补体因子I缺乏伴急性出血性脑白质炎和纵向广泛横断面脊髓炎1例报告。

IF 7.5 1区 医学 Q1 CLINICAL NEUROLOGY
Tiffany Hu, Javier Rodriguez, Lara L Zimmermann, Ryan Martin, Krupa Savalia, Anh P Nguyen, Han Lee, Joseph J Shen, Robyn Stoianovici, Mary Karalius, Sukhman Sidhu, Chloe Gerungan, Ariane Soldatos, Jeffrey M Gelfand, Michael R Wilson, Jeffrey R Vitt
{"title":"补体因子I缺乏伴急性出血性脑白质炎和纵向广泛横断面脊髓炎1例报告。","authors":"Tiffany Hu, Javier Rodriguez, Lara L Zimmermann, Ryan Martin, Krupa Savalia, Anh P Nguyen, Han Lee, Joseph J Shen, Robyn Stoianovici, Mary Karalius, Sukhman Sidhu, Chloe Gerungan, Ariane Soldatos, Jeffrey M Gelfand, Michael R Wilson, Jeffrey R Vitt","doi":"10.1212/NXI.0000000000200475","DOIUrl":null,"url":null,"abstract":"<p><strong>Objectives: </strong>Complement factor I (CFI) deficiency is a rare condition that can present with fulminant relapsing CNS autoinflammation. In this report, we highlight the utility of genetic testing in unexplained CNS autoinflammation.</p><p><strong>Methods: </strong>This case report describes a young adult with partial CFI deficiency, presenting with acute hemorrhagic leukoencephalitis and longitudinally extensive transverse myelitis.</p><p><strong>Results: </strong>In this case of unexplained CNS autoinflammation, in-hospital whole-genome sequencing and complement testing revealed partial CFI deficiency. CSF profiling during flares showed increased neutrophils and proinflammatory cytokines. CSF gene expression profiling more closely aligned with cases of bacterial meningitis than autoimmune encephalitis, consistent with innate immune system hyperactivity. Emergent IL-1 receptor antagonism led to sustained suppression of further immunologic attacks.</p><p><strong>Discussion: </strong>Our case describes a presentation of CFI deficiency with fulminant and relapsing CNS autoinflammation. These flares were temporally associated with infections, which we hypothesize triggered innate immune overactivity due to CFI deficiency. Treatment with an IL-1 receptor antagonist, anakinra, suppressed further attacks and enabled neurologic recovery in a syndrome that is almost uniformly fatal. This case highlights the diagnostic value of inpatient genetic testing in cases of unexplained neuroinflammation and proposes targeted suppressive treatment to reduce neurologic deterioration.</p>","PeriodicalId":19472,"journal":{"name":"Neurology® Neuroimmunology & Neuroinflammation","volume":"12 6","pages":"e200475"},"PeriodicalIF":7.5000,"publicationDate":"2025-11-01","publicationTypes":"Journal Article","fieldsOfStudy":null,"isOpenAccess":false,"openAccessPdf":"https://www.ncbi.nlm.nih.gov/pmc/articles/PMC12424073/pdf/","citationCount":"0","resultStr":"{\"title\":\"Complement Factor I Deficiency With Acute Hemorrhagic Leukoencephalitis and Longitudinally Extensive Transverse Myelitis: A Case Report.\",\"authors\":\"Tiffany Hu, Javier Rodriguez, Lara L Zimmermann, Ryan Martin, Krupa Savalia, Anh P Nguyen, Han Lee, Joseph J Shen, Robyn Stoianovici, Mary Karalius, Sukhman Sidhu, Chloe Gerungan, Ariane Soldatos, Jeffrey M Gelfand, Michael R Wilson, Jeffrey R Vitt\",\"doi\":\"10.1212/NXI.0000000000200475\",\"DOIUrl\":null,\"url\":null,\"abstract\":\"<p><strong>Objectives: </strong>Complement factor I (CFI) deficiency is a rare condition that can present with fulminant relapsing CNS autoinflammation. In this report, we highlight the utility of genetic testing in unexplained CNS autoinflammation.</p><p><strong>Methods: </strong>This case report describes a young adult with partial CFI deficiency, presenting with acute hemorrhagic leukoencephalitis and longitudinally extensive transverse myelitis.</p><p><strong>Results: </strong>In this case of unexplained CNS autoinflammation, in-hospital whole-genome sequencing and complement testing revealed partial CFI deficiency. CSF profiling during flares showed increased neutrophils and proinflammatory cytokines. CSF gene expression profiling more closely aligned with cases of bacterial meningitis than autoimmune encephalitis, consistent with innate immune system hyperactivity. Emergent IL-1 receptor antagonism led to sustained suppression of further immunologic attacks.</p><p><strong>Discussion: </strong>Our case describes a presentation of CFI deficiency with fulminant and relapsing CNS autoinflammation. These flares were temporally associated with infections, which we hypothesize triggered innate immune overactivity due to CFI deficiency. Treatment with an IL-1 receptor antagonist, anakinra, suppressed further attacks and enabled neurologic recovery in a syndrome that is almost uniformly fatal. This case highlights the diagnostic value of inpatient genetic testing in cases of unexplained neuroinflammation and proposes targeted suppressive treatment to reduce neurologic deterioration.</p>\",\"PeriodicalId\":19472,\"journal\":{\"name\":\"Neurology® Neuroimmunology & Neuroinflammation\",\"volume\":\"12 6\",\"pages\":\"e200475\"},\"PeriodicalIF\":7.5000,\"publicationDate\":\"2025-11-01\",\"publicationTypes\":\"Journal Article\",\"fieldsOfStudy\":null,\"isOpenAccess\":false,\"openAccessPdf\":\"https://www.ncbi.nlm.nih.gov/pmc/articles/PMC12424073/pdf/\",\"citationCount\":\"0\",\"resultStr\":null,\"platform\":\"Semanticscholar\",\"paperid\":null,\"PeriodicalName\":\"Neurology® Neuroimmunology & Neuroinflammation\",\"FirstCategoryId\":\"3\",\"ListUrlMain\":\"https://doi.org/10.1212/NXI.0000000000200475\",\"RegionNum\":1,\"RegionCategory\":\"医学\",\"ArticlePicture\":[],\"TitleCN\":null,\"AbstractTextCN\":null,\"PMCID\":null,\"EPubDate\":\"2025/9/10 0:00:00\",\"PubModel\":\"Epub\",\"JCR\":\"Q1\",\"JCRName\":\"CLINICAL NEUROLOGY\",\"Score\":null,\"Total\":0}","platform":"Semanticscholar","paperid":null,"PeriodicalName":"Neurology® Neuroimmunology & Neuroinflammation","FirstCategoryId":"3","ListUrlMain":"https://doi.org/10.1212/NXI.0000000000200475","RegionNum":1,"RegionCategory":"医学","ArticlePicture":[],"TitleCN":null,"AbstractTextCN":null,"PMCID":null,"EPubDate":"2025/9/10 0:00:00","PubModel":"Epub","JCR":"Q1","JCRName":"CLINICAL NEUROLOGY","Score":null,"Total":0}
引用次数: 0

摘要

目的:补体因子I (CFI)缺乏是一种罕见的疾病,可表现为暴发性复发性中枢神经系统自身炎症。在本报告中,我们强调基因检测在不明原因的中枢神经系统自身炎症中的应用。方法:这个病例报告描述了一个年轻的成年人部分CFI缺乏,表现为急性出血性脑白质炎和纵向广泛的横断面脊髓炎。结果:在这例不明原因的中枢神经系统自身炎症中,医院全基因组测序和补体检测显示部分中枢神经系统缺乏。耀斑期间的脑脊液分析显示中性粒细胞和促炎细胞因子增加。脑脊液基因表达谱与细菌性脑膜炎病例比自身免疫性脑炎病例更接近,与先天免疫系统亢进一致。突发性IL-1受体拮抗剂导致持续抑制进一步的免疫攻击。讨论:我们的病例描述了一个CFI缺乏的表现,伴有暴发性和复发性中枢神经系统自身炎症。这些耀斑暂时与感染相关,我们假设感染引发了CFI缺乏导致的先天免疫过度活动。用IL-1受体拮抗剂阿那金(anakinra)治疗,抑制了进一步的发作,使几乎完全致命的综合征的神经系统恢复。本病例强调了住院基因检测在不明原因神经炎症病例中的诊断价值,并提出了靶向抑制治疗以减少神经系统恶化。
本文章由计算机程序翻译,如有差异,请以英文原文为准。

Complement Factor I Deficiency With Acute Hemorrhagic Leukoencephalitis and Longitudinally Extensive Transverse Myelitis: A Case Report.

Complement Factor I Deficiency With Acute Hemorrhagic Leukoencephalitis and Longitudinally Extensive Transverse Myelitis: A Case Report.

Complement Factor I Deficiency With Acute Hemorrhagic Leukoencephalitis and Longitudinally Extensive Transverse Myelitis: A Case Report.

Complement Factor I Deficiency With Acute Hemorrhagic Leukoencephalitis and Longitudinally Extensive Transverse Myelitis: A Case Report.

Objectives: Complement factor I (CFI) deficiency is a rare condition that can present with fulminant relapsing CNS autoinflammation. In this report, we highlight the utility of genetic testing in unexplained CNS autoinflammation.

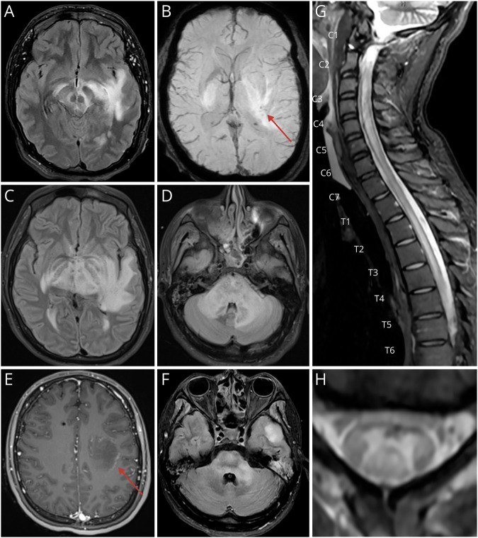
Methods: This case report describes a young adult with partial CFI deficiency, presenting with acute hemorrhagic leukoencephalitis and longitudinally extensive transverse myelitis.

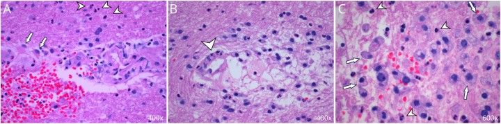
Results: In this case of unexplained CNS autoinflammation, in-hospital whole-genome sequencing and complement testing revealed partial CFI deficiency. CSF profiling during flares showed increased neutrophils and proinflammatory cytokines. CSF gene expression profiling more closely aligned with cases of bacterial meningitis than autoimmune encephalitis, consistent with innate immune system hyperactivity. Emergent IL-1 receptor antagonism led to sustained suppression of further immunologic attacks.

Discussion: Our case describes a presentation of CFI deficiency with fulminant and relapsing CNS autoinflammation. These flares were temporally associated with infections, which we hypothesize triggered innate immune overactivity due to CFI deficiency. Treatment with an IL-1 receptor antagonist, anakinra, suppressed further attacks and enabled neurologic recovery in a syndrome that is almost uniformly fatal. This case highlights the diagnostic value of inpatient genetic testing in cases of unexplained neuroinflammation and proposes targeted suppressive treatment to reduce neurologic deterioration.

求助全文
通过发布文献求助,成功后即可免费获取论文全文。 去求助
来源期刊
CiteScore
15.60
自引率
2.30%
发文量
219
审稿时长
8 weeks
期刊介绍: Neurology Neuroimmunology & Neuroinflammation is an official journal of the American Academy of Neurology. Neurology: Neuroimmunology & Neuroinflammation will be the premier peer-reviewed journal in neuroimmunology and neuroinflammation. This journal publishes rigorously peer-reviewed open-access reports of original research and in-depth reviews of topics in neuroimmunology & neuroinflammation, affecting the full range of neurologic diseases including (but not limited to) Alzheimer's disease, Parkinson's disease, ALS, tauopathy, and stroke; multiple sclerosis and NMO; inflammatory peripheral nerve and muscle disease, Guillain-Barré and myasthenia gravis; nervous system infection; paraneoplastic syndromes, noninfectious encephalitides and other antibody-mediated disorders; and psychiatric and neurodevelopmental disorders. Clinical trials, instructive case reports, and small case series will also be featured.
×
引用
GB/T 7714-2015
复制
MLA
复制
APA
复制
导出至
BibTeX EndNote RefMan NoteFirst NoteExpress
×
提示
您的信息不完整,为了账户安全,请先补充。
现在去补充
×
提示
您因"违规操作"
具体请查看互助需知
我知道了
×
提示
确定
请完成安全验证×
copy
已复制链接
快去分享给好友吧!
我知道了
右上角分享
点击右上角分享
0
联系我们:info@booksci.cn Book学术提供免费学术资源搜索服务,方便国内外学者检索中英文文献。致力于提供最便捷和优质的服务体验。 Copyright © 2023 布克学术 All rights reserved.
京ICP备2023020795号-1
ghs 京公网安备 11010802042870号
Book学术文献互助
Book学术文献互助群
群 号:604180095
Book学术官方微信