b细胞定向治疗后成人b细胞急性淋巴母细胞白血病向急性髓性白血病的谱系转换。

Q3 Medicine
European journal of case reports in internal medicine Pub Date : 2025-08-27 eCollection Date: 2025-01-01 DOI:10.12890/2025_005724
Oscar F Borja-Montes, Darrel D Horton, Alejandro Toro-Pedroza, Tomas Escobar-Gil, Daniel Babu, Charles Foucar, Ala Ebaid
{"title":"b细胞定向治疗后成人b细胞急性淋巴母细胞白血病向急性髓性白血病的谱系转换。","authors":"Oscar F Borja-Montes, Darrel D Horton, Alejandro Toro-Pedroza, Tomas Escobar-Gil, Daniel Babu, Charles Foucar, Ala Ebaid","doi":"10.12890/2025_005724","DOIUrl":null,"url":null,"abstract":"<p><strong>Background: </strong>Blinatumomab and inotuzumab ozogamicin (InO) are B-cell targeted agents used in the frontline and relapsed/refractory treatment of B-cell acute lymphoblastic leukaemia (B-ALL). Blinatumomab, a bispecific T-cell engager that targets CD19 and CD3, and InO, an antibody-drug conjugate targeting CD22, have both shown efficacy. However, recent reports have noted lineage conversion as a complication when these agents are used individually or sequentially. We present a rare case of this phenomenon in a 79-year-old male patient.</p><p><strong>Case description: </strong>A 79-year-old male with refractory B-ALL underwent a lineage switch to acute myeloid leukaemia following treatment with blinatumomab and InO. The patient initially achieved remission after initial therapy but relapsed and was subsequently treated with blinatumomab. Due to adverse effects, the treatment was discontinued. He was then treated with InO but again relapsed. A subsequent bone marrow biopsy revealed morphologic evidence of residual B-ALL, but with the presence of acute monocytic leukaemia. Fluorescence in situ hybridisation (FISH) analysis demonstrated an additional copy of KMT2A in a large percentage of cells which was a feature present since the initial diagnosis. Unfortunately, the patient's condition deteriorated, and he died.</p><p><strong>Conclusion: </strong>This case underscores potential complication of lineage switch following treatment with B-cell directed therapies. Although such therapies have improved outcomes in B-cell malignancies, clinicians should remain aware of rare risks such as lineage transformation. Timely recognition is essential to guide appropriate clinical management.</p><p><strong>Learning points: </strong>Lineage switch is a rare complication observed after B-cell targeted therapies; however, evidence remains limited.Specific genetic alterations, such as KMT2A abnormalities, may predispose leukemic clones to lineage plasticity.Close monitoring for immunophenotypic evolution is essential for timely recognition and clinical management of lineage switch.</p>","PeriodicalId":11908,"journal":{"name":"European journal of case reports in internal medicine","volume":"12 9","pages":"005724"},"PeriodicalIF":0.0000,"publicationDate":"2025-08-27","publicationTypes":"Journal Article","fieldsOfStudy":null,"isOpenAccess":false,"openAccessPdf":"https://www.ncbi.nlm.nih.gov/pmc/articles/PMC12416792/pdf/","citationCount":"0","resultStr":"{\"title\":\"Lineage Switch of Adult B-Cell Acute Lymphoblastic Leukaemia to Acute Myeloid Leukaemia Following B-Cell-Directed Therapy.\",\"authors\":\"Oscar F Borja-Montes, Darrel D Horton, Alejandro Toro-Pedroza, Tomas Escobar-Gil, Daniel Babu, Charles Foucar, Ala Ebaid\",\"doi\":\"10.12890/2025_005724\",\"DOIUrl\":null,\"url\":null,\"abstract\":\"<p><strong>Background: </strong>Blinatumomab and inotuzumab ozogamicin (InO) are B-cell targeted agents used in the frontline and relapsed/refractory treatment of B-cell acute lymphoblastic leukaemia (B-ALL). Blinatumomab, a bispecific T-cell engager that targets CD19 and CD3, and InO, an antibody-drug conjugate targeting CD22, have both shown efficacy. However, recent reports have noted lineage conversion as a complication when these agents are used individually or sequentially. We present a rare case of this phenomenon in a 79-year-old male patient.</p><p><strong>Case description: </strong>A 79-year-old male with refractory B-ALL underwent a lineage switch to acute myeloid leukaemia following treatment with blinatumomab and InO. The patient initially achieved remission after initial therapy but relapsed and was subsequently treated with blinatumomab. Due to adverse effects, the treatment was discontinued. He was then treated with InO but again relapsed. A subsequent bone marrow biopsy revealed morphologic evidence of residual B-ALL, but with the presence of acute monocytic leukaemia. Fluorescence in situ hybridisation (FISH) analysis demonstrated an additional copy of KMT2A in a large percentage of cells which was a feature present since the initial diagnosis. Unfortunately, the patient's condition deteriorated, and he died.</p><p><strong>Conclusion: </strong>This case underscores potential complication of lineage switch following treatment with B-cell directed therapies. Although such therapies have improved outcomes in B-cell malignancies, clinicians should remain aware of rare risks such as lineage transformation. Timely recognition is essential to guide appropriate clinical management.</p><p><strong>Learning points: </strong>Lineage switch is a rare complication observed after B-cell targeted therapies; however, evidence remains limited.Specific genetic alterations, such as KMT2A abnormalities, may predispose leukemic clones to lineage plasticity.Close monitoring for immunophenotypic evolution is essential for timely recognition and clinical management of lineage switch.</p>\",\"PeriodicalId\":11908,\"journal\":{\"name\":\"European journal of case reports in internal medicine\",\"volume\":\"12 9\",\"pages\":\"005724\"},\"PeriodicalIF\":0.0000,\"publicationDate\":\"2025-08-27\",\"publicationTypes\":\"Journal Article\",\"fieldsOfStudy\":null,\"isOpenAccess\":false,\"openAccessPdf\":\"https://www.ncbi.nlm.nih.gov/pmc/articles/PMC12416792/pdf/\",\"citationCount\":\"0\",\"resultStr\":null,\"platform\":\"Semanticscholar\",\"paperid\":null,\"PeriodicalName\":\"European journal of case reports in internal medicine\",\"FirstCategoryId\":\"1085\",\"ListUrlMain\":\"https://doi.org/10.12890/2025_005724\",\"RegionNum\":0,\"RegionCategory\":null,\"ArticlePicture\":[],\"TitleCN\":null,\"AbstractTextCN\":null,\"PMCID\":null,\"EPubDate\":\"2025/1/1 0:00:00\",\"PubModel\":\"eCollection\",\"JCR\":\"Q3\",\"JCRName\":\"Medicine\",\"Score\":null,\"Total\":0}","platform":"Semanticscholar","paperid":null,"PeriodicalName":"European journal of case reports in internal medicine","FirstCategoryId":"1085","ListUrlMain":"https://doi.org/10.12890/2025_005724","RegionNum":0,"RegionCategory":null,"ArticlePicture":[],"TitleCN":null,"AbstractTextCN":null,"PMCID":null,"EPubDate":"2025/1/1 0:00:00","PubModel":"eCollection","JCR":"Q3","JCRName":"Medicine","Score":null,"Total":0}
引用次数: 0

摘要

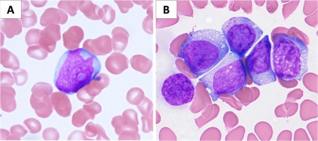
背景:Blinatumomab和inotuzumab ozogamicin (InO)是用于b细胞急性淋巴细胞白血病(B-ALL)一线和复发/难治性治疗的b细胞靶向药物。Blinatumomab是一种靶向CD19和CD3的双特异性t细胞结合剂,InO是一种靶向CD22的抗体-药物偶联物,两者都显示出疗效。然而,最近的报告指出,当这些药物单独或顺序使用时,谱系转换是一个并发症。我们提出一个罕见的病例,这种现象在一个79岁的男性患者。病例描述:一名79岁男性难治性B-ALL患者在接受blinatumomab和InO治疗后,谱系转换为急性髓性白血病。患者最初在初始治疗后获得缓解,但复发,随后接受blinatumumab治疗。由于不良反应,停止了治疗。随后他接受了InO治疗,但再次复发。随后的骨髓活检显示B-ALL残留的形态学证据,但存在急性单核细胞白血病。荧光原位杂交(FISH)分析显示,在很大比例的细胞中存在KMT2A的额外拷贝,这是自最初诊断以来存在的特征。不幸的是,病人的病情恶化,他死了。结论:该病例强调了b细胞定向治疗后谱系转换的潜在并发症。尽管这种疗法改善了b细胞恶性肿瘤的预后,但临床医生仍应注意罕见的风险,如谱系转化。及时识别是指导临床合理处理的关键。学习要点:谱系切换是b细胞靶向治疗后观察到的罕见并发症;然而,证据仍然有限。特定的遗传改变,如KMT2A异常,可能使白血病克隆易发生谱系可塑性。密切监测免疫表型演变是及时识别和临床处理谱系转换的必要条件。
本文章由计算机程序翻译,如有差异,请以英文原文为准。

Lineage Switch of Adult B-Cell Acute Lymphoblastic Leukaemia to Acute Myeloid Leukaemia Following B-Cell-Directed Therapy.

Lineage Switch of Adult B-Cell Acute Lymphoblastic Leukaemia to Acute Myeloid Leukaemia Following B-Cell-Directed Therapy.

Lineage Switch of Adult B-Cell Acute Lymphoblastic Leukaemia to Acute Myeloid Leukaemia Following B-Cell-Directed Therapy.

Lineage Switch of Adult B-Cell Acute Lymphoblastic Leukaemia to Acute Myeloid Leukaemia Following B-Cell-Directed Therapy.

Background: Blinatumomab and inotuzumab ozogamicin (InO) are B-cell targeted agents used in the frontline and relapsed/refractory treatment of B-cell acute lymphoblastic leukaemia (B-ALL). Blinatumomab, a bispecific T-cell engager that targets CD19 and CD3, and InO, an antibody-drug conjugate targeting CD22, have both shown efficacy. However, recent reports have noted lineage conversion as a complication when these agents are used individually or sequentially. We present a rare case of this phenomenon in a 79-year-old male patient.

Case description: A 79-year-old male with refractory B-ALL underwent a lineage switch to acute myeloid leukaemia following treatment with blinatumomab and InO. The patient initially achieved remission after initial therapy but relapsed and was subsequently treated with blinatumomab. Due to adverse effects, the treatment was discontinued. He was then treated with InO but again relapsed. A subsequent bone marrow biopsy revealed morphologic evidence of residual B-ALL, but with the presence of acute monocytic leukaemia. Fluorescence in situ hybridisation (FISH) analysis demonstrated an additional copy of KMT2A in a large percentage of cells which was a feature present since the initial diagnosis. Unfortunately, the patient's condition deteriorated, and he died.

Conclusion: This case underscores potential complication of lineage switch following treatment with B-cell directed therapies. Although such therapies have improved outcomes in B-cell malignancies, clinicians should remain aware of rare risks such as lineage transformation. Timely recognition is essential to guide appropriate clinical management.

Learning points: Lineage switch is a rare complication observed after B-cell targeted therapies; however, evidence remains limited.Specific genetic alterations, such as KMT2A abnormalities, may predispose leukemic clones to lineage plasticity.Close monitoring for immunophenotypic evolution is essential for timely recognition and clinical management of lineage switch.

求助全文
通过发布文献求助,成功后即可免费获取论文全文。 去求助
来源期刊
CiteScore
2.10
自引率
0.00%
发文量
166
审稿时长
8 weeks
期刊介绍: The European Journal of Case Reports in Internal Medicine is an official journal of the European Federation of Internal Medicine (EFIM), representing 35 national societies from 33 European countries. The Journal''s mission is to promote the best medical practice and innovation in the field of acute and general medicine. It also provides a forum for internal medicine doctors where they can share new approaches with the aim of improving diagnostic and clinical skills in this field. EJCRIM welcomes high-quality case reports describing unusual or complex cases that an internist may encounter in everyday practice. The cases should either demonstrate the appropriateness of a diagnostic/therapeutic approach, describe a new procedure or maneuver, or show unusual manifestations of a disease or unexpected reactions. The Journal only accepts and publishes those case reports whose learning points provide new insight and/or contribute to advancing medical knowledge both in terms of diagnostics and therapeutic approaches. Case reports of medical errors, therefore, are also welcome as long as they provide innovative measures on how to prevent them in the current practice (Instructive Errors). The Journal may also consider brief and reasoned reports on issues relevant to the practice of Internal Medicine, as well as Abstracts submitted to the scientific meetings of acknowledged medical societies.
×
引用
GB/T 7714-2015
复制
MLA
复制
APA
复制
导出至
BibTeX EndNote RefMan NoteFirst NoteExpress
×
提示
您的信息不完整,为了账户安全,请先补充。
现在去补充
×
提示
您因"违规操作"
具体请查看互助需知
我知道了
×
提示
确定
请完成安全验证×
copy
已复制链接
快去分享给好友吧!
我知道了
右上角分享
点击右上角分享
0
联系我们:info@booksci.cn Book学术提供免费学术资源搜索服务,方便国内外学者检索中英文文献。致力于提供最便捷和优质的服务体验。 Copyright © 2023 布克学术 All rights reserved.
京ICP备2023020795号-1
ghs 京公网安备 11010802042870号
Book学术文献互助
Book学术文献互助群
群 号:604180095
Book学术官方微信