1例HIV和霍奇金淋巴瘤患者的pcr阳性、组织病理学阴性的中枢神经系统曲霉病的诊断和治疗矛盾

Q3 Medicine
European journal of case reports in internal medicine Pub Date : 2025-08-13 eCollection Date: 2025-01-01 DOI:10.12890/2025_005604
Nikolas Kenaya, Joshua Hermiz, Joshua Hailo, Zahra Chehab, Emelia Johnson, Christian Toquica Gahona, Saba Asif
{"title":"1例HIV和霍奇金淋巴瘤患者的pcr阳性、组织病理学阴性的中枢神经系统曲霉病的诊断和治疗矛盾","authors":"Nikolas Kenaya, Joshua Hermiz, Joshua Hailo, Zahra Chehab, Emelia Johnson, Christian Toquica Gahona, Saba Asif","doi":"10.12890/2025_005604","DOIUrl":null,"url":null,"abstract":"<p><strong>Background: </strong>Invasive central nervous system (CNS) aspergillosis is rare among human immunodeficiency virus (HIV)-positive patients due to preserved neutrophil function, despite significant CD4+ T-cell depletion. Diagnosis typically requires histopathologic confirmation, but polymerase chain reaction (PCR) testing has introduced new challenges due to its high sensitivity but limited specificity.</p><p><strong>Case presentation: </strong>We describe a newly diagnosed 43-year-old HIV-positive male with concurrent Hodgkin lymphoma who presented with progressive neurological decline and a ring-enhancing brain lesion. While histopathological analysis of the brain biopsy demonstrated features of HIV-associated leukoencephalopathy, PCR testing paradoxically identified <i>Aspergillus fumigatus</i>; however, histopathological examination failed to demonstrate definitive fungal elements. Despite negative cerebrospinal fluid galactomannan and β-D-glucan assays, empiric voriconazole therapy was initiated in accordance with current treatment guidelines. Over the ensuing month, the patient returned with worsening neurologic status, radiographic lesion progression, and ultimately developed Torsades de Pointes, and multiorgan failure, resulting in death.</p><p><strong>Discussion: </strong>This case underscores the diagnostic and therapeutic complexities of PCR-positive, histopathology-negative CNS aspergillosis in HIV. Overreliance on molecular results without confirmatory pathology may lead to unnecessary antifungal therapy and severe drug toxicity. Additionally, overlapping immunosuppressive conditions-such as HIV and lymphoma-complicate clinical interpretation and management.</p><p><strong>Conclusion: </strong>In HIV-positive patients with CNS lesions, PCR detection of <i>Aspergillus</i> should not independently justify antifungal therapy. Histological confirmation and multidisciplinary evaluation are essential to avoid misdiagnosis and adverse outcomes. This case highlights the urgent need for more precise treatment guidelines on when to initiate and discontinue antifungal treatment in complex immunocompromised populations.</p><p><strong>Learning points: </strong>Polymerase chain reaction positivity for <i>Aspergillus</i> in the absence of histopathologic confirmation presents a major diagnostic dilemma, particularly in human immunodeficiency virus (HIV)-positive patients, where overreliance on molecular diagnostics may lead to misdiagnosis, unnecessary antifungal exposure, and significant toxicity.Empiric antifungal treatment should be re-evaluated when central nervous system lesions progress or fail to improve, as prolonged use of agents like voriconazole can result in serious toxicity, including arrhythmias like Torsades de Pointes; clearer guidelines are needed to define when empiric treatment is appropriate in complex cases.HIV-positive patients with coexisting malignancy require a multidisciplinary, evidence-based approach, as overlapping immunosuppressive conditions can obscure diagnosis and complicate treatment decisions.</p>","PeriodicalId":11908,"journal":{"name":"European journal of case reports in internal medicine","volume":"12 9","pages":"005604"},"PeriodicalIF":0.0000,"publicationDate":"2025-08-13","publicationTypes":"Journal Article","fieldsOfStudy":null,"isOpenAccess":false,"openAccessPdf":"https://www.ncbi.nlm.nih.gov/pmc/articles/PMC12416789/pdf/","citationCount":"0","resultStr":"{\"title\":\"Diagnostic and Therapeutic Paradoxes in PCR-Positive, Histopathology-Negative CNS Aspergillosis in A Patient with HIV and Hodgkin Lymphoma.\",\"authors\":\"Nikolas Kenaya, Joshua Hermiz, Joshua Hailo, Zahra Chehab, Emelia Johnson, Christian Toquica Gahona, Saba Asif\",\"doi\":\"10.12890/2025_005604\",\"DOIUrl\":null,\"url\":null,\"abstract\":\"<p><strong>Background: </strong>Invasive central nervous system (CNS) aspergillosis is rare among human immunodeficiency virus (HIV)-positive patients due to preserved neutrophil function, despite significant CD4+ T-cell depletion. Diagnosis typically requires histopathologic confirmation, but polymerase chain reaction (PCR) testing has introduced new challenges due to its high sensitivity but limited specificity.</p><p><strong>Case presentation: </strong>We describe a newly diagnosed 43-year-old HIV-positive male with concurrent Hodgkin lymphoma who presented with progressive neurological decline and a ring-enhancing brain lesion. While histopathological analysis of the brain biopsy demonstrated features of HIV-associated leukoencephalopathy, PCR testing paradoxically identified <i>Aspergillus fumigatus</i>; however, histopathological examination failed to demonstrate definitive fungal elements. Despite negative cerebrospinal fluid galactomannan and β-D-glucan assays, empiric voriconazole therapy was initiated in accordance with current treatment guidelines. Over the ensuing month, the patient returned with worsening neurologic status, radiographic lesion progression, and ultimately developed Torsades de Pointes, and multiorgan failure, resulting in death.</p><p><strong>Discussion: </strong>This case underscores the diagnostic and therapeutic complexities of PCR-positive, histopathology-negative CNS aspergillosis in HIV. Overreliance on molecular results without confirmatory pathology may lead to unnecessary antifungal therapy and severe drug toxicity. Additionally, overlapping immunosuppressive conditions-such as HIV and lymphoma-complicate clinical interpretation and management.</p><p><strong>Conclusion: </strong>In HIV-positive patients with CNS lesions, PCR detection of <i>Aspergillus</i> should not independently justify antifungal therapy. Histological confirmation and multidisciplinary evaluation are essential to avoid misdiagnosis and adverse outcomes. This case highlights the urgent need for more precise treatment guidelines on when to initiate and discontinue antifungal treatment in complex immunocompromised populations.</p><p><strong>Learning points: </strong>Polymerase chain reaction positivity for <i>Aspergillus</i> in the absence of histopathologic confirmation presents a major diagnostic dilemma, particularly in human immunodeficiency virus (HIV)-positive patients, where overreliance on molecular diagnostics may lead to misdiagnosis, unnecessary antifungal exposure, and significant toxicity.Empiric antifungal treatment should be re-evaluated when central nervous system lesions progress or fail to improve, as prolonged use of agents like voriconazole can result in serious toxicity, including arrhythmias like Torsades de Pointes; clearer guidelines are needed to define when empiric treatment is appropriate in complex cases.HIV-positive patients with coexisting malignancy require a multidisciplinary, evidence-based approach, as overlapping immunosuppressive conditions can obscure diagnosis and complicate treatment decisions.</p>\",\"PeriodicalId\":11908,\"journal\":{\"name\":\"European journal of case reports in internal medicine\",\"volume\":\"12 9\",\"pages\":\"005604\"},\"PeriodicalIF\":0.0000,\"publicationDate\":\"2025-08-13\",\"publicationTypes\":\"Journal Article\",\"fieldsOfStudy\":null,\"isOpenAccess\":false,\"openAccessPdf\":\"https://www.ncbi.nlm.nih.gov/pmc/articles/PMC12416789/pdf/\",\"citationCount\":\"0\",\"resultStr\":null,\"platform\":\"Semanticscholar\",\"paperid\":null,\"PeriodicalName\":\"European journal of case reports in internal medicine\",\"FirstCategoryId\":\"1085\",\"ListUrlMain\":\"https://doi.org/10.12890/2025_005604\",\"RegionNum\":0,\"RegionCategory\":null,\"ArticlePicture\":[],\"TitleCN\":null,\"AbstractTextCN\":null,\"PMCID\":null,\"EPubDate\":\"2025/1/1 0:00:00\",\"PubModel\":\"eCollection\",\"JCR\":\"Q3\",\"JCRName\":\"Medicine\",\"Score\":null,\"Total\":0}","platform":"Semanticscholar","paperid":null,"PeriodicalName":"European journal of case reports in internal medicine","FirstCategoryId":"1085","ListUrlMain":"https://doi.org/10.12890/2025_005604","RegionNum":0,"RegionCategory":null,"ArticlePicture":[],"TitleCN":null,"AbstractTextCN":null,"PMCID":null,"EPubDate":"2025/1/1 0:00:00","PubModel":"eCollection","JCR":"Q3","JCRName":"Medicine","Score":null,"Total":0}
引用次数: 0

摘要

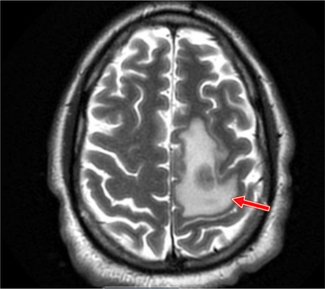
背景:侵袭性中枢神经系统(CNS)曲霉病在人类免疫缺陷病毒(HIV)阳性患者中很少见,尽管CD4+ t细胞明显耗竭,但由于中性粒细胞功能保留。诊断通常需要组织病理学证实,但聚合酶链反应(PCR)检测由于其高灵敏度但特异性有限而带来了新的挑战。病例介绍:我们描述了一位新诊断的43岁hiv阳性男性并发霍奇金淋巴瘤,他表现为进行性神经功能衰退和环状增强脑损伤。虽然脑组织活检的组织病理学分析显示了hiv相关脑白质病的特征,但PCR检测矛盾地鉴定出烟曲霉;然而,组织病理学检查未能证明明确的真菌成分。尽管脑脊液半乳甘露聚糖和β- d -葡聚糖检测呈阴性,但根据目前的治疗指南,开始了经验性伏立康唑治疗。在接下来的一个月里,患者复发时神经系统状况恶化,影像学上病变进展,最终发展为关节畸形和多器官衰竭,导致死亡。讨论:本病例强调了pcr阳性,组织病理学阴性的艾滋病毒中枢神经系统曲霉病的诊断和治疗的复杂性。过度依赖分子结果而不确定病理可能导致不必要的抗真菌治疗和严重的药物毒性。此外,重叠的免疫抑制条件-如HIV和淋巴瘤-使临床解释和管理复杂化。结论:在伴有中枢神经系统病变的hiv阳性患者中,PCR检测曲霉不能作为抗真菌治疗的独立依据。组织学确认和多学科评估是必不可少的,以避免误诊和不良后果。这一病例强调了迫切需要制定更精确的治疗指南,以确定在复杂的免疫功能低下人群中何时开始和停止抗真菌治疗。学习要点:在没有组织病理学证实的情况下,曲霉的聚合酶链反应阳性呈现出一个主要的诊断困境,特别是在人类免疫缺陷病毒(HIV)阳性的患者中,过度依赖分子诊断可能导致误诊,不必要的抗真菌暴露和严重的毒性。当中枢神经系统病变进展或未能改善时,应重新评估经验性抗真菌治疗,因为长期使用伏立康唑等药物可导致严重毒性,包括像扭角性心律失常;需要更明确的指导方针来确定在复杂病例中,什么时候经验治疗是合适的。共存恶性肿瘤的hiv阳性患者需要多学科、循证的方法,因为重叠的免疫抑制条件可能会模糊诊断并使治疗决策复杂化。
本文章由计算机程序翻译,如有差异,请以英文原文为准。

Diagnostic and Therapeutic Paradoxes in PCR-Positive, Histopathology-Negative CNS Aspergillosis in A Patient with HIV and Hodgkin Lymphoma.

Diagnostic and Therapeutic Paradoxes in PCR-Positive, Histopathology-Negative CNS Aspergillosis in A Patient with HIV and Hodgkin Lymphoma.

Background: Invasive central nervous system (CNS) aspergillosis is rare among human immunodeficiency virus (HIV)-positive patients due to preserved neutrophil function, despite significant CD4+ T-cell depletion. Diagnosis typically requires histopathologic confirmation, but polymerase chain reaction (PCR) testing has introduced new challenges due to its high sensitivity but limited specificity.

Case presentation: We describe a newly diagnosed 43-year-old HIV-positive male with concurrent Hodgkin lymphoma who presented with progressive neurological decline and a ring-enhancing brain lesion. While histopathological analysis of the brain biopsy demonstrated features of HIV-associated leukoencephalopathy, PCR testing paradoxically identified Aspergillus fumigatus; however, histopathological examination failed to demonstrate definitive fungal elements. Despite negative cerebrospinal fluid galactomannan and β-D-glucan assays, empiric voriconazole therapy was initiated in accordance with current treatment guidelines. Over the ensuing month, the patient returned with worsening neurologic status, radiographic lesion progression, and ultimately developed Torsades de Pointes, and multiorgan failure, resulting in death.

Discussion: This case underscores the diagnostic and therapeutic complexities of PCR-positive, histopathology-negative CNS aspergillosis in HIV. Overreliance on molecular results without confirmatory pathology may lead to unnecessary antifungal therapy and severe drug toxicity. Additionally, overlapping immunosuppressive conditions-such as HIV and lymphoma-complicate clinical interpretation and management.

Conclusion: In HIV-positive patients with CNS lesions, PCR detection of Aspergillus should not independently justify antifungal therapy. Histological confirmation and multidisciplinary evaluation are essential to avoid misdiagnosis and adverse outcomes. This case highlights the urgent need for more precise treatment guidelines on when to initiate and discontinue antifungal treatment in complex immunocompromised populations.

Learning points: Polymerase chain reaction positivity for Aspergillus in the absence of histopathologic confirmation presents a major diagnostic dilemma, particularly in human immunodeficiency virus (HIV)-positive patients, where overreliance on molecular diagnostics may lead to misdiagnosis, unnecessary antifungal exposure, and significant toxicity.Empiric antifungal treatment should be re-evaluated when central nervous system lesions progress or fail to improve, as prolonged use of agents like voriconazole can result in serious toxicity, including arrhythmias like Torsades de Pointes; clearer guidelines are needed to define when empiric treatment is appropriate in complex cases.HIV-positive patients with coexisting malignancy require a multidisciplinary, evidence-based approach, as overlapping immunosuppressive conditions can obscure diagnosis and complicate treatment decisions.

求助全文
通过发布文献求助,成功后即可免费获取论文全文。 去求助
来源期刊
CiteScore
2.10
自引率
0.00%
发文量
166
审稿时长
8 weeks
期刊介绍: The European Journal of Case Reports in Internal Medicine is an official journal of the European Federation of Internal Medicine (EFIM), representing 35 national societies from 33 European countries. The Journal''s mission is to promote the best medical practice and innovation in the field of acute and general medicine. It also provides a forum for internal medicine doctors where they can share new approaches with the aim of improving diagnostic and clinical skills in this field. EJCRIM welcomes high-quality case reports describing unusual or complex cases that an internist may encounter in everyday practice. The cases should either demonstrate the appropriateness of a diagnostic/therapeutic approach, describe a new procedure or maneuver, or show unusual manifestations of a disease or unexpected reactions. The Journal only accepts and publishes those case reports whose learning points provide new insight and/or contribute to advancing medical knowledge both in terms of diagnostics and therapeutic approaches. Case reports of medical errors, therefore, are also welcome as long as they provide innovative measures on how to prevent them in the current practice (Instructive Errors). The Journal may also consider brief and reasoned reports on issues relevant to the practice of Internal Medicine, as well as Abstracts submitted to the scientific meetings of acknowledged medical societies.
×
引用
GB/T 7714-2015
复制
MLA
复制
APA
复制
导出至
BibTeX EndNote RefMan NoteFirst NoteExpress
×
提示
您的信息不完整,为了账户安全,请先补充。
现在去补充
×
提示
您因"违规操作"
具体请查看互助需知
我知道了
×
提示
确定
请完成安全验证×
copy
已复制链接
快去分享给好友吧!
我知道了
右上角分享
点击右上角分享
0
联系我们:info@booksci.cn Book学术提供免费学术资源搜索服务,方便国内外学者检索中英文文献。致力于提供最便捷和优质的服务体验。 Copyright © 2023 布克学术 All rights reserved.
京ICP备2023020795号-1
ghs 京公网安备 11010802042870号
Book学术文献互助
Book学术文献互助群
群 号:604180095
Book学术官方微信