更正:液-液相分离GPS2-LATS1通过重编程脂质代谢促进结直肠癌进展。

IF 7.3 1区 医学 Q1 BIOCHEMISTRY & MOLECULAR BIOLOGY
Yuliang Ren, Junjie Chen, Xiangrong Zhan, Songran Sheng, Yifan Zhong, Manxiang Gu, Xuewen Liu, Liang Zhang, Lei Bao, Yuan Si, Ying Liu
{"title":"更正:液-液相分离GPS2-LATS1通过重编程脂质代谢促进结直肠癌进展。","authors":"Yuliang Ren, Junjie Chen, Xiangrong Zhan, Songran Sheng, Yifan Zhong, Manxiang Gu, Xuewen Liu, Liang Zhang, Lei Bao, Yuan Si, Ying Liu","doi":"10.1038/s41388-025-03540-8","DOIUrl":null,"url":null,"abstract":"","PeriodicalId":19524,"journal":{"name":"Oncogene","volume":"44 39","pages":"3755-3758"},"PeriodicalIF":7.3000,"publicationDate":"2025-09-10","publicationTypes":"Journal Article","fieldsOfStudy":null,"isOpenAccess":false,"openAccessPdf":"https://www.nature.comhttps://www.nature.com/articles/s41388-025-03540-8.pdf","citationCount":"0","resultStr":"{\"title\":\"Correction: Liquid-liquid phase separation of GPS2-LATS1 promotes colorectal cancer progression by reprogramming lipid metabolism\",\"authors\":\"Yuliang Ren, Junjie Chen, Xiangrong Zhan, Songran Sheng, Yifan Zhong, Manxiang Gu, Xuewen Liu, Liang Zhang, Lei Bao, Yuan Si, Ying Liu\",\"doi\":\"10.1038/s41388-025-03540-8\",\"DOIUrl\":null,\"url\":null,\"abstract\":\"\",\"PeriodicalId\":19524,\"journal\":{\"name\":\"Oncogene\",\"volume\":\"44 39\",\"pages\":\"3755-3758\"},\"PeriodicalIF\":7.3000,\"publicationDate\":\"2025-09-10\",\"publicationTypes\":\"Journal Article\",\"fieldsOfStudy\":null,\"isOpenAccess\":false,\"openAccessPdf\":\"https://www.nature.comhttps://www.nature.com/articles/s41388-025-03540-8.pdf\",\"citationCount\":\"0\",\"resultStr\":null,\"platform\":\"Semanticscholar\",\"paperid\":null,\"PeriodicalName\":\"Oncogene\",\"FirstCategoryId\":\"3\",\"ListUrlMain\":\"https://www.nature.com/articles/s41388-025-03540-8\",\"RegionNum\":1,\"RegionCategory\":\"医学\",\"ArticlePicture\":[],\"TitleCN\":null,\"AbstractTextCN\":null,\"PMCID\":null,\"EPubDate\":\"\",\"PubModel\":\"\",\"JCR\":\"Q1\",\"JCRName\":\"BIOCHEMISTRY & MOLECULAR BIOLOGY\",\"Score\":null,\"Total\":0}","platform":"Semanticscholar","paperid":null,"PeriodicalName":"Oncogene","FirstCategoryId":"3","ListUrlMain":"https://www.nature.com/articles/s41388-025-03540-8","RegionNum":1,"RegionCategory":"医学","ArticlePicture":[],"TitleCN":null,"AbstractTextCN":null,"PMCID":null,"EPubDate":"","PubModel":"","JCR":"Q1","JCRName":"BIOCHEMISTRY & MOLECULAR BIOLOGY","Score":null,"Total":0}
引用次数: 0

摘要

本文章由计算机程序翻译,如有差异,请以英文原文为准。

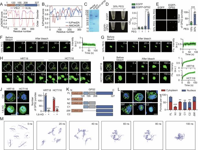
Correction: Liquid-liquid phase separation of GPS2-LATS1 promotes colorectal cancer progression by reprogramming lipid metabolism

Correction: Liquid-liquid phase separation of GPS2-LATS1 promotes colorectal cancer progression by reprogramming lipid metabolism
求助全文
通过发布文献求助,成功后即可免费获取论文全文。 去求助
来源期刊
Oncogene
Oncogene 医学-生化与分子生物学
CiteScore
15.30
自引率
1.20%
发文量
404
审稿时长
1 months
期刊介绍: Oncogene is dedicated to advancing our understanding of cancer processes through the publication of exceptional research. The journal seeks to disseminate work that challenges conventional theories and contributes to establishing new paradigms in the etio-pathogenesis, diagnosis, treatment, or prevention of cancers. Emphasis is placed on research shedding light on processes driving metastatic spread and providing crucial insights into cancer biology beyond existing knowledge. Areas covered include the cellular and molecular biology of cancer, resistance to cancer therapies, and the development of improved approaches to enhance survival. Oncogene spans the spectrum of cancer biology, from fundamental and theoretical work to translational, applied, and clinical research, including early and late Phase clinical trials, particularly those with biologic and translational endpoints.
×
引用
GB/T 7714-2015
复制
MLA
复制
APA
复制
导出至
BibTeX EndNote RefMan NoteFirst NoteExpress
×
提示
您的信息不完整,为了账户安全,请先补充。
现在去补充
×
提示
您因"违规操作"
具体请查看互助需知
我知道了
×
提示
确定
请完成安全验证×
copy
已复制链接
快去分享给好友吧!
我知道了
右上角分享
点击右上角分享
0
联系我们:info@booksci.cn Book学术提供免费学术资源搜索服务,方便国内外学者检索中英文文献。致力于提供最便捷和优质的服务体验。 Copyright © 2023 布克学术 All rights reserved.
京ICP备2023020795号-1
ghs 京公网安备 11010802042870号
Book学术文献互助
Book学术文献互助群
群 号:604180095
Book学术官方微信