Our hypothesis suggests that these conditions predisposed the patient to a combined (cellular and humoral) immunodeficiency, leading to recurrent infectious episodes throughout his life, ultimately resulting in renal amyloidosis due to deposition of serum amyloid protein.</p>\",\"PeriodicalId\":9604,\"journal\":{\"name\":\"Case Reports in Nephrology\",\"volume\":\"2025 \",\"pages\":\"6664645\"},\"PeriodicalIF\":0.0000,\"publicationDate\":\"2025-09-02\",\"publicationTypes\":\"Journal Article\",\"fieldsOfStudy\":null,\"isOpenAccess\":false,\"openAccessPdf\":\"https://www.ncbi.nlm.nih.gov/pmc/articles/PMC12419936/pdf/\",\"citationCount\":\"0\",\"resultStr\":null,\"platform\":\"Semanticscholar\",\"paperid\":null,\"PeriodicalName\":\"Case Reports in Nephrology\",\"FirstCategoryId\":\"1085\",\"ListUrlMain\":\"https://doi.org/10.1155/crin/6664645\",\"RegionNum\":0,\"RegionCategory\":null,\"ArticlePicture\":[],\"TitleCN\":null,\"AbstractTextCN\":null,\"PMCID\":null,\"EPubDate\":\"2025/1/1 0:00:00\",\"PubModel\":\"eCollection\",\"JCR\":\"\",\"JCRName\":\"\",\"Score\":null,\"Total\":0}","platform":"Semanticscholar","paperid":null,"PeriodicalName":"Case Reports in Nephrology","FirstCategoryId":"1085","ListUrlMain":"https://doi.org/10.1155/crin/6664645","RegionNum":0,"RegionCategory":null,"ArticlePicture":[],"TitleCN":null,"AbstractTextCN":null,"PMCID":null,"EPubDate":"2025/1/1 0:00:00","PubModel":"eCollection","JCR":"","JCRName":"","Score":null,"Total":0}
引用次数: 0

摘要

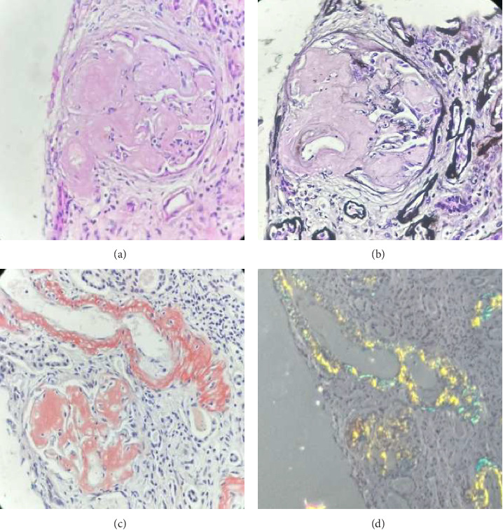
肾AA淀粉样变性伴x连锁高igm免疫缺陷是一种罕见的疾病,在同一患者中同时出现是例外。病例介绍:我们报告一例20岁男性肾病综合征并发肾小球滤过率(GFR)降低的肾AA淀粉样变。临床,血清学,组织病理学和遗传学,我们证实肾淀粉样变性存在x连锁高igm综合征;反过来,我们在CD40L基因中检测到一种新的半合子致病变异(c.345delA)。结论:我们的假设表明,这些情况使患者易患(细胞和体液)联合免疫缺陷,导致其一生中反复发作感染,最终由于血清淀粉样蛋白沉积而导致肾脏淀粉样变性。
本文章由计算机程序翻译,如有差异,请以英文原文为准。

Acquired Renal Amyloidosis in a Patient With X-Linked Hyper-IgM Immunodeficiency With Novel Hemizygotic Pathogenic Variant in CD40LG Gene.

Acquired Renal Amyloidosis in a Patient With X-Linked Hyper-IgM Immunodeficiency With Novel Hemizygotic Pathogenic Variant in CD40LG Gene.

Acquired Renal Amyloidosis in a Patient With X-Linked Hyper-IgM Immunodeficiency With Novel Hemizygotic Pathogenic Variant in CD40LG Gene.

Acquired Renal Amyloidosis in a Patient With X-Linked Hyper-IgM Immunodeficiency With Novel Hemizygotic Pathogenic Variant in CD40LG Gene.

Introduction: Renal AA amyloidosis with X-linked hyper-IgM immunodeficiency is rare diseases, and their simultaneous presentation in the same patient is exceptional. Case Presentation: We present a case of renal AA amyloidosis in a 20-year-old man with nephrotic syndrome and reduced glomerular filtration rate (GFR). Clinically, serologically, histopathological, and genetically, we confirm renal amyloidosis in the presence of X-linked hyper-IgM syndrome; in turn, we detected a new hemizygous pathogenic variant in the CD40L gene (c.345delA). Conclusion: Our hypothesis suggests that these conditions predisposed the patient to a combined (cellular and humoral) immunodeficiency, leading to recurrent infectious episodes throughout his life, ultimately resulting in renal amyloidosis due to deposition of serum amyloid protein.

求助全文
通过发布文献求助,成功后即可免费获取论文全文。 去求助
来源期刊
Case Reports in Nephrology
Case Reports in Nephrology Medicine-Nephrology
CiteScore
1.70
自引率
0.00%
发文量
32
×
引用
GB/T 7714-2015
复制
MLA
复制
APA
复制
导出至
BibTeX EndNote RefMan NoteFirst NoteExpress
×
提示
您的信息不完整,为了账户安全,请先补充。
现在去补充
×
提示
您因"违规操作"
具体请查看互助需知
我知道了
×
提示
确定
请完成安全验证×
copy
已复制链接
快去分享给好友吧!
我知道了
右上角分享
点击右上角分享
0
联系我们:info@booksci.cn Book学术提供免费学术资源搜索服务,方便国内外学者检索中英文文献。致力于提供最便捷和优质的服务体验。 Copyright © 2023 布克学术 All rights reserved.
京ICP备2023020795号-1
ghs 京公网安备 11010802042870号
Book学术文献互助
Book学术文献互助群
群 号:604180095
Book学术官方微信