胰脏腺癌背景下的冷凝集素病。

Q3 Medicine
European journal of case reports in internal medicine Pub Date : 2025-08-13 eCollection Date: 2025-01-01 DOI:10.12890/2025_005587
Hong Phan, Vanita Motiani, Ayema Haque, Sarrah Ali Asghar, Harshank Patel, Zafir Zohab Hussain Khan, Susan Bannon
{"title":"胰脏腺癌背景下的冷凝集素病。","authors":"Hong Phan, Vanita Motiani, Ayema Haque, Sarrah Ali Asghar, Harshank Patel, Zafir Zohab Hussain Khan, Susan Bannon","doi":"10.12890/2025_005587","DOIUrl":null,"url":null,"abstract":"<p><p>Autoimmune haemolytic anaemia (AIHA) is caused by antibody-mediated destruction of red blood cells. There are two broad categories of AIHA: warm and cold, both categorized by the thermal reactivity of the autoantibodies. Cold agglutinin disease (CAD) occurs at temperatures below normal body temperature and primarily involves IgM antibodies. CAD typically occurs secondary to other processes: lymphoproliferative disorders or infection, although it can be rarely idiopathic. We present a case of a 65-year-old male with no past medical history who initially presented with haematuria and proteinuria, along with thrombocytopenia and leukopenia. He reported an unintentional weight loss of more than 9 kg, constipation, and pale-greasy coloured stools. Computed tomography (CT) scan of the abdomen and pelvis revealed findings suspicious for primary pancreatic neoplasm with nodal metastases and early carcinomatosis, severe right hydronephrosis, and distended gallbladder. Direct antiglobulin test (DAT) screening was negative, but an antibody screen was positive. The patient had a positive cold agglutin screen and elevated CA 19-9, carcinoembryonic antigen (CEA), and cyclic citrullinated peptide (CCP) levels, tumour markers used typically for diagnosis of pancreatic cancer. The patient presented with symptoms and laboratory findings suggestive of a complex interplay between haemolytic anaemia and a suspected solid organ malignancy, specifically pancreatic cancer. His elevated tumour markers and positive antibody screen and cold agglutinin screen suggested the possibility of paraneoplastic syndrome secondary to his pancreatic cancer. However, his infectious and autoimmune panel findings further complicated the picture and underscored the multifactorial nature of his condition.</p><p><strong>Learning points: </strong>This case highlights a rare association between autoimmune haemolytic anaemia (AIHA) and pancreatic adenocarcinoma.While AIHA is a known paraneoplastic syndrome of hematologic malignancies, this case report suggests that it may also be a paraneoplastic syndrome for solid tumours.This case report highlights the difficulty of treating AIHA in the setting of comorbidities, suggesting that standard treatment guidelines may not be effective.</p>","PeriodicalId":11908,"journal":{"name":"European journal of case reports in internal medicine","volume":"12 9","pages":"005587"},"PeriodicalIF":0.0000,"publicationDate":"2025-08-13","publicationTypes":"Journal Article","fieldsOfStudy":null,"isOpenAccess":false,"openAccessPdf":"https://www.ncbi.nlm.nih.gov/pmc/articles/PMC12416801/pdf/","citationCount":"0","resultStr":"{\"title\":\"Cold Agglutinin Disease in the Setting of Pancreatic Adenocarcinoma.\",\"authors\":\"Hong Phan, Vanita Motiani, Ayema Haque, Sarrah Ali Asghar, Harshank Patel, Zafir Zohab Hussain Khan, Susan Bannon\",\"doi\":\"10.12890/2025_005587\",\"DOIUrl\":null,\"url\":null,\"abstract\":\"<p><p>Autoimmune haemolytic anaemia (AIHA) is caused by antibody-mediated destruction of red blood cells. There are two broad categories of AIHA: warm and cold, both categorized by the thermal reactivity of the autoantibodies. Cold agglutinin disease (CAD) occurs at temperatures below normal body temperature and primarily involves IgM antibodies. CAD typically occurs secondary to other processes: lymphoproliferative disorders or infection, although it can be rarely idiopathic. We present a case of a 65-year-old male with no past medical history who initially presented with haematuria and proteinuria, along with thrombocytopenia and leukopenia. He reported an unintentional weight loss of more than 9 kg, constipation, and pale-greasy coloured stools. Computed tomography (CT) scan of the abdomen and pelvis revealed findings suspicious for primary pancreatic neoplasm with nodal metastases and early carcinomatosis, severe right hydronephrosis, and distended gallbladder. Direct antiglobulin test (DAT) screening was negative, but an antibody screen was positive. The patient had a positive cold agglutin screen and elevated CA 19-9, carcinoembryonic antigen (CEA), and cyclic citrullinated peptide (CCP) levels, tumour markers used typically for diagnosis of pancreatic cancer. The patient presented with symptoms and laboratory findings suggestive of a complex interplay between haemolytic anaemia and a suspected solid organ malignancy, specifically pancreatic cancer. His elevated tumour markers and positive antibody screen and cold agglutinin screen suggested the possibility of paraneoplastic syndrome secondary to his pancreatic cancer. However, his infectious and autoimmune panel findings further complicated the picture and underscored the multifactorial nature of his condition.</p><p><strong>Learning points: </strong>This case highlights a rare association between autoimmune haemolytic anaemia (AIHA) and pancreatic adenocarcinoma.While AIHA is a known paraneoplastic syndrome of hematologic malignancies, this case report suggests that it may also be a paraneoplastic syndrome for solid tumours.This case report highlights the difficulty of treating AIHA in the setting of comorbidities, suggesting that standard treatment guidelines may not be effective.</p>\",\"PeriodicalId\":11908,\"journal\":{\"name\":\"European journal of case reports in internal medicine\",\"volume\":\"12 9\",\"pages\":\"005587\"},\"PeriodicalIF\":0.0000,\"publicationDate\":\"2025-08-13\",\"publicationTypes\":\"Journal Article\",\"fieldsOfStudy\":null,\"isOpenAccess\":false,\"openAccessPdf\":\"https://www.ncbi.nlm.nih.gov/pmc/articles/PMC12416801/pdf/\",\"citationCount\":\"0\",\"resultStr\":null,\"platform\":\"Semanticscholar\",\"paperid\":null,\"PeriodicalName\":\"European journal of case reports in internal medicine\",\"FirstCategoryId\":\"1085\",\"ListUrlMain\":\"https://doi.org/10.12890/2025_005587\",\"RegionNum\":0,\"RegionCategory\":null,\"ArticlePicture\":[],\"TitleCN\":null,\"AbstractTextCN\":null,\"PMCID\":null,\"EPubDate\":\"2025/1/1 0:00:00\",\"PubModel\":\"eCollection\",\"JCR\":\"Q3\",\"JCRName\":\"Medicine\",\"Score\":null,\"Total\":0}","platform":"Semanticscholar","paperid":null,"PeriodicalName":"European journal of case reports in internal medicine","FirstCategoryId":"1085","ListUrlMain":"https://doi.org/10.12890/2025_005587","RegionNum":0,"RegionCategory":null,"ArticlePicture":[],"TitleCN":null,"AbstractTextCN":null,"PMCID":null,"EPubDate":"2025/1/1 0:00:00","PubModel":"eCollection","JCR":"Q3","JCRName":"Medicine","Score":null,"Total":0}
引用次数: 0

摘要

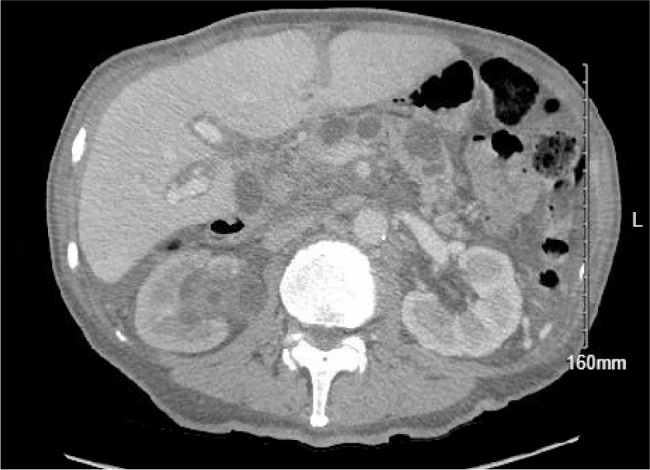
自身免疫性溶血性贫血(AIHA)是由抗体介导的红细胞破坏引起的。AIHA有两大类:温热型和冷热型,都是根据自身抗体的热反应性来分类的。冷凝集素病(CAD)发生在温度低于正常体温,主要涉及IgM抗体。CAD通常继发于其他疾病:淋巴增生性疾病或感染,尽管它很少是特发性的。我们报告一例65岁男性,无既往病史,最初表现为血尿和蛋白尿,伴血小板减少症和白细胞减少症。他报告体重意外减轻超过9公斤,便秘,大便呈浅油腻色。腹部和骨盆的计算机断层扫描显示可疑的原发性胰腺肿瘤伴淋巴结转移和早期癌,严重的右侧肾积水和胆囊扩张。直接抗球蛋白试验(DAT)筛选为阴性,但抗体筛选为阳性。患者冷凝集素筛查阳性,CA 19-9、癌胚抗原(CEA)和环瓜氨酸肽(CCP)水平升高,这些肿瘤标志物通常用于诊断胰腺癌。患者的症状和实验室结果提示溶血性贫血与疑似实体器官恶性肿瘤(特别是胰腺癌)之间存在复杂的相互作用。他的肿瘤标志物升高,抗体筛查和凝集素冷筛查呈阳性,提示可能继发于胰腺癌的副肿瘤综合征。然而,他的感染和自身免疫小组的发现使情况进一步复杂化,并强调了他的病情的多因素性质。学习要点:本病例强调了自身免疫性溶血性贫血(AIHA)与胰腺腺癌之间的罕见关联。虽然AIHA是一种已知的血液系统恶性肿瘤的副肿瘤综合征,但本病例报告表明它也可能是实体肿瘤的副肿瘤综合征。本病例报告强调了在合并症的情况下治疗AIHA的困难,表明标准治疗指南可能无效。
本文章由计算机程序翻译,如有差异,请以英文原文为准。

Cold Agglutinin Disease in the Setting of Pancreatic Adenocarcinoma.

Cold Agglutinin Disease in the Setting of Pancreatic Adenocarcinoma.

Cold Agglutinin Disease in the Setting of Pancreatic Adenocarcinoma.

Autoimmune haemolytic anaemia (AIHA) is caused by antibody-mediated destruction of red blood cells. There are two broad categories of AIHA: warm and cold, both categorized by the thermal reactivity of the autoantibodies. Cold agglutinin disease (CAD) occurs at temperatures below normal body temperature and primarily involves IgM antibodies. CAD typically occurs secondary to other processes: lymphoproliferative disorders or infection, although it can be rarely idiopathic. We present a case of a 65-year-old male with no past medical history who initially presented with haematuria and proteinuria, along with thrombocytopenia and leukopenia. He reported an unintentional weight loss of more than 9 kg, constipation, and pale-greasy coloured stools. Computed tomography (CT) scan of the abdomen and pelvis revealed findings suspicious for primary pancreatic neoplasm with nodal metastases and early carcinomatosis, severe right hydronephrosis, and distended gallbladder. Direct antiglobulin test (DAT) screening was negative, but an antibody screen was positive. The patient had a positive cold agglutin screen and elevated CA 19-9, carcinoembryonic antigen (CEA), and cyclic citrullinated peptide (CCP) levels, tumour markers used typically for diagnosis of pancreatic cancer. The patient presented with symptoms and laboratory findings suggestive of a complex interplay between haemolytic anaemia and a suspected solid organ malignancy, specifically pancreatic cancer. His elevated tumour markers and positive antibody screen and cold agglutinin screen suggested the possibility of paraneoplastic syndrome secondary to his pancreatic cancer. However, his infectious and autoimmune panel findings further complicated the picture and underscored the multifactorial nature of his condition.

Learning points: This case highlights a rare association between autoimmune haemolytic anaemia (AIHA) and pancreatic adenocarcinoma.While AIHA is a known paraneoplastic syndrome of hematologic malignancies, this case report suggests that it may also be a paraneoplastic syndrome for solid tumours.This case report highlights the difficulty of treating AIHA in the setting of comorbidities, suggesting that standard treatment guidelines may not be effective.

求助全文
通过发布文献求助,成功后即可免费获取论文全文。 去求助
来源期刊
CiteScore
2.10
自引率
0.00%
发文量
166
审稿时长
8 weeks
期刊介绍: The European Journal of Case Reports in Internal Medicine is an official journal of the European Federation of Internal Medicine (EFIM), representing 35 national societies from 33 European countries. The Journal''s mission is to promote the best medical practice and innovation in the field of acute and general medicine. It also provides a forum for internal medicine doctors where they can share new approaches with the aim of improving diagnostic and clinical skills in this field. EJCRIM welcomes high-quality case reports describing unusual or complex cases that an internist may encounter in everyday practice. The cases should either demonstrate the appropriateness of a diagnostic/therapeutic approach, describe a new procedure or maneuver, or show unusual manifestations of a disease or unexpected reactions. The Journal only accepts and publishes those case reports whose learning points provide new insight and/or contribute to advancing medical knowledge both in terms of diagnostics and therapeutic approaches. Case reports of medical errors, therefore, are also welcome as long as they provide innovative measures on how to prevent them in the current practice (Instructive Errors). The Journal may also consider brief and reasoned reports on issues relevant to the practice of Internal Medicine, as well as Abstracts submitted to the scientific meetings of acknowledged medical societies.
×
引用
GB/T 7714-2015
复制
MLA
复制
APA
复制
导出至
BibTeX EndNote RefMan NoteFirst NoteExpress
×
提示
您的信息不完整,为了账户安全,请先补充。
现在去补充
×
提示
您因"违规操作"
具体请查看互助需知
我知道了
×
提示
确定
请完成安全验证×
copy
已复制链接
快去分享给好友吧!
我知道了
右上角分享
点击右上角分享
0
联系我们:info@booksci.cn Book学术提供免费学术资源搜索服务,方便国内外学者检索中英文文献。致力于提供最便捷和优质的服务体验。 Copyright © 2023 布克学术 All rights reserved.
京ICP备2023020795号-1
ghs 京公网安备 11010802042870号
Book学术文献互助
Book学术文献互助群
群 号:604180095
Book学术官方微信