导管为基础的血栓切除术治疗一名年轻类风湿关节炎患者的中转血栓和大量肺栓塞:炎症是灾难性血栓栓塞的隐藏催化剂。

Q3 Medicine
European journal of case reports in internal medicine Pub Date : 2025-08-18 eCollection Date: 2025-01-01 DOI:10.12890/2025_005695
Han Shin Lee, Christ Ordookhanian, Ryan Amidon, Benjamin Tabibian
{"title":"导管为基础的血栓切除术治疗一名年轻类风湿关节炎患者的中转血栓和大量肺栓塞:炎症是灾难性血栓栓塞的隐藏催化剂。","authors":"Han Shin Lee, Christ Ordookhanian, Ryan Amidon, Benjamin Tabibian","doi":"10.12890/2025_005695","DOIUrl":null,"url":null,"abstract":"<p><strong>Introduction: </strong>Pulmonary embolism (PE) is a life-threatening condition with well-defined management strategies; however, the presence of a clot-in-transit (CIT)-a mobile thrombus within the right heart-introduces a uniquely high-risk scenario associated with a significantly elevated mortality rate. While several therapeutic approaches are available-including anticoagulation, systemic thrombolysis, surgical embolectomy, and catheter-directed therapies-there is no established consensus on a superior treatment modality. Catheter-based mechanical thrombectomy has emerged as a promising, minimally invasive alternative that mitigates the bleeding risks of systemic thrombolysis and the invasiveness of surgery.</p><p><strong>Case description: </strong>A 37-year-old male with untreated rheumatoid arthritis presented to the emergency department with dyspnea and chest pain, ultimately found to have massive bilateral PE with CIT. This was successfully treated with percutaneous thrombectomy using the INARI FlowTriever device (Inari Medical, USA).</p><p><strong>Discussion: </strong>This case is accompanied by uncommon post-thrombectomy imaging that vividly demonstrates the thrombus burden in the majority of bilateral pulmonary vessels, providing valuable visual insight into the disease process and intervention efficacy. Rheumatoid arthritis is an independent risk factor for PE, deep vein thrombosis, and venous thromboembolism, highlighting the importance of treatment.</p><p><strong>Conclusion: </strong>This report contributes to the limited literature on atypical CIT presentations, highlights the need for standardized treatment algorithms, and demonstrates the success of catheter-directed mechanical thrombectomy in these scenarios.</p><p><strong>Learning points: </strong>Rheumatoid arthritis is a risk factor for pulmonary embolism, deep vein thrombosis, and venous thromboembolism.Catheter-directed mechanical thrombectomy for massive pulmonary embolism with clot-in-transit is a promising, minimally invasive alternative to systemic thrombolysis.</p>","PeriodicalId":11908,"journal":{"name":"European journal of case reports in internal medicine","volume":"12 9","pages":"005695"},"PeriodicalIF":0.0000,"publicationDate":"2025-08-18","publicationTypes":"Journal Article","fieldsOfStudy":null,"isOpenAccess":false,"openAccessPdf":"https://www.ncbi.nlm.nih.gov/pmc/articles/PMC12416788/pdf/","citationCount":"0","resultStr":"{\"title\":\"Catheter-Based Thrombectomy for Clot-In-Transit and Massive Pulmonary Embolism In A Young Patient with Rheumatoid Arthritis: Inflammation as A Hidden Catalyst for Catastrophic Thromboembolism.\",\"authors\":\"Han Shin Lee, Christ Ordookhanian, Ryan Amidon, Benjamin Tabibian\",\"doi\":\"10.12890/2025_005695\",\"DOIUrl\":null,\"url\":null,\"abstract\":\"<p><strong>Introduction: </strong>Pulmonary embolism (PE) is a life-threatening condition with well-defined management strategies; however, the presence of a clot-in-transit (CIT)-a mobile thrombus within the right heart-introduces a uniquely high-risk scenario associated with a significantly elevated mortality rate. While several therapeutic approaches are available-including anticoagulation, systemic thrombolysis, surgical embolectomy, and catheter-directed therapies-there is no established consensus on a superior treatment modality. Catheter-based mechanical thrombectomy has emerged as a promising, minimally invasive alternative that mitigates the bleeding risks of systemic thrombolysis and the invasiveness of surgery.</p><p><strong>Case description: </strong>A 37-year-old male with untreated rheumatoid arthritis presented to the emergency department with dyspnea and chest pain, ultimately found to have massive bilateral PE with CIT. This was successfully treated with percutaneous thrombectomy using the INARI FlowTriever device (Inari Medical, USA).</p><p><strong>Discussion: </strong>This case is accompanied by uncommon post-thrombectomy imaging that vividly demonstrates the thrombus burden in the majority of bilateral pulmonary vessels, providing valuable visual insight into the disease process and intervention efficacy. Rheumatoid arthritis is an independent risk factor for PE, deep vein thrombosis, and venous thromboembolism, highlighting the importance of treatment.</p><p><strong>Conclusion: </strong>This report contributes to the limited literature on atypical CIT presentations, highlights the need for standardized treatment algorithms, and demonstrates the success of catheter-directed mechanical thrombectomy in these scenarios.</p><p><strong>Learning points: </strong>Rheumatoid arthritis is a risk factor for pulmonary embolism, deep vein thrombosis, and venous thromboembolism.Catheter-directed mechanical thrombectomy for massive pulmonary embolism with clot-in-transit is a promising, minimally invasive alternative to systemic thrombolysis.</p>\",\"PeriodicalId\":11908,\"journal\":{\"name\":\"European journal of case reports in internal medicine\",\"volume\":\"12 9\",\"pages\":\"005695\"},\"PeriodicalIF\":0.0000,\"publicationDate\":\"2025-08-18\",\"publicationTypes\":\"Journal Article\",\"fieldsOfStudy\":null,\"isOpenAccess\":false,\"openAccessPdf\":\"https://www.ncbi.nlm.nih.gov/pmc/articles/PMC12416788/pdf/\",\"citationCount\":\"0\",\"resultStr\":null,\"platform\":\"Semanticscholar\",\"paperid\":null,\"PeriodicalName\":\"European journal of case reports in internal medicine\",\"FirstCategoryId\":\"1085\",\"ListUrlMain\":\"https://doi.org/10.12890/2025_005695\",\"RegionNum\":0,\"RegionCategory\":null,\"ArticlePicture\":[],\"TitleCN\":null,\"AbstractTextCN\":null,\"PMCID\":null,\"EPubDate\":\"2025/1/1 0:00:00\",\"PubModel\":\"eCollection\",\"JCR\":\"Q3\",\"JCRName\":\"Medicine\",\"Score\":null,\"Total\":0}","platform":"Semanticscholar","paperid":null,"PeriodicalName":"European journal of case reports in internal medicine","FirstCategoryId":"1085","ListUrlMain":"https://doi.org/10.12890/2025_005695","RegionNum":0,"RegionCategory":null,"ArticlePicture":[],"TitleCN":null,"AbstractTextCN":null,"PMCID":null,"EPubDate":"2025/1/1 0:00:00","PubModel":"eCollection","JCR":"Q3","JCRName":"Medicine","Score":null,"Total":0}
引用次数: 0

摘要

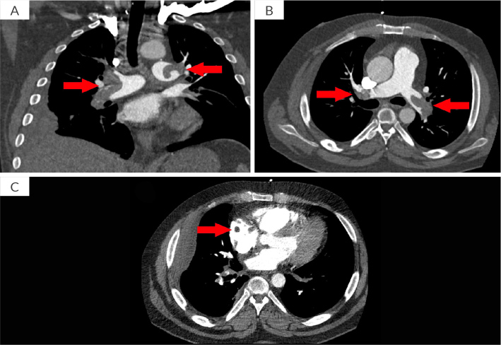
肺栓塞(PE)是一种危及生命的疾病,需要明确的管理策略;然而,转运血栓(CIT)——右心内的一种可移动血栓——的存在引入了一种独特的高风险情景,与死亡率显著升高相关。虽然有几种治疗方法可用,包括抗凝、全身溶栓、手术栓塞切除术和导管指导治疗,但对于哪种治疗方式更优,目前还没有达成共识。导管为基础的机械取栓术是一种很有前途的微创方法,可以降低全身溶栓的出血风险和手术的侵入性。病例描述:一名37岁男性,患有未经治疗的类风湿关节炎,因呼吸困难和胸痛来到急诊科,最终发现有大量双侧PE伴CIT,并使用INARI flowtriver设备(美国INARI Medical)经皮取栓成功治疗。讨论:该病例伴有罕见的取栓后成像,生动地显示了大多数双侧肺血管的血栓负担,为疾病过程和干预效果提供了有价值的视觉洞察。类风湿关节炎是PE、深静脉血栓形成和静脉血栓栓塞的独立危险因素,强调了治疗的重要性。结论:本报告对非典型CIT表现的有限文献做出了贡献,强调了标准化治疗算法的必要性,并证明了导管导向机械取栓在这些情况下的成功。学习要点:类风湿关节炎是肺栓塞、深静脉血栓形成和静脉血栓栓塞的危险因素。导管导向机械取栓术是一种有前途的、微创的系统性溶栓替代方法。
本文章由计算机程序翻译,如有差异,请以英文原文为准。

Catheter-Based Thrombectomy for Clot-In-Transit and Massive Pulmonary Embolism In A Young Patient with Rheumatoid Arthritis: Inflammation as A Hidden Catalyst for Catastrophic Thromboembolism.

Catheter-Based Thrombectomy for Clot-In-Transit and Massive Pulmonary Embolism In A Young Patient with Rheumatoid Arthritis: Inflammation as A Hidden Catalyst for Catastrophic Thromboembolism.

Catheter-Based Thrombectomy for Clot-In-Transit and Massive Pulmonary Embolism In A Young Patient with Rheumatoid Arthritis: Inflammation as A Hidden Catalyst for Catastrophic Thromboembolism.

Introduction: Pulmonary embolism (PE) is a life-threatening condition with well-defined management strategies; however, the presence of a clot-in-transit (CIT)-a mobile thrombus within the right heart-introduces a uniquely high-risk scenario associated with a significantly elevated mortality rate. While several therapeutic approaches are available-including anticoagulation, systemic thrombolysis, surgical embolectomy, and catheter-directed therapies-there is no established consensus on a superior treatment modality. Catheter-based mechanical thrombectomy has emerged as a promising, minimally invasive alternative that mitigates the bleeding risks of systemic thrombolysis and the invasiveness of surgery.

Case description: A 37-year-old male with untreated rheumatoid arthritis presented to the emergency department with dyspnea and chest pain, ultimately found to have massive bilateral PE with CIT. This was successfully treated with percutaneous thrombectomy using the INARI FlowTriever device (Inari Medical, USA).

Discussion: This case is accompanied by uncommon post-thrombectomy imaging that vividly demonstrates the thrombus burden in the majority of bilateral pulmonary vessels, providing valuable visual insight into the disease process and intervention efficacy. Rheumatoid arthritis is an independent risk factor for PE, deep vein thrombosis, and venous thromboembolism, highlighting the importance of treatment.

Conclusion: This report contributes to the limited literature on atypical CIT presentations, highlights the need for standardized treatment algorithms, and demonstrates the success of catheter-directed mechanical thrombectomy in these scenarios.

Learning points: Rheumatoid arthritis is a risk factor for pulmonary embolism, deep vein thrombosis, and venous thromboembolism.Catheter-directed mechanical thrombectomy for massive pulmonary embolism with clot-in-transit is a promising, minimally invasive alternative to systemic thrombolysis.

求助全文
通过发布文献求助,成功后即可免费获取论文全文。 去求助
来源期刊
CiteScore
2.10
自引率
0.00%
发文量
166
审稿时长
8 weeks
期刊介绍: The European Journal of Case Reports in Internal Medicine is an official journal of the European Federation of Internal Medicine (EFIM), representing 35 national societies from 33 European countries. The Journal''s mission is to promote the best medical practice and innovation in the field of acute and general medicine. It also provides a forum for internal medicine doctors where they can share new approaches with the aim of improving diagnostic and clinical skills in this field. EJCRIM welcomes high-quality case reports describing unusual or complex cases that an internist may encounter in everyday practice. The cases should either demonstrate the appropriateness of a diagnostic/therapeutic approach, describe a new procedure or maneuver, or show unusual manifestations of a disease or unexpected reactions. The Journal only accepts and publishes those case reports whose learning points provide new insight and/or contribute to advancing medical knowledge both in terms of diagnostics and therapeutic approaches. Case reports of medical errors, therefore, are also welcome as long as they provide innovative measures on how to prevent them in the current practice (Instructive Errors). The Journal may also consider brief and reasoned reports on issues relevant to the practice of Internal Medicine, as well as Abstracts submitted to the scientific meetings of acknowledged medical societies.
×
引用
GB/T 7714-2015
复制
MLA
复制
APA
复制
导出至
BibTeX EndNote RefMan NoteFirst NoteExpress
×
提示
您的信息不完整,为了账户安全,请先补充。
现在去补充
×
提示
您因"违规操作"
具体请查看互助需知
我知道了
×
提示
确定
请完成安全验证×
copy
已复制链接
快去分享给好友吧!
我知道了
右上角分享
点击右上角分享
0
联系我们:info@booksci.cn Book学术提供免费学术资源搜索服务,方便国内外学者检索中英文文献。致力于提供最便捷和优质的服务体验。 Copyright © 2023 布克学术 All rights reserved.
京ICP备2023020795号-1
ghs 京公网安备 11010802042870号
Book学术文献互助
Book学术文献互助群
群 号:604180095
Book学术官方微信