在脑癌治疗中什么时候需要肾活检?

Q3 Medicine
European journal of case reports in internal medicine Pub Date : 2025-08-19 eCollection Date: 2025-01-01 DOI:10.12890/2025_005565
Catarina Oliveira-Silva, Johanna Viana, Claudia Coelho, Roberto Silva, Luís Falcão, Joana Rocha, Bárbara Ribeiro
{"title":"在脑癌治疗中什么时候需要肾活检?","authors":"Catarina Oliveira-Silva, Johanna Viana, Claudia Coelho, Roberto Silva, Luís Falcão, Joana Rocha, Bárbara Ribeiro","doi":"10.12890/2025_005565","DOIUrl":null,"url":null,"abstract":"<p><strong>Introduction: </strong>Bevacizumab is a monoclonal antibody that targets vascular endothelial growth factor (VEGF) and is widely used in oncology for its anti-angiogenic properties. However, VEGF inhibition may result in significant nephrotoxicity, including thrombotic microangiopathy (TMA). While systemic TMA is well-described, isolated renal-limited TMA remains under recognised.</p><p><strong>Case description: </strong>We present a 46-year-old woman with WHO grade IV IDH-wildtype EGFR-amplified gliosarcoma. She received second-line treatment with bevacizumab and, after 12 months of therapy, developed progressive hypertension and nephrotic-range proteinuria up to 6.2 g/day, with normal renal function and without anaemia or thrombocytopenia. A kidney biopsy revealed glomerular microangiopathy, and a diagnosis of bevacizumab-associated renal-limited TMA was established. Given the stability of the intracranial disease, the drug was discontinued with complete resolution of proteinuria after seven months.</p><p><strong>Conclusion: </strong>Anti-VEGF therapy causes renal TMA and may present with nephrotic-range proteinuria associated with a pattern of glomerular microangiopathy. Recognising anti-VEGF-associated nephrotoxicity is essential in the differential diagnosis of proteinuria in cancer patients, and kidney biopsy is fundamental for guiding clinical decisions. Drug cessation led to the complete resolution of proteinuria.</p><p><strong>Learning points: </strong>Bevacizumab can cause renal-limited thrombotic microangiopathy and may present with nephrotic-range proteinuria, without renal dysfunction.Kidney biopsy is essential to distinguish drug-induced thrombotic microangiopathy from malignancy-associated nephropathies in cancer patients.Early recognition and drug discontinuation can lead to complete proteinuria resolution.</p>","PeriodicalId":11908,"journal":{"name":"European journal of case reports in internal medicine","volume":"12 9","pages":"005565"},"PeriodicalIF":0.0000,"publicationDate":"2025-08-19","publicationTypes":"Journal Article","fieldsOfStudy":null,"isOpenAccess":false,"openAccessPdf":"https://www.ncbi.nlm.nih.gov/pmc/articles/PMC12416784/pdf/","citationCount":"0","resultStr":"{\"title\":\"When is A Kidney Biopsy Indicated During the Treatment of Brain Cancer?\",\"authors\":\"Catarina Oliveira-Silva, Johanna Viana, Claudia Coelho, Roberto Silva, Luís Falcão, Joana Rocha, Bárbara Ribeiro\",\"doi\":\"10.12890/2025_005565\",\"DOIUrl\":null,\"url\":null,\"abstract\":\"<p><strong>Introduction: </strong>Bevacizumab is a monoclonal antibody that targets vascular endothelial growth factor (VEGF) and is widely used in oncology for its anti-angiogenic properties. However, VEGF inhibition may result in significant nephrotoxicity, including thrombotic microangiopathy (TMA). While systemic TMA is well-described, isolated renal-limited TMA remains under recognised.</p><p><strong>Case description: </strong>We present a 46-year-old woman with WHO grade IV IDH-wildtype EGFR-amplified gliosarcoma. She received second-line treatment with bevacizumab and, after 12 months of therapy, developed progressive hypertension and nephrotic-range proteinuria up to 6.2 g/day, with normal renal function and without anaemia or thrombocytopenia. A kidney biopsy revealed glomerular microangiopathy, and a diagnosis of bevacizumab-associated renal-limited TMA was established. Given the stability of the intracranial disease, the drug was discontinued with complete resolution of proteinuria after seven months.</p><p><strong>Conclusion: </strong>Anti-VEGF therapy causes renal TMA and may present with nephrotic-range proteinuria associated with a pattern of glomerular microangiopathy. Recognising anti-VEGF-associated nephrotoxicity is essential in the differential diagnosis of proteinuria in cancer patients, and kidney biopsy is fundamental for guiding clinical decisions. Drug cessation led to the complete resolution of proteinuria.</p><p><strong>Learning points: </strong>Bevacizumab can cause renal-limited thrombotic microangiopathy and may present with nephrotic-range proteinuria, without renal dysfunction.Kidney biopsy is essential to distinguish drug-induced thrombotic microangiopathy from malignancy-associated nephropathies in cancer patients.Early recognition and drug discontinuation can lead to complete proteinuria resolution.</p>\",\"PeriodicalId\":11908,\"journal\":{\"name\":\"European journal of case reports in internal medicine\",\"volume\":\"12 9\",\"pages\":\"005565\"},\"PeriodicalIF\":0.0000,\"publicationDate\":\"2025-08-19\",\"publicationTypes\":\"Journal Article\",\"fieldsOfStudy\":null,\"isOpenAccess\":false,\"openAccessPdf\":\"https://www.ncbi.nlm.nih.gov/pmc/articles/PMC12416784/pdf/\",\"citationCount\":\"0\",\"resultStr\":null,\"platform\":\"Semanticscholar\",\"paperid\":null,\"PeriodicalName\":\"European journal of case reports in internal medicine\",\"FirstCategoryId\":\"1085\",\"ListUrlMain\":\"https://doi.org/10.12890/2025_005565\",\"RegionNum\":0,\"RegionCategory\":null,\"ArticlePicture\":[],\"TitleCN\":null,\"AbstractTextCN\":null,\"PMCID\":null,\"EPubDate\":\"2025/1/1 0:00:00\",\"PubModel\":\"eCollection\",\"JCR\":\"Q3\",\"JCRName\":\"Medicine\",\"Score\":null,\"Total\":0}","platform":"Semanticscholar","paperid":null,"PeriodicalName":"European journal of case reports in internal medicine","FirstCategoryId":"1085","ListUrlMain":"https://doi.org/10.12890/2025_005565","RegionNum":0,"RegionCategory":null,"ArticlePicture":[],"TitleCN":null,"AbstractTextCN":null,"PMCID":null,"EPubDate":"2025/1/1 0:00:00","PubModel":"eCollection","JCR":"Q3","JCRName":"Medicine","Score":null,"Total":0}
引用次数: 0

摘要

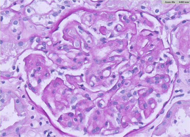
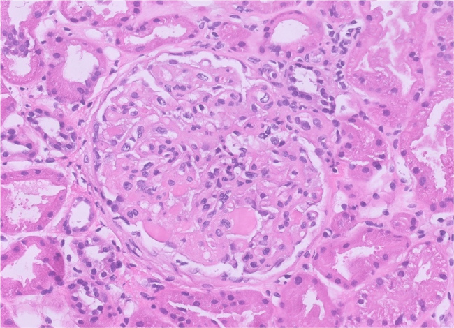
简介:贝伐单抗是一种靶向血管内皮生长因子(VEGF)的单克隆抗体,因其抗血管生成特性而广泛应用于肿瘤学。然而,VEGF抑制可能导致显著的肾毒性,包括血栓性微血管病变(TMA)。虽然系统性TMA已被很好地描述,但孤立性肾限制性TMA仍未得到充分认识。病例描述:我们报告一位46岁的女性,患有WHO级IV级idh野生型egfr扩增胶质肉瘤。她接受贝伐单抗二线治疗,治疗12个月后,出现进行性高血压和肾病范围蛋白尿高达6.2 g/天,肾功能正常,无贫血或血小板减少症。肾活检显示肾小球微血管病变,诊断为贝伐单抗相关肾限制性TMA。考虑到颅内疾病的稳定性,7个月后蛋白尿完全消除,停药。结论:抗vegf治疗可引起肾TMA,并可能出现肾小球微血管病变模式相关的肾范围蛋白尿。识别抗vegf相关的肾毒性在癌症患者蛋白尿的鉴别诊断中是必不可少的,肾活检是指导临床决策的基础。停用药物导致蛋白尿完全消失。学习要点:贝伐单抗可引起肾限制性血栓性微血管病变,并可能出现肾范围蛋白尿,无肾功能障碍。肾活检是必要的区分药物诱导血栓性微血管病变和恶性肿瘤相关肾病的癌症患者。早期识别和停药可导致蛋白尿完全解决。
本文章由计算机程序翻译,如有差异,请以英文原文为准。

When is A Kidney Biopsy Indicated During the Treatment of Brain Cancer?

When is A Kidney Biopsy Indicated During the Treatment of Brain Cancer?

When is A Kidney Biopsy Indicated During the Treatment of Brain Cancer?

Introduction: Bevacizumab is a monoclonal antibody that targets vascular endothelial growth factor (VEGF) and is widely used in oncology for its anti-angiogenic properties. However, VEGF inhibition may result in significant nephrotoxicity, including thrombotic microangiopathy (TMA). While systemic TMA is well-described, isolated renal-limited TMA remains under recognised.

Case description: We present a 46-year-old woman with WHO grade IV IDH-wildtype EGFR-amplified gliosarcoma. She received second-line treatment with bevacizumab and, after 12 months of therapy, developed progressive hypertension and nephrotic-range proteinuria up to 6.2 g/day, with normal renal function and without anaemia or thrombocytopenia. A kidney biopsy revealed glomerular microangiopathy, and a diagnosis of bevacizumab-associated renal-limited TMA was established. Given the stability of the intracranial disease, the drug was discontinued with complete resolution of proteinuria after seven months.

Conclusion: Anti-VEGF therapy causes renal TMA and may present with nephrotic-range proteinuria associated with a pattern of glomerular microangiopathy. Recognising anti-VEGF-associated nephrotoxicity is essential in the differential diagnosis of proteinuria in cancer patients, and kidney biopsy is fundamental for guiding clinical decisions. Drug cessation led to the complete resolution of proteinuria.

Learning points: Bevacizumab can cause renal-limited thrombotic microangiopathy and may present with nephrotic-range proteinuria, without renal dysfunction.Kidney biopsy is essential to distinguish drug-induced thrombotic microangiopathy from malignancy-associated nephropathies in cancer patients.Early recognition and drug discontinuation can lead to complete proteinuria resolution.

求助全文
通过发布文献求助,成功后即可免费获取论文全文。 去求助
来源期刊
CiteScore
2.10
自引率
0.00%
发文量
166
审稿时长
8 weeks
期刊介绍: The European Journal of Case Reports in Internal Medicine is an official journal of the European Federation of Internal Medicine (EFIM), representing 35 national societies from 33 European countries. The Journal''s mission is to promote the best medical practice and innovation in the field of acute and general medicine. It also provides a forum for internal medicine doctors where they can share new approaches with the aim of improving diagnostic and clinical skills in this field. EJCRIM welcomes high-quality case reports describing unusual or complex cases that an internist may encounter in everyday practice. The cases should either demonstrate the appropriateness of a diagnostic/therapeutic approach, describe a new procedure or maneuver, or show unusual manifestations of a disease or unexpected reactions. The Journal only accepts and publishes those case reports whose learning points provide new insight and/or contribute to advancing medical knowledge both in terms of diagnostics and therapeutic approaches. Case reports of medical errors, therefore, are also welcome as long as they provide innovative measures on how to prevent them in the current practice (Instructive Errors). The Journal may also consider brief and reasoned reports on issues relevant to the practice of Internal Medicine, as well as Abstracts submitted to the scientific meetings of acknowledged medical societies.
×
引用
GB/T 7714-2015
复制
MLA
复制
APA
复制
导出至
BibTeX EndNote RefMan NoteFirst NoteExpress
×
提示
您的信息不完整,为了账户安全,请先补充。
现在去补充
×
提示
您因"违规操作"
具体请查看互助需知
我知道了
×
提示
确定
请完成安全验证×
copy
已复制链接
快去分享给好友吧!
我知道了
右上角分享
点击右上角分享
0
联系我们:info@booksci.cn Book学术提供免费学术资源搜索服务,方便国内外学者检索中英文文献。致力于提供最便捷和优质的服务体验。 Copyright © 2023 布克学术 All rights reserved.
京ICP备2023020795号-1
ghs 京公网安备 11010802042870号
Book学术文献互助
Book学术文献互助群
群 号:604180095
Book学术官方微信