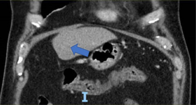
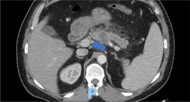
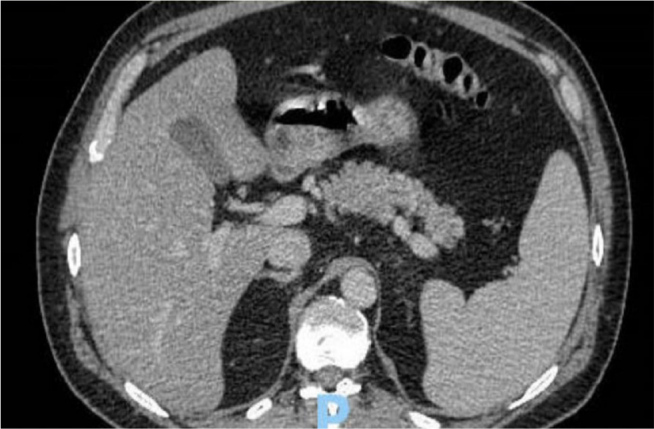
胰腺印戒细胞癌在CT阴性后6周内快速转移生长。

Q3 Medicine
European journal of case reports in internal medicine Pub Date : 2025-08-22 eCollection Date: 2025-01-01 DOI:10.12890/2025_005662
Toni Habib, Micaela Prisco, Peter Mouanes, Chloe Lahoud, Saif Yasin, Ali Sohail, Hassan Al Moussawi
{"title":"胰腺印戒细胞癌在CT阴性后6周内快速转移生长。","authors":"Toni Habib, Micaela Prisco, Peter Mouanes, Chloe Lahoud, Saif Yasin, Ali Sohail, Hassan Al Moussawi","doi":"10.12890/2025_005662","DOIUrl":null,"url":null,"abstract":"<p><p>Pancreatic signet ring cell carcinoma (PSRCC) is a rare and aggressive subtype of pancreatic cancer with a dismal prognosis. We present the case of a 50-year-old male who, within six weeks, developed a pancreatic mass with liver metastases. Endoscopic ultrasound-guided biopsy confirmed PSRCC. The presentation of this tumour with distant metastasis after a negative computed tomography (CT) of the abdomen and pelvis six weeks prior underscores the highly aggressive nature of PSRCC and the crucial need for heightened clinical suspicion, especially in cases with persistent or atypical abdominal pain. This case highlights the limitations of current diagnostic modalities and emphasises the urgent need for further research into improved early detection methods, molecular characterisation and effective treatment strategies for this rare and lethal subtype of pancreatic cancer.</p><p><strong>Learning points: </strong>Aggressive malignancy can become metastatic within six weeks of a negative CT scan.A CT scan may not detect a small pancreatic lesion <2 cm.</p>","PeriodicalId":11908,"journal":{"name":"European journal of case reports in internal medicine","volume":"12 9","pages":"005662"},"PeriodicalIF":0.0000,"publicationDate":"2025-08-22","publicationTypes":"Journal Article","fieldsOfStudy":null,"isOpenAccess":false,"openAccessPdf":"https://www.ncbi.nlm.nih.gov/pmc/articles/PMC12416782/pdf/","citationCount":"0","resultStr":"{\"title\":\"Rapid Metastatic Growth of A Pancreatic Signet Ring Cell Carcinoma within 6 weeks of A Negative CT.\",\"authors\":\"Toni Habib, Micaela Prisco, Peter Mouanes, Chloe Lahoud, Saif Yasin, Ali Sohail, Hassan Al Moussawi\",\"doi\":\"10.12890/2025_005662\",\"DOIUrl\":null,\"url\":null,\"abstract\":\"<p><p>Pancreatic signet ring cell carcinoma (PSRCC) is a rare and aggressive subtype of pancreatic cancer with a dismal prognosis. We present the case of a 50-year-old male who, within six weeks, developed a pancreatic mass with liver metastases. Endoscopic ultrasound-guided biopsy confirmed PSRCC. The presentation of this tumour with distant metastasis after a negative computed tomography (CT) of the abdomen and pelvis six weeks prior underscores the highly aggressive nature of PSRCC and the crucial need for heightened clinical suspicion, especially in cases with persistent or atypical abdominal pain. This case highlights the limitations of current diagnostic modalities and emphasises the urgent need for further research into improved early detection methods, molecular characterisation and effective treatment strategies for this rare and lethal subtype of pancreatic cancer.</p><p><strong>Learning points: </strong>Aggressive malignancy can become metastatic within six weeks of a negative CT scan.A CT scan may not detect a small pancreatic lesion <2 cm.</p>\",\"PeriodicalId\":11908,\"journal\":{\"name\":\"European journal of case reports in internal medicine\",\"volume\":\"12 9\",\"pages\":\"005662\"},\"PeriodicalIF\":0.0000,\"publicationDate\":\"2025-08-22\",\"publicationTypes\":\"Journal Article\",\"fieldsOfStudy\":null,\"isOpenAccess\":false,\"openAccessPdf\":\"https://www.ncbi.nlm.nih.gov/pmc/articles/PMC12416782/pdf/\",\"citationCount\":\"0\",\"resultStr\":null,\"platform\":\"Semanticscholar\",\"paperid\":null,\"PeriodicalName\":\"European journal of case reports in internal medicine\",\"FirstCategoryId\":\"1085\",\"ListUrlMain\":\"https://doi.org/10.12890/2025_005662\",\"RegionNum\":0,\"RegionCategory\":null,\"ArticlePicture\":[],\"TitleCN\":null,\"AbstractTextCN\":null,\"PMCID\":null,\"EPubDate\":\"2025/1/1 0:00:00\",\"PubModel\":\"eCollection\",\"JCR\":\"Q3\",\"JCRName\":\"Medicine\",\"Score\":null,\"Total\":0}","platform":"Semanticscholar","paperid":null,"PeriodicalName":"European journal of case reports in internal medicine","FirstCategoryId":"1085","ListUrlMain":"https://doi.org/10.12890/2025_005662","RegionNum":0,"RegionCategory":null,"ArticlePicture":[],"TitleCN":null,"AbstractTextCN":null,"PMCID":null,"EPubDate":"2025/1/1 0:00:00","PubModel":"eCollection","JCR":"Q3","JCRName":"Medicine","Score":null,"Total":0}
引用次数: 0

摘要

胰腺印戒细胞癌(PSRCC)是一种罕见的侵袭性胰腺癌亚型,预后较差。我们提出的情况下,一个50岁的男性谁,在六周内,发展胰腺肿块与肝脏转移。内镜超声引导活检证实PSRCC。6周前腹部和骨盆CT检查阴性后出现远处转移的肿瘤,强调了PSRCC的高度侵袭性和高度临床怀疑的必要性,特别是在持续或非典型腹痛的病例中。该病例突出了当前诊断方式的局限性,并强调迫切需要进一步研究改进早期检测方法,分子特征和有效治疗策略,以治疗这种罕见且致命的胰腺癌亚型。学习要点:侵略性恶性肿瘤可以在CT扫描呈阴性的六周内转移。CT扫描可能检测不到胰腺的小病变
本文章由计算机程序翻译,如有差异,请以英文原文为准。

Rapid Metastatic Growth of A Pancreatic Signet Ring Cell Carcinoma within 6 weeks of A Negative CT.

Rapid Metastatic Growth of A Pancreatic Signet Ring Cell Carcinoma within 6 weeks of A Negative CT.

Rapid Metastatic Growth of A Pancreatic Signet Ring Cell Carcinoma within 6 weeks of A Negative CT.

Rapid Metastatic Growth of A Pancreatic Signet Ring Cell Carcinoma within 6 weeks of A Negative CT.

Pancreatic signet ring cell carcinoma (PSRCC) is a rare and aggressive subtype of pancreatic cancer with a dismal prognosis. We present the case of a 50-year-old male who, within six weeks, developed a pancreatic mass with liver metastases. Endoscopic ultrasound-guided biopsy confirmed PSRCC. The presentation of this tumour with distant metastasis after a negative computed tomography (CT) of the abdomen and pelvis six weeks prior underscores the highly aggressive nature of PSRCC and the crucial need for heightened clinical suspicion, especially in cases with persistent or atypical abdominal pain. This case highlights the limitations of current diagnostic modalities and emphasises the urgent need for further research into improved early detection methods, molecular characterisation and effective treatment strategies for this rare and lethal subtype of pancreatic cancer.

Learning points: Aggressive malignancy can become metastatic within six weeks of a negative CT scan.A CT scan may not detect a small pancreatic lesion <2 cm.

求助全文
通过发布文献求助,成功后即可免费获取论文全文。 去求助
来源期刊
CiteScore
2.10
自引率
0.00%
发文量
166
审稿时长
8 weeks
期刊介绍: The European Journal of Case Reports in Internal Medicine is an official journal of the European Federation of Internal Medicine (EFIM), representing 35 national societies from 33 European countries. The Journal''s mission is to promote the best medical practice and innovation in the field of acute and general medicine. It also provides a forum for internal medicine doctors where they can share new approaches with the aim of improving diagnostic and clinical skills in this field. EJCRIM welcomes high-quality case reports describing unusual or complex cases that an internist may encounter in everyday practice. The cases should either demonstrate the appropriateness of a diagnostic/therapeutic approach, describe a new procedure or maneuver, or show unusual manifestations of a disease or unexpected reactions. The Journal only accepts and publishes those case reports whose learning points provide new insight and/or contribute to advancing medical knowledge both in terms of diagnostics and therapeutic approaches. Case reports of medical errors, therefore, are also welcome as long as they provide innovative measures on how to prevent them in the current practice (Instructive Errors). The Journal may also consider brief and reasoned reports on issues relevant to the practice of Internal Medicine, as well as Abstracts submitted to the scientific meetings of acknowledged medical societies.
×
引用
GB/T 7714-2015
复制
MLA
复制
APA
复制
导出至
BibTeX EndNote RefMan NoteFirst NoteExpress
×
提示
您的信息不完整,为了账户安全,请先补充。
现在去补充
×
提示
您因"违规操作"
具体请查看互助需知
我知道了
×
提示
确定
请完成安全验证×
copy
已复制链接
快去分享给好友吧!
我知道了
右上角分享
点击右上角分享
0
联系我们:info@booksci.cn Book学术提供免费学术资源搜索服务,方便国内外学者检索中英文文献。致力于提供最便捷和优质的服务体验。 Copyright © 2023 布克学术 All rights reserved.
京ICP备2023020795号-1
ghs 京公网安备 11010802042870号
Book学术文献互助
Book学术文献互助群
群 号:604180095
Book学术官方微信