Pembrolizumab治疗smarca4缺陷非小细胞肺癌:高肿瘤突变负担和程序性死亡-配体1(+)在循环肿瘤细胞上的表达,用于实时监测:一例报告

IF 2.2 4区 医学 Q3 ONCOLOGY
Anti-Cancer Drugs Pub Date : 2025-11-01 Epub Date: 2025-09-03 DOI:10.1097/CAD.0000000000001758
Youjun Deng, Yan Huang, Songhua Cai, Chujian Huang, Wenyi Liu, Ran Jia, Zhilin Sui, Heng Zou, Zhentao Yu, Xiaotong Guo
{"title":"Pembrolizumab治疗smarca4缺陷非小细胞肺癌:高肿瘤突变负担和程序性死亡-配体1(+)在循环肿瘤细胞上的表达,用于实时监测:一例报告","authors":"Youjun Deng, Yan Huang, Songhua Cai, Chujian Huang, Wenyi Liu, Ran Jia, Zhilin Sui, Heng Zou, Zhentao Yu, Xiaotong Guo","doi":"10.1097/CAD.0000000000001758","DOIUrl":null,"url":null,"abstract":"<p><p>Nonsmall cell lung cancer (NSCLC) with SMARCA4 deficiency represents a rare subset of lung tumors characterized by early metastasis, poor response to chemotherapy, and unfavorable prognosis. Established therapy strategies for SMARCA4-deficient NSCLC remain elusive. While immune checkpoint inhibitors have been proposed as a potential solution, their efficacy remains uncertain. Clinical factors such as tumor mutational burden (TMB), microsatellite instability, comutations, and programmed death-ligand 1 (PD-L1) expression may influence the treatment response of SMARCA4-deficient NSCLC. Additionally, PD-L1 expression on circulating tumor cells (CTCs) provides novel insights for monitoring, and its utility in SMARCA4-deficient NSCLC remains unexplored. The present report describes the case of a 71-year-old man diagnosed with SMARCA4-deficient NSCLC who had a history of heavy smoking and chronic cough. Imaging examination revealed metastatic lymph nodes. All serum tumor markers were elevated above the normal range. Histopathological and immunohistochemical analyses of the biopsy specimen from a primary lesion in the right upper lung demonstrated irregularly arranged tumor cells, SMARCA4 deficiency, and positive PD-L1 expression. Further next-generation sequencing confirmed SMARCA4 mutation, high TMB, and microsatellite stability (MSS). The patient received pembrolizumab treatment and experienced a sustained benefit for >40 months, with persistent PD-L1 expression on CTCs observed throughout the treatment. It was revealed that pembrolizumab therapy shows promise for patients with SMARCA4-deficient NSCLC with positive PD-L1 expression, high TMB, and MSS. Dynamic monitoring of PD-L1 status on CTCs may facilitate the assessment of the immunotherapy response, and the sustained positive PD-L1 expression on CTCs may imply continued benefit from immunotherapy for patients with SMARCA4-deficient NSCLC.</p>","PeriodicalId":7969,"journal":{"name":"Anti-Cancer Drugs","volume":" ","pages":"822-829"},"PeriodicalIF":2.2000,"publicationDate":"2025-11-01","publicationTypes":"Journal Article","fieldsOfStudy":null,"isOpenAccess":false,"openAccessPdf":"https://www.ncbi.nlm.nih.gov/pmc/articles/PMC12509448/pdf/","citationCount":"0","resultStr":"{\"title\":\"Pembrolizumab treatment in SMARCA4-deficient nonsmall cell lung cancer: high tumor mutational burden and programmed death-ligand 1(+) expression on circulating tumor cells for real-time monitoring: a case report.\",\"authors\":\"Youjun Deng, Yan Huang, Songhua Cai, Chujian Huang, Wenyi Liu, Ran Jia, Zhilin Sui, Heng Zou, Zhentao Yu, Xiaotong Guo\",\"doi\":\"10.1097/CAD.0000000000001758\",\"DOIUrl\":null,\"url\":null,\"abstract\":\"<p><p>Nonsmall cell lung cancer (NSCLC) with SMARCA4 deficiency represents a rare subset of lung tumors characterized by early metastasis, poor response to chemotherapy, and unfavorable prognosis. Established therapy strategies for SMARCA4-deficient NSCLC remain elusive. While immune checkpoint inhibitors have been proposed as a potential solution, their efficacy remains uncertain. Clinical factors such as tumor mutational burden (TMB), microsatellite instability, comutations, and programmed death-ligand 1 (PD-L1) expression may influence the treatment response of SMARCA4-deficient NSCLC. Additionally, PD-L1 expression on circulating tumor cells (CTCs) provides novel insights for monitoring, and its utility in SMARCA4-deficient NSCLC remains unexplored. The present report describes the case of a 71-year-old man diagnosed with SMARCA4-deficient NSCLC who had a history of heavy smoking and chronic cough. Imaging examination revealed metastatic lymph nodes. All serum tumor markers were elevated above the normal range. Histopathological and immunohistochemical analyses of the biopsy specimen from a primary lesion in the right upper lung demonstrated irregularly arranged tumor cells, SMARCA4 deficiency, and positive PD-L1 expression. Further next-generation sequencing confirmed SMARCA4 mutation, high TMB, and microsatellite stability (MSS). The patient received pembrolizumab treatment and experienced a sustained benefit for >40 months, with persistent PD-L1 expression on CTCs observed throughout the treatment. It was revealed that pembrolizumab therapy shows promise for patients with SMARCA4-deficient NSCLC with positive PD-L1 expression, high TMB, and MSS. Dynamic monitoring of PD-L1 status on CTCs may facilitate the assessment of the immunotherapy response, and the sustained positive PD-L1 expression on CTCs may imply continued benefit from immunotherapy for patients with SMARCA4-deficient NSCLC.</p>\",\"PeriodicalId\":7969,\"journal\":{\"name\":\"Anti-Cancer Drugs\",\"volume\":\" \",\"pages\":\"822-829\"},\"PeriodicalIF\":2.2000,\"publicationDate\":\"2025-11-01\",\"publicationTypes\":\"Journal Article\",\"fieldsOfStudy\":null,\"isOpenAccess\":false,\"openAccessPdf\":\"https://www.ncbi.nlm.nih.gov/pmc/articles/PMC12509448/pdf/\",\"citationCount\":\"0\",\"resultStr\":null,\"platform\":\"Semanticscholar\",\"paperid\":null,\"PeriodicalName\":\"Anti-Cancer Drugs\",\"FirstCategoryId\":\"3\",\"ListUrlMain\":\"https://doi.org/10.1097/CAD.0000000000001758\",\"RegionNum\":4,\"RegionCategory\":\"医学\",\"ArticlePicture\":[],\"TitleCN\":null,\"AbstractTextCN\":null,\"PMCID\":null,\"EPubDate\":\"2025/9/3 0:00:00\",\"PubModel\":\"Epub\",\"JCR\":\"Q3\",\"JCRName\":\"ONCOLOGY\",\"Score\":null,\"Total\":0}","platform":"Semanticscholar","paperid":null,"PeriodicalName":"Anti-Cancer Drugs","FirstCategoryId":"3","ListUrlMain":"https://doi.org/10.1097/CAD.0000000000001758","RegionNum":4,"RegionCategory":"医学","ArticlePicture":[],"TitleCN":null,"AbstractTextCN":null,"PMCID":null,"EPubDate":"2025/9/3 0:00:00","PubModel":"Epub","JCR":"Q3","JCRName":"ONCOLOGY","Score":null,"Total":0}
引用次数: 0

摘要

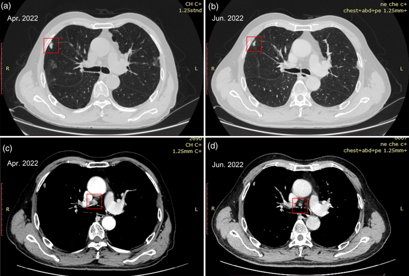
伴有SMARCA4缺陷的非小细胞肺癌(NSCLC)是一种罕见的肺肿瘤亚群,其特点是早期转移、化疗反应差、预后不良。对于缺乏smarca4的NSCLC,已建立的治疗策略仍然难以捉摸。虽然免疫检查点抑制剂已被提出作为一种潜在的解决方案,但其功效仍不确定。临床因素如肿瘤突变负担(TMB)、微卫星不稳定性、计算和程序性死亡配体1 (PD-L1)表达可能影响smarca4缺陷NSCLC的治疗反应。此外,循环肿瘤细胞(CTCs)上的PD-L1表达为监测提供了新的见解,其在smarca4缺陷NSCLC中的应用仍未被探索。本报告描述了一例71岁男性被诊断为缺乏smarca4的非小细胞肺癌,他有大量吸烟和慢性咳嗽的历史。影像学检查显示淋巴结转移。血清肿瘤标志物均高于正常范围。右上肺原发性病变活检标本的组织病理学和免疫组织化学分析显示肿瘤细胞排列不规则,SMARCA4缺乏,PD-L1阳性表达。进一步的下一代测序证实了SMARCA4突变,高TMB和微卫星稳定性(MSS)。患者接受了派姆单抗治疗,并经历了持续40个月的持续获益,在整个治疗过程中观察到ctc上持续的PD-L1表达。研究显示,派姆单抗治疗对具有PD-L1阳性表达、高TMB和MSS的smarca4缺陷NSCLC患者显示出希望。动态监测CTCs上的PD-L1状态可能有助于评估免疫治疗反应,CTCs上持续的PD-L1阳性表达可能意味着smarca4缺陷NSCLC患者从免疫治疗中持续获益。
本文章由计算机程序翻译,如有差异,请以英文原文为准。

Pembrolizumab treatment in SMARCA4-deficient nonsmall cell lung cancer: high tumor mutational burden and programmed death-ligand 1(+) expression on circulating tumor cells for real-time monitoring: a case report.

Pembrolizumab treatment in SMARCA4-deficient nonsmall cell lung cancer: high tumor mutational burden and programmed death-ligand 1(+) expression on circulating tumor cells for real-time monitoring: a case report.

Pembrolizumab treatment in SMARCA4-deficient nonsmall cell lung cancer: high tumor mutational burden and programmed death-ligand 1(+) expression on circulating tumor cells for real-time monitoring: a case report.

Pembrolizumab treatment in SMARCA4-deficient nonsmall cell lung cancer: high tumor mutational burden and programmed death-ligand 1(+) expression on circulating tumor cells for real-time monitoring: a case report.

Nonsmall cell lung cancer (NSCLC) with SMARCA4 deficiency represents a rare subset of lung tumors characterized by early metastasis, poor response to chemotherapy, and unfavorable prognosis. Established therapy strategies for SMARCA4-deficient NSCLC remain elusive. While immune checkpoint inhibitors have been proposed as a potential solution, their efficacy remains uncertain. Clinical factors such as tumor mutational burden (TMB), microsatellite instability, comutations, and programmed death-ligand 1 (PD-L1) expression may influence the treatment response of SMARCA4-deficient NSCLC. Additionally, PD-L1 expression on circulating tumor cells (CTCs) provides novel insights for monitoring, and its utility in SMARCA4-deficient NSCLC remains unexplored. The present report describes the case of a 71-year-old man diagnosed with SMARCA4-deficient NSCLC who had a history of heavy smoking and chronic cough. Imaging examination revealed metastatic lymph nodes. All serum tumor markers were elevated above the normal range. Histopathological and immunohistochemical analyses of the biopsy specimen from a primary lesion in the right upper lung demonstrated irregularly arranged tumor cells, SMARCA4 deficiency, and positive PD-L1 expression. Further next-generation sequencing confirmed SMARCA4 mutation, high TMB, and microsatellite stability (MSS). The patient received pembrolizumab treatment and experienced a sustained benefit for >40 months, with persistent PD-L1 expression on CTCs observed throughout the treatment. It was revealed that pembrolizumab therapy shows promise for patients with SMARCA4-deficient NSCLC with positive PD-L1 expression, high TMB, and MSS. Dynamic monitoring of PD-L1 status on CTCs may facilitate the assessment of the immunotherapy response, and the sustained positive PD-L1 expression on CTCs may imply continued benefit from immunotherapy for patients with SMARCA4-deficient NSCLC.

求助全文
通过发布文献求助,成功后即可免费获取论文全文。 去求助
来源期刊
Anti-Cancer Drugs
Anti-Cancer Drugs 医学-药学
CiteScore
3.80
自引率
0.00%
发文量
244
审稿时长
3 months
期刊介绍: Anti-Cancer Drugs reports both clinical and experimental results related to anti-cancer drugs, and welcomes contributions on anti-cancer drug design, drug delivery, pharmacology, hormonal and biological modalities and chemotherapy evaluation. An internationally refereed journal devoted to the fast publication of innovative investigations on therapeutic agents against cancer, Anti-Cancer Drugs aims to stimulate and report research on both toxic and non-toxic anti-cancer agents. Consequently, the scope on the journal will cover both conventional cytotoxic chemotherapy and hormonal or biological response modalities such as interleukins and immunotherapy. Submitted articles undergo a preliminary review by the editor. Some articles may be returned to authors without further consideration. Those being considered for publication will undergo further assessment and peer-review by the editors and those invited to do so from a reviewer pool.
×
引用
GB/T 7714-2015
复制
MLA
复制
APA
复制
导出至
BibTeX EndNote RefMan NoteFirst NoteExpress
×
提示
您的信息不完整,为了账户安全,请先补充。
现在去补充
×
提示
您因"违规操作"
具体请查看互助需知
我知道了
×
提示
确定
请完成安全验证×
copy
已复制链接
快去分享给好友吧!
我知道了
右上角分享
点击右上角分享
0
联系我们:info@booksci.cn Book学术提供免费学术资源搜索服务,方便国内外学者检索中英文文献。致力于提供最便捷和优质的服务体验。 Copyright © 2023 布克学术 All rights reserved.
京ICP备2023020795号-1
ghs 京公网安备 11010802042870号
Book学术文献互助
Book学术文献互助群
群 号:604180095
Book学术官方微信